JavaScript is disabled in your browser. Please enable JavaScript to view this website.
AB273130

Anti-HE4 antibody

Be the first to review this product! Submit a review

|

(0 Publication)

Rabbit Polyclonal HE4 antibody. Suitable for IHC-P, WB, ICC/IF and reacts with Human samples. Immunogen corresponding to Recombinant Full Length Protein corresponding to Human WFDC2.

View Alternative Names

HE4, WAP5, WFDC2, WAP four-disulfide core domain protein 2, Epididymal secretory protein E4, Major epididymis-specific protein E4, Putative protease inhibitor WAP5

6 Images
Immunohistochemistry (Formalin/PFA-fixed paraffin-embedded sections) - Anti-HE4 antibody (AB273130)
  • IHC-P

Supplier Data

Immunohistochemistry (Formalin/PFA-fixed paraffin-embedded sections) - Anti-HE4 antibody (AB273130)

Paraffin-embedded human cervix (uterine) tissue stained for HE4 using ab273130 at 1/200 dilution in immunohistochemical analysis.

Immunocytochemistry/ Immunofluorescence - Anti-HE4 antibody (AB273130)
  • ICC/IF

Supplier Data

Immunocytochemistry/ Immunofluorescence - Anti-HE4 antibody (AB273130)

PFA-fixed, Triton X-100-permeabilized A431 (Human epidermoid carcinoma cell line) cells stained for HE4 using ab273130 at 2 μg/ml (green) in ICC/IF.

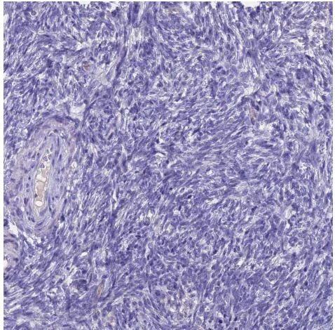
Immunohistochemistry (Formalin/PFA-fixed paraffin-embedded sections) - Anti-HE4 antibody (AB273130)
  • IHC-P

Supplier Data

Immunohistochemistry (Formalin/PFA-fixed paraffin-embedded sections) - Anti-HE4 antibody (AB273130)

Paraffin-embedded human ovary tissue stained for HE4 using ab273130 at 1/50 dilution in immunohistochemical analysis.

Shows low expression as expected.

Retrieval method : HIER pH6.

Western blot - Anti-HE4 antibody (AB273130)
  • WB

Lab

Western blot - Anti-HE4 antibody (AB273130)

False colour image of Western blot : Anti-HE4 antibody staining at 0.04 ug/ml, shown in black; Mouse anti-Alpha Tubulin [DM1A] (ab7291) loading control staining at 1/20000 dilution, shown in red. In Western blot, ab273130 was shown to bind specifically to HE4. First, samples were run on an SDS-PAGE gel then transferred onto a nitrocellulose membrane. Membranes were blocked in 3 % milk in TBS-0.1 % Tween® 20 (TBS-T) before incubation with primary antibodies overnight at 4 °C. Blots were washed four times in TBS-T, incubated with secondary antibodies for 1 h at room temperature, washed again four times before development with Optiblot (ECL reagent ab133456) and imaged with 4 minutes exposure time. Secondary antibodies used were HRP conjugated Goat anti-Rabbit (H+L) and Goat anti-Mouse IgG H&L (IRDye® 680RD) preabsorbed (ab216776) at 1/20000 dilution.

All lanes:

Western blot - Anti-HE4 antibody (ab273130) at 0.04 µg/mL

Lane 1:

OVCAR-3 cell lysate at 20 µg

Lane 2:

K562 cell lysate at 20 µg

Predicted band size: 13 kDa

Observed band size: 20 kDa

false

Western blot - Anti-HE4 antibody (AB273130)
  • WB

Lab

Western blot - Anti-HE4 antibody (AB273130)

False colour image of Western blot : Anti-HE4 antibody staining at 0.4 ug/ml, shown in green; Mouse anti-GAPDH antibody [6C5] (ab8245) loading control staining at 1/20000 dilution, shown in red. In Western blot, ab273130 was shown to bind specifically to HE4. A band was observed at 20 kDa in treated wild-type OVCAR-3 cell lysates with no signal observed at this size in WFDC2 knockout cell line ab275410 (knockout cell lysate ab275536). To generate this image, wild-type and WFDC2 knockout OVCAR-3 cell lysates were analysed. First, samples were run on an SDS-PAGE gel then transferred onto a nitrocellulose membrane. Membranes were blocked in 3 % milk in TBS-0.1 % Tween® 20 (TBS-T) before incubation with primary antibodies overnight at 4 °C. Blots were washed four times in TBS-T, incubated with secondary antibodies for 1 h at room temperature, washed again four times then imaged. Secondary antibodies used were Goat anti-Rabbit IgG H&L 800CW and Goat anti-Mouse IgG H&L 680RD at 1/20000 dilution.

All lanes:

Western blot - Anti-HE4 antibody (ab273130) at 0.4 µg/mL

Lane 1:

Wild-type OVCAR-3 Treated Brefeldin A (<a href='/en-us/products/sample-preparation-kits/brefeldin-a-solution-1000x-ab193369'>ab193369</a>) (5 ug/mL, 4 h), Monensin (<a href='/en-us/products/sample-preparation-kits/monensin-solution-1000x-ab193381'>ab193381</a>) (2 uM, 4 h) cell lysate at 20 µg

Lane 2:

Wild-type OVCAR-3 Vehicle Control Brefeldin A (<a href='/en-us/products/sample-preparation-kits/brefeldin-a-solution-1000x-ab193369'>ab193369</a>) (0 ug/mL, 4 h), Monensin (<a href='/en-us/products/sample-preparation-kits/monensin-solution-1000x-ab193381'>ab193381</a>) (0 uM, 4 h) cell lysate at 20 µg

Lane 3:

WFDC2 knockout OVCAR-3 Treated Brefeldin A (<a href='/en-us/products/sample-preparation-kits/brefeldin-a-solution-1000x-ab193369'>ab193369</a>) (5 ug/mL, 4 h), Monensin (<a href='/en-us/products/sample-preparation-kits/monensin-solution-1000x-ab193381'>ab193381</a>) (2 uM, 4 h) cell lysate at 20 µg

Lane 4:

WFDC2 knockout OVCAR-3 Vehicle Control Brefeldin A (<a href='/en-us/products/sample-preparation-kits/brefeldin-a-solution-1000x-ab193369'>ab193369</a>) (0 ug/mL, 4 h), Monensin (<a href='/en-us/products/sample-preparation-kits/monensin-solution-1000x-ab193381'>ab193381</a>) (0 uM, 4 h) cell lysate at 20 µg

Observed band size: 20 kDa

false

Western blot - Anti-HE4 antibody (AB273130)
  • WB

Supplier Data

Western blot - Anti-HE4 antibody (AB273130)

All lanes:

Western blot - Anti-HE4 antibody (ab273130) at 0.4 µg/mL

All lanes:

EFO-21 (Human cell line) cell lysate

Predicted band size: 13 kDa

false

Key facts

Host species

Rabbit

Clonality

Polyclonal

Isotype

IgG

Carrier free

No

Reacts with

Human

Applications

IHC-P, WB, ICC/IF

applications

Immunogen

Recombinant Full Length Protein corresponding to Human WFDC2.

Q14508

Reactivity data

{ "title": "Reactivity Data", "filters": { "stats": ["", "Species", "Dilution Info", "Notes"], "tabs": { "all-applications": {"fullname" : "All Applications", "shortname": "All Applications"}, "IHCP" : {"fullname" : "Immunohistochemistry (Formalin/PFA-fixed paraffin-embedded sections)", "shortname":"IHC-P"}, "WB" : {"fullname" : "Western blot", "shortname":"WB"}, "ICCIF" : {"fullname" : "Immunocytochemistry/ Immunofluorescence", "shortname":"ICC/IF"} }, "product-promise": { "all": "all", "testedAndGuaranteed": "tested", "guaranteed": "expected", "predicted": "predicted", "notRecommended": "not-recommended" } }, "values": { "Human": { "IHCP-species-checked": "testedAndGuaranteed", "IHCP-species-dilution-info": "1/50 - 1/200", "IHCP-species-notes": "<p></p> Perform heat-mediated antigen retrieval with citrate buffer pH 6 before commencing with IHC staining protocol.", "WB-species-checked": "testedAndGuaranteed", "WB-species-dilution-info": "0.04-0.4 µg/mL", "WB-species-notes": "<p></p>", "ICCIF-species-checked": "testedAndGuaranteed", "ICCIF-species-dilution-info": "0.25-2 µg/mL", "ICCIF-species-notes": "<p>Fixation/Permeabilization: PFA/Triton X-100.</p>" } } }

Properties and storage information

Form
Liquid
Purification technique
Affinity purification Immunogen
Storage buffer
pH: 7.2 Preservative: 0.02% Sodium azide Constituents: PBS, 40% Glycerol (glycerin, glycerine)
Shipped at conditions
Blue Ice
Appropriate short-term storage duration
1-2 weeks
Appropriate short-term storage conditions
+4°C
Appropriate long-term storage conditions
-20°C
Aliquoting information
Upon delivery aliquot
Storage information
Avoid freeze / thaw cycle

Supplementary information

This supplementary information is collated from multiple sources and compiled automatically.

Human Epididymis Protein 4 (HE4) also known as WAP four-disulfide core domain protein 2 (WFDC2) is a small glycoprotein of approximately 13 kDa. HE4 is most highly expressed in the epithelial cells of reproductive tissues like the epididymis but also in tissues such as the respiratory and urogenital tracts. HE4 is secreted into the extracellular space where it functions and is found in normal range in different body fluids. This secreted protein has gained attention due to its use in various diagnostic tests such as the HE4 test and HE4 assay utilizing HE4 antibodies.
Biological function summary

HE4 participates in innate immune response and epithelial cell protection. HE4 protein plays a role in the modulation of antiprotease activity as it is involved in inhibiting serine proteases. It is not part of a larger protein complex but interacts with multiple protease signaling pathways. HE4 is often studied for its role in modulating protein activity at epithelial barriers contributing to tissue homeostasis and protective mechanisms against infections.

Pathways

HE4 interacts within signaling cascades such as the innate immune pathways and extracellular matrix organization. It links to proteins within these pathways like serine proteases and other WFDC family proteins. HE4 influences protease activity regulation an essential component of tissue remodeling and inflammatory response impacting overall pathway dynamics.

HE4 has strong associations with ovarian cancer and endometrial cancer. Its overexpression in these malignancies makes it a valuable biomarker for disease diagnosis and prognosis. HE4 interacts with cancer-related proteins such as CA125 enhancing its utility in combinatory diagnostic approaches. The HE4 test and HE4 ELISA kit price underline its significance in clinical settings for monitoring these cancers where timely detection influences treatment outcomes.

Product protocols

For this product, it's our understanding that no specific protocols are required. You can visit:

Target data

Broad range protease inhibitor.
See full target information WFDC2

Product promise

We are committed to supporting your work with high-quality reagents, and we're here for you every step of the way. In the unlikely event that one of our products does not perform as expected, you're protected by our Product Promise.
For full details, please see our Terms & Conditions

Please note: All products are 'FOR RESEARCH USE ONLY. NOT FOR USE IN DIAGNOSTIC OR THERAPEUTIC PROCEDURES'.

For licensing inquiries, please contact partnerships@abcam.com