JavaScript is disabled in your browser. Please enable JavaScript to view this website.
AB189491

Anti-Heme Oxygenase 1 antibody [EPR18161-128]

5

(2 Reviews)

|

(53 Publications)

Anti-Heme Oxygenase 1 antibody [EPR18161-128] (ab189491) is a rabbit monoclonal antibody detecting Heme Oxygenase 1 in Western Blot, Flow Cytometry (Intra), Flow Cytometry, IP, IHC-P, ICC/IF. Suitable for Human, Mouse, Rat.

- KO validated for confirmed specificity
- Biophysical QC for unrivalled batch-batch consistency
- Over 50 publications

View Alternative Names

HO, HO1, HMOX1, Heme oxygenase 1, HO-1

11 Images
Western blot - Anti-Heme Oxygenase 1 antibody [EPR18161-128] (AB189491)
  • WB

Lab

Western blot - Anti-Heme Oxygenase 1 antibody [EPR18161-128] (AB189491)

False colour image of Western blot : Anti-Heme Oxygenase 1 antibody [EPR18161-128] staining at 1/2000 dilution, shown in green; Mouse anti-Alpha Tubulin [DM1A] (ab7291) loading control staining at 1/20000 dilution, shown in red. In Western blot, ab189491 was shown to bind specifically to Heme Oxygenase 1. A band was observed at 32 kDa in wild-type A549 cell lysates with no signal observed at this size in HMOX1 knockout cell line ab269503 (HMOX knockout A549 lysate ab259782). To generate this image, wild-type and HMOX1 knockout A549 cell lysates were analysed. First, samples were run on an SDS-PAGE gel then transferred onto a nitrocellulose membrane. Membranes were blocked in 5 % milk in TBS-0.1 % Tween®20 (TBS-T) before incubation with primary antibodies overnight at 4 °C. Blots were washed four times in TBS-T, incubated with secondary antibodies for 1 h at room temperature, washed again four times then imaged. Secondary antibodies used were Goat anti-Rabbit IgG H&L 800CW and Goat anti-Mouse IgG H&L 680RD at 1/20000 dilution.

Lanes 1 - 4:

Western blot - Anti-Heme Oxygenase 1 antibody [EPR18161-128] - BSA and Azide free (<a href='/en-us/products/primary-antibodies/heme-oxygenase-1-antibody-epr18161-128-bsa-and-azide-free-ab224677'>ab224677</a>) at 1/2000 dilution

Lanes 1 - 5:

Western blot - Anti-Heme Oxygenase 1 antibody [EPR18161-128] (ab189491) at 1/2000 dilution

Lane 1:

Wild-type A549 cell lysate at 20 µg

Lane 2:

HMOX1 knockout A549 cell lysate at 20 µg

Lane 3:

Mouse Spleen cell lysate at 20 µg

Lane 4:

HeLa cell lysate at 20 µg

Lane 5:

HEK-293 cell lysate at 20 µg

Secondary

All lanes:

Goat anti-Rabbit IgG H&L 800CW and Goat anti-Mouse IgG H&L 680RD at 1/20000 dilution

Observed band size: 32 kDa

false

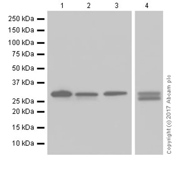
Western blot - Anti-Heme Oxygenase 1 antibody [EPR18161-128] (AB189491)
  • WB

Lab

Western blot - Anti-Heme Oxygenase 1 antibody [EPR18161-128] (AB189491)

Blocking : 5% NFDM/TBST.

Exposure time :

Lanes 1,2 and 3 : 2 seconds;

Lane 4 : 1 second

The molecular weight observed is consistent with what has been described in the literature (PMID : 18400743).

The lower band observed is a truncated form of Heme Oxygenase 1 (PMID : 17430897).

All lanes:

Western blot - Anti-Heme Oxygenase 1 antibody [EPR18161-128] (ab189491) at 1/5000 dilution

Lane 1:

NIH/3T3 (mouse embryonic fibroblast) lysate at 20 µg

Lane 2:

Rat spleen lysate at 20 µg

Lane 3:

HeLa (human cervix adenocarcinoma epithelial cell) lysate at 20 µg

Lane 4:

Mouse spleen lysate at 20 µg

Secondary

All lanes:

Western blot - Goat Anti-Rabbit IgG H&L (HRP) (<a href='/en-us/products/secondary-antibodies/goat-rabbit-igg-h-l-hrp-ab97051'>ab97051</a>) at 1/100000 dilution

Predicted band size: 33 kDa

Observed band size: 28 kDa,32 kDa

false

Immunocytochemistry/ Immunofluorescence - Anti-Heme Oxygenase 1 antibody [EPR18161-128] (AB189491)
  • ICC/IF

Supplier Data

Immunocytochemistry/ Immunofluorescence - Anti-Heme Oxygenase 1 antibody [EPR18161-128] (AB189491)

Immunofluorescent analysis of 4% paraformaldehyde fixed, 0.1% Triton X-100 permeabilized NIH/3T3 (mouse embryonic fibroblast) cells labeling Heme Oxygenase 1 with ab189491 at 1/250 dilution, followed by ab150077 AlexaFluor®488 Goat anti-Rabbit secondary at 1/1000 dilution (green). Confocal image showing cytoplasmic staining on NIH/3T3 cells. Details of counterstains : ab195889 Anti-alpha Tubulin antibody [DM1A] - Microtubule Marker (Alexa Fluor® 594) at a 1/200 dilution; DAPI for nuclei.
The negative controls are as follows : Secondary antibody only for control.

Flow Cytometry (Intracellular) - Anti-Heme Oxygenase 1 antibody [EPR18161-128] (AB189491)
  • Flow Cyt (Intra)

Lab

Flow Cytometry (Intracellular) - Anti-Heme Oxygenase 1 antibody [EPR18161-128] (AB189491)

Intracellular flow cytometric analysis of 90% methanol/ 4% paraformaldehyde fixed NIH/3T3 (mouse embryonic fibroblast) cell line labeling Heme Oxygenase1 with ab189491 at 1/50 (Red) compared with a Rabbit monoclonal IgG (ab172730) (Black) and an unlabelled control (cells without incubation with primary antibody and secondary antibody) (Blue). Goat anti rabbit IgG (Alexa Fluorr® 488, ab150077), at 1/2000 dilution was used as the secondary antibody.

Flow Cytometry (Intracellular) - Anti-Heme Oxygenase 1 antibody [EPR18161-128] (AB189491)
  • Flow Cyt (Intra)

Supplier Data

Flow Cytometry (Intracellular) - Anti-Heme Oxygenase 1 antibody [EPR18161-128] (AB189491)

Intracellular flow cytometric analysis of 90% methanol/4% paraformaldehyde fixed HeLa (human cervix adenocarcinoma epithelial cell) cell line labeling Heme Oxygenase1 with ab189491 at 1/50 (Red) compared with a Rabbit monoclonal IgG (ab172730) (Black) and an unlabelled control (cells without incubation with primary antibody and secondary antibody) (Blue). Goat anti rabbit IgG (Alexa Fluorr® 488, ab150077), at 1/2000 dilution was used as the secondary antibody.

Immunohistochemistry (Formalin/PFA-fixed paraffin-embedded sections) - Anti-Heme Oxygenase 1 antibody [EPR18161-128] (AB189491)
  • IHC-P

Lab

Immunohistochemistry (Formalin/PFA-fixed paraffin-embedded sections) - Anti-Heme Oxygenase 1 antibody [EPR18161-128] (AB189491)

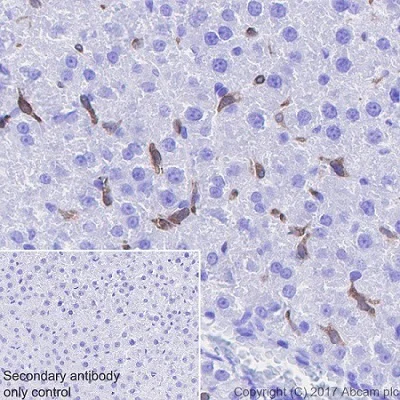
Immunohistochemical analysis of paraffin embedded rat liver tissue labeling Heme Oxygenase 1 with ab189491 at 1/20,000 dilution, followed by a ready to use Goat Anti-Rabbit IgG H&L (HRP). Positive staining on Kupffer cells of rat liver (PMID : 9449694) is observed. Counter stained with hematoxylin.
Secondary antibody only control : Used PBS instead of primary antibody, secondary antibody is a ready to use Goat Anti-Rabbit IgG H&L (HRP).

Perform heat mediated antigen retrieval using ab93684 (Tris/EDTA buffer, pH 9.0).

Immunohistochemistry (Formalin/PFA-fixed paraffin-embedded sections) - Anti-Heme Oxygenase 1 antibody [EPR18161-128] (AB189491)
  • IHC-P

Lab

Immunohistochemistry (Formalin/PFA-fixed paraffin-embedded sections) - Anti-Heme Oxygenase 1 antibody [EPR18161-128] (AB189491)

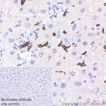
Immunohistochemical analysis of paraffin embedded human liver tissue labeling Heme Oxygenase 1 with ab189491 at 1/20,000 dilution, followed by a ready to use Goat Anti-Rabbit IgG H&L (HRP). Positive staining on Kupffer cells of human liver (PMID : 9449694) is observed. Counter stained with hematoxylin.
Secondary antibody only control : Used PBS instead of primary antibody, secondary antibody is a ready to use Goat Anti-Rabbit IgG H&L (HRP).

Perform heat mediated antigen retrieval using ab93684 (Tris/EDTA buffer, pH 9.0).

Immunocytochemistry/ Immunofluorescence - Anti-Heme Oxygenase 1 antibody [EPR18161-128] (AB189491)
  • ICC/IF

Lab

Immunocytochemistry/ Immunofluorescence - Anti-Heme Oxygenase 1 antibody [EPR18161-128] (AB189491)

Immunofluorescent analysis of 4% paraformaldehyde fixed, 0.1% Triton X-100 permeabilized HeLa (human cervix adenocarcinoma epithelial cell) cells labeling Heme Oxygenase 1 with ab189491 at 1/250 dilution, followed by ab150077 AlexaFluor®488 Goat anti-Rabbit secondary at 1/1000 dilution (green). Confocal image showing cytoplasmic staining on HeLa cells. Details of counterstains : ab195889 Anti-alpha Tubulin antibody [DM1A] - Microtubule Marker (Alexa Fluor® 594) at a 1/200 dilution; DAPI for nuclei.
The negative controls are as follows : Secondary antibody only for control.

Immunohistochemistry (Formalin/PFA-fixed paraffin-embedded sections) - Anti-Heme Oxygenase 1 antibody [EPR18161-128] (AB189491)
  • IHC-P

Lab

Immunohistochemistry (Formalin/PFA-fixed paraffin-embedded sections) - Anti-Heme Oxygenase 1 antibody [EPR18161-128] (AB189491)

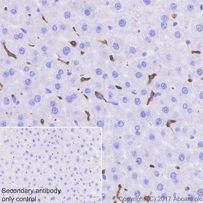
Immunohistochemical analysis of paraffin embedded mouse liver tissue labeling Heme Oxygenase 1 with ab189491 at 1/20000 dilution, followed by a ready to use Goat Anti-Rabbit IgG H&L (HRP). Positive staining on Kupffer cells of mouse liver (PMID : 9449694) is observed. Counter stained with hematoxylin.
Secondary antibody only control : Used PBS instead of primary antibody, secondary antibody is a ready to use Goat Anti-Rabbit IgG H&L (HRP).

Perform heat mediated antigen retrieval using ab93684 (Tris/EDTA buffer, pH 9.0).

Immunoprecipitation - Anti-Heme Oxygenase 1 antibody [EPR18161-128] (AB189491)
  • IP

Lab

Immunoprecipitation - Anti-Heme Oxygenase 1 antibody [EPR18161-128] (AB189491)

Heme Oxygenase 1 was immunoprecipitated from 0.35 mg of NIH/3T3 (mouse embryonic fibroblast) whole cell lysate with ab189491 at 1/30 dilution. Western blot was performed from the immunoprecipitate using ab189491 at 1/1000 dilution. VeriBlot for IP Detection Reagent (HRP) (ab131366), was used for detection at 1/10,000 dilution.
Lane 1 : NIH/3T3 (mouse embryonic fibroblast) whole cell lysate 10 μg (Input).
Lane 2 : NIH/3T3 whole cell lysate (+).
Lane 3 : Rabbit monoclonal IgG (ab172730) instead of ab189491 in NIH/3T3 whole cell lysate (-).
Blocking and dilution buffer and concentration : 5% NFDM/TBST.

The truncated form of Heme Oxygenase 1 is described in the literature (PMID : 17430897).

All lanes:

Immunoprecipitation - Anti-Heme Oxygenase 1 antibody [EPR18161-128] (ab189491)

Predicted band size: 33 kDa

Observed band size: 28 kDa,32 kDa

false

Exposure time: 1s

Western blot - Anti-Heme Oxygenase 1 antibody [EPR18161-128] (AB189491)
  • WB

Lab

Western blot - Anti-Heme Oxygenase 1 antibody [EPR18161-128] (AB189491)

Blocking : 5% NFDM/TBST.

The molecular weight observed is consistent with what has been described in the literature (PMID : 18400743).

The lower band observed is a truncated form of Heme Oxygenase 1 (PMID : 17430897).

All lanes:

Western blot - Anti-Heme Oxygenase 1 antibody [EPR18161-128] (ab189491) at 1/2000 dilution

All lanes:

Human spleen lysate at 10 µg

Secondary

All lanes:

Western blot - VeriBlot for IP Detection Reagent (HRP) (<a href='/en-us/products/reagents/veriblot-for-ip-detection-reagent-hrp-ab131366'>ab131366</a>) at 1/4000 dilution

Predicted band size: 33 kDa

Observed band size: 28 kDa,32 kDa

false

Exposure time: 3min

  • 578 PE

    PE Anti-Heme Oxygenase 1 antibody [EPR18161-128]

  • 665 Alexa Fluor® 647

    Alexa Fluor® 647 Anti-Heme Oxygenase 1 antibody [EPR18161-128]

  • 519 Alexa Fluor® 488

    Alexa Fluor® 488 Anti-Heme Oxygenase 1 antibody [EPR18161-128]

  • Carrier free

    Anti-Heme Oxygenase 1 antibody [EPR18161-128] - BSA and Azide free

Key facts

Host species

Rabbit

Clonality

Monoclonal

Clone number

EPR18161-128

Isotype

IgG

Carrier free

No

Reacts with

Mouse, Rat, Human

Applications

IP, ICC/IF, WB, Flow Cyt (Intra), IHC-P

applications

Immunogen

The exact immunogen used to generate this antibody is proprietary information.

Reactivity data

{ "title": "Reactivity Data", "filters": { "stats": ["", "Species", "Dilution Info", "Notes"], "tabs": { "all-applications": {"fullname" : "All Applications", "shortname": "All Applications"}, "IP" : {"fullname" : "Immunoprecipitation", "shortname":"IP"}, "WB" : {"fullname" : "Western blot", "shortname":"WB"}, "ICCIF" : {"fullname" : "Immunocytochemistry/ Immunofluorescence", "shortname":"ICC/IF"}, "FlowCytIntra" : {"fullname" : "Flow Cytometry (Intracellular)", "shortname":"Flow Cyt (Intra)"}, "IHCP" : {"fullname" : "Immunohistochemistry (Formalin/PFA-fixed paraffin-embedded sections)", "shortname":"IHC-P"} }, "product-promise": { "all": "all", "testedAndGuaranteed": "tested", "guaranteed": "expected", "predicted": "predicted", "notRecommended": "not-recommended" } }, "values": { "Human": { "IP-species-checked": "guaranteed", "IP-species-dilution-info": "", "IP-species-notes": "", "WB-species-checked": "testedAndGuaranteed", "WB-species-dilution-info": "1/2000", "WB-species-notes": "<p></p>", "ICCIF-species-checked": "testedAndGuaranteed", "ICCIF-species-dilution-info": "1/250", "ICCIF-species-notes": "<p></p>", "FlowCytIntra-species-checked": "testedAndGuaranteed", "FlowCytIntra-species-dilution-info": "1/50", "FlowCytIntra-species-notes": "<p></p>", "IHCP-species-checked": "testedAndGuaranteed", "IHCP-species-dilution-info": "1/20000", "IHCP-species-notes": "<p></p>" }, "Mouse": { "IP-species-checked": "testedAndGuaranteed", "IP-species-dilution-info": "1/30", "IP-species-notes": "<p></p>", "WB-species-checked": "testedAndGuaranteed", "WB-species-dilution-info": "1/2000", "WB-species-notes": "<p></p>", "ICCIF-species-checked": "testedAndGuaranteed", "ICCIF-species-dilution-info": "1/250", "ICCIF-species-notes": "<p></p>", "FlowCytIntra-species-checked": "testedAndGuaranteed", "FlowCytIntra-species-dilution-info": "1/50", "FlowCytIntra-species-notes": "<p></p>", "IHCP-species-checked": "testedAndGuaranteed", "IHCP-species-dilution-info": "1/20000", "IHCP-species-notes": "<p></p>" }, "Rat": { "IP-species-checked": "guaranteed", "IP-species-dilution-info": "", "IP-species-notes": "", "WB-species-checked": "testedAndGuaranteed", "WB-species-dilution-info": "1/2000", "WB-species-notes": "<p></p>", "ICCIF-species-checked": "guaranteed", "ICCIF-species-dilution-info": "", "ICCIF-species-notes": "", "FlowCytIntra-species-checked": "guaranteed", "FlowCytIntra-species-dilution-info": "", "FlowCytIntra-species-notes": "", "IHCP-species-checked": "testedAndGuaranteed", "IHCP-species-dilution-info": "1/20000", "IHCP-species-notes": "<p></p>" } } }

You may be interested in:

AB83366

Iron Assay Kit (Colorimetric)

4

3 Reviews

View product

We recommend this product because it’s often used in the same experiment or related research.

We advise that you always check the datasheet to ensure it fits your experiments, or contact ourtechnical teamfor help.

Product details

Properties and storage information

Form
Liquid
Purification technique
Affinity purification Protein A
Storage buffer
pH: 7.2 - 7.4 Preservative: 0.01% Sodium azide Constituents: PBS, 40% Glycerol (glycerin, glycerine), 0.05% BSA
Shipped at conditions
Blue Ice
Appropriate short-term storage duration
1-2 weeks
Appropriate short-term storage conditions
+4°C
Appropriate long-term storage conditions
-20°C
Aliquoting information
Upon delivery aliquot
Storage information
Avoid freeze / thaw cycle

Supplementary information

This supplementary information is collated from multiple sources and compiled automatically.

Heme Oxygenase 1 also known as HO-1 or HMOX1 is an enzyme that plays an important mechanistic role in heme catabolism. It catalyzes the degradation of heme into biliverdin carbon monoxide and free iron. This process involves the cleavage of the heme ring. HO-1 has a molecular weight of approximately 32 kDa. It is widely expressed in numerous tissues but is especially abundant in the liver and spleen. Its expression is induced by heme and other stress stimuli such as heavy metals cytokines and reactive oxygen species.
Biological function summary

Heme Oxygenase 1 serves important protective functions in the body. It is not part of a larger complex but its products such as carbon monoxide and biliverdin have their own biological activities. Carbon monoxide produced by HO-1 has antiflammatory properties and can modulate apoptotic pathways. Biliverdin is reduced to bilirubin which acts as an antioxidant. The enzyme therefore directly influences cellular stress responses and maintains cellular homeostasis through these processes.

Pathways

Heme Oxygenase 1 is integrally involved in oxidative stress response and heme metabolism. It participates in the cellular response to oxidative damage by reducing oxidative stress and promoting cytoprotection. Through its heme degradation activity it is connected with the synthesis of biologically active molecules like bilirubin and carbon monoxide. Heme Oxygenase 1 activity is related to other proteins in oxidative stress pathways such as Nuclear Factor Erythroid 2-Related Factor 2 (Nrf2) which regulates its expression and globins which are sources of heme for HO-1 activity.

Heme Oxygenase 1 has been linked to conditions like cardiovascular diseases and neurodegenerative disorders. Its expression can attenuate the severity of atherosclerosis where oxidative stress is an important factor. In neurodegenerative diseases HO-1's antioxidant properties may provide neuroprotection by mitigating oxidative damage. The protein's interactions with inflammatory cytokines such as Interleukin-6 and tumor necrosis factor-alpha influence its activity in these disease contexts.

Product protocols

For this product, it's our understanding that no specific protocols are required. You can visit:

Target data

Heme oxygenase 1. Catalyzes the oxidative cleavage of heme at the alpha-methene bridge carbon, released as carbon monoxide (CO), to generate biliverdin IXalpha, while releasing the central heme iron chelate as ferrous iron (PubMed : 11121422, PubMed : 19556236, PubMed : 7703255). Affords protection against programmed cell death and this cytoprotective effect relies on its ability to catabolize free heme and prevent it from sensitizing cells to undergo apoptosis (PubMed : 20055707).. Heme oxygenase 1. (Microbial infection) During SARS-COV-2 infection, promotes SARS-CoV-2 ORF3A-mediated autophagy but is unlikely to be required for ORF3A-mediated induction of reticulophagy.. Heme oxygenase 1 soluble form. Catalyzes the oxidative cleavage of heme at the alpha-methene bridge carbon, released as carbon monoxide (CO), to generate biliverdin IXalpha, while releasing the central heme iron chelate as ferrous iron.
See full target information HMOX1

Publications (53)

Recent publications for all applications. Explore the full list and refine your search

Investigative ophthalmology & visual science 64:6 PubMed38051262

2023

HO-1-Mediated Autophagic Restoration Protects Lens Epithelial Cells Against Oxidative Stress and Cellular Senescence.

Applications

Unspecified application

Species

Unspecified reactive species

Lijun Wang,Wei Lou,Yao Zhang,Ziang Chen,Yang Huang,Haiying Jin

Frontiers in neuroscience 17:1265134 PubMed38105928

2023

Anxiolytic and antidepressant like effects of Zamzam water in STZ-induced diabetic rats, targeting oxidative stress, neuroinflammation, BDNF/ERK/CREP pathway with modulation of hypothalamo-pituitary-adrenal axis.

Applications

Unspecified application

Species

Unspecified reactive species

Medhat Taha,Mohamed Ezzat Mahmoud,Abdullah G Al-Kushi,Anas Sarhan,Omer Abdelbagi,Tourki A S Baokbah,Omar Babateen,Ibrahim El-Shenbaby,Naeem F Qusty,Sara T Elazab

Cell death discovery 9:436 PubMed38040717

2023

Metallothionein 3 promotes osteoclast differentiation and survival by regulating the intracellular Zn concentration and NRF2 pathway.

Applications

Unspecified application

Species

Unspecified reactive species

Shinkichi Arisumi,Toshifumi Fujiwara,Keitaro Yasumoto,Tomoko Tsutsui,Hirokazu Saiwai,Kazu Kobayakawa,Seiji Okada,Haibo Zhao,Yasuharu Nakashima

Iranian journal of basic medical sciences 26:1423-1430 PubMed37970444

2023

Considering the protective effect of exendin-4 against oxidative stress in spiral ganglion neurons.

Applications

Unspecified application

Species

Unspecified reactive species

Hongxia Wu,Yangxi Ou,Siji Wang,Fenghui Yu,Xiaoxia Fan,Houyong Kang,Tao Chen

Antioxidants (Basel, Switzerland) 12: PubMed38001778

2023

Sirtuin1 Mediates the Protective Effects of Echinacoside against Sepsis-Induced Acute Lung Injury via Regulating the NOX4-Nrf2 Axis.

Applications

Unspecified application

Species

Unspecified reactive species

Weixi Xie,Lang Deng,Miao Lin,Xiaoting Huang,Rui Qian,Dayan Xiong,Wei Liu,Siyuan Tang

Nephrology (Carlton, Vic.) 29:5-17 PubMed37667547

2023

Protective effect of small extracellular vesicles (EVs) derived from ACE2-modified human umbilical cord mesenchymal stem cells against renal ischemia-reperfusion injury.

Applications

Unspecified application

Species

Unspecified reactive species

Jiaying Zhang,Rongyun Su,Yinghui Wang,Honggang Wang,Shan Li,Xue Yang,Gang Liu

Lipids in health and disease 22:99 PubMed37422643

2023

Heme oxygenase 1 alleviates nonalcoholic steatohepatitis by suppressing hepatic ferroptosis.

Applications

Unspecified application

Species

Unspecified reactive species

Xiwei Yuan,Lu Li,Ying Zhang,Rong Ai,Dongdong Li,Yao Dou,Mengmeng Hou,Dandan Zhao,Suxian Zhao,Yuemin Nan

Bioengineering & translational medicine 8:e10473 PubMed37206245

2023

Photobiomodulation augments the effects of mitochondrial transplantation in the treatment of spinal cord injury in rats by facilitating mitochondrial transfer to neurons via Connexin 36.

Applications

Unspecified application

Species

Unspecified reactive species

Zhijie Zhu,Xin Li,Xuankang Wang,Xiaoshuang Zuo,Yangguang Ma,Xue Gao,Zhuowen Liang,Zhihao Zhang,Zhiwen Song,Tan Ding,Cheng Ju,Penghui Li,Kun Li,Jiawei Zhang,Huilin Quan,Zhe Wang,Xueyu Hu

Antioxidants (Basel, Switzerland) 11: PubMed36552660

2022

Protective Effect of Polyphenols Purified from on Ethanol-Induced Gastric Mucosal Injury by Regulating Nrf2 and MAPKs Pathways.

Applications

Unspecified application

Species

Unspecified reactive species

Shasha Yu,Zhouwei Duan,Peng Li,Shiping Wang,Lijun Guo,Guanghua Xia,Hui Xie

International journal of molecular sciences 23: PubMed36232514

2022

Diphenyl Diselenide Alleviates Tert-Butyl Hydrogen Peroxide-Induced Oxidative Stress and Lipopolysaccharide-Induced Inflammation in Rat Glomerular Mesangial Cells.

Applications

Unspecified application

Species

Unspecified reactive species

Xing Wang,Yi Huan,Shuainan Liu,Caina Li,Hui Cao,Lei Lei,Quan Liu,Wenming Ji,Sujuan Sun,Kaixun Huang,Jun Zhou,Zhufang Shen
View all publications

Product promise

We are committed to supporting your work with high-quality reagents, and we're here for you every step of the way. In the unlikely event that one of our products does not perform as expected, you're protected by our Product Promise.
For full details, please see our Terms & Conditions

Associated Products

Select an associated product type
Alternative Product
Primary Antibodies

AB214643

Alexa Fluor® 488 Anti-Heme Oxygenase 1 antibody [EPR1390Y]

primary-antibodies

alexa-fluor-488-heme-oxygenase-1-antibody-epr1390y-ab214643

0

(0 reviews)

Alternative Product
Primary Antibodies

AB68477

Anti-Heme Oxygenase 1 antibody [EPR1390Y]

primary-antibodies

heme-oxygenase-1-antibody-epr1390y-ab68477

5

(5 reviews)

Alternative Product
Primary Antibodies

AB219360

Anti-Heme Oxygenase 1 antibody [EP1391Y] - BSA and Azide free

primary-antibodies

heme-oxygenase-1-antibody-ep1391y-bsa-and-azide-free-ab219360

0

(0 reviews)

Alternative Product
Primary Antibodies

AB221215

Anti-Heme Oxygenase 1 antibody [EPR1390Y] - BSA and Azide free

primary-antibodies

heme-oxygenase-1-antibody-epr1390y-bsa-and-azide-free-ab221215

0

(0 reviews)

Alternative Product
Primary Antibodies

AB52947

Anti-Heme Oxygenase 1 antibody [EP1391Y]

primary-antibodies

heme-oxygenase-1-antibody-ep1391y-ab52947

5

(5 reviews)

Please note: All products are 'FOR RESEARCH USE ONLY. NOT FOR USE IN DIAGNOSTIC OR THERAPEUTIC PROCEDURES'.

For licensing inquiries, please contact partnerships@abcam.com