JavaScript is disabled in your browser. Please enable JavaScript to view this website.
AB195057

Anti-HDAC8 (phospho S39) antibody

Be the first to review this product! Submit a review

|

(1 Publication)

Rabbit Polyclonal HDAC8 phospho S39 antibody. Suitable for IHC-P, ICC/IF and reacts with Human samples. Cited in 1 publication. Immunogen corresponding to Synthetic Peptide within Human HDAC8 phospho S39.

View Alternative Names

HDACL1, CDA07, HDAC8, Histone deacetylase 8, HD8, Protein deacetylase HDAC8, Protein decrotonylase HDAC8

2 Images
Immunohistochemistry (Formalin/PFA-fixed paraffin-embedded sections) - Anti-HDAC8 (phospho S39) antibody (AB195057)
  • IHC-P

Supplier Data

Immunohistochemistry (Formalin/PFA-fixed paraffin-embedded sections) - Anti-HDAC8 (phospho S39) antibody (AB195057)

Immunohistochemical analysis of paraffin-embedded human lung carcinoma tissue labeling HDAC8 with ab195057 at a 1/50 dilution.

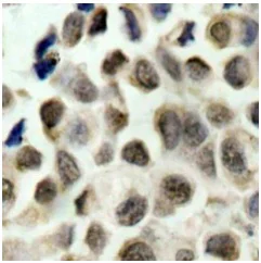
Immunocytochemistry/ Immunofluorescence - Anti-HDAC8 (phospho S39) antibody (AB195057)
  • ICC/IF

Supplier Data

Immunocytochemistry/ Immunofluorescence - Anti-HDAC8 (phospho S39) antibody (AB195057)

Immunofluorescent analysis of methanol-fixed HeLa cells labeling HDAC8 with ab195057 at a 1/100 dilution.

Key facts

Host species

Rabbit

Clonality

Polyclonal

Isotype

IgG

Carrier free

No

Reacts with

Human

Applications

IHC-P, ICC/IF

applications

Immunogen

Synthetic Peptide within Human HDAC8 phospho S39. The exact immunogen used to generate this antibody is proprietary information.

Q9BY41

Reactivity data

{ "title": "Reactivity Data", "filters": { "stats": ["", "Species", "Dilution Info", "Notes"], "tabs": { "all-applications": {"fullname" : "All Applications", "shortname": "All Applications"}, "IHCP" : {"fullname" : "Immunohistochemistry (Formalin/PFA-fixed paraffin-embedded sections)", "shortname":"IHC-P"}, "ICCIF" : {"fullname" : "Immunocytochemistry/ Immunofluorescence", "shortname":"ICC/IF"} }, "product-promise": { "all": "all", "testedAndGuaranteed": "tested", "guaranteed": "expected", "predicted": "predicted", "notRecommended": "not-recommended" } }, "values": { "Human": { "IHCP-species-checked": "testedAndGuaranteed", "IHCP-species-dilution-info": "1/50 - 1/100", "IHCP-species-notes": "<p></p>", "ICCIF-species-checked": "testedAndGuaranteed", "ICCIF-species-dilution-info": "1/100 - 1/200", "ICCIF-species-notes": "<p></p>" } } }

Properties and storage information

Form
Liquid
Purification technique
Affinity purification Immunogen
Storage buffer
pH: 7.3 Preservative: 0.02% Sodium azide Constituents: PBS, 50% Glycerol (glycerin, glycerine)
Shipped at conditions
Blue Ice
Appropriate short-term storage duration
1-2 weeks
Appropriate short-term storage conditions
+4°C
Appropriate long-term storage conditions
-20°C
Aliquoting information
Upon delivery aliquot
Storage information
Avoid freeze / thaw cycle

Supplementary information

This supplementary information is collated from multiple sources and compiled automatically.

The protein HDAC8 also known as Histone Deacetylase 8 functions mechanically by removing acetyl groups from histone tails influencing chromatin structure and gene expression. HDAC8 has a molecular mass of roughly 41 kDa. It expresses in various tissues but shows higher expression in smooth muscle cells and certain cancer cell lines. Researchers also note its expression in the brain and liver corresponding to sections that require its deacetylase activity for various regulatory functions.
Biological function summary

HDAC8 plays a role in regulating transcription by being involved in altering chromatin structure. It does not form part of a large multi-protein complex unlike some other histone deacetylases. Its activity affects cell cycle progression and differentiation which is central to cellular physiology. HDAC8 also participates in non-histone protein deacetylation impacting various substrates allowing it to govern diverse cellular processes.

Pathways

Scientists associate HDAC8 with cell cycle regulation and muscle contraction. HDAC8 plays a role in the molecular pathways that control how myosin light chains undergo deacetylation interacting with proteins such as smooth muscle actin. During cell cycle regulation HDAC8 affects p53 a protein critical in controlling cell cycle progression and apoptosis integrating into pathways that decide cellular outcomes during division and response to stress.

Researchers identify HDAC8 as having connections to certain cancers and Cornelia de Lange Syndrome (CdLS). Its deregulation links to tumorigenesis particularly in colorectal and neuroblastoma cancers where it may interact with oncogenes and tumor suppressors. In CdLS mutations that affect HDAC8 lead to developmental issues with the disorder being connected to the cohesin complex proteins which highlight HDAC8's importance in chromosomal cohesion and gene expression regulation.

Product protocols

For this product, it's our understanding that no specific protocols are required. You can visit:

Target data

Histone deacetylase that catalyzes the deacetylation of lysine residues on the N-terminal part of the core histones (H2A, H2B, H3 and H4) (PubMed : 10748112, PubMed : 10922473, PubMed : 10926844, PubMed : 14701748, PubMed : 28497810). Histone deacetylation gives a tag for epigenetic repression and plays an important role in transcriptional regulation, cell cycle progression and developmental events (PubMed : 10748112, PubMed : 10922473, PubMed : 10926844, PubMed : 14701748). Histone deacetylases act via the formation of large multiprotein complexes (PubMed : 10748112, PubMed : 10922473, PubMed : 10926844, PubMed : 14701748). Also involved in the deacetylation of cohesin complex protein SMC3 regulating release of cohesin complexes from chromatin (PubMed : 22885700). May play a role in smooth muscle cell contractility (PubMed : 15772115). In addition to protein deacetylase activity, also has protein-lysine deacylase activity : acts as a protein decrotonylase by mediating decrotonylation ((2E)-butenoyl) of histones (PubMed : 28497810).
See full target information HDAC8 phospho S39

Publications (1)

Recent publications for all applications. Explore the full list and refine your search

Molecular pain 19:17448069231185232 PubMed37314769

2023

Sub-anaesthetic dose of propofol attenuates mechanical allodynia in chronic post-ischaemic pain regulation of PTEN/PI3K/IL-6 signalling.

Applications

Unspecified application

Species

Unspecified reactive species

Siu Yi Doreen Leung,Fei Meng,Jingjing Liu,Aijia Jessica Liu,Hei Lui Lhotse Ng,Chi Wai Cheung,Stanley Sau Ching Wong
View all publications

Product promise

We are committed to supporting your work with high-quality reagents, and we're here for you every step of the way. In the unlikely event that one of our products does not perform as expected, you're protected by our Product Promise.
For full details, please see our Terms & Conditions

Please note: All products are 'FOR RESEARCH USE ONLY. NOT FOR USE IN DIAGNOSTIC OR THERAPEUTIC PROCEDURES'.

For licensing inquiries, please contact partnerships@abcam.com