JavaScript is disabled in your browser. Please enable JavaScript to view this website.
AB248221

Anti-HDGF antibody [EPR7898] - BSA and Azide free

Be the first to review this product! Submit a review

|

(2 Publications)

Rabbit Recombinant Monoclonal HDGF antibody. Carrier free. Suitable for IHC-P, ICC/IF, WB, Flow Cyt (Intra) and reacts with Human samples. Cited in 2 publications.

View Alternative Names

HMG1L2, HDGF, Hepatoma-derived growth factor, High mobility group protein 1-like 2, HMG-1L2

5 Images
Immunocytochemistry/ Immunofluorescence - Anti-HDGF antibody [EPR7898] - BSA and Azide free (AB248221)
  • ICC/IF

Lab

Immunocytochemistry/ Immunofluorescence - Anti-HDGF antibody [EPR7898] - BSA and Azide free (AB248221)

This data was developed using ab128921, the same antibody clone in a different buffer formulation.

ab128921 staining HDGF in MCF-7 (human breast carcinoma) cells by ICC/IF (Immunocytochemistry/immunofluorescence). Cells were fixed with 4% PFA and permeabilized with 0.1% triton X-100. Samples were incubated with primary antibody at a dilution of 1/500. A goat anti rabbit IgG (Alexa Fluor® 488) (ab150077) was used as the secondary antibody at a dilution of 1/1000.

DAPI was used as a nuclear counterstain and the negative control was PBS only.

Immunohistochemistry (Formalin/PFA-fixed paraffin-embedded sections) - Anti-HDGF antibody [EPR7898] - BSA and Azide free (AB248221)
  • IHC-P

Unknown

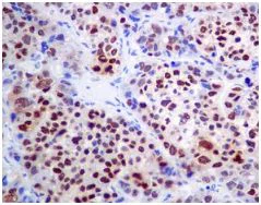
Immunohistochemistry (Formalin/PFA-fixed paraffin-embedded sections) - Anti-HDGF antibody [EPR7898] - BSA and Azide free (AB248221)

This data was developed using ab128921, the same antibody clone in a different buffer formulation.

ab128921, at a 1/100 dilution, staining HDGF in paraffin embedded Human hepatocellular carcinoma tissue by Immunohistochemistry.

Perform heat mediated antigen retrieval before commencing with IHC staining protocol.

Immunohistochemistry (Formalin/PFA-fixed paraffin-embedded sections) - Anti-HDGF antibody [EPR7898] - BSA and Azide free (AB248221)
  • IHC-P

Unknown

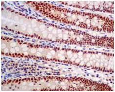
Immunohistochemistry (Formalin/PFA-fixed paraffin-embedded sections) - Anti-HDGF antibody [EPR7898] - BSA and Azide free (AB248221)

This data was developed using ab128921, the same antibody clone in a different buffer formulation.

ab128921, at a 1/100 dilution, staining HDGF in paraffin embedded Human colon tissue by Immunohistochemistry.

Perform heat mediated antigen retrieval before commencing with IHC staining protocol.

Flow Cytometry (Intracellular) - Anti-HDGF antibody [EPR7898] - BSA and Azide free (AB248221)
  • Flow Cyt (Intra)

Unknown

Flow Cytometry (Intracellular) - Anti-HDGF antibody [EPR7898] - BSA and Azide free (AB248221)

This data was developed using ab128921, the same antibody clone in a different buffer formulation.

Overlay histogram showing HeLa cells stained with ab128921 (red line). The cells were fixed with 80% methanol (5 min) and then permeabilized with 0.1% PBS-Tween for 20 min. The cells were then incubated in 1x PBS / 10% normal goat serum / 0.3M glycine to block non-specific protein-protein interactions followed by the antibody (ab128921, 1/1000 dilution) for 30 min at 22°C. The secondary antibody used was Alexa Fluor® 488 goat anti-rabbit IgG (H&L) (ab150077) at 1/2000 dilution for 30 min at 22°C. Isotype control antibody (black line) was rabbit IgG (monoclonal) (0.1µg/1x106 cells) used under the same conditions. Unlabelled sample (blue line) was also used as a control. Acquisition of >5,000 events were collected using a 20mW Argon ion laser (488nm) and 525/30 bandpass filter.

Western blot - Anti-HDGF antibody [EPR7898] - BSA and Azide free (AB248221)
  • WB

Unknown

Western blot - Anti-HDGF antibody [EPR7898] - BSA and Azide free (AB248221)

This data was developed using ab128921, the same antibody clone in a different buffer formulation.

All lanes:

Western blot - Anti-HDGF antibody [EPR7898] (<a href='/en-us/products/primary-antibodies/hdgf-antibody-epr7898-ab128921'>ab128921</a>) at 1/1000 dilution

Lane 1:

HeLa cell lysate at 10 µg

Lane 2:

A549 cell lysate at 10 µg

Lane 3:

SKBR-3 cell lysate at 10 µg

Lane 4:

ECV-304 cell lysate at 10 µg

Secondary

All lanes:

Goat anti-rabbit HRP at 1/2000 dilution

Predicted band size: 27 kDa

false

  • Unconjugated

    Anti-HDGF antibody [EPR7898]

  • HRP

    HRP Anti-HDGF antibody [EPR7898]

Key facts

Host species

Rabbit

Clonality

Monoclonal

Clone number

EPR7898

Isotype

IgG

Carrier free

Yes

Reacts with

Human

Applications

Flow Cyt (Intra), ICC/IF, WB, IHC-P

applications

Immunogen

The exact immunogen used to generate this antibody is proprietary information.

Reactivity data

{ "title": "Reactivity Data", "filters": { "stats": ["", "Species", "Dilution Info", "Notes"], "tabs": { "all-applications": {"fullname" : "All Applications", "shortname": "All Applications"}, "IHCP" : {"fullname" : "Immunohistochemistry (Formalin/PFA-fixed paraffin-embedded sections)", "shortname":"IHC-P"}, "ICCIF" : {"fullname" : "Immunocytochemistry/ Immunofluorescence", "shortname":"ICC/IF"}, "WB" : {"fullname" : "Western blot", "shortname":"WB"}, "FlowCytIntra" : {"fullname" : "Flow Cytometry (Intracellular)", "shortname":"Flow Cyt (Intra)"} }, "product-promise": { "all": "all", "testedAndGuaranteed": "tested", "guaranteed": "expected", "predicted": "predicted", "notRecommended": "not-recommended" } }, "values": { "Human": { "IHCP-species-checked": "testedAndGuaranteed", "IHCP-species-dilution-info": "", "IHCP-species-notes": "<p></p>", "ICCIF-species-checked": "testedAndGuaranteed", "ICCIF-species-dilution-info": "", "ICCIF-species-notes": "<p></p>", "WB-species-checked": "testedAndGuaranteed", "WB-species-dilution-info": "", "WB-species-notes": "<p></p>", "FlowCytIntra-species-checked": "testedAndGuaranteed", "FlowCytIntra-species-dilution-info": "", "FlowCytIntra-species-notes": "<p></p>" }, "Mouse": { "IHCP-species-checked": "predicted", "IHCP-species-dilution-info": "", "IHCP-species-notes": "", "ICCIF-species-checked": "predicted", "ICCIF-species-dilution-info": "", "ICCIF-species-notes": "", "WB-species-checked": "predicted", "WB-species-dilution-info": "", "WB-species-notes": "", "FlowCytIntra-species-checked": "predicted", "FlowCytIntra-species-dilution-info": "", "FlowCytIntra-species-notes": "" }, "Rat": { "IHCP-species-checked": "predicted", "IHCP-species-dilution-info": "", "IHCP-species-notes": "", "ICCIF-species-checked": "predicted", "ICCIF-species-dilution-info": "", "ICCIF-species-notes": "", "WB-species-checked": "predicted", "WB-species-dilution-info": "", "WB-species-notes": "", "FlowCytIntra-species-checked": "predicted", "FlowCytIntra-species-dilution-info": "", "FlowCytIntra-species-notes": "" } } }

Product details

ab248221 is the carrier-free version of ab128921.

Patented technology
Our RabMAb® technology is a patented hybridoma-based technology for making rabbit monoclonal antibodies. For details on our patents, please refer to RabMAb® patents.

What are the advantages of a recombinant monoclonal antibody?
This product is a recombinant monoclonal antibody, which offers several advantages including:

  • - High batch-to-batch consistency and reproducibility
  • - Improved sensitivity and specificity
  • - Long-term security of supply
  • - Animal-free batch production

For more information, read more on recombinant antibodies.

Conjugation ready
Our carrier-free antibodies are typically supplied in a PBS-only formulation, purified and free of BSA, sodium azide and glycerol. This conjugation-ready format is designed for use with fluorochromes, metal isotopes, oligonucleotides, and enzymes, which makes them ideal for antibody labelling, functional and cell-based assays, flow-based assays (e.g. mass cytometry) and Multiplex Imaging applications.

Use our conjugation kits for antibody conjugates that are ready-to-use in as little as 20 minutes with 1 minute hands-on-time and 100% antibody recovery: available for fluorescent dyes, HRP, biotin and gold.

Compatibility
This product is compatible with the Maxpar® Antibody Labeling Kit from Fluidigm, without the need for antibody preparation. Maxpar® is a trademark of Fluidigm Canada Inc.

Properties and storage information

Form
Liquid
Purification technique
Affinity purification Protein A
Storage buffer
pH: 7.2 - 7.4 Constituents: PBS
Shipped at conditions
Blue Ice
Appropriate short-term storage conditions
+4°C
Appropriate long-term storage conditions
+4°C
Storage information
Do Not Freeze

Supplementary information

This supplementary information is collated from multiple sources and compiled automatically.

The Hepatoma-Derived Growth Factor commonly referred to as HDGF or HDGF protein (UniProt ID: K562) operates as a heparin-binding protein with a mass of about 26 kDa. It plays a significant role in cell growth regulation and development processes. HDGF is expressed in the liver and various other tissues including the heart and lungs. It contains an N-terminal PWWP domain which is important for its binding properties and influences its interaction with other molecules.
Biological function summary

HDGF affects cellular processes such as proliferation and differentiation. It does not function as part of a larger protein complex but is known to modulate transcriptional activities within the cell. HDGF's mitogenic properties suggest it can promote tumor progression by influencing the cell's growth and survival mechanisms indicating its involvement in oncogenic pathways.

Pathways

HDGF is integrated into important signaling networks such as the MAPK/ERK pathway. This pathway is important for transmitting signals from the cell surface to the DNA in the cell nucleus affecting cell division and fate. HDGF interacts with proteins in the pathways such as ERK1/2 which are critical regulators of cellular responses. HDGF’s involvement in these pathways indicates its role in mediating cell growth signals and adjusting the cellular response to environmental changes.

HDGF has associations with cancer progression including hepatocellular carcinoma and lung cancer. Its overexpression correlates with poor prognosis in these malignancies due to its role in enhancing tumor cell proliferation and resistance to apoptosis. HDGF's relationship with disease involves its potential interaction with oncogenic proteins like Ras which can activate downstream signaling cascades contributing to tumorigenesis. Understanding HDGF's role in disease can further research into targeted therapies aimed at mitigating its effects on cancer progression.

Product protocols

For this product, it's our understanding that no specific protocols are required. You can visit:

Target data

Isoform 1. Acts as a transcriptional repressor (PubMed : 17974029). Has mitogenic activity for fibroblasts (PubMed : 11751870, PubMed : 26845719). Heparin-binding protein (PubMed : 15491618).. Isoform 2. Does not have mitogenic activity for fibroblasts (PubMed : 26845719). Does not bind heparin (PubMed : 26845719).. Isoform 3. Has mitogenic activity for fibroblasts (PubMed : 26845719). Heparin-binding protein (PubMed : 26845719).
See full target information HDGF

Publications (2)

Recent publications for all applications. Explore the full list and refine your search

Communications biology 7:1025 PubMed39164573

2024

CD58 defines regulatory macrophages within the tumor microenvironment.

Applications

Unspecified application

Species

Unspecified reactive species

Bo Wu,Xiaoni Zhan,Meixi Jiang

Open medicine (Warsaw, Poland) 18:20220613 PubMed36694627

2023

circ-IARS depletion inhibits the progression of non-small-cell lung cancer by circ-IARS/miR-1252-5p/HDGF ceRNA pathway.

Applications

Unspecified application

Species

Unspecified reactive species

Jinhua Yang,Chunping Yang,Ping Li
View all publications

Product promise

We are committed to supporting your work with high-quality reagents, and we're here for you every step of the way. In the unlikely event that one of our products does not perform as expected, you're protected by our Product Promise.
For full details, please see our Terms & Conditions

Please note: All products are 'FOR RESEARCH USE ONLY. NOT FOR USE IN DIAGNOSTIC OR THERAPEUTIC PROCEDURES'.

For licensing inquiries, please contact partnerships@abcam.com