JavaScript is disabled in your browser. Please enable JavaScript to view this website.
AB248384

Anti-Hemoglobin subunit beta + Hemoglobin subunit delta antibody [EPR8322(B)] - BSA and Azide free

Be the first to review this product! Submit a review

|

(1 Publication)

Rabbit Recombinant Monoclonal HBB antibody. Carrier free. Suitable for IHC-P, WB and reacts with Human samples. Cited in 1 publication.

View Alternative Names

Hemoglobin subunit beta, Beta-globin, Hemoglobin beta chain, HBB

4 Images
Immunohistochemistry (Formalin/PFA-fixed paraffin-embedded sections) - Anti-Hemoglobin subunit beta + Hemoglobin subunit delta antibody [EPR8322(B)] - BSA and Azide free (AB248384)
  • IHC-P

Unknown

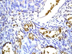
Immunohistochemistry (Formalin/PFA-fixed paraffin-embedded sections) - Anti-Hemoglobin subunit beta + Hemoglobin subunit delta antibody [EPR8322(B)] - BSA and Azide free (AB248384)

This data was developed using ab131225, the same antibody clone in a different buffer formulation.

Immunohistochemical analysis of paraffin embedded Human endometrium tissue labelling Hemoglobin subunit delta with ab131225 at 1/250 dilution.

Perform heat mediated antigen retrieval with citrate buffer pH 6 before commencing with IHC staining protocol.

Immunohistochemistry (Formalin/PFA-fixed paraffin-embedded sections) - Anti-Hemoglobin subunit beta + Hemoglobin subunit delta antibody [EPR8322(B)] - BSA and Azide free (AB248384)
  • IHC-P

Unknown

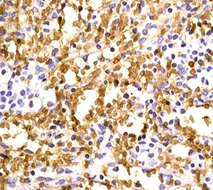
Immunohistochemistry (Formalin/PFA-fixed paraffin-embedded sections) - Anti-Hemoglobin subunit beta + Hemoglobin subunit delta antibody [EPR8322(B)] - BSA and Azide free (AB248384)

This data was developed using ab131225, the same antibody clone in a different buffer formulation.

Immunohistochemical analysis of paraffin embedded Human spleen tissue labelling Hemoglobin subunit delta with ab131225 at 1/250 dilution.

Perform heat mediated antigen retrieval with citrate buffer pH 6 before commencing with IHC staining protocol.

Western blot - Anti-Hemoglobin subunit beta + Hemoglobin subunit delta antibody [EPR8322(B)] - BSA and Azide free (AB248384)
  • WB

Unknown

Western blot - Anti-Hemoglobin subunit beta + Hemoglobin subunit delta antibody [EPR8322(B)] - BSA and Azide free (AB248384)

This data was developed using ab131225, the same antibody clone in a different buffer formulation.

All lanes:

Western blot - Anti-Hemoglobin subunit beta + Hemoglobin subunit delta antibody [EPR8322(B)] (<a href='/en-us/products/primary-antibodies/hemoglobin-subunit-beta-hemoglobin-subunit-delta-antibody-epr8322b-ab131225'>ab131225</a>) at 1/1000 dilution

Lane 1:

Human fetal heart tissue lysate at 10 µg

Lane 2:

Human fetal liver tissue lysate at 10 µg

Lane 3:

Human red blood cell (RBC) lysate at 10 µg

Secondary

All lanes:

Goat anti-Rabbit HRP at 1/2000 dilution

false

Western blot - Anti-Hemoglobin subunit beta + Hemoglobin subunit delta antibody [EPR8322(B)] - BSA and Azide free (AB248384)
  • WB

Supplier Data

Western blot - Anti-Hemoglobin subunit beta + Hemoglobin subunit delta antibody [EPR8322(B)] - BSA and Azide free (AB248384)

Blocking/Dilutiing buffer and concentration : 5% NFDM/TBST

Exposure time : 100 seconds

All lanes:

Western blot - Anti-Hemoglobin subunit beta + Hemoglobin subunit delta antibody [EPR8322(B)] (<a href='/en-us/products/primary-antibodies/hemoglobin-subunit-beta-hemoglobin-subunit-delta-antibody-epr8322b-ab131225'>ab131225</a>) at 1/200 dilution

Lane 1:

Western blot - Recombinant Human Hemoglobin subunit alpha protein (denatured) (DDDDK tag N-Term + His tag N-Term) (<a href='/en-us/products/proteins-peptides/recombinant-human-hemoglobin-subunit-alpha-protein-denatured-ab131697'>ab131697</a>) at 0.1 µg

Lane 2:

His-tagged human Hemoglobin subunit beta/ba1 (aa 3-147) recombinant protein at 0.1 µg

Lane 3:

His-tagged human Hemoglobin subunit delta (aa 3-147) recombinant protein at 0.1 µg

Lane 4:

His-tagged full length human Hemoglobin subunit delta recombinant protein at 0.1 µg

Lane 5:

His-tagged human Hemoglobin subunit epsilon (aa 3-147) recombinant protein at 0.1 µg

Lane 6:

His-tagged human Hemoglobin subunit gamma-2 (aa 2-147) recombinant protein at 0.1 µg

Lane 7:

His-tagged human Hemoglobin subunit gamma-1 (aa 2-147) recombinant protein at 0.1 µg

Lane 8:

Western blot - Recombinant Human Hemoglobin subunit zeta protein (His tag C-Terminus) (<a href='/en-us/products/proteins-peptides/recombinant-human-hemoglobin-subunit-zeta-protein-ab95347'>ab95347</a>) at 0.1 µg

Secondary

All lanes:

Western blot - Goat Anti-Rabbit IgG H&L (HRP) (<a href='/en-us/products/secondary-antibodies/goat-rabbit-igg-h-l-hrp-ab97051'>ab97051</a>) at 1/20000 dilution

false

  • Unconjugated

    Anti-Hemoglobin subunit beta + Hemoglobin subunit delta antibody [EPR8322(B)]

Key facts

Host species

Rabbit

Clonality

Monoclonal

Clone number

EPR8322(B)

Isotype

IgG

Carrier free

Yes

Reacts with

Human

Applications

WB, IHC-P

applications

Immunogen

The exact immunogen used to generate this antibody is proprietary information.

Reactivity data

{ "title": "Reactivity Data", "filters": { "stats": ["", "Species", "Dilution Info", "Notes"], "tabs": { "all-applications": {"fullname" : "All Applications", "shortname": "All Applications"}, "IP" : {"fullname" : "Immunoprecipitation", "shortname":"IP"}, "IHCP" : {"fullname" : "Immunohistochemistry (Formalin/PFA-fixed paraffin-embedded sections)", "shortname":"IHC-P"}, "WB" : {"fullname" : "Western blot", "shortname":"WB"} }, "product-promise": { "all": "all", "testedAndGuaranteed": "tested", "guaranteed": "expected", "predicted": "predicted", "notRecommended": "not-recommended" } }, "values": { "Human": { "IP-species-checked": "notRecommended", "IP-species-dilution-info": "", "IP-species-notes": "<p></p>", "IHCP-species-checked": "testedAndGuaranteed", "IHCP-species-dilution-info": "", "IHCP-species-notes": "<p></p>", "WB-species-checked": "testedAndGuaranteed", "WB-species-dilution-info": "", "WB-species-notes": "<p></p>" } } }

Product details

ab248384 is the carrier-free version of ab131225.

Species reactivity
Mouse, Rat: We have preliminary internal testing data to indicate this antibody may not react with these species.
Please contact us for more information.

Patented technology
Our RabMAb® technology is a patented hybridoma-based technology for making rabbit monoclonal antibodies. For details on our patents, please refer to RabMAb® patents.

What are the advantages of a recombinant monoclonal antibody?
This product is a recombinant monoclonal antibody, which offers several advantages including:

  • - High batch-to-batch consistency and reproducibility
  • - Improved sensitivity and specificity
  • - Long-term security of supply
  • - Animal-free batch production

For more information, read more on recombinant antibodies.

Conjugation ready
Our carrier-free antibodies are typically supplied in a PBS-only formulation, purified and free of BSA, sodium azide and glycerol. This conjugation-ready format is designed for use with fluorochromes, metal isotopes, oligonucleotides, and enzymes, which makes them ideal for antibody labelling, functional and cell-based assays, flow-based assays (e.g. mass cytometry) and Multiplex Imaging applications.

Use our conjugation kits for antibody conjugates that are ready-to-use in as little as 20 minutes with 1 minute hands-on-time and 100% antibody recovery: available for fluorescent dyes, HRP, biotin and gold.

Compatibility
This product is compatible with the Maxpar® Antibody Labeling Kit from Fluidigm, without the need for antibody preparation. Maxpar® is a trademark of Fluidigm Canada Inc.

Properties and storage information

Form
Liquid
Purification technique
Affinity purification Protein A
Storage buffer
pH: 7.2 - 7.4 Constituents: PBS
Shipped at conditions
Blue Ice
Appropriate short-term storage conditions
+4°C
Appropriate long-term storage conditions
+4°C
Storage information
Do Not Freeze

Supplementary information

This supplementary information is collated from multiple sources and compiled automatically.

Hemoglobin subunit delta also known as Hb delta or delta hemoglobin is a component of the hemoglobin protein family which primarily includes hemoglobin subunit beta (Hb beta). Hemoglobin delta has a molecular mass of approximately 16 kDa. It expresses mainly in erythroid cells where it functions as part of the hemoglobin A2 (HbA2) molecule. HbA2 is a minor hemoglobin variant which includes two alpha globin chains and two delta globin chains. Delta hemoglobin plays a role in oxygen transport in red blood cells albeit to a lesser extent than the major form hemoglobin A (HbA) which contains hemoglobin subunit beta.
Biological function summary

Hemoglobin subunit delta participates in oxygen binding and transport. As part of the hemoglobin A2 complex it facilitates the pickup and release of oxygen molecules in tissues and organs. Although HbA2 only constitutes about 2-3% of total hemoglobin in adults it serves as an important backup system for effective oxygen delivery. The delta subunit closely interacts with partners like the alpha globin chains to perform its role in the hemoglobin complex.

Pathways

Hemoglobin subunit delta participates in the erythropoiesis pathway which is critical for red blood cell development. It works alongside proteins such as adult hemoglobin forms and alpha-like globins to ensure proper tissue oxygenation. The hypoxia-inducible factor pathway also involves hemoglobin components adjusting erythropoiesis in response to low oxygen levels though the direct role of delta hemoglobin in this adaptive process is comparatively minor.

Hemoglobin subunit delta has a connection with beta-thalassemia. This disorder results from mutations affecting beta globin synthesis leading to insufficient hemoglobin function. As a result HbA2 levels often rise as a compensatory mechanism. Sickle cell anemia mainly linked to mutations in the beta globin gene also exhibits some compensatory shifts in globin expression although delta hemoglobin itself is not directly involved. These disorders highlight the interconnected role of different hemoglobin chains including delta hemoglobin in red blood cell pathophysiology.

Product protocols

For this product, it's our understanding that no specific protocols are required. You can visit:

Target data

Involved in oxygen transport from the lung to the various peripheral tissues.. LVV-hemorphin-7 potentiates the activity of bradykinin, causing a decrease in blood pressure.. Spinorphin. Functions as an endogenous inhibitor of enkephalin-degrading enzymes such as DPP3, and as a selective antagonist of the P2RX3 receptor which is involved in pain signaling, these properties implicate it as a regulator of pain and inflammation.
See full target information HBB

Publications (1)

Recent publications for all applications. Explore the full list and refine your search

Oncology letters 24:457 PubMed36380881

2022

Suppressive effect of YY1-mediated RGS22 regulation on the proliferation, migration and invasion of pancreatic ductal adenocarcinoma.

Applications

Unspecified application

Species

Unspecified reactive species

Shou-Ji Cao,Wan-Li Ge,Ling-Dong Meng,Qun Chen,Yi Miao,Kui-Rong Jiang,Jing-Jing Zhang
View all publications

Product promise

We are committed to supporting your work with high-quality reagents, and we're here for you every step of the way. In the unlikely event that one of our products does not perform as expected, you're protected by our Product Promise.
For full details, please see our Terms & Conditions

Please note: All products are 'FOR RESEARCH USE ONLY. NOT FOR USE IN DIAGNOSTIC OR THERAPEUTIC PROCEDURES'.

For licensing inquiries, please contact partnerships@abcam.com