JavaScript is disabled in your browser. Please enable JavaScript to view this website.
AB317230

Anti-Hemoglobin epsilon antibody [HL2458]

Be the first to review this product! Submit a review

|

(0 Publication)

Rabbit Monoclonal HBE antibody. Suitable for IHC-P, WB and reacts with Mouse, Rat, Human samples. Immunogen corresponding to Synthetic Peptide within Human HBE1.

View Alternative Names

HBE, HBE1, Hemoglobin subunit epsilon, Epsilon-globin, Hemoglobin epsilon chain

4 Images
Immunohistochemistry (Formalin/PFA-fixed paraffin-embedded sections) - Anti-Hemoglobin epsilon antibody [HL2458] (AB317230)
  • IHC-P

Supplier Data

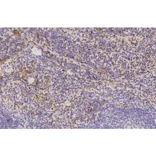
Immunohistochemistry (Formalin/PFA-fixed paraffin-embedded sections) - Anti-Hemoglobin epsilon antibody [HL2458] (AB317230)

ab317230 detects secreted Hemoglobin epsilon protein by immunohistochemical analysis. Sample : Paraffin-embedded rat spleen. Hemoglobin epsilon stained by ab317230 diluted at 1 : 100. Antigen Retrieval : Citrate buffer pH 6.0 15 min.

Immunohistochemistry (Formalin/PFA-fixed paraffin-embedded sections) - Anti-Hemoglobin epsilon antibody [HL2458] (AB317230)
  • IHC-P

Supplier Data

Immunohistochemistry (Formalin/PFA-fixed paraffin-embedded sections) - Anti-Hemoglobin epsilon antibody [HL2458] (AB317230)

ab317230 detects secreted Hemoglobin epsilon protein by immunohistochemical analysis. Sample : Paraffin-embedded mouse spleen. Hemoglobin epsilon stained by ab317230 diluted at 1 : 100. Antigen Retrieval : Citrate buffer pH 6.0 15 min.

Western blot - Anti-Hemoglobin epsilon antibody [HL2458] (AB317230)
  • WB

Supplier Data

Western blot - Anti-Hemoglobin epsilon antibody [HL2458] (AB317230)

Various whole cell extracts (30 ug) were separated by 15% SDS-PAGE and the membrane was blotted with ab317230 diluted at 1 : 1000. The HRP-conjugated anti-rabbit IgG antibody was used to detect the primary antibody. Corresponding RNA expression data for the same cell lines are based on Human Protein Atlas program.

All lanes:

Western blot - Anti-Hemoglobin epsilon antibody [HL2458] (ab317230) at 1/1000 dilution

Lane 1:

K562 whole cell extracts at 30 µg

Lane 2:

293T whole cell extracts at 30 µg

Secondary

All lanes:

HRP-conjugated anti-rabbit IgG antibody

false

Western blot - Anti-Hemoglobin epsilon antibody [HL2458] (AB317230)
  • WB

Supplier Data

Western blot - Anti-Hemoglobin epsilon antibody [HL2458] (AB317230)

Various tissue extracts (50 ug) were separated by 15% SDS-PAGE and the membrane was blotted with ab317230 diluted at 1 : 5000. The HRP-conjugated anti-rabbit IgG antibody was used to detect the primary antibody.

All lanes:

Western blot - Anti-Hemoglobin epsilon antibody [HL2458] (ab317230) at 1/5000 dilution

Lane 1:

Mouse spleen tissue extracts at 50 µg

Lane 2:

Rat spleen tissue extracts at 50 µg

Secondary

All lanes:

HRP-conjugated anti-rabbit IgG antibody

false

Key facts

Host species

Rabbit

Clonality

Monoclonal

Clone number

HL2458

Isotype

IgG

Carrier free

No

Reacts with

Human, Mouse, Rat

Applications

IHC-P, WB

applications

Immunogen

Synthetic Peptide within Human HBE1.

P02100

Reactivity data

{ "title": "Reactivity Data", "filters": { "stats": ["", "Species", "Dilution Info", "Notes"], "tabs": { "all-applications": {"fullname" : "All Applications", "shortname": "All Applications"}, "IHCP" : {"fullname" : "Immunohistochemistry (Formalin/PFA-fixed paraffin-embedded sections)", "shortname":"IHC-P"}, "WB" : {"fullname" : "Western blot", "shortname":"WB"} }, "product-promise": { "all": "all", "testedAndGuaranteed": "tested", "guaranteed": "expected", "predicted": "predicted", "notRecommended": "not-recommended" } }, "values": { "Human": { "IHCP-species-checked": "guaranteed", "IHCP-species-dilution-info": "", "IHCP-species-notes": "", "WB-species-checked": "testedAndGuaranteed", "WB-species-dilution-info": "1/500 - 1/3000", "WB-species-notes": "<p></p>" }, "Mouse": { "IHCP-species-checked": "testedAndGuaranteed", "IHCP-species-dilution-info": "1/100", "IHCP-species-notes": "<p></p> Perform heat-mediated antigen retrieval with citrate buffer pH 6 before commencing with IHC staining protocol.", "WB-species-checked": "testedAndGuaranteed", "WB-species-dilution-info": "1/500 - 1/3000", "WB-species-notes": "<p></p>" }, "Rat": { "IHCP-species-checked": "testedAndGuaranteed", "IHCP-species-dilution-info": "1/100", "IHCP-species-notes": "<p></p> Perform heat-mediated antigen retrieval with citrate buffer pH 6 before commencing with IHC staining protocol.", "WB-species-checked": "testedAndGuaranteed", "WB-species-dilution-info": "1/500 - 1/3000", "WB-species-notes": "<p></p>" } } }

Properties and storage information

Form
Liquid
Storage buffer
pH: 7.4 Constituents: PBS
Shipped at conditions
Blue Ice
Appropriate short-term storage duration
1-2 weeks
Appropriate short-term storage conditions
+4°C
Appropriate long-term storage conditions
-20°C
Aliquoting information
Upon delivery aliquot
Storage information
Avoid freeze / thaw cycle

Supplementary information

This supplementary information is collated from multiple sources and compiled automatically.

Hemoglobin also known as Hb or HBB is a protein found in red blood cells. It is a tetramer with a molecular mass of approximately 64.5 kDa composed of two alpha and two beta subunits. This protein is predominantly expressed in erythrocytes where it plays an important role in oxygen transport from the lungs to tissues and facilitates the return of carbon dioxide from tissues to the lungs for exhalation.
Biological function summary

Hemoglobin carries oxygen in blood and acts as a buffer in maintaining blood pH. Within the erythrocytes hemoglobin comprises one of the principal components of these cells each molecule binding up to four oxygen molecules. Hemoglobin exists as a complex with heme groups that directly interact with oxygen allowing hemoglobin to perform its respiratory function efficiently.

Pathways

Hemoglobin is important in the circulatory and respiratory pathways. It works in conjunction with proteins like myoglobin which assists with oxygen storage in muscles and cytochrome c which is important in the electron transport chain. Hemoglobin's function aligns with these pathways to maintain proper oxygen and energy levels throughout the body.

Hemoglobin abnormalities lead to conditions such as sickle cell anemia and thalassemia. Sickle cell anemia involves a mutation in the beta-globin gene resulting in deformed red blood cells that hinder oxygen delivery and cause pain due to blockages in blood vessels. Thalassemia results from reduced production of globin chains leading to anemia. These conditions involve aberrations in the hemoglobin or related proteins impacting overall health and requiring clinical management.

Product protocols

For this product, it's our understanding that no specific protocols are required. You can visit:

Target data

The epsilon chain is a beta-type chain of early mammalian embryonic hemoglobin.
See full target information HBE1

Product promise

We are committed to supporting your work with high-quality reagents, and we're here for you every step of the way. In the unlikely event that one of our products does not perform as expected, you're protected by our Product Promise.
For full details, please see our Terms & Conditions

Please note: All products are 'FOR RESEARCH USE ONLY. NOT FOR USE IN DIAGNOSTIC OR THERAPEUTIC PROCEDURES'.

For licensing inquiries, please contact partnerships@abcam.com