JavaScript is disabled in your browser. Please enable JavaScript to view this website.
AB264565

Anti-HDAC6 antibody [EPR22951-29] - BSA and Azide free

Be the first to review this product! Submit a review

|

(0 Publication)

Rabbit Recombinant Monoclonal HDAC6 antibody. Carrier free. Suitable for IP, WB, Flow Cyt (Intra) and reacts with Mouse, Rat samples.

View Alternative Names

Histone deacetylase 6, HD6, Histone deacetylase mHDA2, Protein deacetylase HDAC6, Tubulin-lysine deacetylase HDAC6, Hdac6

3 Images
Flow Cytometry (Intracellular) - Anti-HDAC6 antibody [EPR22951-29] - BSA and Azide free (AB264565)
  • Flow Cyt (Intra)

Unknown

Flow Cytometry (Intracellular) - Anti-HDAC6 antibody [EPR22951-29] - BSA and Azide free (AB264565)

Intracellular flow cytometric analysis of 4% paraformaldehyde fixed 90% methanol permeabilized Neuro-2a (Mouse neuroblastoma neuroblast) cells labeling HDAC6 with ab239362 at 1\600 (Red) compared with a Rabbit monoclonal IgG (ab172730) / Black isotype control and an unlabeled control (cells without incubation with primary antibody and secondary antibody) (Blue). A Goat anti rabbit IgG (Alexa Fluor® 488, ab150077) at 1/2000 was used as the secondary antibody.

This data was developed using the same antibody clone in a different buffer formulation containing PBS, BSA, glycerol, and sodium azide (ab239362).

Flow Cytometry (Intracellular) - Anti-HDAC6 antibody [EPR22951-29] - BSA and Azide free (AB264565)
  • Flow Cyt (Intra)

Unknown

Flow Cytometry (Intracellular) - Anti-HDAC6 antibody [EPR22951-29] - BSA and Azide free (AB264565)

Intracellular flow cytometric analysis of 4% paraformaldehyde fixed 90% methanol permeabilized NIH/3T3 (Mouse embryonic fibroblast) cells labeling HDAC6 with ab239362 at 1\600 (Red) compared with a Rabbit monoclonal IgG (ab172730) / Black isotype control and an unlabeled control (cells without incubation with primary antibody and secondary antibody) (Blue). A Goat anti rabbit IgG (Alexa Fluor® 488, ab150077) at 1/2000 was used as the secondary antibody.

This data was developed using the same antibody clone in a different buffer formulation containing PBS, BSA, glycerol, and sodium azide (ab239362).

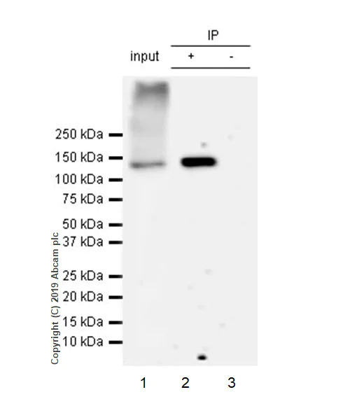
Immunoprecipitation - Anti-HDAC6 antibody [EPR22951-29] - BSA and Azide free (AB264565)
  • IP

Unknown

Immunoprecipitation - Anti-HDAC6 antibody [EPR22951-29] - BSA and Azide free (AB264565)

HDAC6 was immunoprecipitated from 0.35 mg mouse brain lysate 10μg with ab239362 at 1/30 dilution (2μg in 0.35mg lysates). Western blot was performed on the immunoprecipitate using ab239362 at 1/1000 dilution. VeriBlot for IP Detection Reagent (HRP) (ab131366) was used at 1/5000 dilution.

Lane 1 : Mouse brain lysate 10μg

Lane 2 : ab239362 IP in mouse brain lysate

Lane 3 : Rabbit monoclonal IgG (ab172730) instead of ab239362 in mouse brain lysate

Blocking and dilution buffer and concentration : 5% NFDM/TBST.

Exposure time : 3 mins.

This data was developed using the same antibody clone in a different buffer formulation containing PBS, BSA, glycerol, and sodium azide (ab239362).

All lanes:

Immunoprecipitation - Anti-HDAC6 antibody [EPR22951-29] (<a href='/en-us/products/primary-antibodies/hdac6-antibody-epr22951-29-ab239362'>ab239362</a>)

Predicted band size: 131 kDa

false

  • Unconjugated

    Anti-HDAC6 antibody [EPR22951-29]

  • 665 Alexa Fluor® 647

    Alexa Fluor® 647 Anti-HDAC6 antibody [EPR22951-29]

  • 519 Alexa Fluor® 488

    Alexa Fluor® 488 Anti-HDAC6 antibody [EPR22951-29]

  • 578 PE

    PE Anti-HDAC6 antibody [EPR22951-29]

  • 660 APC

    APC Anti-HDAC6 antibody [EPR22951-29]

Key facts

Host species

Rabbit

Clonality

Monoclonal

Clone number

EPR22951-29

Isotype

IgG

Carrier free

Yes

Reacts with

Mouse, Rat

Applications

WB, Flow Cyt (Intra), IP

applications

Immunogen

The exact immunogen used to generate this antibody is proprietary information.

Reactivity data

{ "title": "Reactivity Data", "filters": { "stats": ["", "Species", "Dilution Info", "Notes"], "tabs": { "all-applications": {"fullname" : "All Applications", "shortname": "All Applications"}, "IP" : {"fullname" : "Immunoprecipitation", "shortname":"IP"}, "WB" : {"fullname" : "Western blot", "shortname":"WB"}, "IHCP" : {"fullname" : "Immunohistochemistry (Formalin/PFA-fixed paraffin-embedded sections)", "shortname":"IHC-P"}, "ICCIF" : {"fullname" : "Immunocytochemistry/ Immunofluorescence", "shortname":"ICC/IF"}, "FlowCytIntra" : {"fullname" : "Flow Cytometry (Intracellular)", "shortname":"Flow Cyt (Intra)"} }, "product-promise": { "all": "all", "testedAndGuaranteed": "tested", "guaranteed": "expected", "predicted": "predicted", "notRecommended": "not-recommended" } }, "values": { "Mouse": { "IP-species-checked": "testedAndGuaranteed", "IP-species-dilution-info": "1/30", "IP-species-notes": "<p></p>", "WB-species-checked": "guaranteed", "WB-species-dilution-info": "", "WB-species-notes": "<p></p>", "IHCP-species-checked": "notRecommended", "IHCP-species-dilution-info": "", "IHCP-species-notes": "<p></p>", "ICCIF-species-checked": "notRecommended", "ICCIF-species-dilution-info": "", "ICCIF-species-notes": "<p></p>", "FlowCytIntra-species-checked": "testedAndGuaranteed", "FlowCytIntra-species-dilution-info": "", "FlowCytIntra-species-notes": "<p></p>" }, "Rat": { "IP-species-checked": "predicted", "IP-species-dilution-info": "", "IP-species-notes": "", "WB-species-checked": "guaranteed", "WB-species-dilution-info": "", "WB-species-notes": "<p></p>", "IHCP-species-checked": "notRecommended", "IHCP-species-dilution-info": "", "IHCP-species-notes": "<p></p>", "ICCIF-species-checked": "notRecommended", "ICCIF-species-dilution-info": "", "ICCIF-species-notes": "<p></p>", "FlowCytIntra-species-checked": "predicted", "FlowCytIntra-species-dilution-info": "", "FlowCytIntra-species-notes": "" } } }

Product details

ab264565 is the carrier-free version of ab239362.

Patented technology
Our RabMAb® technology is a patented hybridoma-based technology for making rabbit monoclonal antibodies. For details on our patents, please refer to RabMAb® patents.

What are the advantages of a recombinant monoclonal antibody?
This product is a recombinant monoclonal antibody, which offers several advantages including:

  • - High batch-to-batch consistency and reproducibility
  • - Improved sensitivity and specificity
  • - Long-term security of supply
  • - Animal-free batch production

For more information, read more on recombinant antibodies.

Conjugation ready
Our carrier-free antibodies are typically supplied in a PBS-only formulation, purified and free of BSA, sodium azide and glycerol. This conjugation-ready format is designed for use with fluorochromes, metal isotopes, oligonucleotides, and enzymes, which makes them ideal for antibody labelling, functional and cell-based assays, flow-based assays (e.g. mass cytometry) and Multiplex Imaging applications.

Use our conjugation kits for antibody conjugates that are ready-to-use in as little as 20 minutes with 1 minute hands-on-time and 100% antibody recovery: available for fluorescent dyes, HRP, biotin and gold.

Compatibility
This product is compatible with the Maxpar® Antibody Labeling Kit from Fluidigm, without the need for antibody preparation. Maxpar® is a trademark of Fluidigm Canada Inc.

Properties and storage information

Form
Liquid
Purification technique
Affinity purification Protein A
Storage buffer
pH: 7.2 - 7.4 Constituents: PBS
Shipped at conditions
Blue Ice
Appropriate short-term storage conditions
+4°C
Appropriate long-term storage conditions
+4°C
Storage information
Do Not Freeze

Supplementary information

This supplementary information is collated from multiple sources and compiled automatically.

HDAC6 or histone deacetylase 6 is a protein that primarily functions as a cytoplasmic deacetylase. It is part of the class IIb HDAC family and is known for its distinctive molecular weight of approximately 121 kDa. HDAC6 is expressed in various tissues with higher levels observed in the brain kidney and liver. This protein is unique as it contains two catalytic domains unlike other HDACs which contributes to its specific deacetylation of non-histone substrates including tubulin and Hsp90 influencing cell motility and stress response.
Biological function summary

HDAC6 plays a significant role in processes like protein degradation and cell signaling. It is an important component of the protein quality control system involving itself in the aggresome pathway where it facilitates the removal of misfolded proteins through interaction with dynein motor proteins. In addition to its presence in the cytoplasm HDAC6 influences cell migration and immune response regulation by de-phosphorylating cortactin and affecting actin filament dynamics. Its integral role in the aggresome-autophagy pathway positions it as important for cellular homeostasis maintenance.

Pathways

HDAC6 participates prominently in both autophagy and stress response pathways. In the autophagic process HDAC6 operates alongside ubiquitinated proteins to manage protein quality control. Moreover HDAC6 engages in stress response pathways like the heat shock response interacting directly with Hsp90 to regulate client protein activation. These pathways highlight HDAC6’s relationships with key proteins such as Hsp70 and tau linking it to cellular stress and neurodegeneration responses.

HDAC6 exhibits connections to neurodegenerative diseases and cancer. Dysregulated HDAC6 activity associates with Alzheimer's disease where it affects tau protein accumulation and degradation. The protein is also implicated in various cancers such as breast and ovarian cancer due to its influence on cell migration and invasion. It interacts with p53 impacting apoptosis and tumor progression making HDAC6 a potential target for therapeutic interventions with HDAC6 inhibitors which aim to restore normal cellular functions disrupted by abnormal HDAC6 activity.

Product protocols

For this product, it's our understanding that no specific protocols are required. You can visit:

Target data

Responsible for the deacetylation of lysine residues on the N-terminal part of the core histones (H2A, H2B, H3 and H4) (PubMed : 9891014). Histone deacetylation gives a tag for epigenetic repression and plays an important role in transcriptional regulation, cell cycle progression and developmental events (PubMed : 9891014). Histone deacetylases act via the formation of large multiprotein complexes (PubMed : 9891014). In addition to histones, deacetylates other proteins, such as CTTN, tubulin and SQSTM1 (PubMed : 19893491, PubMed : 27737934). Plays a central role in microtubule-dependent cell motility by mediating deacetylation of tubulin (PubMed : 19893491, PubMed : 27737934). Required for cilia disassembly; via deacetylation of alpha-tubulin (By similarity). Promotes deacetylation of CTTN, leading to actin polymerization, promotion of autophagosome-lysosome fusion and completion of autophagy (By similarity). Promotes odontoblast differentiation following IPO7-mediated nuclear import and subsequent repression of RUNX2 expression (PubMed : 35922041). In addition to its protein deacetylase activity, plays a key role in the degradation of misfolded proteins : when misfolded proteins are too abundant to be degraded by the chaperone refolding system and the ubiquitin-proteasome, mediates the transport of misfolded proteins to a cytoplasmic juxtanuclear structure called aggresome (By similarity). Probably acts as an adapter that recognizes polyubiquitinated misfolded proteins and target them to the aggresome, facilitating their clearance by autophagy (PubMed : 22819792).
See full target information Hdac6

Product promise

We are committed to supporting your work with high-quality reagents, and we're here for you every step of the way. In the unlikely event that one of our products does not perform as expected, you're protected by our Product Promise.
For full details, please see our Terms & Conditions

Please note: All products are 'FOR RESEARCH USE ONLY. NOT FOR USE IN DIAGNOSTIC OR THERAPEUTIC PROCEDURES'.

For licensing inquiries, please contact partnerships@abcam.com