JavaScript is disabled in your browser. Please enable JavaScript to view this website.
AB52947

Anti-Heme Oxygenase 1 antibody [EP1391Y]

  • BOND RX™ Validated
  • RabMAb
  • Recombinant
  • KO Validated
  • What is this?

5

(5 Reviews)

|

(180 Publications)

Anti-Heme Oxygenase 1 antibody [EP1391Y] (ab52947) is a rabbit monoclonal antibody detecting Heme Oxygenase 1 in Western Blot, Flow Cytometry (Intra), Flow Cytometry, IP, IHC-P. Suitable for Human, Mouse.

- KO validated for confirmed specificity
- Biophysical QC for unrivalled batch-batch consistency
- Over 110 publications
- Trusted since 2007

View Alternative Names

HO, HO1, HMOX1, Heme oxygenase 1, HO-1

10 Images
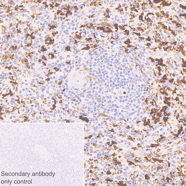
Immunohistochemistry (Formalin/PFA-fixed paraffin-embedded sections) - Anti-Heme Oxygenase 1 antibody [EP1391Y] (AB52947)
  • IHC-P

Lab

Immunohistochemistry (Formalin/PFA-fixed paraffin-embedded sections) - Anti-Heme Oxygenase 1 antibody [EP1391Y] (AB52947)

Immunohistochemical analysis of paraffin-embedded Human spleen tissue labeling Heme Oxygenase 1 with ab52947 at 1/2000 (0.246 ug/ml) dilution followed by a ready to use LeicaDS9800 (Bond Polymer Refine Detection) was used. Cytoplasmic staining on human spleen. The section was incubated with ab52947 for 30 mins at room temperature.The immunostaining was performed on a Leica Biosystems BOND RX instrument Counterstained with Hematoxylin.

Secondary antibody only control : Secondary antibody is a ready to use LeicaDS9800 (Bond Polymer Refine Detection) was used.

Heat mediated antigen retrieval with Tris-EDTA buffer (pH 9.0, epitope retrieval solution2) for 20 mins

Flow Cytometry (Intracellular) - Anti-Heme Oxygenase 1 antibody [EP1391Y] (AB52947)
  • Flow Cyt (Intra)

Unknown

Flow Cytometry (Intracellular) - Anti-Heme Oxygenase 1 antibody [EP1391Y] (AB52947)

Overlay histogram showing HEK-293 (human epithelial cell line from embryonic kidney) cells stained with ab52947 (red line). The cells were fixed with 4% paraformaldehyde (10 min) and then permeabilized with 0.1% PBS-Tween for 20 min. The cells were then incubated in 1x PBS / 10% normal goat serum / 0.3M glycine to block non-specific protein-protein interactions followed by the antibody (ab52947, 1/1000 dilution) for 30 min at 22°C. The secondary antibody used was DyLight® 488 goat anti-rabbit IgG (H+L) (ab96899) at 1/500 dilution for 30 min at 22°C. Isotype control antibody (black line) was rabbit IgG (monoclonal) (0.1μg/1x106 cells) used under the same conditions. Unlabelled sample (blue line) was also used as a control. Acquisition of >5,000 events were collected using a 20mW Argon ion laser (488nm) and 525/30 bandpass filter. This antibody gave a positive signal in HEK293 cells fixed with 80% methanol (5 min)/permeabilized with 0.1% PBS-Tween for 20 min used under the same conditions.

Immunohistochemistry (Formalin/PFA-fixed paraffin-embedded sections) - Anti-Heme Oxygenase 1 antibody [EP1391Y] (AB52947)
  • IHC-P

Lab

Immunohistochemistry (Formalin/PFA-fixed paraffin-embedded sections) - Anti-Heme Oxygenase 1 antibody [EP1391Y] (AB52947)

Immunohistochemical analysis of paraffin-embedded Human liver tissue labeling Heme Oxygenase 1 with ab52947 at 1/2000 (0.246 ug/ml) dilution followed by a ready to use LeicaDS9800 (Bond Polymer Refine Detection) was used. Cytoplasmic staining on Kupffer cells in human liver. The section was incubated with ab52947 for 30 mins at room temperature.The immunostaining was performed on a Leica Biosystems BOND RX instrument Counterstained with Hematoxylin.

Secondary antibody only control : Secondary antibody is a ready to use LeicaDS9800 (Bond Polymer Refine Detection) was used.

Heat mediated antigen retrieval with Tris-EDTA buffer (pH 9.0, epitope retrieval solution2) for 20 mins

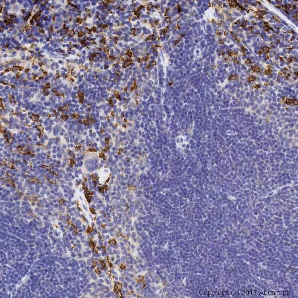
Immunohistochemistry (Formalin/PFA-fixed paraffin-embedded sections) - Anti-Heme Oxygenase 1 antibody [EP1391Y] (AB52947)
  • IHC-P

Unknown

Immunohistochemistry (Formalin/PFA-fixed paraffin-embedded sections) - Anti-Heme Oxygenase 1 antibody [EP1391Y] (AB52947)

IHC image of ab52947 staining in mouse spleen formalin fixed paraffin embedded tissue section, performed on a Leica BondTM system using the standard protocol B. The section was pre-treated using heat mediated antigen retrieval with sodium citrate buffer (pH6, epitope retrieval solution 1) for 20 mins. The section was then incubated with ab52947, 5μg/ml, for 15 mins at room temperature. A goat anti-rabbit biotinylated secondary antibody was used to detect the primary, and visualized using an HRP conjugated ABC system. DAB was used as the chromogen. The section was then counterstained with haematoxylin and mounted with DPX.

Flow Cytometry (Intracellular) - Anti-Heme Oxygenase 1 antibody [EP1391Y] (AB52947)
  • Flow Cyt (Intra)

Lab

Flow Cytometry (Intracellular) - Anti-Heme Oxygenase 1 antibody [EP1391Y] (AB52947)

Intracellular flow cytometric analysis of 4% paraformaldehyde fixed 90% methanol permeabilized NIH/3T3 (Mouse embryonic fibroblast) cells labelling Heme Oxygenase 1 with ab52947 at 1/50 dilution (1ug) (Red) compared with a Rabbit monoclonal IgG (ab172730) (Black) isotype control and an unlabelled control (cells without incubation with primary antibody and secondary antibody) (Blue). A Goat anti rabbit IgG (Alexa Fluor 488, ab150077) at 1/2000 dilution was used as the secondary antibody.

Immunohistochemistry (Formalin/PFA-fixed paraffin-embedded sections) - Anti-Heme Oxygenase 1 antibody [EP1391Y] (AB52947)
  • IHC-P

Lab

Immunohistochemistry (Formalin/PFA-fixed paraffin-embedded sections) - Anti-Heme Oxygenase 1 antibody [EP1391Y] (AB52947)

Immunohistochemical analysis of paraffin-embedded Mouse spleen tissue labeling Heme Oxygenase 1 with ab52947 at 1/2000 (0.246 ug/ml) dilution followed by a ready to use LeicaDS9800 (Bond Polymer Refine Detection) was used. Cytoplasmic staining on mouse spleen. The section was incubated with ab52947 for 30 mins at room temperature.The immunostaining was performed on a Leica Biosystems BOND RX instrument Counterstained with Hematoxylin.

Secondary antibody only control : Secondary antibody is a ready to use LeicaDS9800 (Bond Polymer Refine Detection) was used.

Heat mediated antigen retrieval with Tris-EDTA buffer (pH 9.0, epitope retrieval solution2) for 20 mins

Immunoprecipitation - Anti-Heme Oxygenase 1 antibody [EP1391Y] (AB52947)
  • IP

Lab

Immunoprecipitation - Anti-Heme Oxygenase 1 antibody [EP1391Y] (AB52947)

Heme Oxygenase 1 was immunoprecipitated from 0.35mg mouse spleen lysate with ab52947 at 1/30 dilution (2μg in 0.35mg lysates). Western blot was performed on the immunoprecipitate using ab52947 at 1/1000 dilution (1 μg/mL). VeriBlot for IP Detection Reagent (HRP) (ab131366) was used as the secondary antibody at 1/1000 dilution.

Lane 1 : Mouse spleen tissue lysate 10 μg
Lane 2 : Mouse spleen tissue lysate
Lane 3 : Rabbit monoclonal IgG (ab172730) instead of ab52947 in mouse spleen lysate.

Blocking and dilution buffer and concentration : 5% NFDM/TBST.

All lanes:

Immunoprecipitation - Anti-Heme Oxygenase 1 antibody [EP1391Y] (ab52947)

Predicted band size: 33 kDa

Observed band size: 33 kDa

false

Exposure time: 3s

Western blot - Anti-Heme Oxygenase 1 antibody [EP1391Y] (AB52947)
  • WB

Lab

Western blot - Anti-Heme Oxygenase 1 antibody [EP1391Y] (AB52947)

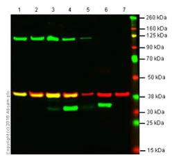
Lanes 1 - 7 : Merged signal (red and green). Green - ab52947 observed at 33 kDa. Red - loading control ab7291 (Mouse anti-Alpha Tubulin [DM1A]) observed at 55 kDa.

ab52947 was shown to react with Heme Oxygenase 1 in wild-type A549 cells in Western blot with loss of signal observed in HMOX1 knockout cell line ab269503 (knockout cell lysate ab269665). Wild-type A549 and HMOX1 knockout cell lysates were subjected to SDS-PAGE. Membranes were blocked in fluorescent western blot (TBS-based) blocking solution before incubation with ab52947 and ab7291 (Mouse anti-Alpha Tubulin [DM1A]) overnight at 4 °C at a 1 in 2000 dilution and a 1 in 20000 dilution respectively. Blots were incubated with Goat anti-Rabbit IgG H&L (IRDye® 800CW) preabsorbed (ab216773) and Goat anti-Mouse IgG H&L (IRDye® 680RD) preabsorbed (ab216776) secondary antibodies at 1 in 20000 dilution for 1 h at room temperature before imaging.

All lanes:

Western blot - Anti-Heme Oxygenase 1 antibody [EP1391Y] (ab52947) at 1/2000 dilution

Lane 1:

Wild-type A549 cell lysate at 20 µg

Lane 2:

HMOX1 knockout A549 cell lysate at 20 µg

Lane 2:

Western blot - Human HMOX1 (Heme Oxygenase 1) knockout A549 cell line (<a href='/en-us/products/cell-lines/human-hmox1-heme-oxygenase-1-knockout-a549-cell-line-ab269503'>ab269503</a>)

Lane 3:

Human Spleen tissue lysate at 20 µg

Lane 4:

HL-60 cell lysate at 20 µg

Lane 5:

MCF7 cell lysate at 20 µg

Lane 6:

HeLa cell lysate at 20 µg

Lane 7:

A549 cell lysate at 20 µg

Predicted band size: 33 kDa

Observed band size: 33 kDa

false

Western blot - Anti-Heme Oxygenase 1 antibody [EP1391Y] (AB52947)
  • WB

Lab

Western blot - Anti-Heme Oxygenase 1 antibody [EP1391Y] (AB52947)

Hek293 & HL60 presumed negative or very low expression.

Loading control GAPDH at 38kDa

All lanes:

Western blot - Anti-Heme Oxygenase 1 antibody [EP1391Y] (ab52947) at 1/1000 dilution

Lane 1:

Hek293 at 10 µg

Lane 2:

HL60 at 10 µg

Lane 3:

HeLa at 10 µg

Lane 4:

A549 at 10 µg

Lane 5:

Hu spleen at 10 µg

Lane 6:

Ms spleen at 10 µg

Lane 7:

Rt spleen at 10 µg

Secondary

All lanes:

IRDye® 800CW Goat anti Rabbit

Predicted band size: 33 kDa

Observed band size: 32 kDa

false

Western blot - Anti-Heme Oxygenase 1 antibody [EP1391Y] (AB52947)
  • WB

Lab

Western blot - Anti-Heme Oxygenase 1 antibody [EP1391Y] (AB52947)

We are unsure how to define the extra bands.

Blocking and diluting buffer and concentration : 5% NFDM/TBST.

All lanes:

Western blot - Anti-Heme Oxygenase 1 antibody [EP1391Y] (ab52947) at 1/1000 dilution

Lane 1:

HEK-293 (Human epithelial cell line from embryonic kidney) whole cell lysates at 20 µg

Lane 2:

NIH/3T3 (Mouse embryonic fibroblast) whole cell lysates at 20 µg

Lane 3:

A549 (Human lung carcinoma epithelial cell) whole cell lysates at 20 µg

Lane 4:

Mouse spleen lysates at 20 µg

Secondary

All lanes:

Western blot - Goat Anti-Rabbit IgG H&L (HRP) (<a href='/en-us/products/secondary-antibodies/goat-rabbit-igg-h-l-hrp-ab97051'>ab97051</a>) at 1/20000 dilution

Predicted band size: 33 kDa

Observed band size: 33 kDa

false

Exposure time: 120s

Key facts

Host species

Rabbit

Clonality

Monoclonal

Clone number

EP1391Y

Isotype

IgG

Carrier free

No

Reacts with

Mouse, Human

Applications

IP, IHC-P, WB, Flow Cyt (Intra)

applications

Immunogen

The exact immunogen used to generate this antibody is proprietary information.

Reactivity data

{ "title": "Reactivity Data", "filters": { "stats": ["", "Species", "Dilution Info", "Notes"], "tabs": { "all-applications": {"fullname" : "All Applications", "shortname": "All Applications"}, "IHCP" : {"fullname" : "Immunohistochemistry (Formalin/PFA-fixed paraffin-embedded sections)", "shortname":"IHC-P"}, "IP" : {"fullname" : "Immunoprecipitation", "shortname":"IP"}, "WB" : {"fullname" : "Western blot", "shortname":"WB"}, "FlowCytIntra" : {"fullname" : "Flow Cytometry (Intracellular)", "shortname":"Flow Cyt (Intra)"} }, "product-promise": { "all": "all", "testedAndGuaranteed": "tested", "guaranteed": "expected", "predicted": "predicted", "notRecommended": "not-recommended" } }, "values": { "Human": { "IHCP-species-checked": "testedAndGuaranteed", "IHCP-species-dilution-info": "0.1-5 µg/mL", "IHCP-species-notes": "<p></p> Perform heat-mediated antigen retrieval with citrate buffer pH 6 before commencing with IHC staining protocol.", "IP-species-checked": "guaranteed", "IP-species-dilution-info": "", "IP-species-notes": "", "WB-species-checked": "testedAndGuaranteed", "WB-species-dilution-info": "1/2000", "WB-species-notes": "<p></p>", "FlowCytIntra-species-checked": "testedAndGuaranteed", "FlowCytIntra-species-dilution-info": "1/1000", "FlowCytIntra-species-notes": "<p><a href='/en-us/products/primary-antibodies/rabbit-igg-monoclonal-epr25a-isotype-control-ab172730'>ab172730</a> - Rabbit monoclonal IgG, is suitable for use as an isotype control with this antibody.</p>" }, "Mouse": { "IHCP-species-checked": "testedAndGuaranteed", "IHCP-species-dilution-info": "0.1-5 µg/mL", "IHCP-species-notes": "<p></p> Perform heat-mediated antigen retrieval with citrate buffer pH 6 before commencing with IHC staining protocol.", "IP-species-checked": "testedAndGuaranteed", "IP-species-dilution-info": "1/30", "IP-species-notes": "<p></p>", "WB-species-checked": "testedAndGuaranteed", "WB-species-dilution-info": "1/2000", "WB-species-notes": "<p></p>", "FlowCytIntra-species-checked": "testedAndGuaranteed", "FlowCytIntra-species-dilution-info": "1/1000", "FlowCytIntra-species-notes": "<p><a href='/en-us/products/primary-antibodies/rabbit-igg-monoclonal-epr25a-isotype-control-ab172730'>ab172730</a> - Rabbit monoclonal IgG, is suitable for use as an isotype control with this antibody.</p>" }, "Guinea pig": { "IHCP-species-checked": "predicted", "IHCP-species-dilution-info": "", "IHCP-species-notes": "", "IP-species-checked": "predicted", "IP-species-dilution-info": "", "IP-species-notes": "", "WB-species-checked": "predicted", "WB-species-dilution-info": "", "WB-species-notes": "", "FlowCytIntra-species-checked": "predicted", "FlowCytIntra-species-dilution-info": "", "FlowCytIntra-species-notes": "" } } }

Product details

What is this antibody validated in?
Anti-Heme Oxygenase 1 antibody [EP1391Y] (ab52947) is a rabbit recombinant monoclonal antibody and is validated for use in Western Blot (WB), Flow Cytometry (Intra), Flow Cytometry (Flow Cyt), Immunoprecipitation (IP), Immunohistochemistry (IHC-P) in Human, Mouse samples.

What is the molecular weight of Heme Oxygenase 1?
Anti-Heme Oxygenase 1 [EP1391Y] (ab52947) specifically detects a band for Heme Oxygenase 1 (UniProt: P09601) at a molecular weight of 33kDa.

Trusted by the scientific community
Anti-Heme Oxygenase 1 [EP1391Y] (ab52947) was first used in a scientific publication in 2007 and has been cited over 110 times in peer-reviewed journals.

Reviewed by scientists
Anti-Heme Oxygenase 1 [EP1391Y] (ab52947) has over 5 independent reviews from customers.

Trial sizes available!
Test your antibody or perform pre-screening before committing to a larger quantity. Sold in 10µl. Discover our selection of trial-size antibodies.

Specificity confirmed
The specificity of Anti-Heme Oxygenase 1 antibody [EP1391Y] (ab52947) has been confirmed by Western blot testing in HMOX1 Knockout A549 cell line, ab269503.

Other related products
We have a range of other formats of antibody clone [EP1391Y] also available for your convenience: ab52947, Carrier free - ab219360, PE - ab305659, APC - ab305660, HRP - ab305661, Alexa Fluor® 488 - ab307765, Alkaline Phosphatase - ab308920, Alexa Fluor® 594 - ab310664, Alexa Fluor® 555 - ab312195, Alexa Fluor® 568 - ab312683, Alexa Fluor® 750 - ab321675

Patented technology
Our RabMAb® technology is a patented hybridoma-based technology for making rabbit monoclonal antibodies. For details on our patents, please refer to RabMAb® patents.

What are the advantages of a recombinant monoclonal antibody?
This product is a recombinant monoclonal antibody, which offers several advantages including:

  • - High batch-to-batch consistency and reproducibility
  • - Improved sensitivity and specificity
  • - Long-term security of supply
  • - Animal-free batch production

For more information, read more on recombinant antibodies.

Species reactivity
Rat: We have preliminary internal testing data to indicate this antibody may not react with this species.
Please contact us for more information.

Properties and storage information

Form
Liquid
Purification technique
Affinity purification Protein A
Storage buffer
pH: 7.2 - 7.4 Preservative: 0.01% Sodium azide Constituents: PBS, 40% Glycerol (glycerin, glycerine), 0.05% BSA
Shipped at conditions
Blue Ice
Appropriate short-term storage duration
1-2 weeks
Appropriate short-term storage conditions
+4°C
Appropriate long-term storage conditions
-20°C
Aliquoting information
Upon delivery aliquot
Storage information
Stable for 12 months at -20°C

Supplementary information

This supplementary information is collated from multiple sources and compiled automatically.

Heme Oxygenase 1 also known as HO-1 or HMOX1 is an enzyme that plays an important mechanistic role in heme catabolism. It catalyzes the degradation of heme into biliverdin carbon monoxide and free iron. This process involves the cleavage of the heme ring. HO-1 has a molecular weight of approximately 32 kDa. It is widely expressed in numerous tissues but is especially abundant in the liver and spleen. Its expression is induced by heme and other stress stimuli such as heavy metals cytokines and reactive oxygen species.
Biological function summary

Heme Oxygenase 1 serves important protective functions in the body. It is not part of a larger complex but its products such as carbon monoxide and biliverdin have their own biological activities. Carbon monoxide produced by HO-1 has antiflammatory properties and can modulate apoptotic pathways. Biliverdin is reduced to bilirubin which acts as an antioxidant. The enzyme therefore directly influences cellular stress responses and maintains cellular homeostasis through these processes.

Pathways

Heme Oxygenase 1 is integrally involved in oxidative stress response and heme metabolism. It participates in the cellular response to oxidative damage by reducing oxidative stress and promoting cytoprotection. Through its heme degradation activity it is connected with the synthesis of biologically active molecules like bilirubin and carbon monoxide. Heme Oxygenase 1 activity is related to other proteins in oxidative stress pathways such as Nuclear Factor Erythroid 2-Related Factor 2 (Nrf2) which regulates its expression and globins which are sources of heme for HO-1 activity.

Heme Oxygenase 1 has been linked to conditions like cardiovascular diseases and neurodegenerative disorders. Its expression can attenuate the severity of atherosclerosis where oxidative stress is an important factor. In neurodegenerative diseases HO-1's antioxidant properties may provide neuroprotection by mitigating oxidative damage. The protein's interactions with inflammatory cytokines such as Interleukin-6 and tumor necrosis factor-alpha influence its activity in these disease contexts.

Product protocols

For this product, it's our understanding that no specific protocols are required. You can visit:

Target data

Heme oxygenase 1. Catalyzes the oxidative cleavage of heme at the alpha-methene bridge carbon, released as carbon monoxide (CO), to generate biliverdin IXalpha, while releasing the central heme iron chelate as ferrous iron (PubMed : 11121422, PubMed : 19556236, PubMed : 7703255). Affords protection against programmed cell death and this cytoprotective effect relies on its ability to catabolize free heme and prevent it from sensitizing cells to undergo apoptosis (PubMed : 20055707).. Heme oxygenase 1. (Microbial infection) During SARS-COV-2 infection, promotes SARS-CoV-2 ORF3A-mediated autophagy but is unlikely to be required for ORF3A-mediated induction of reticulophagy.. Heme oxygenase 1 soluble form. Catalyzes the oxidative cleavage of heme at the alpha-methene bridge carbon, released as carbon monoxide (CO), to generate biliverdin IXalpha, while releasing the central heme iron chelate as ferrous iron.
See full target information HMOX1

Publications (180)

Recent publications for all applications. Explore the full list and refine your search

RSC medicinal chemistry : PubMed41030312

2025

Pan-cancer analysis reveals HMOX1 as a cancer prognosis and immune infiltration-related biomarker.

Applications

Unspecified application

Species

Unspecified reactive species

Yingli Men,Hui Wang,Xiaoyan Xu,Miling Yang,Ruiting Feng,Jizhi Zhao,Ying Liu,Lu Yang,Yinsen Song,Cong Ding

Journal of inflammation research 18:12105-12121 PubMed40933752

2025

Combination of Polydatin and Hawthorn Leave Flavonoids Ameliorate Atherosclerotic Plaque Vulnerability in ApoE Mice by Regulating Ferroptosis via the Nrf2/HO-1/GPX4 Axis.

Applications

Unspecified application

Species

Unspecified reactive species

Jiye Chen,Xiaonan Zhang,Changxin Sun,Zeping Wang,Xiaoya Li,Lanqing Hu,Yongfang Yuan,Min Wu,Longtao Liu

Acta pharmaceutica Sinica. B 15:4265-4284 PubMed40893687

2025

Unveiling the renoprotective mechanisms of self-assembled herbal nanoparticles from and in acute kidney injury: A nano-TCM approach.

Applications

Unspecified application

Species

Unspecified reactive species

Lunyue Xia,Qunfang Yang,Kangzhe Fu,Yutong Yang,Kaiyue Ding,Yuexue Huo,Lanfang Zhang,Yunong Li,Borong Zhu,Peiyu Li,Yijie Huo,Liang Sun,Ya Liu,Haigang Zhang,Tao Liu,Wenjun Shan,Lin Zhang

Nature cancer 6:1734-1753 PubMed40841472

2025

A sphingolipid-derived paclitaxel nanovesicle enhances efficacy of combination therapies in triple-negative breast cancer and pancreatic cancer.

Applications

Unspecified application

Species

Unspecified reactive species

Zhiren Wang,Wenpan Li,Yanhao Jiang,Teng Ma,Mengwen Li,Shuang Wu,Tuyen Ba Tran,Leyla Estrella Cordova,Ethan Lin,Aaron James Scott,Jennifer Erdrich,Joyce Schroeder,Pavani Chalasani,Jianqin Lu

Food science & nutrition 13:e70688 PubMed40755501

2025

Naringenin Accelerates Diabetic Wound Healing via Regulating Macrophage M2 Polarization and Efferocytosis.

Applications

Unspecified application

Species

Unspecified reactive species

Beizhi Wang,Yumeng Huang,Youjun Ding,Jingyi Chen,Yutong Chen,Hao Zhang,Qian Tan

Nature communications 16:6590 PubMed40676021

2025

Near-infrared light-driven metabolic reprogramming of synoviocytes for the treatment of rheumatoid arthritis.

Applications

Unspecified application

Species

Unspecified reactive species

Hugang Zhang,Jiaxin Jia,Hanyu Liu,Haobo Han,Quanshun Li

International journal of molecular sciences 26: PubMed40565375

2025

Isostrictiniin Alleviates LPS-Induced Acute Lung Injury via the Regulation of the Keap1-Nrf2/HO-1 and MAPK/NF-κB Signaling Pathways.

Applications

Unspecified application

Species

Unspecified reactive species

Wanting Ding,Yuan Sun,Wulipan Tuohudaali,Chenyang Li,Yuhan Yao,Jun Zhao

PloS one 20:e0325189 PubMed40478791

2025

Kaempferol inhibits oxidative stress and reduces macrophage pyroptosis by activating the NRF2 signaling pathway.

Applications

Unspecified application

Species

Unspecified reactive species

Yu Wang,Chaofan Chen,Yushan Li,Ran Li,Jinghan Wang,Chao Wu,Haonan Chen,Yingchao Shi,Shengfang Wang,Chuanyu Gao

Journal of neuroinflammation 22:125 PubMed40301912

2025

Repurposing of epalrestat for neuroprotection in parkinson's disease via activation of the KEAP1/Nrf2 pathway.

Applications

Unspecified application

Species

Unspecified reactive species

Huafang Jia,Mengru Liu,Hong Jiang,Zhen Qiao,Kaiyue Ren,Xixun Du,Xi Chen,Qian Jiao,Fengyuan Che

Open life sciences 20:20251093 PubMed40291780

2025

RTA-408 attenuates the hepatic ischemia reperfusion injury in mice possibly by activating the Nrf2/HO-1 signaling pathway.

Applications

Unspecified application

Species

Unspecified reactive species

Huilian Hua,Yao Quan,Zhiqin Li,Bo Pan,Fang Zhang,Jun Wang,Jindong Li,Su Jiang
View all publications

Product promise

We are committed to supporting your work with high-quality reagents, and we're here for you every step of the way. In the unlikely event that one of our products does not perform as expected, you're protected by our Product Promise.
For full details, please see our Terms & Conditions

Please note: All products are 'FOR RESEARCH USE ONLY. NOT FOR USE IN DIAGNOSTIC OR THERAPEUTIC PROCEDURES'.

For licensing inquiries, please contact partnerships@abcam.com