JavaScript is disabled in your browser. Please enable JavaScript to view this website.
AB239362

Anti-HDAC6 antibody [EPR22951-29]

Be the first to review this product! Submit a review

|

(6 Publications)

Rabbit Recombinant Monoclonal HDAC6 antibody. Suitable for IP, WB, Flow Cyt (Intra) and reacts with Mouse, Rat samples. Cited in 6 publications.

View Alternative Names

Histone deacetylase 6, HD6, Histone deacetylase mHDA2, Protein deacetylase HDAC6, Tubulin-lysine deacetylase HDAC6, Hdac6

6 Images
Flow Cytometry (Intracellular) - Anti-HDAC6 antibody [EPR22951-29] (AB239362)
  • Flow Cyt (Intra)

Unknown

Flow Cytometry (Intracellular) - Anti-HDAC6 antibody [EPR22951-29] (AB239362)

Intracellular flow cytometric analysis of 4% paraformaldehyde fixed 90% methanol permeabilized Neuro-2a (Mouse neuroblastoma neuroblast) cells labeling HDAC6 with ab239362 at 1\600 (Red) compared with a Rabbit monoclonal IgG (ab172730) / Black isotype control and an unlabeled control (cells without incubation with primary antibody and secondary antibody) (Blue). A Goat anti rabbit IgG (Alexa Fluor® 488, ab150077) at 1/2000 was used as the secondary antibody.

Flow Cytometry (Intracellular) - Anti-HDAC6 antibody [EPR22951-29] (AB239362)
  • Flow Cyt (Intra)

Unknown

Flow Cytometry (Intracellular) - Anti-HDAC6 antibody [EPR22951-29] (AB239362)

Intracellular flow cytometric analysis of 4% paraformaldehyde fixed 90% methanol permeabilized NIH/3T3 (Mouse embryonic fibroblast) cells labeling HDAC6 with ab239362 at 1\600 (Red) compared with a Rabbit monoclonal IgG (ab172730) / Black isotype control and an unlabeled control (cells without incubation with primary antibody and secondary antibody) (Blue). A Goat anti rabbit IgG (Alexa Fluor® 488, ab150077) at 1/2000 was used as the secondary antibody.

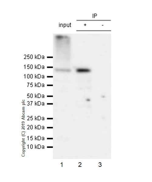
Immunoprecipitation - Anti-HDAC6 antibody [EPR22951-29] (AB239362)
  • IP

Unknown

Immunoprecipitation - Anti-HDAC6 antibody [EPR22951-29] (AB239362)

HDAC6 was immunoprecipitated from 0.35 mg NIH/3T3 (Mouse embryonic fibroblast) whole cell lysate 10μg with ab239362 at 1/30 dilution (2μg in 0.35mg lysates). Western blot was performed on the immunoprecipitate using ab239362 at 1/1000 dilution. VeriBlot for IP Detection Reagent (HRP) (ab131366) was used at 1/5000 dilution.

Lane 1 : NIH/3T3 whole cell lysate 10μg

Lane 2 : ab239362 IP in NIH/3T3 whole cell lysate

Lane 3 : Rabbit monoclonal IgG (ab172730) instead of ab239362 in NIH/3T3 whole cell lysate

Blocking and dilution buffer and concentration : 5% NFDM/TBST.

Exposure time : 30 seconds.

All lanes:

Immunoprecipitation - Anti-HDAC6 antibody [EPR22951-29] (ab239362)

Predicted band size: 131 kDa,47 kDa

false

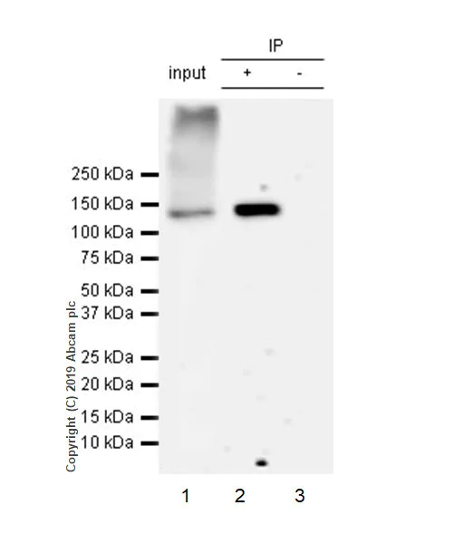
Immunoprecipitation - Anti-HDAC6 antibody [EPR22951-29] (AB239362)
  • IP

Unknown

Immunoprecipitation - Anti-HDAC6 antibody [EPR22951-29] (AB239362)

HDAC6 was immunoprecipitated from 0.35 mg mouse brain lysate 10μg with ab239362 at 1/30 dilution (2μg in 0.35mg lysates). Western blot was performed on the immunoprecipitate using ab239362 at 1/1000 dilution. VeriBlot for IP Detection Reagent (HRP) (ab131366) was used at 1/5000 dilution.

Lane 1 : Mouse brain lysate 10μg

Lane 2 : ab239362 IP in mouse brain lysate

Lane 3 : Rabbit monoclonal IgG (ab172730) instead of ab239362 in mouse brain lysate

Blocking and dilution buffer and concentration : 5% NFDM/TBST.

Exposure time : 3 mins.

All lanes:

Immunoprecipitation - Anti-HDAC6 antibody [EPR22951-29] (ab239362)

Predicted band size: 131 kDa

false

Western blot - Anti-HDAC6 antibody [EPR22951-29] (AB239362)
  • WB

Lab

Western blot - Anti-HDAC6 antibody [EPR22951-29] (AB239362)

Blocking and diluting buffer and concentration : 5% NFDM/TBST.

Kidney is a low-expression tissue.

A positive unidentified band between 15-20 kDa is detected in mouse kidney lysate.

The expression profile/ molecular weight observed is consistent with what has been described in the literature (PMID : 18180281, 29201907, 28273454, 25108026).

Exposure time : 48 seconds.

All lanes:

Western blot - Anti-HDAC6 antibody [EPR22951-29] (ab239362) at 1/1000 dilution

Lane 1:

Mouse brain tissue lysate at 20 µg

Lane 2:

Mouse kidney tissue lysate at 20 µg

Lane 3:

Rat brain tissue lysate at 20 µg

Lane 4:

Rat kidney tissue lysate at 20 µg

Secondary

All lanes:

Western blot - Goat Anti-Rabbit IgG H&L (HRP) (<a href='/en-us/products/secondary-antibodies/goat-rabbit-igg-h-l-hrp-ab97051'>ab97051</a>) at 1/100000 dilution

Predicted band size: 131 kDa

Observed band size: 130 kDa

false

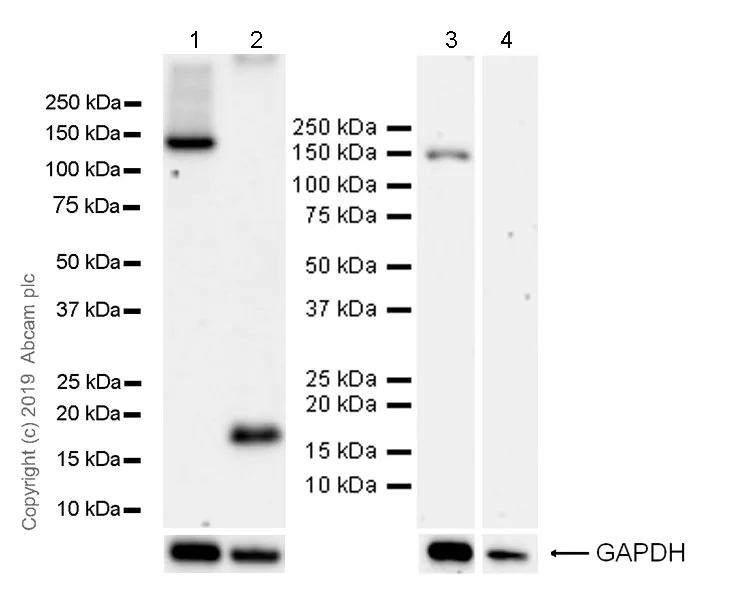
Western blot - Anti-HDAC6 antibody [EPR22951-29] (AB239362)
  • WB

Lab

Western blot - Anti-HDAC6 antibody [EPR22951-29] (AB239362)

Blocking and diluting buffer and concentration : 5% NFDM/TBST.

The expression profile/ molecular weight observed is consistent with what has been described in the literature (PMID : 18180281, 29201907, 28273454, 25108026).

Exposure time : Lane 1-2 : 32 seconds Lane 3 : 3 minutes.

All lanes:

Western blot - Anti-HDAC6 antibody [EPR22951-29] (ab239362) at 1/1000 dilution

Lane 1:

NIH/3T3 (mouse embryonic fibroblast), whole cell lysate at 10 µg

Lane 2:

Neuro-2a (mouse neuroblastoma neuroblast), whole cell lysate at 10 µg

Lane 3:

PC-12 (rat adrenal gland pheochromocytoma), whole cell lysate at 10 µg

Secondary

All lanes:

Western blot - Goat Anti-Rabbit IgG H&L (HRP) (<a href='/en-us/products/secondary-antibodies/goat-rabbit-igg-h-l-hrp-ab97051'>ab97051</a>) at 1/50000 dilution

Predicted band size: 131 kDa

Observed band size: 130 kDa

false

  • Carrier free

    Anti-HDAC6 antibody [EPR22951-29] - BSA and Azide free

  • 665 Alexa Fluor® 647

    Alexa Fluor® 647 Anti-HDAC6 antibody [EPR22951-29]

  • 660 APC

    APC Anti-HDAC6 antibody [EPR22951-29]

  • 578 PE

    PE Anti-HDAC6 antibody [EPR22951-29]

  • 519 Alexa Fluor® 488

    Alexa Fluor® 488 Anti-HDAC6 antibody [EPR22951-29]

Key facts

Host species

Rabbit

Clonality

Monoclonal

Clone number

EPR22951-29

Isotype

IgG

Carrier free

No

Reacts with

Mouse, Rat

Applications

WB, IP, Flow Cyt (Intra)

applications

Immunogen

The exact immunogen used to generate this antibody is proprietary information.

Reactivity data

{ "title": "Reactivity Data", "filters": { "stats": ["", "Species", "Dilution Info", "Notes"], "tabs": { "all-applications": {"fullname" : "All Applications", "shortname": "All Applications"}, "IP" : {"fullname" : "Immunoprecipitation", "shortname":"IP"}, "WB" : {"fullname" : "Western blot", "shortname":"WB"}, "IHCP" : {"fullname" : "Immunohistochemistry (Formalin/PFA-fixed paraffin-embedded sections)", "shortname":"IHC-P"}, "ICCIF" : {"fullname" : "Immunocytochemistry/ Immunofluorescence", "shortname":"ICC/IF"}, "FlowCytIntra" : {"fullname" : "Flow Cytometry (Intracellular)", "shortname":"Flow Cyt (Intra)"} }, "product-promise": { "all": "all", "testedAndGuaranteed": "tested", "guaranteed": "expected", "predicted": "predicted", "notRecommended": "not-recommended" } }, "values": { "Mouse": { "IP-species-checked": "testedAndGuaranteed", "IP-species-dilution-info": "1/30", "IP-species-notes": "<p></p>", "WB-species-checked": "testedAndGuaranteed", "WB-species-dilution-info": "1/1000", "WB-species-notes": "<p></p>", "IHCP-species-checked": "notRecommended", "IHCP-species-dilution-info": "", "IHCP-species-notes": "<p></p>", "ICCIF-species-checked": "notRecommended", "ICCIF-species-dilution-info": "", "ICCIF-species-notes": "<p></p>", "FlowCytIntra-species-checked": "testedAndGuaranteed", "FlowCytIntra-species-dilution-info": "1/600", "FlowCytIntra-species-notes": "<p></p>" }, "Rat": { "IP-species-checked": "guaranteed", "IP-species-dilution-info": "", "IP-species-notes": "", "WB-species-checked": "testedAndGuaranteed", "WB-species-dilution-info": "1/1000", "WB-species-notes": "<p></p>", "IHCP-species-checked": "notRecommended", "IHCP-species-dilution-info": "", "IHCP-species-notes": "<p></p>", "ICCIF-species-checked": "notRecommended", "ICCIF-species-dilution-info": "", "ICCIF-species-notes": "<p></p>", "FlowCytIntra-species-checked": "guaranteed", "FlowCytIntra-species-dilution-info": "", "FlowCytIntra-species-notes": "" } } }

Product details

Patented technology
Our RabMAb® technology is a patented hybridoma-based technology for making rabbit monoclonal antibodies. For details on our patents, please refer to RabMAb® patents.

What are the advantages of a recombinant monoclonal antibody?
This product is a recombinant monoclonal antibody, which offers several advantages including:

  • - High batch-to-batch consistency and reproducibility
  • - Improved sensitivity and specificity
  • - Long-term security of supply
  • - Animal-free batch production

For more information, read more on recombinant antibodies.

Properties and storage information

Form
Liquid
Purification technique
Affinity purification Protein A
Storage buffer
pH: 7.2 - 7.4 Preservative: 0.01% Sodium azide Constituents: PBS, 40% Glycerol (glycerin, glycerine), 0.05% BSA
Shipped at conditions
Blue Ice
Appropriate short-term storage duration
1-2 weeks
Appropriate short-term storage conditions
+4°C
Appropriate long-term storage conditions
-20°C
Aliquoting information
Upon delivery aliquot
Storage information
Avoid freeze / thaw cycle

Supplementary information

This supplementary information is collated from multiple sources and compiled automatically.

HDAC6 or histone deacetylase 6 is a protein that primarily functions as a cytoplasmic deacetylase. It is part of the class IIb HDAC family and is known for its distinctive molecular weight of approximately 121 kDa. HDAC6 is expressed in various tissues with higher levels observed in the brain kidney and liver. This protein is unique as it contains two catalytic domains unlike other HDACs which contributes to its specific deacetylation of non-histone substrates including tubulin and Hsp90 influencing cell motility and stress response.
Biological function summary

HDAC6 plays a significant role in processes like protein degradation and cell signaling. It is an important component of the protein quality control system involving itself in the aggresome pathway where it facilitates the removal of misfolded proteins through interaction with dynein motor proteins. In addition to its presence in the cytoplasm HDAC6 influences cell migration and immune response regulation by de-phosphorylating cortactin and affecting actin filament dynamics. Its integral role in the aggresome-autophagy pathway positions it as important for cellular homeostasis maintenance.

Pathways

HDAC6 participates prominently in both autophagy and stress response pathways. In the autophagic process HDAC6 operates alongside ubiquitinated proteins to manage protein quality control. Moreover HDAC6 engages in stress response pathways like the heat shock response interacting directly with Hsp90 to regulate client protein activation. These pathways highlight HDAC6’s relationships with key proteins such as Hsp70 and tau linking it to cellular stress and neurodegeneration responses.

HDAC6 exhibits connections to neurodegenerative diseases and cancer. Dysregulated HDAC6 activity associates with Alzheimer's disease where it affects tau protein accumulation and degradation. The protein is also implicated in various cancers such as breast and ovarian cancer due to its influence on cell migration and invasion. It interacts with p53 impacting apoptosis and tumor progression making HDAC6 a potential target for therapeutic interventions with HDAC6 inhibitors which aim to restore normal cellular functions disrupted by abnormal HDAC6 activity.

Product protocols

For this product, it's our understanding that no specific protocols are required. You can visit:

Target data

Responsible for the deacetylation of lysine residues on the N-terminal part of the core histones (H2A, H2B, H3 and H4) (PubMed : 9891014). Histone deacetylation gives a tag for epigenetic repression and plays an important role in transcriptional regulation, cell cycle progression and developmental events (PubMed : 9891014). Histone deacetylases act via the formation of large multiprotein complexes (PubMed : 9891014). In addition to histones, deacetylates other proteins, such as CTTN, tubulin and SQSTM1 (PubMed : 19893491, PubMed : 27737934). Plays a central role in microtubule-dependent cell motility by mediating deacetylation of tubulin (PubMed : 19893491, PubMed : 27737934). Required for cilia disassembly; via deacetylation of alpha-tubulin (By similarity). Promotes deacetylation of CTTN, leading to actin polymerization, promotion of autophagosome-lysosome fusion and completion of autophagy (By similarity). Promotes odontoblast differentiation following IPO7-mediated nuclear import and subsequent repression of RUNX2 expression (PubMed : 35922041). In addition to its protein deacetylase activity, plays a key role in the degradation of misfolded proteins : when misfolded proteins are too abundant to be degraded by the chaperone refolding system and the ubiquitin-proteasome, mediates the transport of misfolded proteins to a cytoplasmic juxtanuclear structure called aggresome (By similarity). Probably acts as an adapter that recognizes polyubiquitinated misfolded proteins and target them to the aggresome, facilitating their clearance by autophagy (PubMed : 22819792).
See full target information Hdac6

Publications (6)

Recent publications for all applications. Explore the full list and refine your search

BMC cancer 25:305 PubMed39979838

2025

Up-regulation of mA writer METTL14 inhibits tumorigenesis by suppressing glycolysis in colorectal cancer.

Applications

Unspecified application

Species

Unspecified reactive species

Lulu Li,Rong Zhang,Yongsheng Li

Cancer cell international 24:385 PubMed39568023

2024

Adipose stem cell exosomes, stimulated by pro-inflammatory factors, enhance immune evasion in triple-negative breast cancer by modulating the HDAC6/STAT3/PD-L1 pathway through the transporter UCHL1.

Applications

Unspecified application

Species

Unspecified reactive species

Qin Zhu,Kejing Zhang,Yukun Cao,Yu Hu

CNS neuroscience & therapeutics 30:e14573 PubMed38421101

2024

HDAC9-mediated calmodulin deacetylation induces memory impairment in Alzheimer's disease.

Applications

Unspecified application

Species

Unspecified reactive species

Hai-Long Zhang,Shufen Hu,Pin Yang,Han-Chun Long,Quan-Hong Ma,Dong-Min Yin,Guang-Yin Xu

Nature communications 15:1352 PubMed38409164

2024

Targeting HDAC6 to treat heart failure with preserved ejection fraction in mice.

Applications

Unspecified application

Species

Unspecified reactive species

Sara Ranjbarvaziri,Aliya Zeng,Iris Wu,Amara Greer-Short,Farshad Farshidfar,Ana Budan,Emma Xu,Reva Shenwai,Matthew Kozubov,Cindy Li,Melissa Van Pell,Francis Grafton,Charles E MacKay,Xiaomei Song,James R Priest,Gretchen Argast,Mohammad A Mandegar,Timothy Hoey,Jin Yang

PeerJ 11:e15293 PubMed37138816

2023

Selective HDAC6 inhibitor TubA offers neuroprotection after intracerebral hemorrhage inhibiting neuronal apoptosis.

Applications

Unspecified application

Species

Unspecified reactive species

Cuiying Peng,Xiyu Gong,Zhiping Hu,Chunli Chen,Zheng Jiang

Frontiers in cellular neuroscience 16:1037105 PubMed36519081

2022

Epigenetic histone acetylation modulating prenatal Poly I:C induced neuroinflammation in the prefrontal cortex of rats: a study in a maternal immune activation model.

Applications

Unspecified application

Species

Unspecified reactive species

Yueqing Su,Jiamei Lian,Shiyan Chen,Wenchang Zhang,Chao Deng
View all publications

Product promise

We are committed to supporting your work with high-quality reagents, and we're here for you every step of the way. In the unlikely event that one of our products does not perform as expected, you're protected by our Product Promise.
For full details, please see our Terms & Conditions

Please note: All products are 'FOR RESEARCH USE ONLY. NOT FOR USE IN DIAGNOSTIC OR THERAPEUTIC PROCEDURES'.

For licensing inquiries, please contact partnerships@abcam.com