JavaScript is disabled in your browser. Please enable JavaScript to view this website.
AB238897

Anti-HEMK2/N6AMT1 antibody

4

(1 Review)

|

(1 Publication)

Rabbit Polyclonal HEMK2/N6AMT1 antibody. Suitable for IHC-P and reacts with Human samples. Cited in 1 publication. Immunogen corresponding to Recombinant Fragment Protein within Human N6AMT1 aa 1-200.

View Alternative Names

C21orf127, HEMK2, KMT9, PRED28, N6AMT1, Methyltransferase N6AMT1, HemK methyltransferase family member 2, Lysine N-methyltransferase 9, Methylarsonite methyltransferase N6AMT1, Protein N(5)-glutamine methyltransferase, M.HsaHemK2P

1 Images
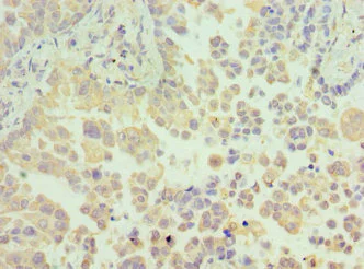
Immunohistochemistry (Formalin/PFA-fixed paraffin-embedded sections) - Anti-HEMK2/N6AMT1 antibody (AB238897)
  • IHC-P

Supplier Data

Immunohistochemistry (Formalin/PFA-fixed paraffin-embedded sections) - Anti-HEMK2/N6AMT1 antibody (AB238897)

Paraffin-embedded human lung cancer tissue stained for HEMK2/N6AMT1 using ab238897 at 1/100 dilution in immunohistochemical analysis.

Key facts

Host species

Rabbit

Clonality

Polyclonal

Isotype

IgG

Carrier free

No

Reacts with

Human

Applications

IHC-P

applications

Immunogen

Recombinant Fragment Protein within Human N6AMT1 aa 1-200. The exact immunogen used to generate this antibody is proprietary information.

Q9Y5N5

Reactivity data

{ "title": "Reactivity Data", "filters": { "stats": ["", "Species", "Dilution Info", "Notes"], "tabs": { "all-applications": {"fullname" : "All Applications", "shortname": "All Applications"}, "IHCP" : {"fullname" : "Immunohistochemistry (Formalin/PFA-fixed paraffin-embedded sections)", "shortname":"IHC-P"} }, "product-promise": { "all": "all", "testedAndGuaranteed": "tested", "guaranteed": "expected", "predicted": "predicted", "notRecommended": "not-recommended" } }, "values": { "Human": { "IHCP-species-checked": "testedAndGuaranteed", "IHCP-species-dilution-info": "1/20 - 1/200", "IHCP-species-notes": "<p></p>" } } }

Properties and storage information

Form
Liquid
Purification technique
Affinity purification Immunogen
Storage buffer
pH: 7.3 Preservative: 0.02% Sodium azide Constituents: PBS, 50% Glycerol (glycerin, glycerine)
Shipped at conditions
Blue Ice
Appropriate short-term storage duration
1-2 weeks
Appropriate short-term storage conditions
+4°C
Appropriate long-term storage conditions
-20°C
Aliquoting information
Upon delivery aliquot
Storage information
Avoid freeze / thaw cycle

Supplementary information

This supplementary information is collated from multiple sources and compiled automatically.

The protein HEMK2 also known as N6AMT1 is an important enzyme in methylation processes. It possesses a molecular mass of approximately 53 kDa. HEMK2/N6AMT1 functions as a methyltransferase catalyzing the addition of a methyl group to certain substrates. It prominently localizes in the cytoplasm and nucleus of human cells with varying expression across different tissues but generally found in higher levels in the testis and heart. Its role in methylation makes it essential for the regulation of protein synthesis and stability.
Biological function summary

HEMK2/N6AMT1 involves the methylation of specific proteins contributing to protein modifications and cell function regulation. This protein often forms part of a larger complex that facilitates its role in transferring methyl groups onto target proteins which in turn affects their function and interactions. HEMK2/N6AMT1's activity influences processes like translation fidelity by targeting elongation factors for methylation helping maintain cellular homeostasis.

Pathways

HEMK2/N6AMT1 plays a role in epigenetic regulation and protein modifications. It participates in the methylation pathway integrating with processes that impact gene expression and protein interactions. In these pathways HEMK2/N6AMT1 interacts with related proteins such as TRMT112 which acts as an activator and stabilizer. These pathways are important for the control of gene expression showcasing the broad influence HEMK2/N6AMT1 has on cellular functioning by regulating the methylation status of proteins.

The dysregulation of HEMK2/N6AMT1 associates with cancer and intellectual disabilities. Abnormal expression or malfunction can lead to improper gene silencing or activation contributing to oncogenesis or neurological impairments. The protein interacts with other proteins like METTL5 in these contexts highlighting its significance in maintaining methylation balances and cellular health. Understanding HEMK2/N6AMT1's connections within these diseases aids in developing targeted therapies and diagnostic approaches.

Product protocols

For this product, it's our understanding that no specific protocols are required. You can visit:

Target data

Methyltransferase that can methylate proteins and, to a lower extent, arsenic (PubMed : 18539146, PubMed : 21193388, PubMed : 30017583, PubMed : 31061526, PubMed : 31636962). Catalytic subunit of a heterodimer with TRMT112, which monomethylates 'Lys-12' of histone H4 (H4K12me1), a modification present at the promoters of numerous genes encoding cell cycle regulators (PubMed : 31061526). Catalytic subunit of a heterodimer with TRMT112, which catalyzes N5-methylation of Glu residue of proteins with a Gly-Gln-Xaa-Xaa-Xaa-Arg motif (PubMed : 18539146, PubMed : 31632689, PubMed : 31636962). Methylates ETF1 on 'Gln-185'; ETF1 needs to be complexed to ERF3 in its GTP-bound form to be efficiently methylated (PubMed : 18539146, PubMed : 20606008, PubMed : 31061526, PubMed : 31636962). May also play a role in the modulation of arsenic-induced toxicity by mediating the conversion of monomethylarsonous acid (3+) into the less toxic dimethylarsonic acid (PubMed : 21193388, PubMed : 25997655). It however only plays a limited role in arsenic metabolism compared with AS3MT (PubMed : 25997655).
See full target information N6AMT1

Publications (1)

Recent publications for all applications. Explore the full list and refine your search

International journal of biological sciences 20:1045-1063 PubMed38322121

2024

The homeoprotein HOXB2 limits triple-negative breast carcinogenesis via extracellular matrix remodeling.

Applications

Unspecified application

Species

Unspecified reactive species

Ji Hoon Oh,Clara Yuri Kim,Da Som Jeong,Yu Cheon Kim,Myoung Hee Kim,Je-Yoel Cho
View all publications

Product promise

We are committed to supporting your work with high-quality reagents, and we're here for you every step of the way. In the unlikely event that one of our products does not perform as expected, you're protected by our Product Promise.
For full details, please see our Terms & Conditions

Please note: All products are 'FOR RESEARCH USE ONLY. NOT FOR USE IN DIAGNOSTIC OR THERAPEUTIC PROCEDURES'.

For licensing inquiries, please contact partnerships@abcam.com