JavaScript is disabled in your browser. Please enable JavaScript to view this website.
AB128921

Anti-HDGF antibody [EPR7898]

5

(2 Reviews)

|

(11 Publications)

Rabbit Recombinant Monoclonal HDGF antibody. Suitable for IHC-P, WB, ICC/IF, Flow Cyt (Intra) and reacts with Human samples. Cited in 11 publications.

View Alternative Names

HMG1L2, HDGF, Hepatoma-derived growth factor, High mobility group protein 1-like 2, HMG-1L2

5 Images
Immunocytochemistry/ Immunofluorescence - Anti-HDGF antibody [EPR7898] (AB128921)
  • ICC/IF

Lab

Immunocytochemistry/ Immunofluorescence - Anti-HDGF antibody [EPR7898] (AB128921)

ab128921 staining HDGF in MCF-7 (human breast carcinoma) cells by ICC/IF (Immunocytochemistry/immunofluorescence). Cells were fixed with 4% PFA and permeabilized with 0.1% triton X-100. Samples were incubated with primary antibody at a dilution of 1/500. A goat anti rabbit IgG (Alexa Fluor® 488) (ab150077) was used as the secondary antibody at a dilution of 1/1000.

DAPI was used as a nuclear counterstain and the negative control was PBS only.

Immunohistochemistry (Formalin/PFA-fixed paraffin-embedded sections) - Anti-HDGF antibody [EPR7898] (AB128921)
  • IHC-P

Unknown

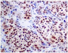
Immunohistochemistry (Formalin/PFA-fixed paraffin-embedded sections) - Anti-HDGF antibody [EPR7898] (AB128921)

ab128921 at a 1/100 dilution staining HDGF in paraffin embedded Human hepatocellular carcinoma tissue by Immunohistochemistry.

Perform heat mediated antigen retrieval before commencing with IHC staining protocol.

Immunohistochemistry (Formalin/PFA-fixed paraffin-embedded sections) - Anti-HDGF antibody [EPR7898] (AB128921)
  • IHC-P

Unknown

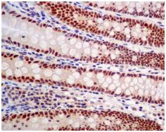
Immunohistochemistry (Formalin/PFA-fixed paraffin-embedded sections) - Anti-HDGF antibody [EPR7898] (AB128921)

ab128921 at a 1/100 dilution staining HDGF in paraffin embedded Human colon tissue by Immunohistochemistry.

Perform heat mediated antigen retrieval before commencing with IHC staining protocol.

Flow Cytometry (Intracellular) - Anti-HDGF antibody [EPR7898] (AB128921)
  • Flow Cyt (Intra)

Unknown

Flow Cytometry (Intracellular) - Anti-HDGF antibody [EPR7898] (AB128921)

Overlay histogram showing HeLa cells stained with ab128921 (red line). The cells were fixed with 80% methanol (5 min) and then permeabilized with 0.1% PBS-Tween for 20 min. The cells were then incubated in 1x PBS / 10% normal goat serum / 0.3M glycine to block non-specific protein-protein interactions followed by the antibody (ab128921 1/1000 dilution) for 30 min at 22°C. The secondary antibody used was Alexa Fluor® 488 goat anti-rabbit IgG (H&L) (ab150077) at 1/2000 dilution for 30 min at 22°C. Isotype control antibody (black line) was rabbit IgG (monoclonal) (0.1μg/1x106 cells) used under the same conditions. Unlabelled sample (blue line) was also used as a control. Acquisition of >5000 events were collected using a 20mW Argon ion laser (488nm) and 525/30 bandpass filter.

Western blot - Anti-HDGF antibody [EPR7898] (AB128921)
  • WB

Unknown

Western blot - Anti-HDGF antibody [EPR7898] (AB128921)

All lanes:

Western blot - Anti-HDGF antibody [EPR7898] (ab128921) at 1/1000 dilution

Lane 1:

HeLa cell lysate at 10 µg

Lane 2:

A549 cell lysate at 10 µg

Lane 3:

SKBR-3 cell lysate at 10 µg

Lane 4:

ECV-304 cell lysate at 10 µg

Secondary

All lanes:

Goat anti-rabbit HRP at 1/2000 dilution

Predicted band size: 27 kDa

false

  • HRP

    HRP Anti-HDGF antibody [EPR7898]

  • Carrier free

    Anti-HDGF antibody [EPR7898] - BSA and Azide free

Key facts

Host species

Rabbit

Clonality

Monoclonal

Clone number

EPR7898

Isotype

IgG

Carrier free

No

Reacts with

Human

Applications

IHC-P, Flow Cyt (Intra), ICC/IF, WB

applications

Immunogen

The exact immunogen used to generate this antibody is proprietary information.

Reactivity data

{ "title": "Reactivity Data", "filters": { "stats": ["", "Species", "Dilution Info", "Notes"], "tabs": { "all-applications": {"fullname" : "All Applications", "shortname": "All Applications"}, "IHCP" : {"fullname" : "Immunohistochemistry (Formalin/PFA-fixed paraffin-embedded sections)", "shortname":"IHC-P"}, "WB" : {"fullname" : "Western blot", "shortname":"WB"}, "ICCIF" : {"fullname" : "Immunocytochemistry/ Immunofluorescence", "shortname":"ICC/IF"}, "FlowCytIntra" : {"fullname" : "Flow Cytometry (Intracellular)", "shortname":"Flow Cyt (Intra)"} }, "product-promise": { "all": "all", "testedAndGuaranteed": "tested", "guaranteed": "expected", "predicted": "predicted", "notRecommended": "not-recommended" } }, "values": { "Human": { "IHCP-species-checked": "testedAndGuaranteed", "IHCP-species-dilution-info": "1/100 - 1/250", "IHCP-species-notes": "<p></p>", "WB-species-checked": "testedAndGuaranteed", "WB-species-dilution-info": "1/1000 - 1/10000", "WB-species-notes": "<p></p>", "ICCIF-species-checked": "testedAndGuaranteed", "ICCIF-species-dilution-info": "1/250 - 1/500", "ICCIF-species-notes": "<p></p>", "FlowCytIntra-species-checked": "testedAndGuaranteed", "FlowCytIntra-species-dilution-info": "1/100 - 1/1000", "FlowCytIntra-species-notes": "<p><a href='/en-us/products/primary-antibodies/rabbit-igg-monoclonal-epr25a-isotype-control-ab172730'>ab172730</a> - Rabbit monoclonal IgG, is suitable for use as an isotype control with this antibody.</p>" }, "Mouse": { "IHCP-species-checked": "predicted", "IHCP-species-dilution-info": "", "IHCP-species-notes": "", "WB-species-checked": "predicted", "WB-species-dilution-info": "", "WB-species-notes": "", "ICCIF-species-checked": "predicted", "ICCIF-species-dilution-info": "", "ICCIF-species-notes": "", "FlowCytIntra-species-checked": "predicted", "FlowCytIntra-species-dilution-info": "", "FlowCytIntra-species-notes": "" }, "Rat": { "IHCP-species-checked": "predicted", "IHCP-species-dilution-info": "", "IHCP-species-notes": "", "WB-species-checked": "predicted", "WB-species-dilution-info": "", "WB-species-notes": "", "ICCIF-species-checked": "predicted", "ICCIF-species-dilution-info": "", "ICCIF-species-notes": "", "FlowCytIntra-species-checked": "predicted", "FlowCytIntra-species-dilution-info": "", "FlowCytIntra-species-notes": "" } } }

Product details

Patented technology
Our RabMAb® technology is a patented hybridoma-based technology for making rabbit monoclonal antibodies. For details on our patents, please refer to RabMAb® patents.

What are the advantages of a recombinant monoclonal antibody?
This product is a recombinant monoclonal antibody, which offers several advantages including:

  • - High batch-to-batch consistency and reproducibility
  • - Improved sensitivity and specificity
  • - Long-term security of supply
  • - Animal-free batch production

For more information, read more on recombinant antibodies.

Properties and storage information

Form
Liquid
Purification technique
Affinity purification Protein A
Storage buffer
pH: 7.2 - 7.4 Preservative: 0.01% Sodium azide Constituents: PBS, 50% Tissue culture supernatant, 40% Glycerol (glycerin, glycerine), 0.05% BSA
Shipped at conditions
Blue Ice
Appropriate short-term storage duration
1-2 weeks
Appropriate short-term storage conditions
+4°C
Appropriate long-term storage conditions
-20°C
Aliquoting information
Upon delivery aliquot
Storage information
Stable for 12 months at -20°C

Supplementary information

This supplementary information is collated from multiple sources and compiled automatically.

The Hepatoma-Derived Growth Factor commonly referred to as HDGF or HDGF protein (UniProt ID: K562) operates as a heparin-binding protein with a mass of about 26 kDa. It plays a significant role in cell growth regulation and development processes. HDGF is expressed in the liver and various other tissues including the heart and lungs. It contains an N-terminal PWWP domain which is important for its binding properties and influences its interaction with other molecules.
Biological function summary

HDGF affects cellular processes such as proliferation and differentiation. It does not function as part of a larger protein complex but is known to modulate transcriptional activities within the cell. HDGF's mitogenic properties suggest it can promote tumor progression by influencing the cell's growth and survival mechanisms indicating its involvement in oncogenic pathways.

Pathways

HDGF is integrated into important signaling networks such as the MAPK/ERK pathway. This pathway is important for transmitting signals from the cell surface to the DNA in the cell nucleus affecting cell division and fate. HDGF interacts with proteins in the pathways such as ERK1/2 which are critical regulators of cellular responses. HDGF’s involvement in these pathways indicates its role in mediating cell growth signals and adjusting the cellular response to environmental changes.

HDGF has associations with cancer progression including hepatocellular carcinoma and lung cancer. Its overexpression correlates with poor prognosis in these malignancies due to its role in enhancing tumor cell proliferation and resistance to apoptosis. HDGF's relationship with disease involves its potential interaction with oncogenic proteins like Ras which can activate downstream signaling cascades contributing to tumorigenesis. Understanding HDGF's role in disease can further research into targeted therapies aimed at mitigating its effects on cancer progression.

Product protocols

For this product, it's our understanding that no specific protocols are required. You can visit:

Target data

Isoform 1. Acts as a transcriptional repressor (PubMed : 17974029). Has mitogenic activity for fibroblasts (PubMed : 11751870, PubMed : 26845719). Heparin-binding protein (PubMed : 15491618).. Isoform 2. Does not have mitogenic activity for fibroblasts (PubMed : 26845719). Does not bind heparin (PubMed : 26845719).. Isoform 3. Has mitogenic activity for fibroblasts (PubMed : 26845719). Heparin-binding protein (PubMed : 26845719).
See full target information HDGF

Publications (11)

Recent publications for all applications. Explore the full list and refine your search

Life science alliance 6: PubMed37580082

2023

Neuroprotective effects of hepatoma-derived growth factor in models of Huntington's disease.

Applications

Unspecified application

Species

Unspecified reactive species

Kerstin Voelkl,Sara Gutiérrez-Ángel,Sophie Keeling,Seda Koyuncu,Miguel da Silva Padilha,Dennis Feigenbutz,Thomas Arzberger,David Vilchez,Rüdiger Klein,Irina Dudanova

Molecular medicine reports 25: PubMed35088877

2022

Long noncoding RNA LINC00649 functions as a microRNA‑432‑5p sponge to facilitate tumourigenesis in colorectal cancer by upregulating HDGF.

Applications

Unspecified application

Species

Unspecified reactive species

Junjie Bao,Xiaokai Bi,Jingbo Wang,Xiaoqiang Li

Bioengineered 13:2450-2469 PubMed35014946

2022

Insulin-like growth factor 2 mRNA-binding protein 2-stabilized long non-coding RNA Taurine up-regulated gene 1 (TUG1) promotes cisplatin-resistance of colorectal cancer via modulating autophagy.

Applications

Unspecified application

Species

Unspecified reactive species

Cuifeng Xia,Qiang Li,Xianshuo Cheng,Tao Wu,Pin Gao,Yongfang Gu

Urologia internationalis 105:875-890 PubMed34233322

2021

Long Noncoding RNA LIPE-AS1 Drives Prostate Cancer Progression by Functioning as a Competing Endogenous RNA for microRNA-654-3p and Thereby Upregulating Hepatoma-Derived Growth Factor.

Applications

Unspecified application

Species

Unspecified reactive species

Boyu Tian,E Chunxiang,Yang Xiang,Peng Teng

International journal of molecular medicine 46:2007-2018 PubMed33125097

2020

Long intergenic non‑coding RNA LINC01232 contributes to esophageal squamous cell carcinoma progression by sequestering microRNA‑654‑3p and consequently promoting hepatoma‑derived growth factor expression.

Applications

Unspecified application

Species

Unspecified reactive species

Meihua Zhao,Haishan Cui,Baisui Zhao,Mei Li,Haiqing Man

International journal of molecular medicine 46:1743-1754 PubMed33000222

2020

Long non‑coding RNA MKLN1‑AS aggravates hepatocellular carcinoma progression by functioning as a molecular sponge for miR‑654‑3p, thereby promoting hepatoma‑derived growth factor expression.

Applications

Unspecified application

Species

Unspecified reactive species

Wanjun Gao,Xiaohua Chen,Wei Chi,Ming Xue

OncoTargets and therapy 13:4257-4270 PubMed32547060

2020

MicroRNA-939 Directly Targets to Inhibit the Aggressiveness of Prostate Cancer via Deactivation of the WNT/β-Catenin Pathway.

Applications

Unspecified application

Species

Unspecified reactive species

Jie Situ,Hao Zhang,Zi Jin,Ke Li,Yunhua Mao,Wentao Huang

OncoTargets and therapy 13:2261-2274 PubMed32214826

2020

Long Non-Coding RNA ASB16-AS1 Functions as a miR-760 Sponge to Facilitate the Malignant Phenotype of Osteosarcoma by Increasing HDGF Expression.

Applications

Unspecified application

Species

Unspecified reactive species

Ruofeng Yin,Junzhi Liu,Dongxu Zhao,Fei Wang

Frontiers in pharmacology 10:1700 PubMed32082174

2020

Long Noncoding RNA Promotes the Malignancy of Cervical Cancer by Sponging MicroRNA-760 and Upregulating Hepatoma-Derived Growth Factor.

Applications

Unspecified application

Species

Unspecified reactive species

Xiaoqing Dou,Qun Zhou,Mingxiao Wen,Jiangyan Xu,Yingping Zhu,Shuzhen Zhang,Xianli Xu

International journal of biological macromolecules 128:521-530 PubMed30684575

2019

Long non-coding RNA AGAP2-AS1 promotes the proliferation of glioma cells by sponging miR-15a/b-5p to upregulate the expression of HDGF and activating Wnt/β-catenin signaling pathway.

Applications

Unspecified application

Species

Unspecified reactive species

Yonghui Zheng,Sumei Lu,Yanhong Xu,Jiaolin Zheng
View all publications

Product promise

We are committed to supporting your work with high-quality reagents, and we're here for you every step of the way. In the unlikely event that one of our products does not perform as expected, you're protected by our Product Promise.
For full details, please see our Terms & Conditions

Please note: All products are 'FOR RESEARCH USE ONLY. NOT FOR USE IN DIAGNOSTIC OR THERAPEUTIC PROCEDURES'.

For licensing inquiries, please contact partnerships@abcam.com