JavaScript is disabled in your browser. Please enable JavaScript to view this website.
AB288366

Anti-HDAC6 antibody [2H12]

Be the first to review this product! Submit a review

|

(0 Publication)

Rabbit Recombinant Monoclonal HDAC6 antibody. Suitable for IP, WB, IHC-P and reacts with Human samples. Immunogen corresponding to Synthetic Peptide within Human HDAC6.

View Alternative Names

KIAA0901, JM21, HDAC6, Histone deacetylase 6, HD6, Protein deacetylase HDAC6, Tubulin-lysine deacetylase HDAC6

3 Images
Western blot - Anti-HDAC6 antibody [2H12] (AB288366)
  • WB

Supplier Data

Western blot - Anti-HDAC6 antibody [2H12] (AB288366)

All lanes:

Western blot - Anti-HDAC6 antibody [2H12] (ab288366) at 1.1 µg/mL

Lane 1:

HeLa (Human epithelial cell line from cervix adenocarcinoma) whole cell lysate

Lane 2:

MCF7 (Human breast adenocarcinoma cell line) whole cell lysate

Lane 3:

HepG2 (Human liver hepatocellular carcinoma cell line) whole cell lysate

Lane 4:

K-562 (Human chronic myelogenous leukemia lymphoblast cell line ) whole cell lysate

Lane 5:

Jurkat (Human T cell leukemia cell line from peripheral blood) whole cell lysate

Secondary

All lanes:

Goat polyclonal to rabbit IgG at 1/50000 dilution

Predicted band size: 131 kDa

Observed band size: 160 kDa

false

Immunoprecipitation - Anti-HDAC6 antibody [2H12] (AB288366)
  • IP

Supplier Data

Immunoprecipitation - Anti-HDAC6 antibody [2H12] (AB288366)

Immunoprecipitating HDAC6 in HepG2 whole cell lysate.
Lane 1 : Rabbit control IgG instead of ab288366 in HepG2 whole cell lysate. For western blotting, a HRP-conjugated Protein G antibody was used as the secondary antibody (1/2000)
Lane 2 : ab288366 (3 μg) + HepG2 whole cell lysate (500 μg)
Lane 3 : HepG2 whole cell lysate (2 0 μg)

All lanes:

Immunoprecipitation - Anti-HDAC6 antibody [2H12] (ab288366)

Predicted band size: 131 kDa

false

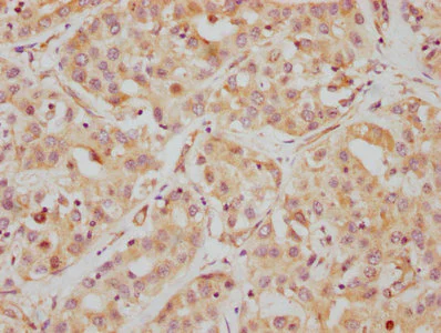
Immunohistochemistry (Formalin/PFA-fixed paraffin-embedded sections) - Anti-HDAC6 antibody [2H12] (AB288366)
  • IHC-P

Supplier Data

Immunohistochemistry (Formalin/PFA-fixed paraffin-embedded sections) - Anti-HDAC6 antibody [2H12] (AB288366)

IHC image of ab288366 diluted at 1 : 112.5 and staining in paraffin-embedded human liver cancer performed on a Leica Bond™ system. After dewaxing and hydration, antigen retrieval was mediated by high pressure in a citrate buffer (pH 6.0). Section was blocked with 10% normal goat serum 30 min at RT. Then primary antibody (1% BSA) was incubated at 4°C overnight. The primary is detected by a biotinylated secondary antibody and visualized using an HRP conjugated SP system.

Key facts

Host species

Rabbit

Clonality

Monoclonal

Clone number

2H12

Isotype

IgG

Carrier free

No

Reacts with

Human

Applications

WB, IHC-P, IP

applications

Immunogen

Synthetic Peptide within Human HDAC6. The exact immunogen used to generate this antibody is proprietary information.

Q9UBN7

Reactivity data

{ "title": "Reactivity Data", "filters": { "stats": ["", "Species", "Dilution Info", "Notes"], "tabs": { "all-applications": {"fullname" : "All Applications", "shortname": "All Applications"}, "IP" : {"fullname" : "Immunoprecipitation", "shortname":"IP"}, "WB" : {"fullname" : "Western blot", "shortname":"WB"}, "IHCP" : {"fullname" : "Immunohistochemistry (Formalin/PFA-fixed paraffin-embedded sections)", "shortname":"IHC-P"} }, "product-promise": { "all": "all", "testedAndGuaranteed": "tested", "guaranteed": "expected", "predicted": "predicted", "notRecommended": "not-recommended" } }, "values": { "Human": { "IP-species-checked": "testedAndGuaranteed", "IP-species-dilution-info": "1/200 - 1/1000", "IP-species-notes": "<p></p>", "WB-species-checked": "testedAndGuaranteed", "WB-species-dilution-info": "1/500 - 1/5000", "WB-species-notes": "<p></p>", "IHCP-species-checked": "testedAndGuaranteed", "IHCP-species-dilution-info": "1/50 - 1/200", "IHCP-species-notes": "<p></p>" } } }

You may be interested in:

AB284549

HDAC6 Activity Assay Kit (Fluorometric)

0

0 Reviews

View product

We recommend this product because it’s often used in the same experiment or related research.

We advise that you always check the datasheet to ensure it fits your experiments, or contact ourtechnical teamfor help.

Properties and storage information

Form
Liquid
Purification technique
Affinity purification
Storage buffer
pH: 7.4 Preservative: 0.02% Sodium azide Constituents: 50% Glycerol (glycerin, glycerine), 48% PBS, 0.87% Sodium chloride
Shipped at conditions
Blue Ice
Appropriate short-term storage duration
1-2 weeks
Appropriate short-term storage conditions
+4°C
Appropriate long-term storage conditions
-20°C
Aliquoting information
Upon delivery aliquot
Storage information
Avoid freeze / thaw cycle

Supplementary information

This supplementary information is collated from multiple sources and compiled automatically.

HDAC6 or histone deacetylase 6 is a protein that primarily functions as a cytoplasmic deacetylase. It is part of the class IIb HDAC family and is known for its distinctive molecular weight of approximately 121 kDa. HDAC6 is expressed in various tissues with higher levels observed in the brain kidney and liver. This protein is unique as it contains two catalytic domains unlike other HDACs which contributes to its specific deacetylation of non-histone substrates including tubulin and Hsp90 influencing cell motility and stress response.
Biological function summary

HDAC6 plays a significant role in processes like protein degradation and cell signaling. It is an important component of the protein quality control system involving itself in the aggresome pathway where it facilitates the removal of misfolded proteins through interaction with dynein motor proteins. In addition to its presence in the cytoplasm HDAC6 influences cell migration and immune response regulation by de-phosphorylating cortactin and affecting actin filament dynamics. Its integral role in the aggresome-autophagy pathway positions it as important for cellular homeostasis maintenance.

Pathways

HDAC6 participates prominently in both autophagy and stress response pathways. In the autophagic process HDAC6 operates alongside ubiquitinated proteins to manage protein quality control. Moreover HDAC6 engages in stress response pathways like the heat shock response interacting directly with Hsp90 to regulate client protein activation. These pathways highlight HDAC6’s relationships with key proteins such as Hsp70 and tau linking it to cellular stress and neurodegeneration responses.

HDAC6 exhibits connections to neurodegenerative diseases and cancer. Dysregulated HDAC6 activity associates with Alzheimer's disease where it affects tau protein accumulation and degradation. The protein is also implicated in various cancers such as breast and ovarian cancer due to its influence on cell migration and invasion. It interacts with p53 impacting apoptosis and tumor progression making HDAC6 a potential target for therapeutic interventions with HDAC6 inhibitors which aim to restore normal cellular functions disrupted by abnormal HDAC6 activity.

Product protocols

For this product, it's our understanding that no specific protocols are required. You can visit:

Target data

Responsible for the deacetylation of lysine residues on the N-terminal part of the core histones (H2A, H2B, H3 and H4) (PubMed : 10220385). Histone deacetylation gives a tag for epigenetic repression and plays an important role in transcriptional regulation, cell cycle progression and developmental events (PubMed : 10220385). Histone deacetylases act via the formation of large multiprotein complexes (PubMed : 10220385). In addition to histones, deacetylates other proteins, such as CTTN, tubulin and SQSTM1 (PubMed : 12024216, PubMed : 20308065, PubMed : 26246421, PubMed : 30538141, PubMed : 31857589). Plays a central role in microtubule-dependent cell motility by mediating deacetylation of tubulin (PubMed : 12024216, PubMed : 20308065, PubMed : 26246421). Required for cilia disassembly; via deacetylation of alpha-tubulin (PubMed : 17604723, PubMed : 26246421). Promotes deacetylation of CTTN, leading to actin polymerization, promotion of autophagosome-lysosome fusion and completion of autophagy (PubMed : 30538141). Involved in the MTA1-mediated epigenetic regulation of ESR1 expression in breast cancer (PubMed : 24413532). Promotes odontoblast differentiation following IPO7-mediated nuclear import and subsequent repression of RUNX2 expression (By similarity). In addition to its protein deacetylase activity, plays a key role in the degradation of misfolded proteins : when misfolded proteins are too abundant to be degraded by the chaperone refolding system and the ubiquitin-proteasome, mediates the transport of misfolded proteins to a cytoplasmic juxtanuclear structure called aggresome (PubMed : 17846173). Probably acts as an adapter that recognizes polyubiquitinated misfolded proteins and target them to the aggresome, facilitating their clearance by autophagy (PubMed : 17846173).
See full target information HDAC6

Product promise

We are committed to supporting your work with high-quality reagents, and we're here for you every step of the way. In the unlikely event that one of our products does not perform as expected, you're protected by our Product Promise.
For full details, please see our Terms & Conditions

Please note: All products are 'FOR RESEARCH USE ONLY. NOT FOR USE IN DIAGNOSTIC OR THERAPEUTIC PROCEDURES'.

For licensing inquiries, please contact partnerships@abcam.com