JavaScript is disabled in your browser. Please enable JavaScript to view this website.
AB274378

Anti-HDAC8 antibody [EPR23837-45] - BSA and Azide free

Be the first to review this product! Submit a review

|

(0 Publication)

Rabbit Recombinant Monoclonal HDAC8 antibody. Carrier free. Suitable for IP, WB and reacts with Mouse, Human, Rat samples.

View Alternative Names

HDACL1, CDA07, HDAC8, Histone deacetylase 8, HD8, Protein deacetylase HDAC8, Protein decrotonylase HDAC8

5 Images
Immunoprecipitation - Anti-HDAC8 antibody [EPR23837-45] - BSA and Azide free (AB274378)
  • IP

Unknown

Immunoprecipitation - Anti-HDAC8 antibody [EPR23837-45] - BSA and Azide free (AB274378)

HDAC8 was immunoprecipitated from 0.35 mg K-562 (human chronic myelogenous leukemia lymphoblast) whole cell lysate with ab274372 at 1/30 dilution (2ug in 0.35mg lysates). Western blot was performed on the immunoprecipitate using ab274372 at 1/1000 dilution. VeriBlot for IP Detection Reagent (HRP)(ab131366) was used at 1/5000 dilution.

Lane 1 : K-562 (human chronic myelogenous leukemia lymphoblast) whole cell lysate 10 ug.

Lane 2 : ab274372 IP in K-562 whole cell lysate.

Lane 3 : Rabbit monoclonal IgG (ab172730) instead of ab274372 in K-562 whole cell lysate

Blocking and dilution buffer and concentration : 5% NFDM/TBST.

Exposure time : 3 minutes.

This data was developed using the same antibody clone in a different buffer formulation containing PBS, BSA, glycerol, and sodium azide (ab274372).

All lanes:

Immunoprecipitation - Anti-HDAC8 antibody [EPR23837-45] (<a href='/en-us/products/primary-antibodies/hdac8-antibody-epr23837-45-ab274372'>ab274372</a>)

Predicted band size: 42 kDa

Observed band size: 42 kDa

false

Immunoprecipitation - Anti-HDAC8 antibody [EPR23837-45] - BSA and Azide free (AB274378)
  • IP

Unknown

Immunoprecipitation - Anti-HDAC8 antibody [EPR23837-45] - BSA and Azide free (AB274378)

HDAC8 was immunoprecipitated from 0.35 mg NIH/3T3 (mouse embryonic fibroblast) whole cell lysate with ab274372 at 1/30 dilution (2ug in 0.35mg lysates). Western blot was performed on the immunoprecipitate using ab274372 at 1/1000 dilution. VeriBlot for IP Detection Reagent (HRP)(ab131366) was used at 1/5000 dilution.

Lane 1 : NIH/3T3 (mouse embryonic fibroblast) whole cell lysate 10 ug.

Lane 2 : ab274372 IP in NIH/3T3 whole cell lysate.

Lane 3 : Rabbit monoclonal IgG (ab172730) instead of ab274372 in NIH/3T3 whole cell lysate.

Blocking and dilution buffer and concentration : 5% NFDM/TBST.

Exposure time : 3 minutes.

This data was developed using the same antibody clone in a different buffer formulation containing PBS, BSA, glycerol, and sodium azide (ab274372).

All lanes:

Immunoprecipitation - Anti-HDAC8 antibody [EPR23837-45] (<a href='/en-us/products/primary-antibodies/hdac8-antibody-epr23837-45-ab274372'>ab274372</a>)

Predicted band size: 42 kDa

Observed band size: 42 kDa

false

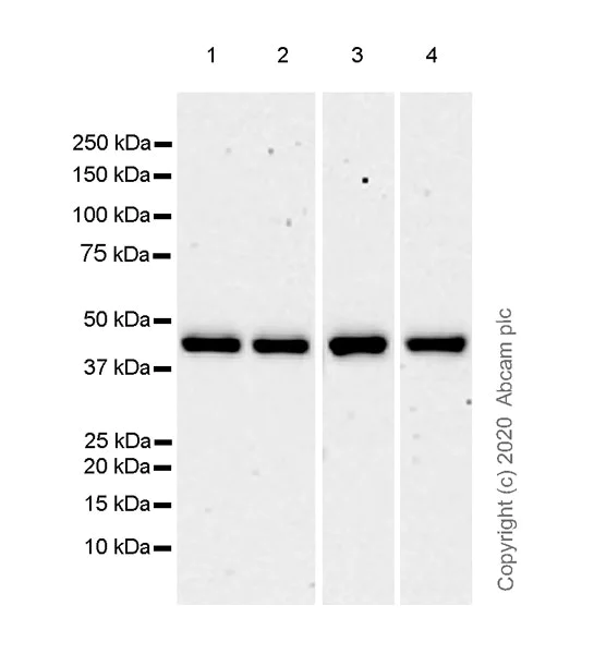
Western blot - Anti-HDAC8 antibody [EPR23837-45] - BSA and Azide free (AB274378)
  • WB

Lab

Western blot - Anti-HDAC8 antibody [EPR23837-45] - BSA and Azide free (AB274378)

Blocking and diluting buffer and concentration : 5% NFDM/TBST.

Exposure time : 3 minutes.

This data was developed using the same antibody clone in a different buffer formulation containing PBS, BSA, glycerol, and sodium azide (ab274372)

All lanes:

Western blot - Anti-HDAC8 antibody [EPR23837-45] (<a href='/en-us/products/primary-antibodies/hdac8-antibody-epr23837-45-ab274372'>ab274372</a>) at 1/1000 dilution

Lane 1:

K-562 (human chronic myelogenous leukemia lymphoblast) whole cell lysate at 20 µg

Lane 2:

HeLa (human cervix adenocarcinoma epithelial cell) whole cell lysate at 20 µg

Lane 3:

LADMAC (mouse bone marrow monocyte macrophage) whole cell lysate at 20 µg

Lane 4:

C6 (rat glial tumor glial cell) whole cell lysate at 20 µg

Secondary

All lanes:

Goat Anti-Rabbit IgG, (H+L), Peroxidase conjugated (<a href='/en-us/products/secondary-antibodies/goat-rabbit-igg-h-l-hrp-ab97051'>ab97051</a>) at 1/50000 dilution

Predicted band size: 42 kDa

Observed band size: 42 kDa

false

Western blot - Anti-HDAC8 antibody [EPR23837-45] - BSA and Azide free (AB274378)
  • WB

Lab

Western blot - Anti-HDAC8 antibody [EPR23837-45] - BSA and Azide free (AB274378)

Blocking and diluting buffer and concentration : 5% NFDM/TBST.

This blot was developed using a higher sensitivity ECL substrate.

Exposure time : 3 minutes

This data was developed using the same antibody clone in a different buffer formulation containing PBS, BSA, glycerol, and sodium azide (ab274372)

All lanes:

Western blot - Anti-HDAC8 antibody [EPR23837-45] (<a href='/en-us/products/primary-antibodies/hdac8-antibody-epr23837-45-ab274372'>ab274372</a>) at 1/1000 dilution

All lanes:

Human brain tissue lysate at 20 µg

Secondary

All lanes:

VeriBlot for IP secondary antibody(HRP)(<a href='/en-us/products/reagents/veriblot-for-ip-detection-reagent-hrp-ab131366'>ab131366</a>) at 1/1000 dilution

Predicted band size: 42 kDa

Observed band size: 42 kDa

false

Western blot - Anti-HDAC8 antibody [EPR23837-45] - BSA and Azide free (AB274378)
  • WB

Lab

Western blot - Anti-HDAC8 antibody [EPR23837-45] - BSA and Azide free (AB274378)

This data was developed using ab274372, the same antibody clone in a different buffer formulation.

Western blot : Rabbit Monoclonal [EPR23837-45] to HDAC8 ab274372 staining at 1/1000 dilution, shown in green; Mouse anti-CANX (ab238078) loading control staining at 1/20,000 dilution, shown in magenta.

A band was observed at 42 kDa in Wild-type U-87 MG cell lysates with no signal observed at this size in HDAC8 knockout U-87 MG cell line.

To generate this image, samples were run on an SDS-PAGE gel then transferred onto a nitrocellulose membrane. Membranes were blocked in 5pc Milk in TBS-0.1 % Tween® 20 (TBS-T) before incubation with primary antibodies overnight at 4 °C. Blots were washed four times in TBS-T, incubated with secondary antibodies for 1 h at room temperature, washed again four times then imaged.

Secondary antibodies used were Goat anti-Rabbit 800CW & Goat anti-Mouse 680RD at 1/20,000 dilution.

All lanes:

Western blot - Anti-HDAC8 antibody [EPR23837-45] (<a href='/en-us/products/primary-antibodies/hdac8-antibody-epr23837-45-ab274372'>ab274372</a>) at 1/1000 dilution

Lane 1:

Wild-type U-87 MG at 20 µg

Lane 2:

HDAC8 knockout U-87 MG at 20 µg

Lane 3:

HeLa at 20 µg

Lane 4:

HCT 116 at 20 µg

Secondary

All lanes:

Goat anti-Rabbit 800CW & Goat anti-Mouse 680RD at 1/20000 dilution

Predicted band size: 42 kDa

Observed band size: 42 kDa

false

  • Unconjugated

    Anti-HDAC8 antibody [EPR23837-45]

  • Carrier free

    Anti-HDAC8 antibody [EPR23837-45] - BSA and Azide free (Detector)

Key facts

Host species

Rabbit

Clonality

Monoclonal

Clone number

EPR23837-45

Isotype

IgG

Carrier free

Yes

Reacts with

Mouse, Rat, Human

Applications

WB, IP

applications

Immunogen

The exact immunogen used to generate this antibody is proprietary information.

Reactivity data

{ "title": "Reactivity Data", "filters": { "stats": ["", "Species", "Dilution Info", "Notes"], "tabs": { "all-applications": {"fullname" : "All Applications", "shortname": "All Applications"}, "ICCIF" : {"fullname" : "Immunocytochemistry/ Immunofluorescence", "shortname":"ICC/IF"}, "IP" : {"fullname" : "Immunoprecipitation", "shortname":"IP"}, "FlowCyt" : {"fullname" : "Flow Cytometry", "shortname":"Flow Cyt"}, "WB" : {"fullname" : "Western blot", "shortname":"WB"}, "IHCP" : {"fullname" : "Immunohistochemistry (Formalin/PFA-fixed paraffin-embedded sections)", "shortname":"IHC-P"} }, "product-promise": { "all": "all", "testedAndGuaranteed": "tested", "guaranteed": "expected", "predicted": "predicted", "notRecommended": "not-recommended" } }, "values": { "Human": { "ICCIF-species-checked": "notRecommended", "ICCIF-species-dilution-info": "", "ICCIF-species-notes": "<p></p>", "IP-species-checked": "testedAndGuaranteed", "IP-species-dilution-info": "", "IP-species-notes": "<p></p>", "FlowCyt-species-checked": "notRecommended", "FlowCyt-species-dilution-info": "", "FlowCyt-species-notes": "<p></p>", "WB-species-checked": "testedAndGuaranteed", "WB-species-dilution-info": "", "WB-species-notes": "<p></p>", "IHCP-species-checked": "notRecommended", "IHCP-species-dilution-info": "", "IHCP-species-notes": "<p></p>" }, "Mouse": { "ICCIF-species-checked": "notRecommended", "ICCIF-species-dilution-info": "", "ICCIF-species-notes": "<p></p>", "IP-species-checked": "testedAndGuaranteed", "IP-species-dilution-info": "", "IP-species-notes": "<p></p>", "FlowCyt-species-checked": "notRecommended", "FlowCyt-species-dilution-info": "", "FlowCyt-species-notes": "<p></p>", "WB-species-checked": "testedAndGuaranteed", "WB-species-dilution-info": "", "WB-species-notes": "<p></p>", "IHCP-species-checked": "notRecommended", "IHCP-species-dilution-info": "", "IHCP-species-notes": "<p></p>" }, "Rat": { "ICCIF-species-checked": "notRecommended", "ICCIF-species-dilution-info": "", "ICCIF-species-notes": "<p></p>", "IP-species-checked": "guaranteed", "IP-species-dilution-info": "", "IP-species-notes": "", "FlowCyt-species-checked": "notRecommended", "FlowCyt-species-dilution-info": "", "FlowCyt-species-notes": "<p></p>", "WB-species-checked": "testedAndGuaranteed", "WB-species-dilution-info": "", "WB-species-notes": "<p></p>", "IHCP-species-checked": "notRecommended", "IHCP-species-dilution-info": "", "IHCP-species-notes": "<p></p>" } } }

Product details

ab274378 is the carrier-free version of ab274372.

Patented technology
Our RabMAb® technology is a patented hybridoma-based technology for making rabbit monoclonal antibodies. For details on our patents, please refer to RabMAb® patents.

What are the advantages of a recombinant monoclonal antibody?
This product is a recombinant monoclonal antibody, which offers several advantages including:

  • - High batch-to-batch consistency and reproducibility
  • - Improved sensitivity and specificity
  • - Long-term security of supply
  • - Animal-free batch production

For more information, read more on recombinant antibodies.

Conjugation ready
Our carrier-free antibodies are typically supplied in a PBS-only formulation, purified and free of BSA, sodium azide and glycerol. This conjugation-ready format is designed for use with fluorochromes, metal isotopes, oligonucleotides, and enzymes, which makes them ideal for antibody labelling, functional and cell-based assays, flow-based assays (e.g. mass cytometry) and Multiplex Imaging applications.

Use our conjugation kits for antibody conjugates that are ready-to-use in as little as 20 minutes with 1 minute hands-on-time and 100% antibody recovery: available for fluorescent dyes, HRP, biotin and gold.

Compatibility
This product is compatible with the Maxpar® Antibody Labeling Kit from Fluidigm, without the need for antibody preparation. Maxpar® is a trademark of Fluidigm Canada Inc.

Properties and storage information

Form
Liquid
Purification technique
Affinity purification Protein A
Storage buffer
pH: 7.2 - 7.4 Constituents: PBS
Shipped at conditions
Blue Ice
Appropriate short-term storage conditions
+4°C
Appropriate long-term storage conditions
+4°C
Storage information
Do Not Freeze

Supplementary information

This supplementary information is collated from multiple sources and compiled automatically.

The protein HDAC8 also known as Histone Deacetylase 8 functions mechanically by removing acetyl groups from histone tails influencing chromatin structure and gene expression. HDAC8 has a molecular mass of roughly 41 kDa. It expresses in various tissues but shows higher expression in smooth muscle cells and certain cancer cell lines. Researchers also note its expression in the brain and liver corresponding to sections that require its deacetylase activity for various regulatory functions.
Biological function summary

HDAC8 plays a role in regulating transcription by being involved in altering chromatin structure. It does not form part of a large multi-protein complex unlike some other histone deacetylases. Its activity affects cell cycle progression and differentiation which is central to cellular physiology. HDAC8 also participates in non-histone protein deacetylation impacting various substrates allowing it to govern diverse cellular processes.

Pathways

Scientists associate HDAC8 with cell cycle regulation and muscle contraction. HDAC8 plays a role in the molecular pathways that control how myosin light chains undergo deacetylation interacting with proteins such as smooth muscle actin. During cell cycle regulation HDAC8 affects p53 a protein critical in controlling cell cycle progression and apoptosis integrating into pathways that decide cellular outcomes during division and response to stress.

Researchers identify HDAC8 as having connections to certain cancers and Cornelia de Lange Syndrome (CdLS). Its deregulation links to tumorigenesis particularly in colorectal and neuroblastoma cancers where it may interact with oncogenes and tumor suppressors. In CdLS mutations that affect HDAC8 lead to developmental issues with the disorder being connected to the cohesin complex proteins which highlight HDAC8's importance in chromosomal cohesion and gene expression regulation.

Product protocols

For this product, it's our understanding that no specific protocols are required. You can visit:

Target data

Histone deacetylase that catalyzes the deacetylation of lysine residues on the N-terminal part of the core histones (H2A, H2B, H3 and H4) (PubMed : 10748112, PubMed : 10922473, PubMed : 10926844, PubMed : 14701748, PubMed : 28497810). Histone deacetylation gives a tag for epigenetic repression and plays an important role in transcriptional regulation, cell cycle progression and developmental events (PubMed : 10748112, PubMed : 10922473, PubMed : 10926844, PubMed : 14701748). Histone deacetylases act via the formation of large multiprotein complexes (PubMed : 10748112, PubMed : 10922473, PubMed : 10926844, PubMed : 14701748). Also involved in the deacetylation of cohesin complex protein SMC3 regulating release of cohesin complexes from chromatin (PubMed : 22885700). May play a role in smooth muscle cell contractility (PubMed : 15772115). In addition to protein deacetylase activity, also has protein-lysine deacylase activity : acts as a protein decrotonylase by mediating decrotonylation ((2E)-butenoyl) of histones (PubMed : 28497810).
See full target information HDAC8

Product promise

We are committed to supporting your work with high-quality reagents, and we're here for you every step of the way. In the unlikely event that one of our products does not perform as expected, you're protected by our Product Promise.
For full details, please see our Terms & Conditions

Please note: All products are 'FOR RESEARCH USE ONLY. NOT FOR USE IN DIAGNOSTIC OR THERAPEUTIC PROCEDURES'.

For licensing inquiries, please contact partnerships@abcam.com