JavaScript is disabled in your browser. Please enable JavaScript to view this website.
AB254254

Anti-Heparanase 1 antibody [EPR22365-230]

Be the first to review this product! Submit a review

|

(5 Publications)

Rabbit Recombinant Monoclonal Heparanase 1 antibody. Suitable for WB and reacts with Human samples. Cited in 5 publications.

View Alternative Names

HEP, HPA, HPA1, HPR1, HPSE1, HSE1, HPSE, Heparanase, Endo-glucoronidase, Heparanase-1, Hpa1

3 Images
Western blot - Anti-Heparanase 1 antibody [EPR22365-230] (AB254254)
  • WB

Lab

Western blot - Anti-Heparanase 1 antibody [EPR22365-230] (AB254254)

Lanes 1-4 : Merged signal (red and green). Green - ab254254 observed at 52,65 kDa. Red - loading control ab8245 observed at 36 kDa.

ab254254 Anti-Heparanase 1 antibody [EPR22365-230] was shown to specifically react with Heparanase 1 in wild-type HeLa cells. Loss of signal was observed when knockout cell line ab265413 (knockout cell lysate ab258456) was used. Wild-type and Heparanase 1 knockout samples were subjected to SDS-PAGE. ab254254 and Anti-GAPDH antibody [6C5] - Loading Control (ab8245) were incubated overnight at 4°C at 1 in 1000 dilution and 1 in 20000 dilution respectively. Blots were developed with Goat anti-Rabbit IgG H&L (IRDye® 800CW) preadsorbed (ab216773) and Goat anti-Mouse IgG H&L (IRDye® 680RD) preadsorbed (ab216776) secondary antibodies at 1 in 20000 dilution for 1 hour at room temperature before imaging.

All lanes:

Western blot - Anti-Heparanase 1 antibody [EPR22365-230] (ab254254) at 1/1000 dilution

Lane 1:

Wild-type HeLa cell lysate at 20 µg

Lane 2:

HPSE knockout HeLa cell lysate at 20 µg

Lane 2:

Western blot - Human HPSE (Heparanase 1) knockout HeLa cell line (<a href='/en-us/products/cell-lines/human-hpse-heparanase-1-knockout-hela-cell-line-ab265413'>ab265413</a>)

Lane 3:

Capan-1 cell lysate at 20 µg

Lane 4:

Human pancreas tissue lysate at 20 µg

Secondary

All lanes:

Western blot - Goat anti-Rabbit IgG H&L (IRDye® 800CW) preadsorbed (<a href='/en-us/products/secondary-antibodies/goat-rabbit-igg-h-l-irdye-800cw-preadsorbed-ab216773'>ab216773</a>) at 1/10000 dilution

Predicted band size: 61 kDa

Observed band size: 52 kDa,65 kDa

false

Western blot - Anti-Heparanase 1 antibody [EPR22365-230] (AB254254)
  • WB

Unknown

Western blot - Anti-Heparanase 1 antibody [EPR22365-230] (AB254254)

Blocking and dilution buffer : 5% NFDM/TBST.

Exposure times.

Lane 1 : 3 minutes; Lanes 2 -4 : 78 seconds.

The expression profile/ molecular weight observed is consistent with what has been described in the literature (PMID : 16458254, 11406531).

Negative control : Human pancreas, MCF7 (PMID : 11406531, 10395325).

This blot was developed using a higher sensitivity ECL substrate.

All lanes:

Western blot - Anti-Heparanase 1 antibody [EPR22365-230] (ab254254) at 1/1000 dilution

Lane 1:

HeLa (human epithelial cell line from cervix adenocarcinoma) whole cell lysate at 20 µg

Lane 2:

Capan-1 (human pancreas adenocarcinoma epithelial cell line) whole cell lysate at 20 µg

Lane 3:

MCF7 (human breast adenocarcinoma cell line) whole cell lysate at 20 µg

Lane 4:

Human pancreas lysate at 20 µg

Secondary

All lanes:

Western blot - Goat Anti-Rabbit IgG H&L (HRP) (<a href='/en-us/products/secondary-antibodies/goat-rabbit-igg-h-l-hrp-ab97051'>ab97051</a>) at 1/100000 dilution

Predicted band size: 61 kDa

Observed band size: 50 kDa,65 kDa

false

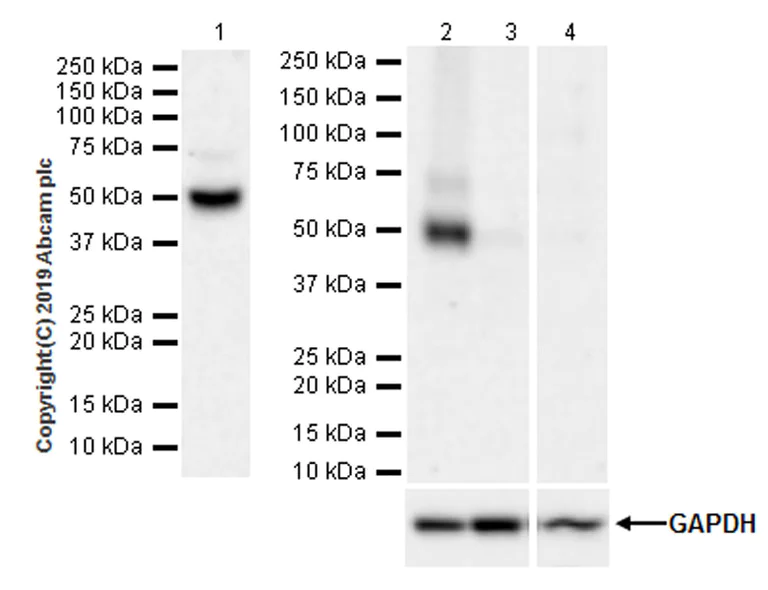
Western blot - Anti-Heparanase 1 antibody [EPR22365-230] (AB254254)
  • WB

Unknown

Western blot - Anti-Heparanase 1 antibody [EPR22365-230] (AB254254)

Blocking and dilution buffer : 5% NFDM/TBST.

This blot was developed using a higher sensitivity ECL substrate.

All lanes:

Western blot - Anti-Heparanase 1 antibody [EPR22365-230] (ab254254) at 1/1000 dilution

All lanes:

Recombinant human active heparinase 1 protein (aa36-109 & 158-543, expressed in CHo cells), 20 ng

Secondary

All lanes:

Western blot - Goat Anti-Rabbit IgG H&L (HRP) (<a href='/en-us/products/secondary-antibodies/goat-rabbit-igg-h-l-hrp-ab97051'>ab97051</a>) at 1/100000 dilution

Predicted band size: 61 kDa

true

Exposure time: 6s

  • Carrier free

    Anti-Heparanase 1 antibody [EPR22365-230] - BSA and Azide free

Key facts

Host species

Rabbit

Clonality

Monoclonal

Clone number

EPR22365-230

Isotype

IgG

Carrier free

No

Reacts with

Human

Applications

WB

applications

Immunogen

The exact immunogen used to generate this antibody is proprietary information.

Reactivity data

{ "title": "Reactivity Data", "filters": { "stats": ["", "Species", "Dilution Info", "Notes"], "tabs": { "all-applications": {"fullname" : "All Applications", "shortname": "All Applications"}, "IP" : {"fullname" : "Immunoprecipitation", "shortname":"IP"}, "WB" : {"fullname" : "Western blot", "shortname":"WB"}, "IHCP" : {"fullname" : "Immunohistochemistry (Formalin/PFA-fixed paraffin-embedded sections)", "shortname":"IHC-P"}, "ICCIF" : {"fullname" : "Immunocytochemistry/ Immunofluorescence", "shortname":"ICC/IF"} }, "product-promise": { "all": "all", "testedAndGuaranteed": "tested", "guaranteed": "expected", "predicted": "predicted", "notRecommended": "not-recommended" } }, "values": { "Human": { "IP-species-checked": "notRecommended", "IP-species-dilution-info": "", "IP-species-notes": "<p></p>", "WB-species-checked": "testedAndGuaranteed", "WB-species-dilution-info": "1/1000", "WB-species-notes": "<p></p>", "IHCP-species-checked": "notRecommended", "IHCP-species-dilution-info": "", "IHCP-species-notes": "<p></p>", "ICCIF-species-checked": "notRecommended", "ICCIF-species-dilution-info": "", "ICCIF-species-notes": "<p></p>" } } }

Product details

Patented technology
Our RabMAb® technology is a patented hybridoma-based technology for making rabbit monoclonal antibodies. For details on our patents, please refer to RabMAb® patents.

What are the advantages of a recombinant monoclonal antibody?
This product is a recombinant monoclonal antibody, which offers several advantages including:

  • - High batch-to-batch consistency and reproducibility
  • - Improved sensitivity and specificity
  • - Long-term security of supply
  • - Animal-free batch production

For more information, read more on recombinant antibodies.

Properties and storage information

Form
Liquid
Purification technique
Affinity purification Protein A
Storage buffer
pH: 7.2 - 7.4 Preservative: 0.01% Sodium azide Constituents: PBS, 40% Glycerol (glycerin, glycerine), 0.05% BSA
Shipped at conditions
Blue Ice
Appropriate short-term storage duration
1-2 weeks
Appropriate short-term storage conditions
+4°C
Appropriate long-term storage conditions
-20°C
Aliquoting information
Upon delivery aliquot
Storage information
Avoid freeze / thaw cycle

Supplementary information

This supplementary information is collated from multiple sources and compiled automatically.

Heparanase 1 also known as HPA1 or HPSE is an endo-β-D-glucuronidase enzyme with a molecular mass of approximately 50 kDa. It functions mechanically by cleaving heparan sulfate (HS) chains which are long sugar chains found on the extracellular matrix and cell surfaces. This cleavage activity remodels the matrix and influences cell behavior. Heparanase 1 is mainly expressed in the placenta lymphoid tissues and various tumor cells where it plays a role in matrix degradation and cell migration.
Biological function summary

When heparan sulfate is cleaved by Heparanase 1 it causes the release of HS-bound growth factors and cytokines making them available to cells. This enzymatic activity facilitates cell proliferation and angiogenesis affecting processes important for tissue repair and cancer progression. Heparanase 1 does not require a complex for its function but operates as a monomeric enzyme. Its activity is investigated using assays like heparanase activity assays or ELISA for measuring the enzyme's activity in different biological contexts including mouse models.

Pathways

The activity of Heparanase 1 intersects significantly with the regulation of angiogenesis and cell signaling pathways such as the VEGF and FGF pathways. These pathways are important for new blood vessel formation making them significant in both normal development and cancer. Heparanase 1 interacts with proteins such as VEGF which is important for blood vessel growth and integrins which are involved in cell-matrix interactions and signaling.

Heparanase 1 is associated with tumor metastasis and inflammation. Its ability to degrade the extracellular matrix enables cancer cell invasion and metastasis. The enzyme also plays a role in inflammatory diseases where it modulates the immune response. Through these disease pathways it relates to other proteins such as matrix metalloproteinases (MMPs) which also participate in matrix remodeling during tumor progression and inflammation.

Product protocols

For this product, it's our understanding that no specific protocols are required. You can visit:

Target data

Endoglycosidase that cleaves heparan sulfate proteoglycans (HSPGs) into heparan sulfate side chains and core proteoglycans. Participates in extracellular matrix (ECM) degradation and remodeling. Selectively cleaves the linkage between a glucuronic acid unit and an N-sulfo glucosamine unit carrying either a 3-O-sulfo or a 6-O-sulfo group. Can also cleave the linkage between a glucuronic acid unit and an N-sulfo glucosamine unit carrying a 2-O-sulfo group, but not linkages between a glucuronic acid unit and a 2-O-sulfated iduronic acid moiety. It is essentially inactive at neutral pH but becomes active under acidic conditions such as during tumor invasion and in inflammatory processes. Facilitates cell migration associated with metastasis, wound healing and inflammation. Enhances shedding of syndecans, and increases endothelial invasion and angiogenesis in myelomas. Acts as a procoagulant by increasing the generation of activation factor X in the presence of tissue factor and activation factor VII. Increases cell adhesion to the extracellular matrix (ECM), independent of its enzymatic activity. Induces AKT1/PKB phosphorylation via lipid rafts increasing cell mobility and invasion. Heparin increases this AKT1/PKB activation. Regulates osteogenesis. Enhances angiogenesis through up-regulation of SRC-mediated activation of VEGF. Implicated in hair follicle inner root sheath differentiation and hair homeostasis.
See full target information HPSE

Publications (5)

Recent publications for all applications. Explore the full list and refine your search

Frontiers in immunology 14:1168444 PubMed37153618

2023

Design and selection of optimal ErbB-targeting bispecific antibodies in pancreatic cancer.

Applications

Unspecified application

Species

Unspecified reactive species

Emilia Rabia,Véronique Garambois,Christine Dhommée,Christel Larbouret,Laurie Lajoie,Yoan Buscail,Gabriel Jimenez-Dominguez,Sylvie Choblet-Thery,Emmanuelle Liaudet-Coopman,Martine Cerutti,Marta Jarlier,Patrice Ravel,Laurent Gros,Nelly Pirot,Gilles Thibault,Eugene A Zhukovsky,Pierre-Emmanuel Gérard,André Pèlegrin,Jacques Colinge,Thierry Chardès

Nature communications 13:7630 PubMed36494335

2022

SARS-CoV-2 Spike triggers barrier dysfunction and vascular leak via integrins and TGF-β signaling.

Applications

Unspecified application

Species

Unspecified reactive species

Scott B Biering,Francielle Tramontini Gomes de Sousa,Laurentia V Tjang,Felix Pahmeier,Chi Zhu,Richard Ruan,Sophie F Blanc,Trishna S Patel,Caroline M Worthington,Dustin R Glasner,Bryan Castillo-Rojas,Venice Servellita,Nicholas T N Lo,Marcus P Wong,Colin M Warnes,Daniel R Sandoval,Thomas Mandel Clausen,Yale A Santos,Douglas M Fox,Victoria Ortega,Anders M Näär,Ralph S Baric,Sarah A Stanley,Hector C Aguilar,Jeffrey D Esko,Charles Y Chiu,John E Pak,P Robert Beatty,Eva Harris

Oncogenesis 11:58 PubMed36130926

2022

Heparanase modulates the prognosis and development of BRAF V600E-mutant colorectal cancer by regulating AKT/p27Kip1/Cyclin E2 pathway.

Applications

Unspecified application

Species

Unspecified reactive species

Mengling Liu,Xiaojing Xu,Ke Peng,Pengcong Hou,Yitao Yuan,Suyao Li,Xun Sun,Zhongyi Shi,Jiayu Zhang,Yu Dong,Qing Liu,Luoyan Ai,Li Liang,Lu Gan,Qihong Huang,Yiyi Yu,Tianshu Liu

bioRxiv : the preprint server for biology : PubMed34931188

2021

SARS-CoV-2 Spike triggers barrier dysfunction and vascular leak via integrins and TGF-β signaling.

Applications

Unspecified application

Species

Unspecified reactive species

Scott B Biering,Francielle Tramontini Gomes de Sousa,Laurentia V Tjang,Felix Pahmeier,Richard Ruan,Sophie F Blanc,Trishna S Patel,Caroline M Worthington,Dustin R Glasner,Bryan Castillo-Rojas,Venice Servellita,Nicholas T N Lo,Marcus P Wong,Colin M Warnes,Daniel R Sandoval,Thomas Mandel Clausen,Yale A Santos,Victoria Ortega,Hector C Aguilar,Jeffrey D Esko,Charles Y Chui,John E Pak,P Robert Beatty,Eva Harris

Bioengineered 12:11267-11276 PubMed34753397

2021

Insulin-like growth factor 2 mRNA binding protein 2 regulates proliferation, migration, and angiogenesis of keratinocytes by modulating heparanase stability.

Applications

Unspecified application

Species

Unspecified reactive species

Shaomin Zhi,Jun Li,Xiao Kong,Xuemei Xie,Qiangli Zhang,Guoxiang Fang
View all publications

Product promise

We are committed to supporting your work with high-quality reagents, and we're here for you every step of the way. In the unlikely event that one of our products does not perform as expected, you're protected by our Product Promise.
For full details, please see our Terms & Conditions

Please note: All products are 'FOR RESEARCH USE ONLY. NOT FOR USE IN DIAGNOSTIC OR THERAPEUTIC PROCEDURES'.

For licensing inquiries, please contact partnerships@abcam.com