JavaScript is disabled in your browser. Please enable JavaScript to view this website.
AB264039

Anti-heavy chain Myosin antibody [F1.652] - BSA and Azide free

Be the first to review this product! Submit a review

|

(0 Publication)

Mouse Recombinant Monoclonal MYH3 antibody. Carrier free. Suitable for WB, IHC-P and reacts with Mouse, Rat samples.

View Alternative Names

Myosin-3, Muscle embryonic myosin heavy chain, Myosin heavy chain 3, SMHCE, MYH3

4 Images
Immunohistochemistry (Formalin/PFA-fixed paraffin-embedded sections) - Anti-heavy chain Myosin antibody [F1.652] - BSA and Azide free (AB264039)
  • IHC-P

Unknown

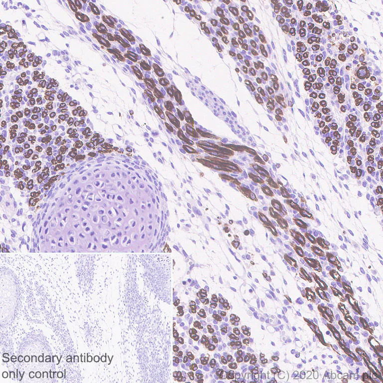
Immunohistochemistry (Formalin/PFA-fixed paraffin-embedded sections) - Anti-heavy chain Myosin antibody [F1.652] - BSA and Azide free (AB264039)

Immunohistochemical analysis of paraffin-embedded mouse E14.5 tissue labeling Myosin with ab264038 at 1/500 dilution (2.22 μg/ml) followed by ready to use Goat Anti-mouse IgG H&L (HRP polymer) (ab214879). Positive staining on the skeletal muscle of mouse E14.5. The section was incubated with ab264038 for 30 mins at room temperature. The immunostaining was performed on a Leica Biosystems BOND® RX instrument. Counterstained with Hematoxylin.

Secondary antibody only control : Secondary antibody is ready to use Goat Anti-mouse IgG H&L (HRP polymer) (ab214879).

Heat mediated antigen retrieval with Tris-EDTA buffer (pH 9.0, epitope retrieval solution2) for 20 mins.

This data was developed using the same antibody clone in a different buffer formulation containing PBS, BSA, glycerol, and sodium azide (ab264038).

Immunohistochemistry (Formalin/PFA-fixed paraffin-embedded sections) - Anti-heavy chain Myosin antibody [F1.652] - BSA and Azide free (AB264039)
  • IHC-P

Unknown

Immunohistochemistry (Formalin/PFA-fixed paraffin-embedded sections) - Anti-heavy chain Myosin antibody [F1.652] - BSA and Azide free (AB264039)

Immunohistochemical analysis of paraffin-embedded rat E14.5 tissue labeling Myosin with ab264038 at 1/500 dilution (2.22 μg/ml) followed by ready to use Goat Anti-mouse IgG H&L (HRP polymer) (ab214879). Positive staining on the skeletal muscle of rat E14.5. The section was incubated with ab264038 for 30 mins at room temperature. The immunostaining was performed on a Leica Biosystems BOND® RX instrument. Counterstained with Hematoxylin.

Secondary antibody only control : Secondary antibody is a ready to use Goat Anti-mouse IgG H&L (HRP polymer) (ab214879).

Heat mediated antigen retrieval with Tris-EDTA buffer (pH 9.0, epitope retrieval solution2) for 20 mins.

This data was developed using the same antibody clone in a different buffer formulation containing PBS, BSA, glycerol, and sodium azide (ab264038).

Western blot - Anti-heavy chain Myosin antibody [F1.652] - BSA and Azide free (AB264039)
  • WB

Lab

Western blot - Anti-heavy chain Myosin antibody [F1.652] - BSA and Azide free (AB264039)

Blocking/Dilution buffer : 5% NFDM/TBST.

Negative control : Mouse adult skelatal muscle (PMID : 3530499).

The expression profile observed is consistent with what has been described in the literature (PMID : 3530499, 12899730).

This data was developed using the same antibody clone in a different buffer formulation containing PBS, BSA, glycerol, and sodium azide (ab264038).

All lanes:

Western blot - Anti-heavy chain Myosin antibody [F1.652] (<a href='/en-us/products/primary-antibodies/heavy-chain-myosin-antibody-f1652-ab264038'>ab264038</a>) at 0.222 µg/mL

Lane 1:

Mouse embryo tissue lysate at 20 µg

Lane 2:

Mouse adult skeletal muscle tissue lysate at 20 µg

Secondary

All lanes:

Peroxidase-Conjugated Goat anti-Mouse IgG (H+L) at 1/10000 dilution

Predicted band size: 224 kDa

Observed band size: 250 kDa

false

Exposure time: 26s

Western blot - Anti-heavy chain Myosin antibody [F1.652] - BSA and Azide free (AB264039)
  • WB

Lab

Western blot - Anti-heavy chain Myosin antibody [F1.652] - BSA and Azide free (AB264039)

Blocking/Dilution buffer : 5% NFDM/TBST.

The expression profile observed is consistent with what has been described in the literature (PMID : 3530499, 12899730).

This data was developed using the same antibody clone in a different buffer formulation containing PBS, BSA, glycerol, and sodium azide (ab264038).

All lanes:

Western blot - Anti-heavy chain Myosin antibody [F1.652] (<a href='/en-us/products/primary-antibodies/heavy-chain-myosin-antibody-f1652-ab264038'>ab264038</a>) at 0.222 µg/mL

Lane 1:

L6 (rat skeletal muscle myoblast), whole cell lysate at 20 µg

Lane 2:

Mouse E14.5 limb tissue lysate at 20 µg

Secondary

All lanes:

Peroxidase-Conjugated Goat anti-Mouse IgG (H+L) at 1/10000 dilution

Predicted band size: 224 kDa

Observed band size: 250 kDa

false

Exposure time: 26s

Key facts

Host species

Mouse

Clonality

Monoclonal

Clone number

F1.652

Isotype

IgG1

Carrier free

Yes

Reacts with

Mouse, Rat

Applications

WB, IHC-P

applications

Immunogen

The exact immunogen used to generate this antibody is proprietary information.

Specificity

Cross-reactivity with this protein has not been confirmed experimentally.

Reactivity data

{ "title": "Reactivity Data", "filters": { "stats": ["", "Species", "Dilution Info", "Notes"], "tabs": { "all-applications": {"fullname" : "All Applications", "shortname": "All Applications"}, "WB" : {"fullname" : "Western blot", "shortname":"WB"}, "ICCIF" : {"fullname" : "Immunocytochemistry/ Immunofluorescence", "shortname":"ICC/IF"}, "IHCFr" : {"fullname" : "Immunohistochemistry (Frozen sections)", "shortname":"IHC-Fr"}, "IHCP" : {"fullname" : "Immunohistochemistry (Formalin/PFA-fixed paraffin-embedded sections)", "shortname":"IHC-P"} }, "product-promise": { "all": "all", "testedAndGuaranteed": "tested", "guaranteed": "expected", "predicted": "predicted", "notRecommended": "not-recommended" } }, "values": { "Human": { "WB-species-checked": "notRecommended", "WB-species-dilution-info": "", "WB-species-notes": "", "ICCIF-species-checked": "notRecommended", "ICCIF-species-dilution-info": "", "ICCIF-species-notes": "<p></p>", "IHCFr-species-checked": "notRecommended", "IHCFr-species-dilution-info": "", "IHCFr-species-notes": "", "IHCP-species-checked": "notRecommended", "IHCP-species-dilution-info": "", "IHCP-species-notes": "" }, "Mouse": { "WB-species-checked": "testedAndGuaranteed", "WB-species-dilution-info": "", "WB-species-notes": "<p></p>", "ICCIF-species-checked": "notRecommended", "ICCIF-species-dilution-info": "", "ICCIF-species-notes": "<p></p>", "IHCFr-species-checked": "notRecommended", "IHCFr-species-dilution-info": "", "IHCFr-species-notes": "<p></p>", "IHCP-species-checked": "testedAndGuaranteed", "IHCP-species-dilution-info": "", "IHCP-species-notes": "<p></p>" }, "Rat": { "WB-species-checked": "testedAndGuaranteed", "WB-species-dilution-info": "", "WB-species-notes": "<p></p>", "ICCIF-species-checked": "notRecommended", "ICCIF-species-dilution-info": "", "ICCIF-species-notes": "<p></p>", "IHCFr-species-checked": "notRecommended", "IHCFr-species-dilution-info": "", "IHCFr-species-notes": "<p></p>", "IHCP-species-checked": "testedAndGuaranteed", "IHCP-species-dilution-info": "", "IHCP-species-notes": "<p></p>" } } }

Product details

ab264039 is the carrier-free version of ab264038.

What are the advantages of a recombinant monoclonal antibody?
This product is a recombinant monoclonal antibody, which offers several advantages including:

  • - High batch-to-batch consistency and reproducibility
  • - Improved sensitivity and specificity
  • - Long-term security of supply
  • - Animal-free batch production

For more information, read more on recombinant antibodies.

Want a custom formulation?
This antibody clone is manufactured by Abcam. If you require a custom buffer formulation or conjugation for your experiments, please contact orders@abcam.com

Conjugation ready
Our carrier-free antibodies are typically supplied in a PBS-only formulation, purified and free of BSA, sodium azide and glycerol. This conjugation-ready format is designed for use with fluorochromes, metal isotopes, oligonucleotides, and enzymes, which makes them ideal for antibody labelling, functional and cell-based assays, flow-based assays (e.g. mass cytometry) and Multiplex Imaging applications.

Use our conjugation kits for antibody conjugates that are ready-to-use in as little as 20 minutes with 1 minute hands-on-time and 100% antibody recovery: available for fluorescent dyes, HRP, biotin and gold.

Compatibility
This product is compatible with the Maxpar® Antibody Labeling Kit from Fluidigm, without the need for antibody preparation. Maxpar® is a trademark of Fluidigm Canada Inc.

Properties and storage information

Form
Liquid
Purification technique
Affinity purification Protein A
Storage buffer
pH: 7.2 - 7.4 Constituents: PBS
Shipped at conditions
Blue Ice
Appropriate short-term storage conditions
+4°C
Appropriate long-term storage conditions
+4°C
Storage information
Do Not Freeze

Supplementary information

This supplementary information is collated from multiple sources and compiled automatically.

Heavy chain Myosin also known as MYH3 is a protein involved in muscle contraction. Alternative names for this protein include Myosin heavy chain and MyHC with a molecular mass of approximately 223 kDa. This protein is primarily expressed in skeletal muscle tissues during fetal development. The heavy chain myosin is a part of the larger family of myosin proteins which are motor proteins found in most eukaryotic cells.
Biological function summary

Heavy chain Myosin functions to convert chemical energy from ATP into mechanical energy facilitating muscle contraction. It serves as the backbone for thick filaments playing a significant role in muscle fiber composition. Myosin heavy chain forms a complex with actin filaments and this actin-myosin interaction is essential for muscle contraction and force generation. This protein can associate with different myosin light chains and regulatory proteins which modulate its activity.

Pathways

Heavy chain Myosin is an important player in the muscle contraction pathway. This pathway is critical for muscle development and maintenance influencing how muscles respond to stimuli. Actin and tropomyosin are vital collaborators in this process with the interaction between actin and MyHC being central to contraction. The troponin complex acts as a regulatory unit within the pathway controlling the exposure of active sites on actin filaments.

Mutations in the MYH3 gene can cause conditions like Freeman-Sheldon syndrome and distal arthrogryposis type 2A. These disorders are characterized by joint contractures and muscle abnormalities. MYH3 mutations alter the normal function of the myosin protein affecting muscle development. Additionally heavy chain Myosin interacts with other muscle-related proteins such as actin and myosin-binding protein C linking it to various skeletal muscle disorders.

Product protocols

For this product, it's our understanding that no specific protocols are required. You can visit:

Target data

Muscle contraction.
See full target information MYH3

Product promise

We are committed to supporting your work with high-quality reagents, and we're here for you every step of the way. In the unlikely event that one of our products does not perform as expected, you're protected by our Product Promise.
For full details, please see our Terms & Conditions

Please note: All products are 'FOR RESEARCH USE ONLY. NOT FOR USE IN DIAGNOSTIC OR THERAPEUTIC PROCEDURES'.

For licensing inquiries, please contact partnerships@abcam.com