JavaScript is disabled in your browser. Please enable JavaScript to view this website.
AB109324

Anti-HDLBP antibody [EPR5267]

Be the first to review this product! Submit a review

|

(2 Publications)

Rabbit Recombinant Monoclonal HDLBP antibody. Suitable for IHC-P, WB and reacts with Human, Mouse, Rat samples. Cited in 2 publications.

View Alternative Names

HBP, VGL, HDLBP, Vigilin, High density lipoprotein-binding protein, HDL-binding protein

2 Images
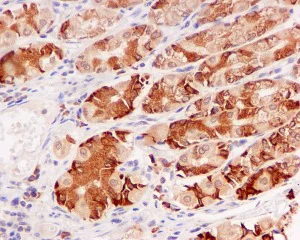
Immunohistochemistry (Formalin/PFA-fixed paraffin-embedded sections) - Anti-HDLBP antibody [EPR5267] (AB109324)
  • IHC-P

Unknown

Immunohistochemistry (Formalin/PFA-fixed paraffin-embedded sections) - Anti-HDLBP antibody [EPR5267] (AB109324)

ab109324, at a 1/100 dilution, staining HDLBP in paraffin embedded Human stomach tissue by Immunohistochemistry.

Perform heat mediated antigen retrieval before commencing with IHC staining protocol.

Western blot - Anti-HDLBP antibody [EPR5267] (AB109324)
  • WB

Unknown

Western blot - Anti-HDLBP antibody [EPR5267] (AB109324)

All lanes:

Western blot - Anti-HDLBP antibody [EPR5267] (ab109324) at 1/10000 dilution

Lane 1:

293T cell lysate at 10 µg

Lane 2:

Jurkat cell lysate at 10 µg

Lane 3:

HeLa cell lysate at 10 µg

Lane 4:

HepG2 cell lysate at 10 µg

Secondary

All lanes:

HRP labelled goat anti-rabbit at 1/2000 dilution

Predicted band size: 141 kDa

Observed band size: 155 kDa

false

  • Carrier free

    Anti-HDLBP antibody [EPR5267] - BSA and Azide free

Key facts

Host species

Rabbit

Clonality

Monoclonal

Clone number

EPR5267

Isotype

IgG

Carrier free

No

Reacts with

Human

Applications

IHC-P, WB

applications

Immunogen

The exact immunogen used to generate this antibody is proprietary information.

Reactivity data

{ "title": "Reactivity Data", "filters": { "stats": ["", "Species", "Dilution Info", "Notes"], "tabs": { "all-applications": {"fullname" : "All Applications", "shortname": "All Applications"}, "IHCP" : {"fullname" : "Immunohistochemistry (Formalin/PFA-fixed paraffin-embedded sections)", "shortname":"IHC-P"}, "IP" : {"fullname" : "Immunoprecipitation", "shortname":"IP"}, "FlowCyt" : {"fullname" : "Flow Cytometry", "shortname":"Flow Cyt"}, "WB" : {"fullname" : "Western blot", "shortname":"WB"} }, "product-promise": { "all": "all", "testedAndGuaranteed": "tested", "guaranteed": "expected", "predicted": "predicted", "notRecommended": "not-recommended" } }, "values": { "Human": { "IHCP-species-checked": "testedAndGuaranteed", "IHCP-species-dilution-info": "1/100 - 1/250", "IHCP-species-notes": "<p></p>", "IP-species-checked": "notRecommended", "IP-species-dilution-info": "", "IP-species-notes": "<p></p>", "FlowCyt-species-checked": "notRecommended", "FlowCyt-species-dilution-info": "", "FlowCyt-species-notes": "<p></p>", "WB-species-checked": "testedAndGuaranteed", "WB-species-dilution-info": "1/10000 - 1/50000", "WB-species-notes": "<p></p>" }, "Mouse": { "IHCP-species-checked": "predicted", "IHCP-species-dilution-info": "", "IHCP-species-notes": "", "IP-species-checked": "notRecommended", "IP-species-dilution-info": "", "IP-species-notes": "", "FlowCyt-species-checked": "notRecommended", "FlowCyt-species-dilution-info": "", "FlowCyt-species-notes": "", "WB-species-checked": "guaranteed", "WB-species-dilution-info": "", "WB-species-notes": "<p></p>" }, "Rat": { "IHCP-species-checked": "predicted", "IHCP-species-dilution-info": "", "IHCP-species-notes": "", "IP-species-checked": "notRecommended", "IP-species-dilution-info": "", "IP-species-notes": "", "FlowCyt-species-checked": "notRecommended", "FlowCyt-species-dilution-info": "", "FlowCyt-species-notes": "", "WB-species-checked": "guaranteed", "WB-species-dilution-info": "", "WB-species-notes": "<p></p>" } } }

Product details

Patented technology
Our RabMAb® technology is a patented hybridoma-based technology for making rabbit monoclonal antibodies. For details on our patents, please refer to RabMAb® patents.

What are the advantages of a recombinant monoclonal antibody?
This product is a recombinant monoclonal antibody, which offers several advantages including:

  • - High batch-to-batch consistency and reproducibility
  • - Improved sensitivity and specificity
  • - Long-term security of supply
  • - Animal-free batch production

For more information, read more on recombinant antibodies.

Properties and storage information

Form
Liquid
Purification technique
Affinity purification Protein A
Storage buffer
pH: 7.2 - 7.4 Preservative: 0.05% Sodium azide Constituents: 50% Tissue culture supernatant, 40% Glycerol (glycerin, glycerine), 9.85% Tris glycine, 0.1% BSA
Shipped at conditions
Blue Ice
Appropriate short-term storage conditions
+4°C
Appropriate long-term storage conditions
-20°C
Storage information
Stable for 12 months at -20°C

Supplementary information

This supplementary information is collated from multiple sources and compiled automatically.

The HDLBP also known as Vigilin is a protein that interacts with high-density lipoproteins (HDL). It has a molecular mass of approximately 116 kDa. HDLBP plays an important role in binding RNA and is largely expressed in the liver and adipose tissues. Through its RNA-binding capacity HDLBP regulates the stability and translation of specific mRNAs impacting various cellular processes.
Biological function summary

Without HDLBP's regulatory functions in RNA metabolism cells struggle to maintain proper gene expression. This protein is not known to operate as part of a multi-protein complex but acts independently to influence RNA molecule interactions. HDLBP regulates lipid metabolism by facilitating the transport and stabilization of RNA species that encode enzymes important for lipid synthesis and uptake.

Pathways

The RNA-binding functions of HDLBP integrate into lipid metabolism and transport pathways. In the lipid metabolic pathway HDLBP interacts with other proteins such as apolipoproteins to manage lipid homeostasis. In addition it plays a part in the RNA processing and transport pathway linking its activity to proteins involved in RNA export and translation control.

Without balanced HDLBP activity individuals show an increased risk of developing atherosclerosis and metabolic syndrome. The improper regulation of HDL and lipid metabolism contributes to these conditions. HDLBP's role overlaps with the functions of apolipoprotein A-I in these disorders as both participate in managing HDL-cholesterol levels and lipid homeostasis. Understanding HDLBP's mechanisms can help target therapeutic strategies for cardiovascular diseases.

Product protocols

For this product, it's our understanding that no specific protocols are required. You can visit:

Target data

Appears to play a role in cell sterol metabolism. It may function to protect cells from over-accumulation of cholesterol.
See full target information HDLBP

Publications (2)

Recent publications for all applications. Explore the full list and refine your search

Nature communications 13:2727 PubMed35585045

2022

HDLBP binds ER-targeted mRNAs by multivalent interactions to promote protein synthesis of transmembrane and secreted proteins.

Applications

Unspecified application

Species

Unspecified reactive species

Ulrike Zinnall,Miha Milek,Igor Minia,Carlos H Vieira-Vieira,Simon Müller,Guido Mastrobuoni,Orsalia-Georgia Hazapis,Simone Del Giudice,David Schwefel,Nadine Bley,Franka Voigt,Jeffrey A Chao,Stefan Kempa,Stefan Hüttelmaier,Matthias Selbach,Markus Landthaler

Nature communications 7:12848 PubMed27665711

2016

The RNA-binding protein vigilin regulates VLDL secretion through modulation of Apob mRNA translation.

Applications

Unspecified application

Species

Unspecified reactive species

Mehrpouya B Mobin,Stefanie Gerstberger,Daniel Teupser,Benedetta Campana,Klaus Charisse,Markus H Heim,Muthiah Manoharan,Thomas Tuschl,Markus Stoffel
View all publications

Product promise

We are committed to supporting your work with high-quality reagents, and we're here for you every step of the way. In the unlikely event that one of our products does not perform as expected, you're protected by our Product Promise.
For full details, please see our Terms & Conditions

Please note: All products are 'FOR RESEARCH USE ONLY. NOT FOR USE IN DIAGNOSTIC OR THERAPEUTIC PROCEDURES'.

For licensing inquiries, please contact partnerships@abcam.com