JavaScript is disabled in your browser. Please enable JavaScript to view this website.
AB92492

Anti-Hemoglobin subunit alpha antibody [EPR3608]

4

(2 Reviews)

|

(42 Publications)

Anti-Hemoglobin subunit alpha antibody [EPR3608] (ab92492) is a rabbit monoclonal antibody detecting Hemoglobin subunit alpha in Western Blot, IHC-P. Suitable for Human, Mouse, Rat.

- Biophysical QC for unrivalled batch-batch consistency
- Over 30 publications
- Trusted since 2010

View Alternative Names

HBA2, HBA1, Hemoglobin subunit alpha, Alpha-globin, Hemoglobin alpha chain

9 Images
Immunohistochemistry (Formalin/PFA-fixed paraffin-embedded sections) - Anti-Hemoglobin subunit alpha antibody [EPR3608] (AB92492)
  • IHC-P

Unknown

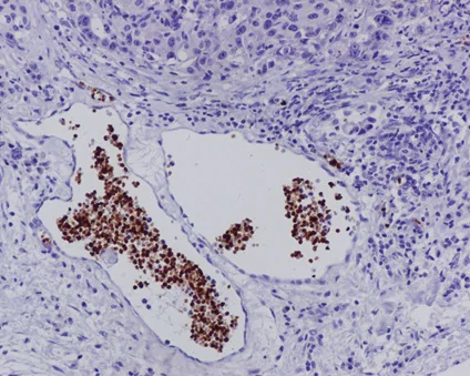
Immunohistochemistry (Formalin/PFA-fixed paraffin-embedded sections) - Anti-Hemoglobin subunit alpha antibody [EPR3608] (AB92492)

Immunohistochemical analysis of paraffin embedded human placenta tissue labeling hemoglobin subunit alpha with unpurified ab92492 at 0.051 μg/ml (1 : 40000 dilution).

Perform heat mediated antigen retrieval via the pressure cooker method before commencing with IHC staining protocol.

Immunohistochemistry (Formalin/PFA-fixed paraffin-embedded sections) - Anti-Hemoglobin subunit alpha antibody [EPR3608] (AB92492)
  • IHC-P

Unknown

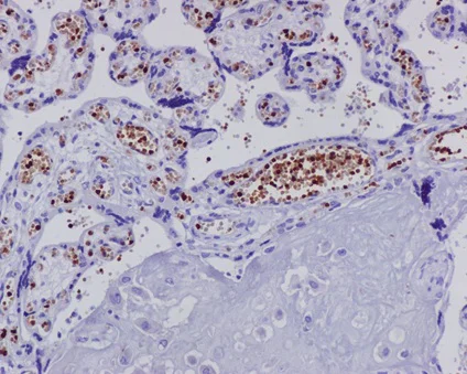
Immunohistochemistry (Formalin/PFA-fixed paraffin-embedded sections) - Anti-Hemoglobin subunit alpha antibody [EPR3608] (AB92492)

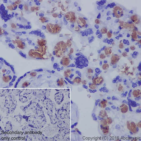
Immunohistochemistry (Formalin/PFA-fixed paraffin-embedded sections) analysis of human placenta tissue labeling Hemoglobin subunit alpha antibody with purified ab92492 at 1/500 dilution (1.4 μg/ml). Heat mediated antigen retrieval was performed using EDTA Buffer, PH9. ab97051, a HRP-conjugated goat anti-rabbit IgG H&L was used as the secondary antibody at 1/500 dilution. Negative control using PBS instead of primary antibody. Counterstained with hematoxylin.

Immunohistochemistry (Formalin/PFA-fixed paraffin-embedded sections) - Anti-Hemoglobin subunit alpha antibody [EPR3608] (AB92492)
  • IHC-P

Unknown

Immunohistochemistry (Formalin/PFA-fixed paraffin-embedded sections) - Anti-Hemoglobin subunit alpha antibody [EPR3608] (AB92492)

Immunohistochemical analysis of paraffin embedded human stomach cancer tissue labeling hemoglobin subunit alpha with unpurified ab92492 at 0.051 μg/ml (1 : 40000 dilution).

Perform heat mediated antigen retrieval via the pressure cooker method before commencing with IHC staining protocol.

Immunohistochemistry (Formalin/PFA-fixed paraffin-embedded sections) - Anti-Hemoglobin subunit alpha antibody [EPR3608] (AB92492)
  • IHC-P

Unknown

Immunohistochemistry (Formalin/PFA-fixed paraffin-embedded sections) - Anti-Hemoglobin subunit alpha antibody [EPR3608] (AB92492)

Immunohistochemical analysis of paraffin embedded human placenta tissue labeling hemoglobin subunit alpha with unpurified ab92492 at 0.051 μg/ml (1 : 40000 dilution).

Perform heat mediated antigen retrieval via the pressure cooker method before commencing with IHC staining protocol.

Immunohistochemistry (Formalin/PFA-fixed paraffin-embedded sections) - Anti-Hemoglobin subunit alpha antibody [EPR3608] (AB92492)
  • IHC-P

Unknown

Immunohistochemistry (Formalin/PFA-fixed paraffin-embedded sections) - Anti-Hemoglobin subunit alpha antibody [EPR3608] (AB92492)

Immunohistochemistry (Formalin/PFA-fixed paraffin-embedded sections) analysis of mouse cerebral cortex tissue labeling Hemoglobin subunit alpha antibody with purified ab92492 at 1/500 dilution (1.4 μg/ml). Heat mediated antigen retrieval was performed using EDTA Buffer, PH9. ab97051, a HRP-conjugated goat anti-rabbit IgG H&L was used as the secondary antibody at 1/500 dilution. Negative control using PBS instead of primary antibody. Counterstained with hematoxylin.

Immunohistochemistry (Formalin/PFA-fixed paraffin-embedded sections) - Anti-Hemoglobin subunit alpha antibody [EPR3608] (AB92492)
  • IHC-P

Unknown

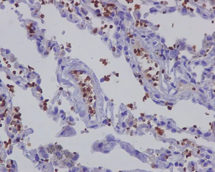
Immunohistochemistry (Formalin/PFA-fixed paraffin-embedded sections) - Anti-Hemoglobin subunit alpha antibody [EPR3608] (AB92492)

Immunohistochemistry (Formalin/PFA-fixed paraffin-embedded sections) analysis of rat kidney tissue labeling Hemoglobin subunit alpha antibody with purified ab92492 at 1/500 dilution (1.4 μg/ml). Heat mediated antigen retrieval was performed using EDTA Buffer, PH9. ab97051, a HRP-conjugated goat anti-rabbit IgG H&L was used as the secondary antibody at 1/500 dilution. Negative control using PBS instead of primary antibody. Counterstained with hematoxylin.

Western blot - Anti-Hemoglobin subunit alpha antibody [EPR3608] (AB92492)
  • WB

Lab

Western blot - Anti-Hemoglobin subunit alpha antibody [EPR3608] (AB92492)

Blocking and diluting buffer : 5% NFDM/TBST.

All lanes:

Western blot - Anti-Hemoglobin subunit alpha antibody [EPR3608] (ab92492) at 1/2000 dilution

Lane 1:

Human heart lysate at 15 µg

Lane 2:

Rat heart lysate at 15 µg

Secondary

All lanes:

Anti-Rabbit IgG (HRP), specific to the non-reduced form of IgG at 1/10000 dilution

Predicted band size: 15 kDa

Observed band size: 14 kDa

false

Western blot - Anti-Hemoglobin subunit alpha antibody [EPR3608] (AB92492)
  • WB

Lab

Western blot - Anti-Hemoglobin subunit alpha antibody [EPR3608] (AB92492)

Blocking and diluting buffer and concentration : 5% NFDM /TBST.

All lanes:

Western blot - Anti-Hemoglobin subunit alpha antibody [EPR3608] (ab92492) at 1/10000 dilution

All lanes:

Mouse spleen lysate at 15 µg

Secondary

All lanes:

Anti-Rabbit IgG (HRP), specific to the non-reduced form of IgG at 1/10000 dilution

Predicted band size: 15 kDa

Observed band size: 14 kDa

false

Western blot - Anti-Hemoglobin subunit alpha antibody [EPR3608] (AB92492)
  • WB

Unknown

Western blot - Anti-Hemoglobin subunit alpha antibody [EPR3608] (AB92492)

All lanes:

Western blot - Anti-Hemoglobin subunit alpha antibody [EPR3608] (ab92492) at 1/1000 dilution

Lane 1:

K562 cell lysate at 10 µg

Lane 2:

Human heart lysate at 10 µg

Secondary

All lanes:

HRP labelled goat anti-rabbit at 1/2000 dilution

Predicted band size: 15 kDa

Observed band size: 14 kDa

false

  • Carrier free

    Anti-Hemoglobin subunit alpha antibody [EPR3608] - BSA and Azide free

  • 665 Alexa Fluor® 647

    Alexa Fluor® 647 Anti-Hemoglobin subunit alpha antibody [EPR3608]

  • 603 Alexa Fluor® 568

    Alexa Fluor® 568 Anti-Hemoglobin subunit alpha antibody [EPR3608]

  • 565 Alexa Fluor® 555

    Alexa Fluor® 555 Anti-Hemoglobin subunit alpha antibody [EPR3608]

  • 617 Alexa Fluor® 594

    Alexa Fluor® 594 Anti-Hemoglobin subunit alpha antibody [EPR3608]

  • 519 Alexa Fluor® 488

    Alexa Fluor® 488 Anti-Hemoglobin subunit alpha antibody [EPR3608]

  • Biotin

    Biotin Anti-Hemoglobin subunit alpha antibody [EPR3608]

  • 775 Alexa Fluor® 750

    Alexa Fluor® 750 Anti-Hemoglobin subunit alpha antibody [EPR3608]

Key facts

Host species

Rabbit

Clonality

Monoclonal

Clone number

EPR3608

Isotype

IgG

Carrier free

No

Reacts with

Mouse, Rat, Human

Applications

WB, IHC-P

applications

Immunogen

The exact immunogen used to generate this antibody is proprietary information.

Specificity

This antibody gave a positive signal in Western blotting of rat brain, heart, kidney and spleen tissue. This antibody works in human, mouse and rat in IHC.

Reactivity data

{ "title": "Reactivity Data", "filters": { "stats": ["", "Species", "Dilution Info", "Notes"], "tabs": { "all-applications": {"fullname" : "All Applications", "shortname": "All Applications"}, "IHCP" : {"fullname" : "Immunohistochemistry (Formalin/PFA-fixed paraffin-embedded sections)", "shortname":"IHC-P"}, "IP" : {"fullname" : "Immunoprecipitation", "shortname":"IP"}, "FlowCyt" : {"fullname" : "Flow Cytometry", "shortname":"Flow Cyt"}, "WB" : {"fullname" : "Western blot", "shortname":"WB"} }, "product-promise": { "all": "all", "testedAndGuaranteed": "tested", "guaranteed": "expected", "predicted": "predicted", "notRecommended": "not-recommended" } }, "values": { "Human": { "IHCP-species-checked": "testedAndGuaranteed", "IHCP-species-dilution-info": "1/100 - 1/500", "IHCP-species-notes": "<p></p>", "IP-species-checked": "notRecommended", "IP-species-dilution-info": "1/50", "IP-species-notes": "<p></p>", "FlowCyt-species-checked": "notRecommended", "FlowCyt-species-dilution-info": "1/100", "FlowCyt-species-notes": "<p><a href='/en-us/products/primary-antibodies/rabbit-igg-monoclonal-epr25a-isotype-control-ab172730'>ab172730</a> - Rabbit monoclonal IgG, is suitable for use as an isotype control with this antibody.</p>", "WB-species-checked": "testedAndGuaranteed", "WB-species-dilution-info": "1/1000 - 1/2000", "WB-species-notes": "<p></p>" }, "Mouse": { "IHCP-species-checked": "testedAndGuaranteed", "IHCP-species-dilution-info": "1/100 - 1/500", "IHCP-species-notes": "<p></p>", "IP-species-checked": "notRecommended", "IP-species-dilution-info": "1/50", "IP-species-notes": "<p></p>", "FlowCyt-species-checked": "notRecommended", "FlowCyt-species-dilution-info": "1/100", "FlowCyt-species-notes": "<p><a href='/en-us/products/primary-antibodies/rabbit-igg-monoclonal-epr25a-isotype-control-ab172730'>ab172730</a> - Rabbit monoclonal IgG, is suitable for use as an isotype control with this antibody.</p>", "WB-species-checked": "testedAndGuaranteed", "WB-species-dilution-info": "1/1000 - 1/2000", "WB-species-notes": "<p></p>" }, "Rat": { "IHCP-species-checked": "testedAndGuaranteed", "IHCP-species-dilution-info": "1/100 - 1/500", "IHCP-species-notes": "<p></p>", "IP-species-checked": "notRecommended", "IP-species-dilution-info": "1/50", "IP-species-notes": "<p></p>", "FlowCyt-species-checked": "notRecommended", "FlowCyt-species-dilution-info": "1/100", "FlowCyt-species-notes": "<p><a href='/en-us/products/primary-antibodies/rabbit-igg-monoclonal-epr25a-isotype-control-ab172730'>ab172730</a> - Rabbit monoclonal IgG, is suitable for use as an isotype control with this antibody.</p>", "WB-species-checked": "testedAndGuaranteed", "WB-species-dilution-info": "1/1000 - 1/2000", "WB-species-notes": "<p></p>" } } }

Product details

What is this antibody validated in?
Anti-Hemoglobin subunit alpha antibody [EPR3608] (ab92492) is a rabbit recombinant monoclonal antibody and is validated for use in Western Blot (WB), Immunohistochemistry (IHC-P) in Human, Mouse, Rat samples.

What is the molecular weight of Hemoglobin subunit alpha?
Anti-Hemoglobin subunit alpha [EPR3608] (ab92492) specifically detects a band for Hemoglobin subunit alpha (UniProt: P69905) at a molecular weight of 15kDa.

Trusted by the scientific community
Anti-Hemoglobin subunit alpha [EPR3608] (ab92492) was first used in a scientific publication in 2010 and has been cited over 30 times in peer-reviewed journals.

Trial sizes available!
Test your antibody or perform pre-screening before committing to a larger quantity. Sold in 10µl. Discover our selection of trial-size antibodies.

Other related products
We have a range of other formats of antibody clone [EPR3608] also available for your convenience: ab92492, Carrier free - ab174536, Alexa Fluor® 647 - ab215919, Biotin - ab217074, Alexa Fluor® 488 - ab311058, Alexa Fluor® 594 - ab311839, Alexa Fluor® 568 - ab313122, Alexa Fluor® 555 - ab313315, Alexa Fluor® 750 - ab321759

Patented technology
Our RabMAb® technology is a patented hybridoma-based technology for making rabbit monoclonal antibodies. For details on our patents, please refer to RabMAb® patents.

What are the advantages of a recombinant monoclonal antibody?
This product is a recombinant monoclonal antibody, which offers several advantages including:

  • - High batch-to-batch consistency and reproducibility
  • - Improved sensitivity and specificity
  • - Long-term security of supply
  • - Animal-free batch production

For more information, read more on recombinant antibodies.

Properties and storage information

Form
Liquid
Purification technique
Affinity purification Protein A
Storage buffer
pH: 7.2 - 7.4 Preservative: 0.01% Sodium azide Constituents: PBS, 40% Glycerol (glycerin, glycerine), 0.05% BSA
Shipped at conditions
Blue Ice
Appropriate short-term storage duration
1-2 weeks
Appropriate short-term storage conditions
+4°C
Appropriate long-term storage conditions
-20°C
Aliquoting information
Upon delivery aliquot
Storage information
Avoid freeze / thaw cycle

Supplementary information

This supplementary information is collated from multiple sources and compiled automatically.

Hemoglobin subunit alpha also known as alpha-globin is a component of the hemoglobin protein complex which plays an important role in oxygen transport within the blood. Alpha-globin has an approximate molecular weight of 15.1 kDa and is expressed highly in the red blood cells. It is part of the hemoglobin tetramer along with two beta subunits each one containing an iron-bound heme group. Variants of the alpha chain can be studied using hemoglobin peptides or denatured hemoglobin samples. Researchers can further analyze the alpha hemoglobin using methods like SDS-PAGE or alpha ELISA assays.
Biological function summary

Hemoglobin subunit alpha forms an important part of the hemoglobin complex facilitating the binding and release of oxygen molecules as blood circulates in the body. Alpha hemoglobin ensures efficient loading of oxygen in the lungs and unloading in tissues maintaining cellular respiration. The subunit plays a structural role as well stabilizing the hemoglobin tetramer for optimal function. Its ability to carry oxygen depends on the cooperative interaction between its alpha and beta globin counterparts.

Pathways

Hemoglobin subunit alpha operates predominantly within the oxygen transport pathway which is essential to meet the metabolic demands of cells. It also links to pathways involving iron metabolism given its coordination with heme groups. Alpha hemoglobin interacts cooperatively with proteins such as beta-globin to ensure efficient oxygen delivery. This interplay is highlighted when examining hemoglobin biosynthesis and breakdown pathways.

Alpha-globin is linked to conditions like alpha-thalassemia and sickle cell disease. These disorders result from mutations in the hemoglobin alpha or beta subunits leading to imbalanced globin production or abnormal hemoglobin structures. Alpha thalassemia is connected with unequal production of globin chains affecting hemoglobin stability while beta-globin mutations lead to sickle cell disease with altered oxygen delivery. Anti-hemoglobin antibodies might help in researching these conditions allowing a better understanding of molecular changes and potential therapeutic targets.

Product protocols

For this product, it's our understanding that no specific protocols are required. You can visit:

Target data

Involved in oxygen transport from the lung to the various peripheral tissues.. Hemopressin. Hemopressin acts as an antagonist peptide of the cannabinoid receptor CNR1 (PubMed : 18077343). Hemopressin-binding efficiently blocks cannabinoid receptor CNR1 and subsequent signaling (PubMed : 18077343).
See full target information HBA1

Publications (42)

Recent publications for all applications. Explore the full list and refine your search

eLife 13: PubMed40548693

2025

Brain-derived exosomal hemoglobin transfer contributes to neuronal mitochondrial homeostasis under hypoxia.

Applications

Unspecified application

Species

Unspecified reactive species

Zhengming Tian,Yuning Li,Feiyang Jin,Zirui Xu,Yakun Gu,Mengyuan Guo,Qianqian Shao,Yingxia Liu,Hanjiang Luo,Yue Wang,Suyu Zhang,Chenlu Yang,Xin Liu,Xunming Ji,Jia Liu

International journal of legal medicine 139:1609-1621 PubMed40100351

2025

Bleeding pattern in the early phase after experimental rotational acceleration induced traumatic brain injury.

Applications

Unspecified application

Species

Unspecified reactive species

Daniel Andersson,Kanar Alkass,Julia Anna Mielcarz,Johan Davidsson,Henrik Druid

Advanced science (Weinheim, Baden-Wurttemberg, Germany) 12:e2500825 PubMed39965083

2025

Restoring Tumor Cell Immunogenicity Through Ion-Assisted p53 mRNA Domestication for Enhanced In Situ Cancer Vaccination Effect.

Applications

Unspecified application

Species

Unspecified reactive species

Yan Liang,Jingge Zhang,Jinjin Wang,Yuhe Yang,Xinyu Tan,Shuguang Li,Zhenzhen Guo,Zhenzhong Zhang,Junjie Liu,Jinjin Shi,Kaixiang Zhang

Circulation 151:8-30 PubMed39633569

2024

Sickle Trait and Alpha Thalassemia Increase NOS-Dependent Vasodilation of Human Arteries Through Disruption of Endothelial Hemoglobin-eNOS Interactions.

Applications

Unspecified application

Species

Unspecified reactive species

Steven D Brooks,A Parker Ruhl,Xianke Zeng,Phillip Cruz,Sergio A Hassan,Olena Kamenyeva,Md Abdul Hakim,Lauryn A Ridley,Bianca M Nagata,Juraj Kabat,Sundar Ganesan,Rachel L Smith,Mary Jackson,Jessica Nino de Rivera,Alison J McLure,Jarrett M Jackson,Robert O Emeh,Naomi Tesfuzigta,Kyeisha Laurence,Stacy Joyce,Christina Yek,Sophana Chea,Derron A Alves,Brant E Isakson,Jessica Manning,Jeremy L Davis,Hans C Ackerman

Neuroscience bulletin 40:1115-1126 PubMed38345691

2024

Aβ-Aggregation-Generated Blue Autofluorescence Illuminates Senile Plaques as well as Complex Blood and Vascular Pathologies in Alzheimer's Disease.

Applications

Unspecified application

Species

Unspecified reactive species

Hualin Fu,Jilong Li,Chunlei Zhang,Peng Du,Guo Gao,Qiqi Ge,Xinping Guan,Daxiang Cui

Science advances 10:eadj9479 PubMed38295180

2024

Folate depletion induces erythroid differentiation through perturbation of de novo purine synthesis.

Applications

Unspecified application

Species

Unspecified reactive species

Adam G Maynard,Nancy K Pohl,Annabel P Mueller,Boryana Petrova,Alan Y L Wong,Peng Wang,Andrew J Culhane,Jeannette R Brook,Leah M Hirsch,Ngoc Hoang,Orville Kirkland,Tatum Braun,Sarah Ducamp,Mark D Fleming,Hojun Li,Naama Kanarek

ASAIO journal (American Society for Artificial Internal Organs : 1992) 70:442-450 PubMed38266069

2024

Polymerized Human Hemoglobin-Based Oxygen Carrier Preserves Lung Allograft Function During Normothermic Ex Vivo Lung Perfusion.

Applications

Unspecified application

Species

Unspecified reactive species

Clayton Cuddington,Alisyn Greenfield,Yong Gyu Lee,Jung Lye Kim,Derek Lamb,Paul W Buehler,Sylvester M Black,Andre F Palmer,Bryan A Whitson

International journal of molecular sciences 24: PubMed37686361

2023

Changes in Hemoglobin Properties in Complex with Glutathione and after Glutathionylation.

Applications

Unspecified application

Species

Unspecified reactive species

Iuliia D Kuleshova,Pavel I Zaripov,Yuri M Poluektov,Anastasia A Anashkina,Dmitry N Kaluzhny,Evgeniia Yu Parshina,Georgy V Maksimov,Vladimir A Mitkevich,Alexander A Makarov,Irina Yu Petrushanko

Biomedicines 11: PubMed37760853

2023

Long-Term L-Glutamine Treatment Reduces Hemolysis without Ameliorating Hepatic Vaso-Occlusion and Liver Fibrosis in a Mouse Model of Sickle Cell Disease.

Applications

Unspecified application

Species

Unspecified reactive species

Omika Katoch,Ramakrishna Ungalara,Tomasz Kaminski,Ziming Li,Rikesh K Dubey,Isabella Burholt,Shweta Gudapati,Tirthadipa Pradhan-Sundd

International journal of molecular sciences 24: PubMed37629045

2023

Pharmacological Prevention of Ectopic Erythrophagocytosis by Cilostazol Mitigates Ferroptosis in NASH.

Applications

Unspecified application

Species

Unspecified reactive species

Joon Beom Park,Kangeun Ko,Yang Hyun Baek,Woo Young Kwon,Sunghwan Suh,Song-Hee Han,Yun Hak Kim,Hye Young Kim,Young Hyun Yoo
View all publications

Product promise

We are committed to supporting your work with high-quality reagents, and we're here for you every step of the way. In the unlikely event that one of our products does not perform as expected, you're protected by our Product Promise.
For full details, please see our Terms & Conditions

Please note: All products are 'FOR RESEARCH USE ONLY. NOT FOR USE IN DIAGNOSTIC OR THERAPEUTIC PROCEDURES'.

For licensing inquiries, please contact partnerships@abcam.com