JavaScript is disabled in your browser. Please enable JavaScript to view this website.
AB219360

Anti-Heme Oxygenase 1 antibody [EP1391Y] - BSA and Azide free

  • BOND RX™ Validated
  • RabMAb
  • Recombinant
  • KO Validated
  • What is this?

Be the first to review this product! Submit a review

|

(9 Publications)

Rabbit Recombinant Monoclonal Heme Oxygenase 1 antibody. Carrier free. Suitable for IHC-P, IP, WB, Flow Cyt (Intra) and reacts with Mouse, Human samples. Cited in 9 publications.

View Alternative Names

HO, HO1, HMOX1, Heme oxygenase 1, HO-1

8 Images
Immunohistochemistry (Formalin/PFA-fixed paraffin-embedded sections) - Anti-Heme Oxygenase 1 antibody [EP1391Y] - BSA and Azide free (AB219360)
  • IHC-P

Lab

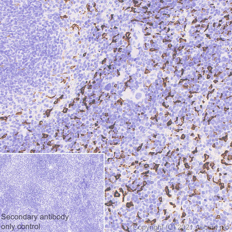
Immunohistochemistry (Formalin/PFA-fixed paraffin-embedded sections) - Anti-Heme Oxygenase 1 antibody [EP1391Y] - BSA and Azide free (AB219360)

This data was developed using ab52947, the same antibody clone in a different buffer formulation.

Immunohistochemical analysis of paraffin-embedded Human spleen tissue labeling Heme Oxygenase 1 with ab52947 at 1/2000 (0.246 ug/ml) followed by a LeicaDS9800 (Bond Polymer Refine Detection) was used at Ready to use dilution. Cytoplasmic staining on human spleen. The section was incubated with ab52947 for 30 mins at room temperature.The immunostaining was performed on a Leica Biosystems BOND RX instrument Counterstained with Hematoxylin.

Secondary antibody only control : Secondary antibody is LeicaDS9800 (Bond Polymer Refine Detection) was used at Ready to use dilution.

Heat mediated antigen retrieval with Tris-EDTA buffer (pH 9.0, epitope retrieval solution2) for 20 mins

Flow Cytometry (Intracellular) - Anti-Heme Oxygenase 1 antibody [EP1391Y] - BSA and Azide free (AB219360)
  • Flow Cyt (Intra)

Unknown

Flow Cytometry (Intracellular) - Anti-Heme Oxygenase 1 antibody [EP1391Y] - BSA and Azide free (AB219360)

Overlay histogram showing HEK293 cells stained with ab52947 (red line). The cells were fixed with 4% paraformaldehyde (10 min) and then permeabilized with 0.1% PBS-Tween for 20 min. The cells were then incubated in 1x PBS / 10% normal goat serum / 0.3M glycine to block non-specific protein-protein interactions followed by the antibody (ab52947, 1/1000 dilution) for 30 min at 22°C. The secondary antibody used was DyLight® 488 goat anti-rabbit IgG (H+L) (ab96899) at 1/500 dilution for 30 min at 22°C. Isotype control antibody (black line) was rabbit IgG (monoclonal) (0.1μg/1x106 cells) used under the same conditions. Unlabelled sample (blue line) was also used as a control. Acquisition of >5,000 events were collected using a 20mW Argon ion laser (488nm) and 525/30 bandpass filter. This antibody gave a positive signal in HEK293 cells fixed with 80% methanol (5 min)/permeabilized with 0.1% PBS-Tween for 20 min used under the same conditions. This data was developed using the same antibody clone in a different buffer formulation containing PBS, BSA, glycerol, and sodium azide (ab52947).

Immunohistochemistry (Formalin/PFA-fixed paraffin-embedded sections) - Anti-Heme Oxygenase 1 antibody [EP1391Y] - BSA and Azide free (AB219360)
  • IHC-P

Lab

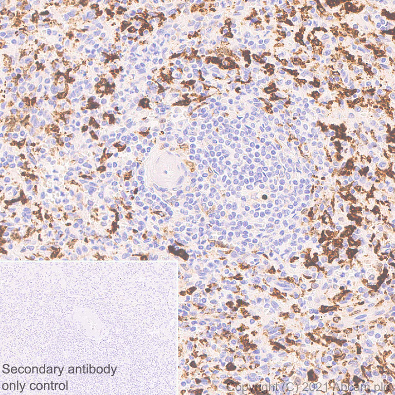
Immunohistochemistry (Formalin/PFA-fixed paraffin-embedded sections) - Anti-Heme Oxygenase 1 antibody [EP1391Y] - BSA and Azide free (AB219360)

This data was developed using ab52947, the same antibody clone in a different buffer formulation.

Immunohistochemical analysis of paraffin-embedded Human liver tissue labeling Heme Oxygenase 1 with ab52947 at 1/2000 (0.246 ug/ml) followed by a LeicaDS9800 (Bond Polymer Refine Detection) was used at Ready to use dilution. Cytoplasmic staining on Kupffer cells in human liver. The section was incubated with ab52947 for 30 mins at room temperature.The immunostaining was performed on a Leica Biosystems BOND RX instrument Counterstained with Hematoxylin.

Secondary antibody only control : Secondary antibody is LeicaDS9800 (Bond™ Polymer Refine Detection) was used at Ready to use dilution.

Heat mediated antigen retrieval with Tris-EDTA buffer (pH 9.0, epitope retrieval solution2) for 20 mins

Immunohistochemistry (Formalin/PFA-fixed paraffin-embedded sections) - Anti-Heme Oxygenase 1 antibody [EP1391Y] - BSA and Azide free (AB219360)
  • IHC-P

Unknown

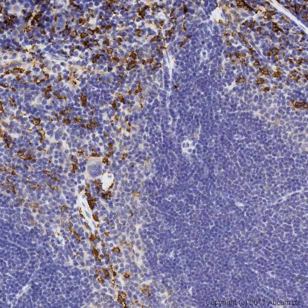
Immunohistochemistry (Formalin/PFA-fixed paraffin-embedded sections) - Anti-Heme Oxygenase 1 antibody [EP1391Y] - BSA and Azide free (AB219360)

IHC image of ab52947 staining in mouse spleen formalin fixed paraffin embedded tissue section, performed on a Leica Bond™ system using the standard protocol B. The section was pre-treated using heat mediated antigen retrieval with sodium citrate buffer (pH6, epitope retrieval solution 1) for 20 mins. The section was then incubated with ab52947, 5μg/ml, for 15 mins at room temperature. A goat anti-rabbit biotinylated secondary antibody was used to detect the primary, and visualized using an HRP conjugated ABC system. DAB was used as the chromogen. The section was then counterstained with haematoxylin and mounted with DPX.

This data was developed using the same antibody clone in a different buffer formulation containing PBS, BSA, glycerol, and sodium azide (ab52947).

Flow Cytometry (Intracellular) - Anti-Heme Oxygenase 1 antibody [EP1391Y] - BSA and Azide free (AB219360)
  • Flow Cyt (Intra)

Lab

Flow Cytometry (Intracellular) - Anti-Heme Oxygenase 1 antibody [EP1391Y] - BSA and Azide free (AB219360)

This data was developed using ab52947, the same antibody clone in a different buffer formulation.

Intracellular flow cytometric analysis of 4% paraformaldehyde fixed 90% methanol permeabilized NIH/3T3 (Mouse embryonic fibroblast) cells labelling Heme Oxygenase 1 with ab52947 at 1/50 dilution (1ug) (Red) compared with a Rabbit monoclonal IgG (ab172730) (Black) isotype control and an unlabelled control (cells without incubation with primary antibody and secondary antibody) (Blue). A Goat anti rabbit IgG (Alexa Fluor 488, ab150077) at 1/2000 dilution was used as the secondary antibody.

Immunohistochemistry (Formalin/PFA-fixed paraffin-embedded sections) - Anti-Heme Oxygenase 1 antibody [EP1391Y] - BSA and Azide free (AB219360)
  • IHC-P

Lab

Immunohistochemistry (Formalin/PFA-fixed paraffin-embedded sections) - Anti-Heme Oxygenase 1 antibody [EP1391Y] - BSA and Azide free (AB219360)

This data was developed using ab52947, the same antibody clone in a different buffer formulation.

Immunohistochemical analysis of paraffin-embedded Mouse spleen tissue labeling Heme Oxygenase 1 with ab52947 at 1/2000 (0.246 ug/ml) followed by a LeicaDS9800 (Bond Polymer Refine Detection) was used at Ready to use dilution. Cytoplasmic staining on mouse spleen. The section was incubated with ab52947 for 30 mins at room temperature.The immunostaining was performed on a Leica Biosystems BOND RX instrument Counterstained with Hematoxylin.

Secondary antibody only control : Secondary antibody is LeicaDS9800 (Bond™ Polymer Refine Detection) was used at Ready to use dilution.

Heat mediated antigen retrieval with Tris-EDTA buffer (pH 9.0, epitope retrieval solution2) for 20 mins

Immunoprecipitation - Anti-Heme Oxygenase 1 antibody [EP1391Y] - BSA and Azide free (AB219360)
  • IP

Lab

Immunoprecipitation - Anti-Heme Oxygenase 1 antibody [EP1391Y] - BSA and Azide free (AB219360)

Heme Oxygenase 1 was immunoprecipitated from 0.35mg mouse spleen lysate with ab52947 at 1/30 dilution (2μg in 0.35mg lysates). Western blot was performed on the immunoprecipitate using ab52947 at 1/1000 dilution (1 μg/mL). VeriBlot for IP Detection Reagent (HRP) (ab131366) was used as the secondary antibody at 1/1000 dilution.

Lane 1 : Mouse spleen tissue lysate 10 μg
Lane 2 : Mouse spleen tissue lysate
Lane 3 : Rabbit monoclonal IgG (ab172730) instead of ab52947 in mouse spleen lysate.

Blocking and dilution buffer and concentration : 5% NFDM/TBST.

This data was developed using the same antibody clone in a different buffer formulation containing PBS, BSA, glycerol, and sodium azide (ab52947).

All lanes:

Immunoprecipitation - Anti-Heme Oxygenase 1 antibody [EP1391Y] (<a href='/en-us/products/primary-antibodies/heme-oxygenase-1-antibody-ep1391y-ab52947'>ab52947</a>)

Predicted band size: 33 kDa

Observed band size: 33 kDa

false

Exposure time: 3s

Western blot - Anti-Heme Oxygenase 1 antibody [EP1391Y] - BSA and Azide free (AB219360)
  • WB

Lab

Western blot - Anti-Heme Oxygenase 1 antibody [EP1391Y] - BSA and Azide free (AB219360)

This data was developed using the same antibody clone in a different buffer formulation (ab52947).

Lanes 1 - 7 : Merged signal (red and green). Green - ab52947 observed at 33 kDa. Red - loading control ab7291 (Mouse anti-Alpha Tubulin [DM1A]) observed at 55 kDa.

ab52947 was shown to react with Heme Oxygenase 1 in wild-type A549 cells in Western blot with loss of signal observed in HMOX1 knockout cell line ab269503 (knockout cell lysate ab269665). Wild-type A549 and HMOX1 knockout cell lysates were subjected to SDS-PAGE. Membranes were blocked in fluorescent western blot (TBS-based) blocking solution before incubation with ab52947 and ab7291 (Mouse anti-Alpha Tubulin [DM1A]) overnight at 4 °C at a 1 in 2000 dilution and a 1 in 20000 dilution respectively. Blots were incubated with Goat anti-Rabbit IgG H&L (IRDye® 800CW) preabsorbed (ab216773) and Goat anti-Mouse IgG H&L (IRDye® 680RD) preabsorbed (ab216776) secondary antibodies at 1 in 20000 dilution for 1 h at room temperature before imaging.

All lanes:

Western blot - Anti-Heme Oxygenase 1 antibody [EP1391Y] (<a href='/en-us/products/primary-antibodies/heme-oxygenase-1-antibody-ep1391y-ab52947'>ab52947</a>) at 1/2000 dilution

Lane 1:

Wild-type A549 cell lysate at 20 µg

Lane 2:

HMOX1 knockout A549 cell lysate at 20 µg

Lane 2:

Western blot - Human HMOX1 (Heme Oxygenase 1) knockout A549 cell line (<a href='/en-us/products/cell-lines/human-hmox1-heme-oxygenase-1-knockout-a549-cell-line-ab269503'>ab269503</a>)

Lane 3:

Human Spleen tissue lysate at 20 µg

Lane 4:

HL-60 cell lysate at 20 µg

Lane 5:

MCF7 cell lysate at 20 µg

Lane 6:

HeLa cell lysate at 20 µg

Lane 7:

A549 cell lysate at 20 µg

Predicted band size: 33 kDa

Observed band size: 33 kDa

false

Key facts

Host species

Rabbit

Clonality

Monoclonal

Clone number

EP1391Y

Isotype

IgG

Carrier free

Yes

Reacts with

Mouse, Human

Applications

IHC-P, IP, WB, Flow Cyt (Intra)

applications

Immunogen

The exact immunogen used to generate this antibody is proprietary information.

Reactivity data

{ "title": "Reactivity Data", "filters": { "stats": ["", "Species", "Dilution Info", "Notes"], "tabs": { "all-applications": {"fullname" : "All Applications", "shortname": "All Applications"}, "IHCP" : {"fullname" : "Immunohistochemistry (Formalin/PFA-fixed paraffin-embedded sections)", "shortname":"IHC-P"}, "IP" : {"fullname" : "Immunoprecipitation", "shortname":"IP"}, "WB" : {"fullname" : "Western blot", "shortname":"WB"}, "FlowCytIntra" : {"fullname" : "Flow Cytometry (Intracellular)", "shortname":"Flow Cyt (Intra)"} }, "product-promise": { "all": "all", "testedAndGuaranteed": "tested", "guaranteed": "expected", "predicted": "predicted", "notRecommended": "not-recommended" } }, "values": { "Human": { "IHCP-species-checked": "testedAndGuaranteed", "IHCP-species-dilution-info": "", "IHCP-species-notes": "<p></p>", "IP-species-checked": "guaranteed", "IP-species-dilution-info": "", "IP-species-notes": "", "WB-species-checked": "testedAndGuaranteed", "WB-species-dilution-info": "", "WB-species-notes": "<p></p>", "FlowCytIntra-species-checked": "testedAndGuaranteed", "FlowCytIntra-species-dilution-info": "", "FlowCytIntra-species-notes": "<p><a href='/en-us/products/primary-antibodies/rabbit-igg-monoclonal-epr25a-isotype-control-low-endotoxin-azide-free-ab199376'>ab199376</a> - Rabbit monoclonal IgG, is suitable for use as an isotype control with this antibody.</p>" }, "Mouse": { "IHCP-species-checked": "testedAndGuaranteed", "IHCP-species-dilution-info": "", "IHCP-species-notes": "<p></p>", "IP-species-checked": "testedAndGuaranteed", "IP-species-dilution-info": "", "IP-species-notes": "<p></p>", "WB-species-checked": "testedAndGuaranteed", "WB-species-dilution-info": "", "WB-species-notes": "<p></p>", "FlowCytIntra-species-checked": "testedAndGuaranteed", "FlowCytIntra-species-dilution-info": "", "FlowCytIntra-species-notes": "<p><a href='/en-us/products/primary-antibodies/rabbit-igg-monoclonal-epr25a-isotype-control-low-endotoxin-azide-free-ab199376'>ab199376</a> - Rabbit monoclonal IgG, is suitable for use as an isotype control with this antibody.</p>" }, "Guinea pig": { "IHCP-species-checked": "predicted", "IHCP-species-dilution-info": "", "IHCP-species-notes": "", "IP-species-checked": "predicted", "IP-species-dilution-info": "", "IP-species-notes": "", "WB-species-checked": "predicted", "WB-species-dilution-info": "", "WB-species-notes": "", "FlowCytIntra-species-checked": "predicted", "FlowCytIntra-species-dilution-info": "", "FlowCytIntra-species-notes": "" } } }

Product details

ab219360 is the carrier-free version of ab52947.

Patented technology
Our RabMAb® technology is a patented hybridoma-based technology for making rabbit monoclonal antibodies. For details on our patents, please refer to RabMAb® patents.

What are the advantages of a recombinant monoclonal antibody?
This product is a recombinant monoclonal antibody, which offers several advantages including:

  • - High batch-to-batch consistency and reproducibility
  • - Improved sensitivity and specificity
  • - Long-term security of supply
  • - Animal-free batch production

For more information, read more on recombinant antibodies.

Species reactivity
Rat: We have preliminary internal testing data to indicate this antibody may not react with this species.
Please contact us for more information.

Conjugation ready
Our carrier-free antibodies are typically supplied in a PBS-only formulation, purified and free of BSA, sodium azide and glycerol. This conjugation-ready format is designed for use with fluorochromes, metal isotopes, oligonucleotides, and enzymes, which makes them ideal for antibody labelling, functional and cell-based assays, flow-based assays (e.g. mass cytometry) and Multiplex Imaging applications.

Use our conjugation kits for antibody conjugates that are ready-to-use in as little as 20 minutes with 1 minute hands-on-time and 100% antibody recovery: available for fluorescent dyes, HRP, biotin and gold.

Compatibility
This product is compatible with the Maxpar® Antibody Labeling Kit from Fluidigm, without the need for antibody preparation. Maxpar® is a trademark of Fluidigm Canada Inc.

Properties and storage information

Form
Liquid
Purification technique
Affinity purification Protein A
Storage buffer
pH: 7.2 - 7.4 Constituents: PBS
Shipped at conditions
Blue Ice
Appropriate short-term storage conditions
+4°C
Appropriate long-term storage conditions
+4°C
Storage information
Do Not Freeze

Supplementary information

This supplementary information is collated from multiple sources and compiled automatically.

Heme Oxygenase 1 also known as HO-1 or HMOX1 is an enzyme that plays an important mechanistic role in heme catabolism. It catalyzes the degradation of heme into biliverdin carbon monoxide and free iron. This process involves the cleavage of the heme ring. HO-1 has a molecular weight of approximately 32 kDa. It is widely expressed in numerous tissues but is especially abundant in the liver and spleen. Its expression is induced by heme and other stress stimuli such as heavy metals cytokines and reactive oxygen species.
Biological function summary

Heme Oxygenase 1 serves important protective functions in the body. It is not part of a larger complex but its products such as carbon monoxide and biliverdin have their own biological activities. Carbon monoxide produced by HO-1 has antiflammatory properties and can modulate apoptotic pathways. Biliverdin is reduced to bilirubin which acts as an antioxidant. The enzyme therefore directly influences cellular stress responses and maintains cellular homeostasis through these processes.

Pathways

Heme Oxygenase 1 is integrally involved in oxidative stress response and heme metabolism. It participates in the cellular response to oxidative damage by reducing oxidative stress and promoting cytoprotection. Through its heme degradation activity it is connected with the synthesis of biologically active molecules like bilirubin and carbon monoxide. Heme Oxygenase 1 activity is related to other proteins in oxidative stress pathways such as Nuclear Factor Erythroid 2-Related Factor 2 (Nrf2) which regulates its expression and globins which are sources of heme for HO-1 activity.

Heme Oxygenase 1 has been linked to conditions like cardiovascular diseases and neurodegenerative disorders. Its expression can attenuate the severity of atherosclerosis where oxidative stress is an important factor. In neurodegenerative diseases HO-1’s antioxidant properties may provide neuroprotection by mitigating oxidative damage. The protein's interactions with inflammatory cytokines such as Interleukin-6 and tumor necrosis factor-alpha influence its activity in these disease contexts.

Product protocols

For this product, it's our understanding that no specific protocols are required. You can visit:

Target data

Heme oxygenase 1. Catalyzes the oxidative cleavage of heme at the alpha-methene bridge carbon, released as carbon monoxide (CO), to generate biliverdin IXalpha, while releasing the central heme iron chelate as ferrous iron (PubMed : 11121422, PubMed : 19556236, PubMed : 7703255). Affords protection against programmed cell death and this cytoprotective effect relies on its ability to catabolize free heme and prevent it from sensitizing cells to undergo apoptosis (PubMed : 20055707).. Heme oxygenase 1. (Microbial infection) During SARS-COV-2 infection, promotes SARS-CoV-2 ORF3A-mediated autophagy but is unlikely to be required for ORF3A-mediated induction of reticulophagy.. Heme oxygenase 1 soluble form. Catalyzes the oxidative cleavage of heme at the alpha-methene bridge carbon, released as carbon monoxide (CO), to generate biliverdin IXalpha, while releasing the central heme iron chelate as ferrous iron.
See full target information HMOX1

Publications (9)

Recent publications for all applications. Explore the full list and refine your search

PloS one 10:e0141933 PubMed26513260

2015

Simultaneous Overexpression of Functional Human HO-1, E5NT and ENTPD1 Protects Murine Fibroblasts against TNF-α-Induced Injury In Vitro.

Applications

WB, ICC/IF

Species

Mouse, Mouse

Alessandro Cinti,Marco De Giorgi,Elisa Chisci,Claudia Arena,Gloria Galimberti,Laura Farina,Cristina Bugarin,Ilaria Rivolta,Giuseppe Gaipa,Ryszard Tom Smolenski,Maria Grazia Cerrito,Marialuisa Lavitrano,Roberto Giovannoni

Evidence-based complementary and alternative medic 2015:307594 PubMed25802536

2015

Comparisons of ethanol extracts of chinese propolis (poplar type) and poplar gums based on the antioxidant activities and molecular mechanism.

Applications

Unspecified application

Species

Mouse

Jianglin Zhang,Xueping Cao,Shun Ping,Kai Wang,Jinhu Shi,Cuiping Zhang,Huoqing Zheng,Fuliang Hu

Journal of endocrinological investigation 38:471-9 PubMed25432329

2014

The effect of 17β-estradiol on the expression of dipeptidyl peptidase III and heme oxygenase 1 in liver of CBA/H mice.

Applications

IHC-P

Species

Mouse

Ž Mačak Šafranko,S Sobočanec,A Šarić,N Jajčanin-Jozić,Ž Krsnik,G Aralica,T Balog,M Abramić

Gut 63:711-9 PubMed23676441

2013

Nrf2 deficiency impairs the barrier function of mouse oesophageal epithelium.

Applications

Unspecified application, Unspecified application

Species

Mouse, Human

Hao Chen,Yuhui Hu,Yu Fang,Zorka Djukic,Masayuki Yamamoto,Nicholas J Shaheen,Roy C Orlando,Xiaoxin Chen

Chemical research in toxicology 25:1692-8 PubMed22799612

2012

UVA photoprotective properties of an artificial carotenylflavonoid hybrid molecule.

Applications

WB

Species

Unspecified reactive species

Claas Hundsdörfer,Wilhelm Stahl,Thomas J J Müller,Silke De Spirt

European heart journal 33:1150-8 PubMed21411816

2011

Loss of Akt activity increases circulating soluble endoglin release in preeclampsia: identification of inter-dependency between Akt-1 and heme oxygenase-1.

Applications

Unspecified application

Species

Unspecified reactive species

Melissa J Cudmore,Shakil Ahmad,Samir Sissaoui,Wenda Ramma,Bin Ma,Takeshi Fujisawa,Bahjat Al-Ani,Keqing Wang,Meng Cai,Fatima Crispi,Peter W Hewett,Eduard Gratacós,Stuart Egginton,Asif Ahmed

Journal of applied physiology (Bethesda, Md. : 198 109:1416-23 PubMed20798273

2010

P2X2/3 and P2X3 receptors contribute to the metaboreceptor component of the exercise pressor reflex.

Applications

Unspecified application

Species

Unspecified reactive species

Jennifer L McCord,Hirotsugu Tsuchimochi,Marc P Kaufman

Arteriosclerosis, thrombosis, and vascular biology 30:1733-40 PubMed20595649

2010

Lead contributes to arterial intimal hyperplasia through nuclear factor erythroid 2-related factor-mediated endothelial interleukin 8 synthesis and subsequent invasion of smooth muscle cells.

Applications

WB

Species

Human

Iris Zeller,Michael Knoflach,Andreas Seubert,Simone B Kreutmayer,Marlies E Stelzmüller,Evelyn Wallnoefer,Stefan Blunder,Sandra Frotschnig,Barbara Messner,Johann Willeit,Paul Debbage,Georg Wick,Stefan Kiechl,Günther Laufer,David Bernhard

The Journal of surgical research 164:e99-105 PubMed20828733

2010

Correlation of Nrf2, HO-1, and MRP3 in gallbladder cancer and their relationships to clinicopathologic features and survival.

Applications

Unspecified application

Species

Unspecified reactive species

Jiansheng Wang,Mingxin Zhang,Lingmin Zhang,Hui Cai,Suna Zhou,Jia Zhang,Yang Wang
View all publications

Product promise

We are committed to supporting your work with high-quality reagents, and we're here for you every step of the way. In the unlikely event that one of our products does not perform as expected, you're protected by our Product Promise.
For full details, please see our Terms & Conditions

Please note: All products are 'FOR RESEARCH USE ONLY. NOT FOR USE IN DIAGNOSTIC OR THERAPEUTIC PROCEDURES'.

For licensing inquiries, please contact partnerships@abcam.com