JavaScript is disabled in your browser. Please enable JavaScript to view this website.
AB124935

Anti-Hemopexin antibody [EPR5610]

5

(2 Reviews)

|

(4 Publications)

Rabbit Recombinant Monoclonal Hemopexin antibody. Suitable for IHC-P, ICC/IF, IP, WB, Flow Cyt (Intra) and reacts with Human samples. Cited in 4 publications.

View Alternative Names

Hemopexin, Beta-1B-glycoprotein, HPX

6 Images
Immunohistochemistry (Formalin/PFA-fixed paraffin-embedded sections) - Anti-Hemopexin antibody [EPR5610] (AB124935)
  • IHC-P

Unknown

Immunohistochemistry (Formalin/PFA-fixed paraffin-embedded sections) - Anti-Hemopexin antibody [EPR5610] (AB124935)

ab124935, at 1/250 dilution, staining Hemopexin in paraffin-embedded Human liver tissue by Immunohistochemistry.

Perform heat mediated antigen retrieval with citrate buffer pH 6 before commencing with IHC staining protocol.

Flow Cytometry (Intracellular) - Anti-Hemopexin antibody [EPR5610] (AB124935)
  • Flow Cyt (Intra)

Lab

Flow Cytometry (Intracellular) - Anti-Hemopexin antibody [EPR5610] (AB124935)

Intracellular Flow Cytometry analysis of HepG2 (Human hepatocellular carcinoma epithelial cell) cells labeling Hemopexin (red) with ab124935 at a 1/200 dilution. Cells were fixed with 4% paraformaldehyde and permeabilized with 90% methanol. A goat anti-rabbit IgG (Alexa Fluorr® 488) (ab150077) was used as the secondary antibody at a 1/2000 dilution. Black - Rabbit monoclonal IgG (Black) (ab172730). Blue (unlabeled control) - Cell without incubation with primary antibody and secondary antibody (Blue).

Immunocytochemistry/ Immunofluorescence - Anti-Hemopexin antibody [EPR5610] (AB124935)
  • ICC/IF

Unknown

Immunocytochemistry/ Immunofluorescence - Anti-Hemopexin antibody [EPR5610] (AB124935)

Immunocytochemistry analysis of HepG2 (human hepatocellular carcinoma epithelial cell) labeling Hemopexin with purified ab124935 at 1/200 dilution (10 µg/ml). Cells were fixed with 100% methanol. Goat anti rabbit IgG (Alexa Fluor® 488, ab150077) at 1/1000 (2 µg/ml) was used as the secondary antibody. ab195889 Anti-alpha Tubulin antibody [DM1A] - Microtubule Marker (Alexa Fluor® 594) 1/200 (2.8 µg/ml) was used as counterstain. Nuclei were stained blue with DAPI.
Negative control : PBS instead of the primary antibody.

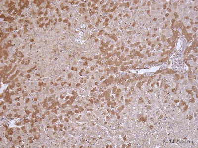
Immunohistochemistry (Formalin/PFA-fixed paraffin-embedded sections) - Anti-Hemopexin antibody [EPR5610] (AB124935)
  • IHC-P

Supplier Data

Immunohistochemistry (Formalin/PFA-fixed paraffin-embedded sections) - Anti-Hemopexin antibody [EPR5610] (AB124935)

ab124935 staining Hemopexin in human liver tissue sections by Immunohistochemistry (IHC-P - paraformaldehyde-fixed, paraffin-embedded sections). Tissue was fixed with formaldehyde, permeabilized with 0.2% Triton X-100 in PBS and blocked with 5% milk for 30 minutes at room temperature; antigen retrieval was by heat mediation in Tris pH 9.0. Samples were incubated with primary antibody (1/200 in PBS) for 16 hours at 4°C. An undiluted Biotin-conjugated goat anti-rabbit IgG polyclonal was used as the secondary antibody.

This image is courtesy of an Abreview submitted by Steffen Rickelt

Western blot - Anti-Hemopexin antibody [EPR5610] (AB124935)
  • WB

Unknown

Western blot - Anti-Hemopexin antibody [EPR5610] (AB124935)

All lanes:

Western blot - Anti-Hemopexin antibody [EPR5610] (ab124935) at 1/10000 dilution

Lane 1:

Fetal liver lysate at 10 µg

Lane 2:

Human plasma lysate at 10 µg

Secondary

All lanes:

HRP labelled Goat anti Rabbit IgG at 1/2000 dilution

Predicted band size: 51 kDa

Observed band size: 70-75 kDa

false

OI-RD Scanning - Anti-Hemopexin antibody [EPR5610] (AB124935)
  • OI-RD Scanning

Unknown

OI-RD Scanning - Anti-Hemopexin antibody [EPR5610] (AB124935)

We have systematically measured KD (the equilibrium dissociation constant between the antibody and its antigen), of more than 840 recombinant antibodies to assess not only their individual KD values but also to see the average affinity of antibody. Based on the comparison with published literature values for mouse monoclonal antibodies, Recombinant antibodies appear to be on average 1-2 order of magnitude higher affinity.

  • 519 Alexa Fluor® 488

    Alexa Fluor® 488 Anti-Hemopexin antibody [EPR5610]

  • 665 Alexa Fluor® 647

    Alexa Fluor® 647 Anti-Hemopexin antibody [EPR5610]

  • HRP

    HRP Anti-Hemopexin antibody [EPR5610]

  • Carrier free

    Anti-Hemopexin antibody [EPR5610] - BSA and Azide free

Key facts

Host species

Rabbit

Clonality

Monoclonal

Clone number

EPR5610

Isotype

IgG

Carrier free

No

Reacts with

Human

Applications

WB, ICC/IF, IP, IHC-P, Flow Cyt (Intra)

applications

Immunogen

The exact immunogen used to generate this antibody is proprietary information.

Reactivity data

{ "title": "Reactivity Data", "filters": { "stats": ["", "Species", "Dilution Info", "Notes"], "tabs": { "all-applications": {"fullname" : "All Applications", "shortname": "All Applications"}, "IHCP" : {"fullname" : "Immunohistochemistry (Formalin/PFA-fixed paraffin-embedded sections)", "shortname":"IHC-P"}, "ICCIF" : {"fullname" : "Immunocytochemistry/ Immunofluorescence", "shortname":"ICC/IF"}, "IP" : {"fullname" : "Immunoprecipitation", "shortname":"IP"}, "WB" : {"fullname" : "Western blot", "shortname":"WB"}, "FlowCytIntra" : {"fullname" : "Flow Cytometry (Intracellular)", "shortname":"Flow Cyt (Intra)"} }, "product-promise": { "all": "all", "testedAndGuaranteed": "tested", "guaranteed": "expected", "predicted": "predicted", "notRecommended": "not-recommended" } }, "values": { "Human": { "IHCP-species-checked": "testedAndGuaranteed", "IHCP-species-dilution-info": "1/250 - 1/500", "IHCP-species-notes": "<p></p>", "ICCIF-species-checked": "testedAndGuaranteed", "ICCIF-species-dilution-info": "1/100 - 1/250", "ICCIF-species-notes": "<p></p>", "IP-species-checked": "guaranteed", "IP-species-dilution-info": "1/10 - 1/100", "IP-species-notes": "<p></p>", "WB-species-checked": "testedAndGuaranteed", "WB-species-dilution-info": "1/10000 - 1/50000", "WB-species-notes": "<p></p>", "FlowCytIntra-species-checked": "testedAndGuaranteed", "FlowCytIntra-species-dilution-info": "1/200", "FlowCytIntra-species-notes": "<p></p>" }, "Mouse": { "IHCP-species-checked": "notRecommended", "IHCP-species-dilution-info": "1/250 - 1/500", "IHCP-species-notes": "<p></p>", "ICCIF-species-checked": "notRecommended", "ICCIF-species-dilution-info": "1/100 - 1/250", "ICCIF-species-notes": "<p></p>", "IP-species-checked": "notRecommended", "IP-species-dilution-info": "1/10 - 1/100", "IP-species-notes": "<p></p>", "WB-species-checked": "notRecommended", "WB-species-dilution-info": "1/10000 - 1/50000", "WB-species-notes": "<p></p>", "FlowCytIntra-species-checked": "notRecommended", "FlowCytIntra-species-dilution-info": "1/200", "FlowCytIntra-species-notes": "<p></p>" }, "Rat": { "IHCP-species-checked": "notRecommended", "IHCP-species-dilution-info": "1/250 - 1/500", "IHCP-species-notes": "<p></p>", "ICCIF-species-checked": "notRecommended", "ICCIF-species-dilution-info": "1/100 - 1/250", "ICCIF-species-notes": "<p></p>", "IP-species-checked": "notRecommended", "IP-species-dilution-info": "1/10 - 1/100", "IP-species-notes": "<p></p>", "WB-species-checked": "notRecommended", "WB-species-dilution-info": "1/10000 - 1/50000", "WB-species-notes": "<p></p>", "FlowCytIntra-species-checked": "notRecommended", "FlowCytIntra-species-dilution-info": "1/200", "FlowCytIntra-species-notes": "<p></p>" } } }

Product details

Patented technology
Our RabMAb® technology is a patented hybridoma-based technology for making rabbit monoclonal antibodies. For details on our patents, please refer to RabMAb® patents.

What are the advantages of a recombinant monoclonal antibody?
This product is a recombinant monoclonal antibody, which offers several advantages including:

  • - High batch-to-batch consistency and reproducibility
  • - Improved sensitivity and specificity
  • - Long-term security of supply
  • - Animal-free batch production

For more information, read more on recombinant antibodies.

Properties and storage information

Form
Liquid
Purity
Tissue culture supernatant
Storage buffer
pH: 7.2 - 7.4 Preservative: 0.05% Sodium azide Constituents: 50% Tissue culture supernatant, 40% Glycerol (glycerin, glycerine), 9.85% Tris glycine
Shipped at conditions
Blue Ice
Appropriate short-term storage conditions
+4°C
Appropriate long-term storage conditions
-20°C
Storage information
Stable for 12 months at -20°C

Supplementary information

This supplementary information is collated from multiple sources and compiled automatically.

Hemopexin also known as HPX is a glycoprotein that transports heme in the blood. It has a molecular weight of approximately 57 kDa and is primarily expressed in the liver. Hemopexin binds to free heme with high affinity which prevents oxidative damage and conserves iron. It transports the heme to hepatocytes for breakdown and recycling protecting cells from iron-mediated toxicity and oxidative stress.
Biological function summary

The hemopexin function relates to protecting tissues from the harmful effects of free heme. Hemopexin does not work as part of a complex in this process but mainly acts independently. Its high binding affinity plays an important role in maintaining heme homeostasis in the plasma and tissues. By controlling heme levels hemopexin supports overall cellular health and function.

Pathways

The hemopexin molecular weight allows it to fit effectively within the heme metabolism and iron recycling pathways. This protein plays a significant role by delivering heme to the liver and facilitating its degradation by heme oxygenase. Hemopexin interacts closely with heme oxygenase and albumin two proteins important for the management of heme and iron levels in the body.

Several hemopexin functions contribute to the understanding of conditions such as hemolytic anemia and acute liver injury. In hemolytic anemia hemopexin helps mitigate the effects of increased heme levels due to excessive red blood cell breakdown. In the context of liver injury the protein assists in the detoxification process and supports hepatic function. Hemopexin-related proteins such as heme oxygenase link these diseases to hemopexin by their roles in managing oxidative stress and heme catabolism.

Product protocols

For this product, it's our understanding that no specific protocols are required. You can visit:

Target data

Binds heme and transports it to the liver for breakdown and iron recovery, after which the free hemopexin returns to the circulation.
See full target information Hemopexin

Publications (4)

Recent publications for all applications. Explore the full list and refine your search

International journal of molecular sciences 25: PubMed38791177

2024

Efficacy of Integrated Risk Score Using Omics-Based Biomarkers for the Prediction of Acute Rejection in Kidney Transplantation: A Randomized Prospective Pilot Study.

Applications

Unspecified application

Species

Unspecified reactive species

Jeong-Hoon Lim,Byung Ha Chung,Sang-Ho Lee,Jong Soo Lee,Yeong Hoon Kim,Man-Hoon Han,Hee-Yeon Jung,Ji-Young Choi,Jang-Hee Cho,Sun-Hee Park,Yong-Lim Kim,Chan-Duck Kim

EBioMedicine 74:103714 PubMed34818622

2021

Proteomic profiling identifies signatures associated with progression of precancerous gastric lesions and risk of early gastric cancer.

Applications

Unspecified application

Species

Unspecified reactive species

Xue Li,Nai-Ren Zheng,Lin-Heng Wang,Zhong-Wu Li,Zong-Chao Liu,Hua Fan,Yi Wang,Jin Dai,Xiao-Tian Ni,Xin Wei,Ming-Wei Liu,Kai Li,Zhe-Xuan Li,Tong Zhou,Yang Zhang,Jing-Ying Zhang,Gaohaer Kadeerhan,Sha Huang,Wen-Hui Wu,Wei-Dong Liu,Xiu-Zhen Wu,Lan-Fu Zhang,Jian-Ming Xu,Markus Gerhard,Wei-Cheng You,Kai-Feng Pan,Wen-Qing Li,Jun Qin

Cell reports 32:108181 PubMed32966797

2020

Scavenging of Labile Heme by Hemopexin Is a Key Checkpoint in Cancer Growth and Metastases.

Applications

Unspecified application

Species

Unspecified reactive species

Giacomo Canesin,Annalisa Di Ruscio,Mailin Li,Simone Ummarino,Andreas Hedblom,Reeham Choudhury,Agnieszka Krzyzanowska,Eva Csizmadia,Macarena Palominos,Anna Stiehm,Alexander Ebralidze,Shao-Yong Chen,Mahmoud A Bassal,Ping Zhao,Emanuela Tolosano,Laurence Hurley,Anders Bjartell,Daniel G Tenen,Barbara Wegiel

PloS one 13:e0204204 PubMed30226858

2018

Novel urinary exosomal biomarkers of acute T cell-mediated rejection in kidney transplant recipients: A cross-sectional study.

Applications

Unspecified application

Species

Unspecified reactive species

Jeong-Hoon Lim,Chan-Hyeong Lee,Kyu Yeun Kim,Hee-Yeon Jung,Ji-Young Choi,Jang-Hee Cho,Sun-Hee Park,Yong-Lim Kim,Moon-Chang Baek,Jae Berm Park,Young-Hoon Kim,Byung Ha Chung,Sang-Ho Lee,Chan-Duck Kim
View all publications

Product promise

We are committed to supporting your work with high-quality reagents, and we're here for you every step of the way. In the unlikely event that one of our products does not perform as expected, you're protected by our Product Promise.
For full details, please see our Terms & Conditions

Please note: All products are 'FOR RESEARCH USE ONLY. NOT FOR USE IN DIAGNOSTIC OR THERAPEUTIC PROCEDURES'.

For licensing inquiries, please contact partnerships@abcam.com