JavaScript is disabled in your browser. Please enable JavaScript to view this website.
AB232896

Anti-HDLBP antibody

Be the first to review this product! Submit a review

|

(1 Publication)

Rabbit Polyclonal HDLBP antibody. Suitable for WB, IHC-P, ICC/IF and reacts with Pig, Recombinant full length protein - Human, Human samples. Cited in 1 publication. Immunogen corresponding to Recombinant Fragment Protein within Human HDLBP aa 150-400.

View Alternative Names

HBP, VGL, HDLBP, Vigilin, High density lipoprotein-binding protein, HDL-binding protein

4 Images
Immunocytochemistry/ Immunofluorescence - Anti-HDLBP antibody (AB232896)
  • ICC/IF

Supplier Data

Immunocytochemistry/ Immunofluorescence - Anti-HDLBP antibody (AB232896)

HepG2 (human liver hepatocellular carcinoma cell line) cells stained for HDLBP (green) using ab232896 at 20 μg/ml in ICC/IF, followed by FITC staining.

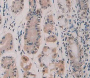
Immunohistochemistry (Formalin/PFA-fixed paraffin-embedded sections) - Anti-HDLBP antibody (AB232896)
  • IHC-P

Supplier Data

Immunohistochemistry (Formalin/PFA-fixed paraffin-embedded sections) - Anti-HDLBP antibody (AB232896)

Formalin-fixed, paraffin-embedded human stomach tissue stained for HDLBP using ab232896 at 20 μg/ml in immunohistochemical analysis. DAB staining.

Western blot - Anti-HDLBP antibody (AB232896)
  • WB

Supplier Data

Western blot - Anti-HDLBP antibody (AB232896)

All lanes:

Western blot - Anti-HDLBP antibody (ab232896) at 3 µg/mL

Lane 1:

Jurkat (human T cell leukemia cell line from peripheral blood) cell lysate

Lane 2:

HeLa (human epithelial cell line from cervix adenocarcinoma) cell lysate

Lane 3:

HepG2 (human liver hepatocellular carcinoma cell line) cell lysate

Lane 4:

Pig liver lysate

Secondary

All lanes:

HRP-Linked Guinea pig Anti-Rabbit at 1/1000 dilution

Predicted band size: 141 kDa

false

Western blot - Anti-HDLBP antibody (AB232896)
  • WB

Supplier Data

Western blot - Anti-HDLBP antibody (AB232896)

All lanes:

Western blot - Anti-HDLBP antibody (ab232896) at 2 µg/mL

All lanes:

Recombinant human HDLBP protein

Predicted band size: 141 kDa

false

Key facts

Host species

Rabbit

Clonality

Polyclonal

Isotype

IgG

Carrier free

No

Reacts with

Human, Pig

Applications

IHC-P, ICC/IF, WB

applications

Immunogen

Recombinant Fragment Protein within Human HDLBP aa 150-400. The exact immunogen used to generate this antibody is proprietary information.

Q00341

Reactivity data

{ "title": "Reactivity Data", "filters": { "stats": ["", "Species", "Dilution Info", "Notes"], "tabs": { "all-applications": {"fullname" : "All Applications", "shortname": "All Applications"}, "WB" : {"fullname" : "Western blot", "shortname":"WB"}, "IHCP" : {"fullname" : "Immunohistochemistry (Formalin/PFA-fixed paraffin-embedded sections)", "shortname":"IHC-P"}, "ICCIF" : {"fullname" : "Immunocytochemistry/ Immunofluorescence", "shortname":"ICC/IF"} }, "product-promise": { "all": "all", "testedAndGuaranteed": "tested", "guaranteed": "expected", "predicted": "predicted", "notRecommended": "not-recommended" } }, "values": { "Human": { "WB-species-checked": "testedAndGuaranteed", "WB-species-dilution-info": "0.2-2 µg/mL", "WB-species-notes": "<p></p>", "IHCP-species-checked": "testedAndGuaranteed", "IHCP-species-dilution-info": "5-20 µg/mL", "IHCP-species-notes": "<p></p>", "ICCIF-species-checked": "testedAndGuaranteed", "ICCIF-species-dilution-info": "5-20 µg/mL", "ICCIF-species-notes": "<p></p>" }, "Mouse": { "WB-species-checked": "predicted", "WB-species-dilution-info": "", "WB-species-notes": "", "IHCP-species-checked": "predicted", "IHCP-species-dilution-info": "", "IHCP-species-notes": "", "ICCIF-species-checked": "predicted", "ICCIF-species-dilution-info": "", "ICCIF-species-notes": "" }, "Rat": { "WB-species-checked": "predicted", "WB-species-dilution-info": "", "WB-species-notes": "", "IHCP-species-checked": "predicted", "IHCP-species-dilution-info": "", "IHCP-species-notes": "", "ICCIF-species-checked": "predicted", "ICCIF-species-dilution-info": "", "ICCIF-species-notes": "" }, "Chicken": { "WB-species-checked": "predicted", "WB-species-dilution-info": "", "WB-species-notes": "", "IHCP-species-checked": "predicted", "IHCP-species-dilution-info": "", "IHCP-species-notes": "", "ICCIF-species-checked": "predicted", "ICCIF-species-dilution-info": "", "ICCIF-species-notes": "" }, "Orangutan": { "WB-species-checked": "predicted", "WB-species-dilution-info": "", "WB-species-notes": "", "IHCP-species-checked": "predicted", "IHCP-species-dilution-info": "", "IHCP-species-notes": "", "ICCIF-species-checked": "predicted", "ICCIF-species-dilution-info": "", "ICCIF-species-notes": "" }, "Pig": { "WB-species-checked": "testedAndGuaranteed", "WB-species-dilution-info": "0.2-2 µg/mL", "WB-species-notes": "<p></p>", "IHCP-species-checked": "guaranteed", "IHCP-species-dilution-info": "", "IHCP-species-notes": "", "ICCIF-species-checked": "guaranteed", "ICCIF-species-dilution-info": "", "ICCIF-species-notes": "" }, "Recombinant full length protein - Human": { "WB-species-checked": "testedAndGuaranteed", "WB-species-dilution-info": "0.2-2 µg/mL", "WB-species-notes": "<p></p>", "IHCP-species-checked": "notRecommended", "IHCP-species-dilution-info": "", "IHCP-species-notes": "", "ICCIF-species-checked": "notRecommended", "ICCIF-species-dilution-info": "", "ICCIF-species-notes": "" } } }

Properties and storage information

Form
Liquid
Purification technique
Affinity purification Immunogen
Purification notes
ab232896 was purified by antigen-specific affinity chromatography followed by Protein A affinity chromatography.
Storage buffer
pH: 7.4 Preservative: 0.011% Proclin 300 Constituents: PBS, 55.77% Glycerol (glycerin, glycerine)
Shipped at conditions
Blue Ice
Appropriate short-term storage duration
1-2 weeks
Appropriate short-term storage conditions
+4°C
Appropriate long-term storage conditions
-20°C
Aliquoting information
Upon delivery aliquot
Storage information
Avoid freeze / thaw cycle

Supplementary information

This supplementary information is collated from multiple sources and compiled automatically.

The HDLBP also known as Vigilin is a protein that interacts with high-density lipoproteins (HDL). It has a molecular mass of approximately 116 kDa. HDLBP plays an important role in binding RNA and is largely expressed in the liver and adipose tissues. Through its RNA-binding capacity HDLBP regulates the stability and translation of specific mRNAs impacting various cellular processes.
Biological function summary

Without HDLBP's regulatory functions in RNA metabolism cells struggle to maintain proper gene expression. This protein is not known to operate as part of a multi-protein complex but acts independently to influence RNA molecule interactions. HDLBP regulates lipid metabolism by facilitating the transport and stabilization of RNA species that encode enzymes important for lipid synthesis and uptake.

Pathways

The RNA-binding functions of HDLBP integrate into lipid metabolism and transport pathways. In the lipid metabolic pathway HDLBP interacts with other proteins such as apolipoproteins to manage lipid homeostasis. In addition it plays a part in the RNA processing and transport pathway linking its activity to proteins involved in RNA export and translation control.

Without balanced HDLBP activity individuals show an increased risk of developing atherosclerosis and metabolic syndrome. The improper regulation of HDL and lipid metabolism contributes to these conditions. HDLBP's role overlaps with the functions of apolipoprotein A-I in these disorders as both participate in managing HDL-cholesterol levels and lipid homeostasis. Understanding HDLBP's mechanisms can help target therapeutic strategies for cardiovascular diseases.

Product protocols

For this product, it's our understanding that no specific protocols are required. You can visit:

Target data

Appears to play a role in cell sterol metabolism. It may function to protect cells from over-accumulation of cholesterol.
See full target information HDLBP

Publications (1)

Recent publications for all applications. Explore the full list and refine your search

Aging 13:23739-23756 PubMed34689137

2021

Loganin substantially ameliorates molecular deficits, pathologies and cognitive impairment in a mouse model of Alzheimer's disease.

Applications

Unspecified application

Species

Unspecified reactive species

Lulin Nie,Kaiwu He,Fengzhu Xie,Shifeng Xiao,Shupeng Li,Jia Xu,Kaiqin Zhang,Chen Yang,Li Zhou,Jianjun Liu,Liangyu Zou,Xifei Yang
View all publications

Product promise

We are committed to supporting your work with high-quality reagents, and we're here for you every step of the way. In the unlikely event that one of our products does not perform as expected, you're protected by our Product Promise.
For full details, please see our Terms & Conditions

Please note: All products are 'FOR RESEARCH USE ONLY. NOT FOR USE IN DIAGNOSTIC OR THERAPEUTIC PROCEDURES'.

For licensing inquiries, please contact partnerships@abcam.com