JavaScript is disabled in your browser. Please enable JavaScript to view this website.
AB315230

Anti-HDAC8 antibody [EPR27304-93]

  • BOND RX™ Validated
  • 20ul selling size
  • RabMAb
  • KO Validated
  • Recombinant
  • What is this?

Be the first to review this product! Submit a review

|

(0 Publication)

Knockout Tested Rabbit Recombinant Monoclonal HDAC8 antibody. Suitable for IHC-P and reacts with Human, Mouse, Rat samples.

View Alternative Names

HDACL1, CDA07, HDAC8, Histone deacetylase 8, HD8, Protein deacetylase HDAC8, Protein decrotonylase HDAC8

6 Images
Immunohistochemistry (Formalin/PFA-fixed paraffin-embedded sections) - Anti-HDAC8 antibody [EPR27304-93] (AB315230)
  • IHC-P

Supplier Data

Immunohistochemistry (Formalin/PFA-fixed paraffin-embedded sections) - Anti-HDAC8 antibody [EPR27304-93] (AB315230)

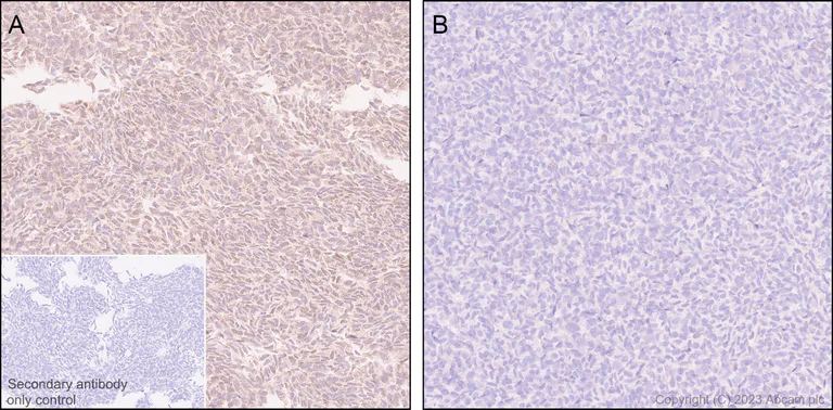
Immunohistochemical analysis of paraffin-embedded (A) Parental HAP1 (human chronic myelogenous leukemia near-haploid cell) cell pellet. (B) HDAC8 knockout HAP1 cell pellet. tissue labeling HDAC8 with ab315230 at 1/1000 (0.499 ug/ml) dilution, followed by a ready to use Rabbit specific IHC polymer detection kit HRP/DAB (ab209101).

Positive staining on (A) parental HAP1 cell pellet; no staining on (B) HDAC8 knockout HAP1 cell pellet. The section was incubated with ab315230 for 30 mins at room temperature. The immunostaining was performed on a Leica Biosystems BOND® RX instrument Counterstained with Hematoxylin.

Secondary antibody only control : Secondary antibody is a ready to use Rabbit specific IHC polymer detection kit HRP/DAB (ab209101).

Heat mediated antigen retrieval was performed with Tris-EDTA buffer (pH 9.0, Epitope Retrieval Solution2) for 20 mins

Immunohistochemistry (Formalin/PFA-fixed paraffin-embedded sections) - Anti-HDAC8 antibody [EPR27304-93] (AB315230)
  • IHC-P

Supplier Data

Immunohistochemistry (Formalin/PFA-fixed paraffin-embedded sections) - Anti-HDAC8 antibody [EPR27304-93] (AB315230)

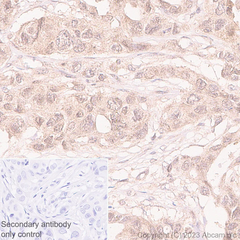
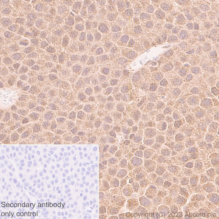
Immunohistochemical analysis of paraffin-embedded Human breast carcinoma tissue labeling HDAC8 with ab315230 at 1/200 (2.495 ug/ml) dilution, followed by a ready to use Rabbit specific IHC polymer detection kit HRP/DAB (ab209101).

Positive staining on human breast carcinoma. The section was incubated with ab315230 for 30 mins at room temperature. The immunostaining was performed on a Leica Biosystems BOND® RX instrument Counterstained with Hematoxylin.

Secondary antibody only control : Secondary antibody is a ready to use Rabbit specific IHC polymer detection kit HRP/DAB (ab209101).

Heat mediated antigen retrieval was performed with Tris-EDTA buffer (pH 9.0, Epitope Retrieval Solution2) for 20 mins

Immunohistochemistry (Formalin/PFA-fixed paraffin-embedded sections) - Anti-HDAC8 antibody [EPR27304-93] (AB315230)
  • IHC-P

Supplier Data

Immunohistochemistry (Formalin/PFA-fixed paraffin-embedded sections) - Anti-HDAC8 antibody [EPR27304-93] (AB315230)

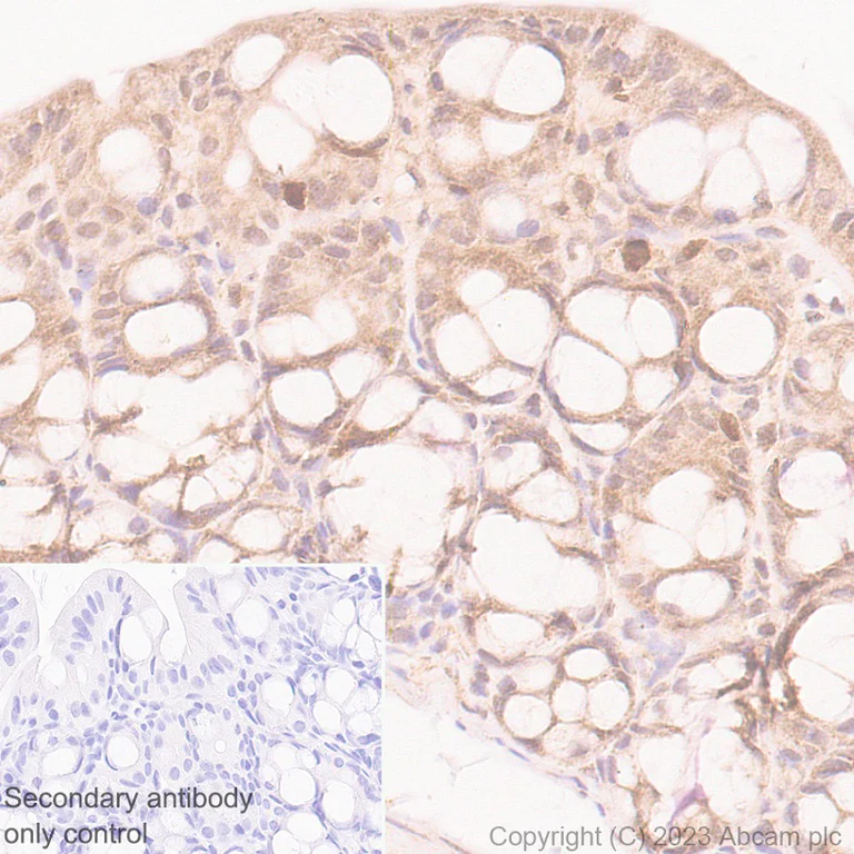
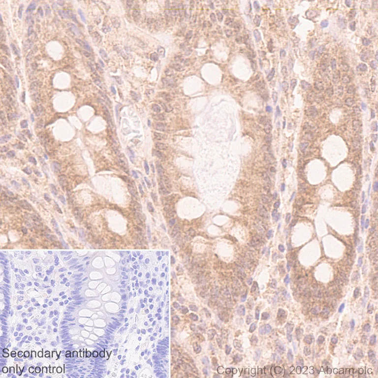
Immunohistochemical analysis of paraffin-embedded Human colon tissue labeling HDAC8 with ab315230 at 1/200 (2.495 ug/ml) dilution, followed by a ready to use Rabbit specific IHC polymer detection kit HRP/DAB (ab209101).

Positive staining on human colon. The section was incubated with ab315230 for 30 mins at room temperature. The immunostaining was performed on a Leica Biosystems BOND® RX instrument Counterstained with Hematoxylin.

Secondary antibody only control : Secondary antibody is a ready to use Rabbit specific IHC polymer detection kit HRP/DAB (ab209101).

Heat mediated antigen retrieval was performed with Tris-EDTA buffer (pH 9.0, Epitope Retrieval Solution2) for 20 mins

Immunohistochemistry (Formalin/PFA-fixed paraffin-embedded sections) - Anti-HDAC8 antibody [EPR27304-93] (AB315230)
  • IHC-P

Supplier Data

Immunohistochemistry (Formalin/PFA-fixed paraffin-embedded sections) - Anti-HDAC8 antibody [EPR27304-93] (AB315230)

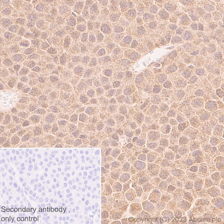
Immunohistochemical analysis of paraffin-embedded Mouse breast tumor tissue labeling HDAC8 with ab315230 at 1/500 (0.998 ug/ml) dilution, followed by a ready to use Rabbit specific IHC polymer detection kit HRP/DAB (ab209101).

Positive staining on mouse breast tumor. The section was incubated with ab315230 for 30 mins at room temperature. The immunostaining was performed on a Leica Biosystems BOND® RX instrument Counterstained with Hematoxylin.

Secondary antibody only control : Secondary antibody is a ready to use Rabbit specific IHC polymer detection kit HRP/DAB (ab209101).

Heat mediated antigen retrieval was performed with Tris-EDTA buffer (pH 9.0, Epitope Retrieval Solution2) for 20 mins

Immunohistochemistry (Formalin/PFA-fixed paraffin-embedded sections) - Anti-HDAC8 antibody [EPR27304-93] (AB315230)
  • IHC-P

Supplier Data

Immunohistochemistry (Formalin/PFA-fixed paraffin-embedded sections) - Anti-HDAC8 antibody [EPR27304-93] (AB315230)

Immunohistochemical analysis of paraffin-embedded Mouse colon tissue labeling HDAC8 with ab315230 at 1/500 (0.998 ug/ml) dilution, followed by a ready to use Rabbit specific IHC polymer detection kit HRP/DAB (ab209101).

Positive staining on mouse colon (PMID : 17909008). The section was incubated with ab315230 for 30 mins at room temperature. The immunostaining was performed on a Leica Biosystems BOND® RX instrument Counterstained with Hematoxylin.

Secondary antibody only control : Secondary antibody is a ready to use Rabbit specific IHC polymer detection kit HRP/DAB (ab209101).

Heat mediated antigen retrieval was performed with Tris-EDTA buffer (pH 9.0, Epitope Retrieval Solution2) for 20 mins

Immunohistochemistry (Formalin/PFA-fixed paraffin-embedded sections) - Anti-HDAC8 antibody [EPR27304-93] (AB315230)
  • IHC-P

Supplier Data

Immunohistochemistry (Formalin/PFA-fixed paraffin-embedded sections) - Anti-HDAC8 antibody [EPR27304-93] (AB315230)

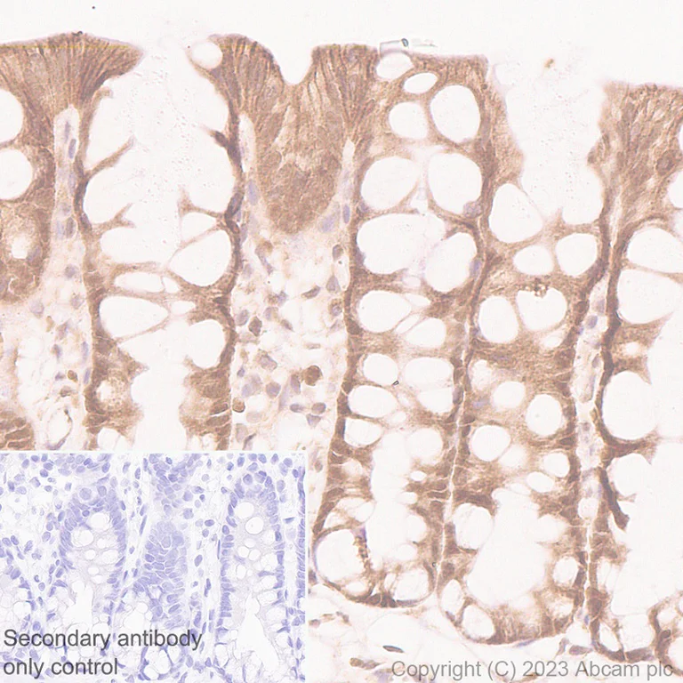
Immunohistochemical analysis of paraffin-embedded Rat colon tissue labeling HDAC8 with ab315230 at 1/500 (0.998 ug/ml) dilution, followed by a ready to use Rabbit specific IHC polymer detection kit HRP/DAB (ab209101).

Positive staining on rat colon. The section was incubated with ab315230 for 30 mins at room temperature. The immunostaining was performed on a Leica Biosystems BOND® RX instrument Counterstained with Hematoxylin.

Secondary antibody only control : Secondary antibody is a ready to use Rabbit specific IHC polymer detection kit HRP/DAB (ab209101).

Heat mediated antigen retrieval was performed with Tris-EDTA buffer (pH 9.0, Epitope Retrieval Solution2) for 20 mins

  • Carrier free

    Anti-HDAC8 antibody [EPR27304-93] - BSA and Azide free

Key facts

Host species

Rabbit

Clonality

Monoclonal

Clone number

EPR27304-93

Isotype

IgG

Carrier free

No

Reacts with

Human, Mouse, Rat

Applications

IHC-P

applications

Immunogen

The exact immunogen used to generate this antibody is proprietary information.

Reactivity data

{ "title": "Reactivity Data", "filters": { "stats": ["", "Species", "Dilution Info", "Notes"], "tabs": { "all-applications": {"fullname" : "All Applications", "shortname": "All Applications"}, "IHCP" : {"fullname" : "Immunohistochemistry (Formalin/PFA-fixed paraffin-embedded sections)", "shortname":"IHC-P"}, "WB" : {"fullname" : "Western blot", "shortname":"WB"}, "IP" : {"fullname" : "Immunoprecipitation", "shortname":"IP"}, "ICCIF" : {"fullname" : "Immunocytochemistry/ Immunofluorescence", "shortname":"ICC/IF"}, "FlowCytIntra" : {"fullname" : "Flow Cytometry (Intracellular)", "shortname":"Flow Cyt (Intra)"} }, "product-promise": { "all": "all", "testedAndGuaranteed": "tested", "guaranteed": "expected", "predicted": "predicted", "notRecommended": "not-recommended" } }, "values": { "Human": { "IHCP-species-checked": "testedAndGuaranteed", "IHCP-species-dilution-info": "1/200 - 1/1000", "IHCP-species-notes": "<p></p> Perform heat-mediated antigen retrieval with Tris/EDTA buffer pH 9.0 before commencing with IHC staining protocol.", "WB-species-checked": "notRecommended", "WB-species-dilution-info": "", "WB-species-notes": "<p></p>", "IP-species-checked": "notRecommended", "IP-species-dilution-info": "", "IP-species-notes": "<p></p>", "ICCIF-species-checked": "notRecommended", "ICCIF-species-dilution-info": "", "ICCIF-species-notes": "<p></p>", "FlowCytIntra-species-checked": "notRecommended", "FlowCytIntra-species-dilution-info": "", "FlowCytIntra-species-notes": "<p></p>" }, "Mouse": { "IHCP-species-checked": "testedAndGuaranteed", "IHCP-species-dilution-info": "1/500", "IHCP-species-notes": "<p></p> Perform heat-mediated antigen retrieval with Tris/EDTA buffer pH 9.0 before commencing with IHC staining protocol.", "WB-species-checked": "notRecommended", "WB-species-dilution-info": "", "WB-species-notes": "<p></p>", "IP-species-checked": "notRecommended", "IP-species-dilution-info": "", "IP-species-notes": "", "ICCIF-species-checked": "notRecommended", "ICCIF-species-dilution-info": "", "ICCIF-species-notes": "", "FlowCytIntra-species-checked": "notRecommended", "FlowCytIntra-species-dilution-info": "", "FlowCytIntra-species-notes": "" }, "Rat": { "IHCP-species-checked": "testedAndGuaranteed", "IHCP-species-dilution-info": "1/500", "IHCP-species-notes": "<p></p> Perform heat-mediated antigen retrieval with Tris/EDTA buffer pH 9.0 before commencing with IHC staining protocol.", "WB-species-checked": "notRecommended", "WB-species-dilution-info": "", "WB-species-notes": "<p></p>", "IP-species-checked": "notRecommended", "IP-species-dilution-info": "", "IP-species-notes": "", "ICCIF-species-checked": "notRecommended", "ICCIF-species-dilution-info": "", "ICCIF-species-notes": "", "FlowCytIntra-species-checked": "notRecommended", "FlowCytIntra-species-dilution-info": "", "FlowCytIntra-species-notes": "" } } }

Product details

Patented technology
Our RabMAb® technology is a patented hybridoma-based technology for making rabbit monoclonal antibodies. For details on our patents, please refer to RabMAb® patents.

What are the advantages of a recombinant monoclonal antibody?
This product is a recombinant monoclonal antibody, which offers several advantages including:

  • - High batch-to-batch consistency and reproducibility
  • - Improved sensitivity and specificity
  • - Long-term security of supply
  • - Animal-free batch production

For more information, read more on recombinant antibodies.

Properties and storage information

Form
Liquid
Purification technique
Affinity purification Protein A
Storage buffer
pH: 7.2 - 7.4 Preservative: 0.01% Sodium azide Constituents: PBS, 40% Glycerol (glycerin, glycerine), 0.05% BSA
Shipped at conditions
Blue Ice
Appropriate short-term storage duration
1-2 weeks
Appropriate short-term storage conditions
+4°C
Appropriate long-term storage conditions
-20°C
Aliquoting information
Upon delivery aliquot
Storage information
Avoid freeze / thaw cycle

Supplementary information

This supplementary information is collated from multiple sources and compiled automatically.

The protein HDAC8 also known as Histone Deacetylase 8 functions mechanically by removing acetyl groups from histone tails influencing chromatin structure and gene expression. HDAC8 has a molecular mass of roughly 41 kDa. It expresses in various tissues but shows higher expression in smooth muscle cells and certain cancer cell lines. Researchers also note its expression in the brain and liver corresponding to sections that require its deacetylase activity for various regulatory functions.
Biological function summary

HDAC8 plays a role in regulating transcription by being involved in altering chromatin structure. It does not form part of a large multi-protein complex unlike some other histone deacetylases. Its activity affects cell cycle progression and differentiation which is central to cellular physiology. HDAC8 also participates in non-histone protein deacetylation impacting various substrates allowing it to govern diverse cellular processes.

Pathways

Scientists associate HDAC8 with cell cycle regulation and muscle contraction. HDAC8 plays a role in the molecular pathways that control how myosin light chains undergo deacetylation interacting with proteins such as smooth muscle actin. During cell cycle regulation HDAC8 affects p53 a protein critical in controlling cell cycle progression and apoptosis integrating into pathways that decide cellular outcomes during division and response to stress.

Researchers identify HDAC8 as having connections to certain cancers and Cornelia de Lange Syndrome (CdLS). Its deregulation links to tumorigenesis particularly in colorectal and neuroblastoma cancers where it may interact with oncogenes and tumor suppressors. In CdLS mutations that affect HDAC8 lead to developmental issues with the disorder being connected to the cohesin complex proteins which highlight HDAC8's importance in chromosomal cohesion and gene expression regulation.

Product protocols

For this product, it's our understanding that no specific protocols are required. You can visit:

Target data

Histone deacetylase that catalyzes the deacetylation of lysine residues on the N-terminal part of the core histones (H2A, H2B, H3 and H4) (PubMed : 10748112, PubMed : 10922473, PubMed : 10926844, PubMed : 14701748, PubMed : 28497810). Histone deacetylation gives a tag for epigenetic repression and plays an important role in transcriptional regulation, cell cycle progression and developmental events (PubMed : 10748112, PubMed : 10922473, PubMed : 10926844, PubMed : 14701748). Histone deacetylases act via the formation of large multiprotein complexes (PubMed : 10748112, PubMed : 10922473, PubMed : 10926844, PubMed : 14701748). Also involved in the deacetylation of cohesin complex protein SMC3 regulating release of cohesin complexes from chromatin (PubMed : 22885700). May play a role in smooth muscle cell contractility (PubMed : 15772115). In addition to protein deacetylase activity, also has protein-lysine deacylase activity : acts as a protein decrotonylase by mediating decrotonylation ((2E)-butenoyl) of histones (PubMed : 28497810).
See full target information HDAC8

Product promise

We are committed to supporting your work with high-quality reagents, and we're here for you every step of the way. In the unlikely event that one of our products does not perform as expected, you're protected by our Product Promise.
For full details, please see our Terms & Conditions

Please note: All products are 'FOR RESEARCH USE ONLY. NOT FOR USE IN DIAGNOSTIC OR THERAPEUTIC PROCEDURES'.

For licensing inquiries, please contact partnerships@abcam.com