JavaScript is disabled in your browser. Please enable JavaScript to view this website.
AB315240

Anti-Heparan Sulfate Proteoglycan 2/Perlecan antibody [EPR28345-62]

  • BOND RX™ Validated
  • 20ul selling size
  • RabMAb
  • Recombinant
  • What is this?

Be the first to review this product! Submit a review

|

(0 Publication)

Rabbit Recombinant Monoclonal Heparan Sulfate Proteoglycan 2/Perlecan antibody. Suitable for Flow Cyt (Intra), IHC-P, ICC/IF, WB, IP and reacts with Human samples.

View Alternative Names

Basement membrane-specific heparan sulfate proteoglycan core protein, HSPG, Perlecan, PLC, HSPG2

8 Images
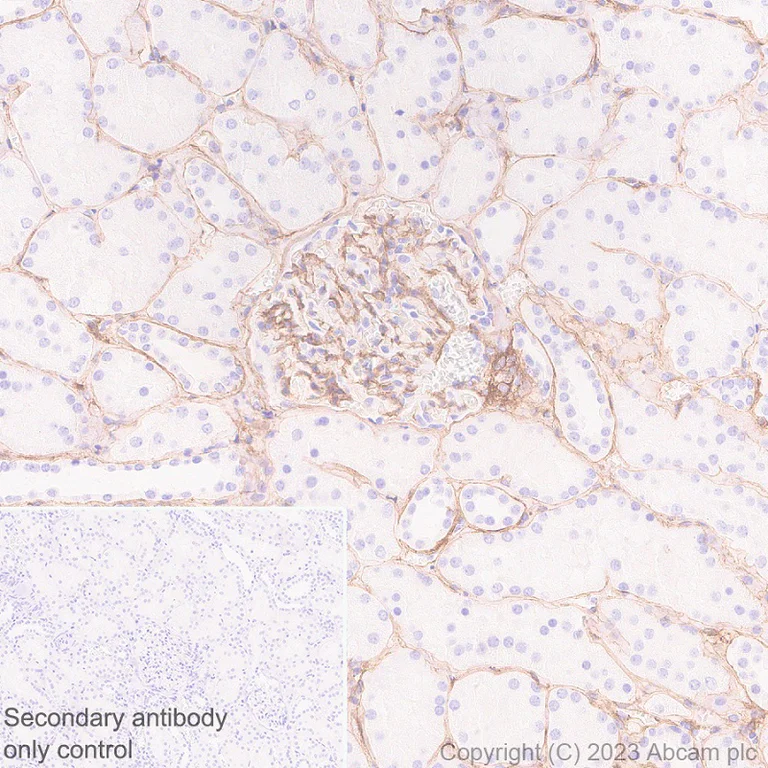
Immunohistochemistry (Formalin/PFA-fixed paraffin-embedded sections) - Anti-Heparan Sulfate Proteoglycan 2/Perlecan antibody [EPR28345-62] (AB315240)
  • IHC-P

Supplier Data

Immunohistochemistry (Formalin/PFA-fixed paraffin-embedded sections) - Anti-Heparan Sulfate Proteoglycan 2/Perlecan antibody [EPR28345-62] (AB315240)

Immunohistochemical analysis of paraffin-embedded Human kidney tissue labeling Heparan Sulfate Proteoglycan 2/Perlecan with ab315240 at 1/2000 (0.254 ug/ml) dilution, followed by a ready to use LeicaDS9800 (Bond™ Polymer Refine Detection).

Positive staining on basement membrane of human kidney. The section was incubated with ab315240 for 30 mins at room temperature. The immunostaining was performed on a Leica Biosystems BOND® RX instrument

Secondary antibody only control : Secondary antibody is a ready to use LeicaDS9800 (Bond™ Polymer Refine Detection).

Heat mediated antigen retrieval was performed with Tris-EDTA buffer (pH 9.0, Epitope Retrieval Solution2) for 20 mins

Immunohistochemistry (Formalin/PFA-fixed paraffin-embedded sections) - Anti-Heparan Sulfate Proteoglycan 2/Perlecan antibody [EPR28345-62] (AB315240)
  • IHC-P

Supplier Data

Immunohistochemistry (Formalin/PFA-fixed paraffin-embedded sections) - Anti-Heparan Sulfate Proteoglycan 2/Perlecan antibody [EPR28345-62] (AB315240)

Immunohistochemical analysis of paraffin-embedded Human cerebrum tissue labeling Heparan Sulfate Proteoglycan 2/Perlecan with ab315240 at 1/2000 (0.254 ug/ml) dilution, followed by a ready to use LeicaDS9800 (Bond™ Polymer Refine Detection).

Positive staining on endothelium of human cerebrum. The section was incubated with ab315240 for 30 mins at room temperature. The immunostaining was performed on a Leica Biosystems BOND® RX instrument

Secondary antibody only control : Secondary antibody is a ready to use LeicaDS9800 (Bond™ Polymer Refine Detection).

Heat mediated antigen retrieval was performed with Tris-EDTA buffer (pH 9.0, Epitope Retrieval Solution2) for 20 mins

Immunohistochemistry (Formalin/PFA-fixed paraffin-embedded sections) - Anti-Heparan Sulfate Proteoglycan 2/Perlecan antibody [EPR28345-62] (AB315240)
  • IHC-P

Supplier Data

Immunohistochemistry (Formalin/PFA-fixed paraffin-embedded sections) - Anti-Heparan Sulfate Proteoglycan 2/Perlecan antibody [EPR28345-62] (AB315240)

Immunohistochemical analysis of paraffin-embedded Human liver tissue labeling Heparan Sulfate Proteoglycan 2/Perlecan with ab315240 at 1/2000 (0.254 ug/ml) dilution, followed by a ready to use LeicaDS9800 (Bond™ Polymer Refine Detection).

Positive staining on sinusoidal endothelium of human liver. The section was incubated with ab315240 for 30 mins at room temperature. The immunostaining was performed on a Leica Biosystems BOND® RX instrument

Secondary antibody only control : Secondary antibody is a ready to use LeicaDS9800 (Bond™ Polymer Refine Detection).

Heat mediated antigen retrieval was performed with Tris-EDTA buffer (pH 9.0, Epitope Retrieval Solution2) for 20 mins

Immunocytochemistry/ Immunofluorescence - Anti-Heparan Sulfate Proteoglycan 2/Perlecan antibody [EPR28345-62] (AB315240)
  • ICC/IF

Supplier Data

Immunocytochemistry/ Immunofluorescence - Anti-Heparan Sulfate Proteoglycan 2/Perlecan antibody [EPR28345-62] (AB315240)

Immunofluorescent analysis of 4% Paraformaldehyde-fixed, 0.1% TritonX-100 permeabilized HUVEC (human umbilical vein endothelial cell) cells labelling Heparan Sulfate Proteoglycan 2/Perlecan with ab315240 at 1/100 (5.07 ug/ml) dilution, followed by ab150081 Goat Anti-Rabbit IgG H&L (Alexa Fluor® 488) preadsorbed antibody at 1/1000 (2 ug/ml) dilution (Green).

Confocal image showing membranous and cytoplasmic staining in HUVEC cells. Negative control : SH-SY5Y (PMID : 25883214)Image was taken with a confocal microscope (Leica-Microsystems, TCS SP8).

ab195889 Anti-alpha Tubulin mouse monoclonal antibody - Microtubule Marker (Alexa Fluor® 594) was used to counterstain tubulin at 1/200 (2.5 ug/ml) dilution (Red). The Nuclear counterstain was DAPI (Blue).

Secondary antibody only control : Secondary antibody is ab150081 Goat Anti-Rabbit IgG H&L (Alexa Fluor® 488) preadsorbed at 1/1000 (2 ug/ml) dilution.

Flow Cytometry (Intracellular) - Anti-Heparan Sulfate Proteoglycan 2/Perlecan antibody [EPR28345-62] (AB315240)
  • Flow Cyt (Intra)

Supplier Data

Flow Cytometry (Intracellular) - Anti-Heparan Sulfate Proteoglycan 2/Perlecan antibody [EPR28345-62] (AB315240)

Flow cytometric analysis of 4% paraformaldehyde fixed 90% methanol permeabilized SH-SY5Y (human neuroblastoma epithelial cell, Left) / HUVEC (human umbilical vein endothelial cell, Right) cells labelling Heparan Sulfate Proteoglycan 2/Perlecan with ab315240 at 1/500 dilution (0.1 ug, Red) compared with a Rabbit monoclonal IgG (ab172730) (Black) isotype control and an unlabelled control (cells without incubation with primary antibody and secondary antibody) (Blue).

Goat Anti-Rabbit IgG (Alexa Fluor® 488, ab150081) at 1/5000 dilution was used as the secondary antibody.

Negative control : SH-SY5Y.

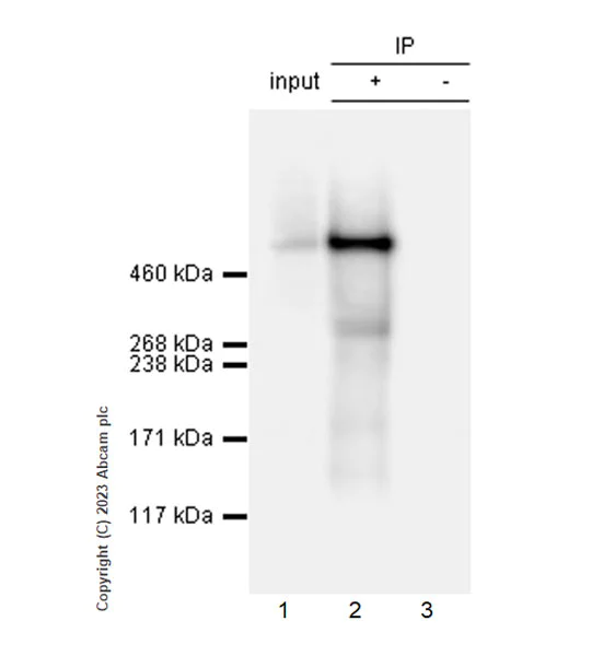
Immunoprecipitation - Anti-Heparan Sulfate Proteoglycan 2/Perlecan antibody [EPR28345-62] (AB315240)
  • IP

Supplier Data

Immunoprecipitation - Anti-Heparan Sulfate Proteoglycan 2/Perlecan antibody [EPR28345-62] (AB315240)

Heparan Sulfate Proteoglycan 2/Perlecan was immunoprecipitated from 0.35 mg HUVEC (human umbilical vein endothelial cell) whole cell lysate with ab315240 at 1/30 dilution (2ug in 0.35mg lysates). Western blot was performed on the immunoprecipitate using ab315240 at 1/1000 dilution. VeriBlot for IP secondary antibody(HRP)(ab131366) was used at 1/5000 dilution.

Lane 1 : HUVEC (human umbilical vein endothelial cell) whole cell lysate

Lane 2 : ab315240 IP in HUVEC (human umbilical vein endothelial cell) whole cell lysate

Lane 3 : Rabbit monoclonal IgG (ab172730) instead of ab315240 in HUVEC whole cell lysate

Blocking and dilution buffer and concentration : 5% NFDM/TBST.

All lanes:

Immunoprecipitation - Anti-Heparan Sulfate Proteoglycan 2/Perlecan antibody [EPR28345-62] (ab315240) at 1/30 dilution

All lanes:

HUVEC (human umbilical vein endothelial cell) whole cell lysate

Secondary

All lanes:

Immunoprecipitation - VeriBlot for IP Detection Reagent (HRP) (<a href='/en-us/products/reagents/veriblot-for-ip-detection-reagent-hrp-ab131366'>ab131366</a>) at 1/5000 dilution

false

Exposure time: 8s

Western blot - Anti-Heparan Sulfate Proteoglycan 2/Perlecan antibody [EPR28345-62] (AB315240)
  • WB

Supplier Data

Western blot - Anti-Heparan Sulfate Proteoglycan 2/Perlecan antibody [EPR28345-62] (AB315240)

Blocking and diluting buffer and concentration : 5% NFDM/TBST.

Negative : human cerebellum.

In Western blot, Anti-Vinculin antibody [EPR8185] (ab129002) staining at 1/10000 dilution.

All lanes:

Western blot - Anti-Heparan Sulfate Proteoglycan 2/Perlecan antibody [EPR28345-62] (ab315240) at 1/1000 dilution

Lane 1:

Human skeletal muscle tissue lysate at 20 µg

Lane 2:

Human cerebellum tissue lysate at 20 µg

Secondary

All lanes:

Western blot - Goat Anti-Rabbit IgG H&L (HRP) (<a href='/en-us/products/secondary-antibodies/goat-rabbit-igg-h-l-hrp-ab97051'>ab97051</a>) at 1/20000 dilution

Observed band size: 469 kDa,124 kDa

false

Exposure time: 70s

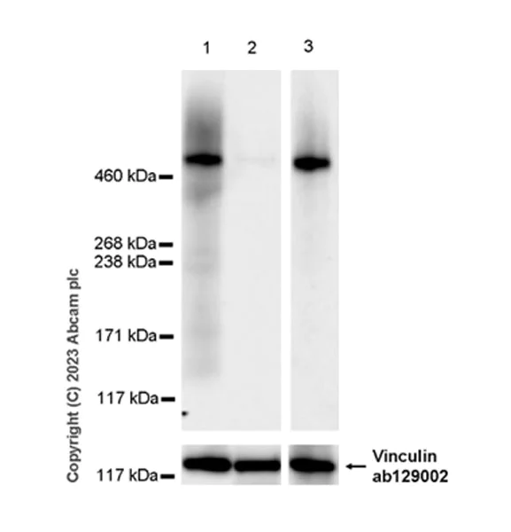
Western blot - Anti-Heparan Sulfate Proteoglycan 2/Perlecan antibody [EPR28345-62] (AB315240)
  • WB

Supplier Data

Western blot - Anti-Heparan Sulfate Proteoglycan 2/Perlecan antibody [EPR28345-62] (AB315240)

Blocking and diluting buffer and concentration : 5% NFDM/TBST.

Low expression : SH-SY5Y (PMID : 25883214).

In Western blot, Anti-Vinculin antibody [EPR8185] (ab129002) staining at 1/10000 dilution.

Exposure time : Lanes 1-2 : 59 seconds; Lane 3 : 103 seconds.

All lanes:

Western blot - Anti-Heparan Sulfate Proteoglycan 2/Perlecan antibody [EPR28345-62] (ab315240) at 1/1000 dilution

Lane 1:

HUVEC (human umbilical vein endothelial cell) whole cell lysate at 20 µg

Lane 2:

SH-SY5Y (human neuroblastoma epithelial cell) whole cell lysate at 20 µg

Lane 3:

EA.hy926 (human somatic cell hybrid endothelial cell) whole cell lysate at 20 µg

Secondary

All lanes:

Western blot - Goat Anti-Rabbit IgG H&L (HRP) (<a href='/en-us/products/secondary-antibodies/goat-rabbit-igg-h-l-hrp-ab97051'>ab97051</a>) at 1/100000 dilution

Observed band size: 469 kDa,124 kDa

false

Key facts

Host species

Rabbit

Clonality

Monoclonal

Clone number

EPR28345-62

Isotype

IgG

Carrier free

No

Reacts with

Human

Applications

IP, WB, ICC/IF, IHC-P, Flow Cyt (Intra)

applications

Immunogen

The exact immunogen used to generate this antibody is proprietary information.

Reactivity data

{ "title": "Reactivity Data", "filters": { "stats": ["", "Species", "Dilution Info", "Notes"], "tabs": { "all-applications": {"fullname" : "All Applications", "shortname": "All Applications"}, "FlowCytIntra" : {"fullname" : "Flow Cytometry (Intracellular)", "shortname":"Flow Cyt (Intra)"}, "IHCP" : {"fullname" : "Immunohistochemistry (Formalin/PFA-fixed paraffin-embedded sections)", "shortname":"IHC-P"}, "ICCIF" : {"fullname" : "Immunocytochemistry/ Immunofluorescence", "shortname":"ICC/IF"}, "WB" : {"fullname" : "Western blot", "shortname":"WB"}, "IP" : {"fullname" : "Immunoprecipitation", "shortname":"IP"} }, "product-promise": { "all": "all", "testedAndGuaranteed": "tested", "guaranteed": "expected", "predicted": "predicted", "notRecommended": "not-recommended" } }, "values": { "Human": { "FlowCytIntra-species-checked": "testedAndGuaranteed", "FlowCytIntra-species-dilution-info": "1/500", "FlowCytIntra-species-notes": "<p></p>", "IHCP-species-checked": "testedAndGuaranteed", "IHCP-species-dilution-info": "1/2000", "IHCP-species-notes": "<p></p> Perform heat-mediated antigen retrieval with Tris/EDTA buffer pH 9.0 before commencing with IHC staining protocol.", "ICCIF-species-checked": "testedAndGuaranteed", "ICCIF-species-dilution-info": "1/100", "ICCIF-species-notes": "<p></p>", "WB-species-checked": "testedAndGuaranteed", "WB-species-dilution-info": "1/1000", "WB-species-notes": "<p></p>", "IP-species-checked": "testedAndGuaranteed", "IP-species-dilution-info": "1/30", "IP-species-notes": "<p></p>" }, "Mouse": { "FlowCytIntra-species-checked": "notRecommended", "FlowCytIntra-species-dilution-info": "", "FlowCytIntra-species-notes": "", "IHCP-species-checked": "notRecommended", "IHCP-species-dilution-info": "", "IHCP-species-notes": "<p></p>", "ICCIF-species-checked": "notRecommended", "ICCIF-species-dilution-info": "", "ICCIF-species-notes": "", "WB-species-checked": "notRecommended", "WB-species-dilution-info": "", "WB-species-notes": "<p></p>", "IP-species-checked": "notRecommended", "IP-species-dilution-info": "", "IP-species-notes": "" }, "Rat": { "FlowCytIntra-species-checked": "notRecommended", "FlowCytIntra-species-dilution-info": "", "FlowCytIntra-species-notes": "", "IHCP-species-checked": "notRecommended", "IHCP-species-dilution-info": "", "IHCP-species-notes": "<p></p>", "ICCIF-species-checked": "notRecommended", "ICCIF-species-dilution-info": "", "ICCIF-species-notes": "", "WB-species-checked": "notRecommended", "WB-species-dilution-info": "", "WB-species-notes": "<p></p>", "IP-species-checked": "notRecommended", "IP-species-dilution-info": "", "IP-species-notes": "" } } }

Product details

Patented technology
Our RabMAb® technology is a patented hybridoma-based technology for making rabbit monoclonal antibodies. For details on our patents, please refer to RabMAb® patents.

What are the advantages of a recombinant monoclonal antibody?
This product is a recombinant monoclonal antibody, which offers several advantages including:

  • - High batch-to-batch consistency and reproducibility
  • - Improved sensitivity and specificity
  • - Long-term security of supply
  • - Animal-free batch production

For more information, read more on recombinant antibodies.

Properties and storage information

Form
Liquid
Purification technique
Affinity purification Protein A
Storage buffer
pH: 7.2 - 7.4 Preservative: 0.01% Sodium azide Constituents: PBS, 40% Glycerol (glycerin, glycerine), 0.05% BSA
Shipped at conditions
Blue Ice
Appropriate short-term storage duration
1-2 weeks
Appropriate short-term storage conditions
+4°C
Appropriate long-term storage conditions
-20°C
Aliquoting information
Upon delivery aliquot
Storage information
Avoid freeze / thaw cycle

Supplementary information

This supplementary information is collated from multiple sources and compiled automatically.

Heparan Sulfate Proteoglycan 2 also known as Perlecan is a large multidomain proteoglycan with a mass of over 500 kDa. It contains heparan sulfate chains that contribute to its role in the extracellular matrix. Perlecan is expressed in various tissues including cartilage basement membranes and vascular tissues. It interacts with other matrix proteins providing structural integrity and influencing cell behavior.
Biological function summary

Perlecan plays a critical role in cell adhesion proliferation and growth factor signaling. It is an important component of basement membranes and forms a structural complex with other matrix proteins. Its interaction with heparan sulfate chains enables binding with various ligands such as growth factors and cytokines optimizing their availability and functionality at the cell surface. This interaction is essential in tissue maintenance and repair processes.

Pathways

Perlecan participates in the regulation of the Wnt and Hedgehog signaling pathways. These pathways influence key developmental processes and dictate cellular differentiation and migration. Perlecan and its heparan sulfate chains modulate protein interactions within these pathways notably affecting proteins such as Dsh and Ctnnb1 which are essential in signal transduction.

Perlecan involvement has been linked with tumorigenesis and cardiovascular diseases. Aberrations in its structure or expression can alter cellular microenvironments impacting key processes like angiogenesis and metastasis. Furthermore its interaction with growth factors can facilitate the progression of diseases like cancer highlighting its connection with proteins such as VEGF and TGF-beta which play major roles in disease modulation.

Product protocols

For this product, it's our understanding that no specific protocols are required. You can visit:

Target data

Integral component of basement membranes. Component of the glomerular basement membrane (GBM), responsible for the fixed negative electrostatic membrane charge, and which provides a barrier which is both size- and charge-selective. It serves as an attachment substrate for cells. Plays essential roles in vascularization. Critical for normal heart development and for regulating the vascular response to injury. Also required for avascular cartilage development.. Endorepellin. Anti-angiogenic and anti-tumor peptide that inhibits endothelial cell migration, collagen-induced endothelial tube morphogenesis and blood vessel growth in the chorioallantoic membrane. Blocks endothelial cell adhesion to fibronectin and type I collagen. Anti-tumor agent in neovascularization. Interaction with its ligand, integrin alpha2/beta1, is required for the anti-angiogenic properties. Evokes a reduction in phosphorylation of receptor tyrosine kinases via alpha2/beta1 integrin-mediated activation of the tyrosine phosphatase, PTPN6.. LG3 peptide. Has anti-angiogenic properties that require binding of calcium ions for full activity.
See full target information Basement membrane-specific heparan sulfate proteoglycan core protein

Product promise

We are committed to supporting your work with high-quality reagents, and we're here for you every step of the way. In the unlikely event that one of our products does not perform as expected, you're protected by our Product Promise.
For full details, please see our Terms & Conditions

Please note: All products are 'FOR RESEARCH USE ONLY. NOT FOR USE IN DIAGNOSTIC OR THERAPEUTIC PROCEDURES'.

For licensing inquiries, please contact partnerships@abcam.com