JavaScript is disabled in your browser. Please enable JavaScript to view this website.
AB172611

Anti-Helicobacter pylori antibody [EPR10353]

Be the first to review this product! Submit a review

|

(2 Publications)

Anti-Helicobacter pylori antibody [EPR10353] (ab172611) is a rabbit monoclonal antibody detecting Helicobacter pylori in IHC-P. Suitable for Helicobacter pylori.

- Biophysical QC for unrivalled batch-batch consistency

View Alternative Names

H. pylori

1 Images
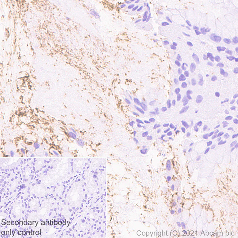
Immunohistochemistry (Formalin/PFA-fixed paraffin-embedded sections) - Anti-Helicobacter pylori antibody [EPR10353] (AB172611)
  • IHC-P

Lab

Immunohistochemistry (Formalin/PFA-fixed paraffin-embedded sections) - Anti-Helicobacter pylori antibody [EPR10353] (AB172611)

Immunohistochemistry (Formalin/PFA-fixed paraffin-embedded sections) analysis of human HP(+)gastritis tissue sections labelling Helicobacter pylori with purified ab172611 at 1/13000 dilution (0.03 μg/ml). Heat mediated antigen retrieval was performed using Heat mediated antigen retrieval using Bond™ Epitope Retrieval Solution 2 (pH 9.0) . Tissue was counterstained with Hematoxylin. Rabbit specific IHC polymer detection kit HRP/DAB (ab209101) secondary antibody was used at 1/0 dilution. PBS instead of the primary antibody was used as the negative control. The immunostaining was performed on a Leica Biosystems BOND® RX instrument.

  • Carrier free

    Anti-Helicobacter pylori antibody [EPR10353] - BSA and Azide free

Key facts

Host species

Rabbit

Clonality

Monoclonal

Clone number

EPR10353

Isotype

IgG

Carrier free

No

Reacts with

Helicobacter pylori

Applications

IHC-P

applications

Immunogen

The exact immunogen used to generate this antibody is proprietary information.

Reactivity data

{ "title": "Reactivity Data", "filters": { "stats": ["", "Species", "Dilution Info", "Notes"], "tabs": { "all-applications": {"fullname" : "All Applications", "shortname": "All Applications"}, "IHCP" : {"fullname" : "Immunohistochemistry (Formalin/PFA-fixed paraffin-embedded sections)", "shortname":"IHC-P"} }, "product-promise": { "all": "all", "testedAndGuaranteed": "tested", "guaranteed": "expected", "predicted": "predicted", "notRecommended": "not-recommended" } }, "values": { "Helicobacter pylori": { "IHCP-species-checked": "testedAndGuaranteed", "IHCP-species-dilution-info": "1/13000", "IHCP-species-notes": "<p>For unpurified use at 1/250 - 1/500.</p> Perform heat-mediated antigen retrieval with Tris/EDTA buffer pH 9.0 before commencing with IHC staining protocol." } } }

Product details

What is this antibody validated in?
Anti-Helicobacter pylori antibody [EPR10353] (ab172611) is a rabbit recombinant monoclonal antibody and is validated for use in Immunohistochemistry (IHC-P) in Helicobacter pylori samples.

Trial sizes available!
Test your antibody or perform pre-screening before committing to a larger quantity. Sold in 10µl. Discover our selection of trial-size antibodies.

Other related products
We have a range of other formats of antibody clone [EPR10353] also available for your convenience: ab172611, Carrier free - ab210851

Patented technology
Our RabMAb® technology is a patented hybridoma-based technology for making rabbit monoclonal antibodies. For details on our patents, please refer to RabMAb® patents.

What are the advantages of a recombinant monoclonal antibody?
This product is a recombinant monoclonal antibody, which offers several advantages including:

  • - High batch-to-batch consistency and reproducibility
  • - Improved sensitivity and specificity
  • - Long-term security of supply
  • - Animal-free batch production

For more information, read more on recombinant antibodies.

Properties and storage information

Form
Liquid
Purification technique
Affinity purification Protein A
Storage buffer
pH: 7.2 - 7.4 Preservative: 0.01% Sodium azide Constituents: PBS, 40% Glycerol (glycerin, glycerine), 0.05% BSA
Shipped at conditions
Blue Ice
Appropriate short-term storage duration
1-2 weeks
Appropriate short-term storage conditions
+4°C
Appropriate long-term storage conditions
-20°C
Aliquoting information
Upon delivery aliquot
Storage information
Avoid freeze / thaw cycle

Supplementary information

This supplementary information is collated from multiple sources and compiled automatically.

Helicobacter pylori often called H. pylori is a gram-negative spiral-shaped bacterium with a mass of about 3.39 megadaltons. This organism colonizes the human gastric epithelium where it survives in the acidic environment of the stomach. The bacterium expresses urease which breaks down urea to ammonia and carbon dioxide helping neutralize gastric acid. It attaches to the gastric mucosa using flagella for motility and adheres to host cells via adhesins. Researchers utilize specific staining methods such as the Helicobacter pylori stain and tools like anti-Helicobacter antibodies to detect and study this pathogen.
Biological function summary

Helicobacter pylori plays a significant role in gastric health by disrupting mucosal integrity. It engages in the secretion of virulence factors like CagA and VacA leading to changes in cellular signaling and inflammation. H. pylori does not operate as part of a large complex but its interactions with the gastric mucosa have substantial effects. Detection and diagnosis often employ tools like H. pylori IHC and H. pylori antibody kits which target the bacterium's proteins to confirm infection presence.

Pathways

H. pylori infection activates signaling routes including the NF-κB pathway and the MAPK pathway in gastric epithelial cells. These pathways contribute to inflammatory responses and immune cell activation leading to mucosal damage. Within these pathways proteins like tumor necrosis factor-alpha (TNF-α) and interleukin-8 (IL-8) play roles in mediating inflammation initiated by the bacterial colonization of the gastric lining.

Chronic H. pylori infection has strong associations with gastric ulcers and gastric cancer. The bacterium promotes persistent inflammation and cellular damage that can progress to malignancy. H. pylori-related disorders are linked with proteins such as CagA a known oncogenic factor that interferes with host cell signaling and promotes carcinogenesis. Detection and specific targeting by Helicobacter pylori antibodies play important roles in managing and studying these conditions.

Product protocols

For this product, it's our understanding that no specific protocols are required. You can visit:

Publications (2)

Recent publications for all applications. Explore the full list and refine your search

PLoS pathogens 21:e1013402 PubMed40794649

2025

Age-associated immune dysregulation and B cell dysfunction drive severe outcomes in SFTSV infection.

Applications

Unspecified application

Species

Unspecified reactive species

Eun-Ha Kim,Ho Bin Jang,Se-Mi Kim,Dongbin Park,Young-Il Kim,Seung-Gyu Jang,Suhee Hwang,Woo-Hyun Kwon,Isaac Choi,Jaemoo Kim,Hee-Dong Yang,Hyunjoon Kim,Mark Anthony B Casel,Min-Suk Song,Jae U Jung,Young Ki Choi

Scientific reports 11:7789 PubMed33833389

2021

A comparative study of Helicobacter pylori infection in hamsters experimentally infected with liver flukes Opisthorchis felineus, Opisthorchis viverrini, or Clonorchis sinensis.

Applications

Unspecified application

Species

Unspecified reactive species

Maria Y Pakharukova,Oxana Zaparina,Sung-Jong Hong,Banchob Sripa,Viatcheslav A Mordvinov
View all publications

Product promise

We are committed to supporting your work with high-quality reagents, and we're here for you every step of the way. In the unlikely event that one of our products does not perform as expected, you're protected by our Product Promise.
For full details, please see our Terms & Conditions

Please note: All products are 'FOR RESEARCH USE ONLY. NOT FOR USE IN DIAGNOSTIC OR THERAPEUTIC PROCEDURES'.

For licensing inquiries, please contact partnerships@abcam.com