JavaScript is disabled in your browser. Please enable JavaScript to view this website.
AB47283

Anti-HDAC5 (phospho S498) antibody

4

(1 Review)

|

(16 Publications)

Rabbit Polyclonal HDAC5 phospho S498 antibody. Suitable for ELISA, WB, IHC-P and reacts with Mouse, Human samples. Cited in 16 publications. Immunogen corresponding to Synthetic Peptide within Human HDAC5 phospho S498.

View Alternative Names

KIAA0600, HDAC5, Histone deacetylase 5, HD5, Antigen NY-CO-9

2 Images
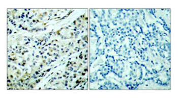
Immunohistochemistry (Formalin/PFA-fixed paraffin-embedded sections) - Anti-HDAC5 (phospho S498) antibody (AB47283)
  • IHC-P

Unknown

Immunohistochemistry (Formalin/PFA-fixed paraffin-embedded sections) - Anti-HDAC5 (phospho S498) antibody (AB47283)

ab47283 (1/100) staining HDAC5 (phospho S498) in paraffin embedded human breast carcinoma tissue. For the right hand panel, ab47283 was pre-incubated with the immunizing peptide (blocking).

Western blot - Anti-HDAC5 (phospho S498) antibody (AB47283)
  • WB

Unknown

Western blot - Anti-HDAC5 (phospho S498) antibody (AB47283)

All lanes:

Western blot - Anti-HDAC5 (phospho S498) antibody (ab47283) at 1/500 dilution

Lane 1:

Extracts from NIH/ 3T3 cells

Lane 2:

Extracts from NIH/ 3T3 cells; ab47283 preincubated with immunising peptide (blocking)

Predicted band size: 121 kDa

Observed band size: 118 kDa

false

Key facts

Host species

Rabbit

Clonality

Polyclonal

Isotype

IgG

Carrier free

No

Reacts with

Mouse, Human

Applications

IHC-P, WB, ELISA

applications

Immunogen

Synthetic Peptide within Human HDAC5 phospho S498. The exact immunogen used to generate this antibody is proprietary information.

Q9UQL6

Reactivity data

{ "title": "Reactivity Data", "filters": { "stats": ["", "Species", "Dilution Info", "Notes"], "tabs": { "all-applications": {"fullname" : "All Applications", "shortname": "All Applications"}, "ELISA" : {"fullname" : "ELISA", "shortname":"ELISA"}, "WB" : {"fullname" : "Western blot", "shortname":"WB"}, "IHCP" : {"fullname" : "Immunohistochemistry (Formalin/PFA-fixed paraffin-embedded sections)", "shortname":"IHC-P"} }, "product-promise": { "all": "all", "testedAndGuaranteed": "tested", "guaranteed": "expected", "predicted": "predicted", "notRecommended": "not-recommended" } }, "values": { "Human": { "ELISA-species-checked": "guaranteed", "ELISA-species-dilution-info": "", "ELISA-species-notes": "<p></p>", "WB-species-checked": "guaranteed", "WB-species-dilution-info": "", "WB-species-notes": "", "IHCP-species-checked": "testedAndGuaranteed", "IHCP-species-dilution-info": "", "IHCP-species-notes": "<p></p>" }, "Mouse": { "ELISA-species-checked": "guaranteed", "ELISA-species-dilution-info": "", "ELISA-species-notes": "<p></p>", "WB-species-checked": "testedAndGuaranteed", "WB-species-dilution-info": "1/500 - 1/1000", "WB-species-notes": "<p></p>", "IHCP-species-checked": "guaranteed", "IHCP-species-dilution-info": "", "IHCP-species-notes": "" }, "Rat": { "ELISA-species-checked": "predicted", "ELISA-species-dilution-info": "", "ELISA-species-notes": "", "WB-species-checked": "predicted", "WB-species-dilution-info": "", "WB-species-notes": "", "IHCP-species-checked": "predicted", "IHCP-species-dilution-info": "", "IHCP-species-notes": "" } } }

Properties and storage information

Form
Liquid
Purification technique
Affinity purification Immunogen
Purification notes
The antibody was affinity-purified from rabbit antiserum by affinity-chromatography using epitope-specific phosphopeptide. The antibody against non-phosphopeptide was removed by chromatography using non-phosphopeptide corresponding to the phosphorylation site.
Storage buffer
pH: 7.4 Preservative: 0.02% Sodium azide Constituents: PBS, 50% Glycerol (glycerin, glycerine), 0.87% Sodium chloride
Shipped at conditions
Blue Ice
Appropriate short-term storage conditions
+4°C
Appropriate long-term storage conditions
-20°C
Aliquoting information
Upon delivery aliquot
Storage information
Avoid freeze / thaw cycle

Supplementary information

This supplementary information is collated from multiple sources and compiled automatically.

HDAC5 also known as histone deacetylase 5 is an enzyme that removes acetyl groups from histone proteins leading to alteration of chromosome structure and regulation of gene expression. Its molecular weight is approximately 122 kDa. HDAC5 belongs to the class IIa HDAC family and shows high expression in heart brain and skeletal muscle. This expression pattern suggests its importance in these tissues. The role of HDAC5 in dynamically regulating chromatin structure positions it as an important modulator in the tight control of gene transcription.
Biological function summary

HDAC5 plays a pivotal role in gene silencing and is a member of multi-protein complexes. It often partners with other HDACs and co-repressor proteins to enforce transcriptional repression. Through its activity HDAC5 affects cellular processes such as cell growth differentiation and apoptosis. Its expression and activity levels fluctuate among different cell types reflecting its involvement in tissue-specific functions and responses to cellular cues.

Pathways

HDAC5 participates in critical signaling cascades like the MEF2 and NF-kB pathways. In the MEF2 pathway HDAC5 interacts closely with the MEF2 transcription factors repressing genes involved in muscle differentiation. Within the NF-kB pathway HDAC5 contributes to the regulation of inflammatory responses by modulating gene expression. The intricate relationship between HDAC5 and these pathways highlights its regulative influence on cellular functions and adaptive responses.

Recent research implicates HDAC5 in cancer and cardiac hypertrophy. Its overactivity or dysregulation has been observed in certain cancers where it may aid tumor progression by promoting oncogenic gene expression. Similarly in cardiac hypertrophy HDAC5 dysregulation can lead to maladaptive heart muscle growth a condition often exacerbated through interactions with protein kinases like CaMK. These associations have spurred interest in developing HDAC5 inhibitors as potential therapeutic targets to modulate its activity and address these diseases.

Product protocols

For this product, it's our understanding that no specific protocols are required. You can visit:

Target data

Responsible for the deacetylation of lysine residues on the N-terminal part of the core histones (H2A, H2B, H3 and H4). Histone deacetylation gives a tag for epigenetic repression and plays an important role in transcriptional regulation, cell cycle progression and developmental events. Histone deacetylases act via the formation of large multiprotein complexes. Involved in muscle maturation by repressing transcription of myocyte enhancer MEF2C. During muscle differentiation, it shuttles into the cytoplasm, allowing the expression of myocyte enhancer factors. Involved in the MTA1-mediated epigenetic regulation of ESR1 expression in breast cancer. Serves as a corepressor of RARA and causes its deacetylation (PubMed : 28167758). In association with RARA, plays a role in the repression of microRNA-10a and thereby in the inflammatory response (PubMed : 28167758).
See full target information HDAC5 phospho S498

Publications (16)

Recent publications for all applications. Explore the full list and refine your search

Molecular medicine reports 30: PubMed38785149

2024

(Lour.) Baill. extract promotes skeletal muscle cell differentiation by positively regulating mitochondrial biogenesis and AKT/mTOR signaling .

Applications

Unspecified application

Species

Unspecified reactive species

So Young Eun,Chong Hyuk Chung,Yoon-Hee Cheon,Gyeong Do Park,Chang Hoon Lee,Ju-Young Kim,Myeung Su Lee

iScience 26:107311 PubMed37520700

2023

Type 2 diabetes susceptibility gene GRK5 regulates physiological pancreatic β-cell proliferation via phosphorylation of HDAC5.

Applications

Unspecified application

Species

Unspecified reactive species

Shugo Sasaki,Cuilan Nian,Eric E Xu,Daniel J Pasula,Helena Winata,Sanya Grover,Dan S Luciani,Francis C Lynn

American journal of physiology. Heart and circulatory physiology 320:H1543-H1554 PubMed33606583

2021

Angiotensin II-induced histone deacetylase 5 phosphorylation, nuclear export, and Egr-1 expression are mediated by Akt pathway in A10 vascular smooth muscle cells.

Applications

Unspecified application

Species

Unspecified reactive species

Vanessa Truong,Ashish Jain,Madhu B Anand-Srivastava,Ashok K Srivastava

Journal of cellular physiology 234:17337-17350 PubMed30793765

2019

Protein kinase B/AKT mediates insulin-like growth factor 1-induced phosphorylation and nuclear export of histone deacetylase 5 via NADPH oxidase 4 activation in vascular smooth muscle cells.

Applications

Unspecified application

Species

Unspecified reactive species

Paulina Pietruczuk,Ashish Jain,Estelle R Simo-Cheyou,Madhu B Anand-Srivastava,Ashok K Srivastava

EMBO molecular medicine 10: PubMed29907596

2018

Inflammation leads through PGE/EP signaling to HDAC5/MEF2-dependent transcription in cardiac myocytes.

Applications

Unspecified application

Species

Unspecified reactive species

András D Tóth,Richard Schell,Magdolna Lévay,Christiane Vettel,Philipp Theis,Clemens Haslinger,Felix Alban,Stefanie Werhahn,Lina Frischbier,Jutta Krebs-Haupenthal,Dominique Thomas,Hermann-Josef Gröne,Metin Avkiran,Hugo A Katus,Thomas Wieland,Johannes Backs

Molecular cell 66:332-344.e4 PubMed28475869

2017

Glucose Sensing by Skeletal Myocytes Couples Nutrient Signaling to Systemic Homeostasis.

Applications

Unspecified application

Species

Unspecified reactive species

Zhuo-Xian Meng,Jianke Gong,Zhimin Chen,Jingxia Sun,Yuanyuan Xiao,Lin Wang,Yaqiang Li,Jianfeng Liu,X Z Shawn Xu,Jiandie D Lin

Journal of the American Heart Association 6: PubMed28343149

2017

β-Adrenergic Stimulation Induces Histone Deacetylase 5 (HDAC5) Nuclear Accumulation in Cardiomyocytes by B55α-PP2A-Mediated Dephosphorylation.

Applications

Unspecified application

Species

Unspecified reactive species

Kate L Weeks,Antonella Ranieri,Agnieszka Karaś,Bianca C Bernardo,Alexandra S Ashcroft,Chris Molenaar,Julie R McMullen,Metin Avkiran

Scientific reports 6:34163 PubMed27667720

2016

G9a inhibits MEF2C activity to control sarcomere assembly.

Applications

IP

Species

Unspecified reactive species

Jin Rong Ow,Monica Palanichamy Kala,Vinay Kumar Rao,Min Hee Choi,Narendra Bharathy,Reshma Taneja

PloS one 11:e0159513 PubMed27513844

2016

AMPK Mediates Glucocorticoids Stress-Induced Downregulation of the Glucocorticoid Receptor in Cultured Rat Prefrontal Cortical Astrocytes.

Applications

Unspecified application

Species

Rat

Shi-Ying Yuan,Jue Liu,Jun Zhou,Wei Lu,Hai-Yun Zhou,Li-Hong Long,Zhuang-Li Hu,Lan Ni,Yi Wang,Jian-Guo Chen,Fang Wang

Proceedings of the National Academy of Sciences of 112:E5088-97 PubMed26305935

2015

RGS9-2--controlled adaptations in the striatum determine the onset of action and efficacy of antidepressants in neuropathic pain states.

Applications

WB

Species

Mouse

Vasiliki Mitsi,Dimitra Terzi,Immanuel Purushothaman,Lefteris Manouras,Sevasti Gaspari,Rachael L Neve,Maria Stratinaki,Jian Feng,Li Shen,Venetia Zachariou
View all publications

Product promise

We are committed to supporting your work with high-quality reagents, and we're here for you every step of the way. In the unlikely event that one of our products does not perform as expected, you're protected by our Product Promise.
For full details, please see our Terms & Conditions

Please note: All products are 'FOR RESEARCH USE ONLY. NOT FOR USE IN DIAGNOSTIC OR THERAPEUTIC PROCEDURES'.

For licensing inquiries, please contact partnerships@abcam.com