JavaScript is disabled in your browser. Please enable JavaScript to view this website.
AB255285

Anti-Heparanase 1 antibody [EPR22365-230] - BSA and Azide free

Be the first to review this product! Submit a review

|

(1 Publication)

Rabbit Recombinant Monoclonal Heparanase 1 antibody. Carrier free. Suitable for WB and reacts with Human samples. Cited in 1 publication.

View Alternative Names

HEP, HPA, HPA1, HPR1, HPSE1, HSE1, HPSE, Heparanase, Endo-glucoronidase, Heparanase-1, Hpa1

3 Images
Western blot - Anti-Heparanase 1 antibody [EPR22365-230] - BSA and Azide free (AB255285)
  • WB

Supplier Data

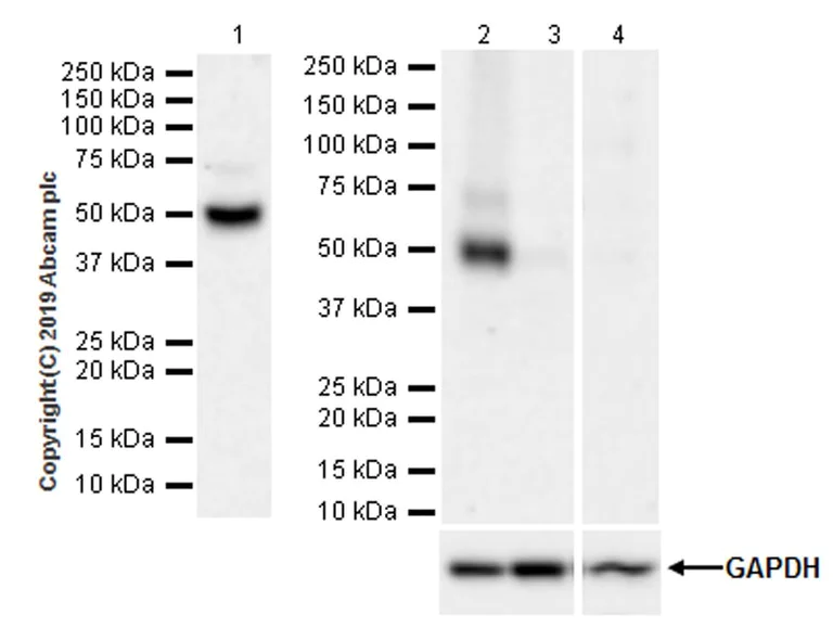
Western blot - Anti-Heparanase 1 antibody [EPR22365-230] - BSA and Azide free (AB255285)

Blocking and dilution buffer : 5% NFDM/TBST.

Exposure times.

Lane 1 : 3 minutes; Lanes 2 -4 : 78 seconds.

The expression profile/ molecular weight observed is consistent with what has been described in the literature (PMID : 16458254, 11406531).

Negative control : Human pancreas, MCF7 (PMID : 11406531, 10395325).

This blot was developed using a higher sensitivity ECL substrate.

This data was developed using the same antibody clone in a different buffer formulation containing PBS, BSA, glycerol, and sodium azide (ab254254).

All lanes:

Western blot - Anti-Heparanase 1 antibody [EPR22365-230] - BSA and Azide free (ab255285) at 1/1000 dilution

Lane 1:

HeLa (human epithelial cell line from cervix adenocarcinoma) whole cell lysate at 20 µg

Lane 2:

Capan-1 (human pancreas adenocarcinoma epithelial cell line) whole cell lysate at 20 µg

Lane 3:

MCF7 (human breast adenocarcinoma cell line) whole cell lysate at 20 µg

Lane 4:

Human pancreas lysate at 20 µg

Secondary

All lanes:

Western blot - Goat Anti-Rabbit IgG H&L (HRP) (<a href='/en-us/products/secondary-antibodies/goat-rabbit-igg-h-l-hrp-ab97051'>ab97051</a>) at 1/100000 dilution

Predicted band size: 61 kDa

Observed band size: 50 kDa,65 kDa

false

Western blot - Anti-Heparanase 1 antibody [EPR22365-230] - BSA and Azide free (AB255285)
  • WB

Lab

Western blot - Anti-Heparanase 1 antibody [EPR22365-230] - BSA and Azide free (AB255285)

This data was developed using ab254254, the same antibody clone in a different buffer formulation.

Lanes 1-4 : Merged signal (red and green). Green - ab254254 observed at 52,65 kDa. Red - loading control ab8245 observed at 36 kDa.

ab254254 Anti-Heparanase 1 antibody [EPR22365-230] was shown to specifically react with Heparanase 1 in wild-type HeLa cells. Loss of signal was observed when knockout cell line ab265413 (knockout cell lysate ab258456) was used. Wild-type and Heparanase 1 knockout samples were subjected to SDS-PAGE. ab254254 and Anti-GAPDH antibody [6C5] - Loading Control (ab8245) were incubated overnight at 4°C at 1 in 1000 dilution and 1 in 20000 dilution respectively. Blots were developed with Goat anti-Rabbit IgG H&L (IRDye® 800CW) preadsorbed (ab216773) and Goat anti-Mouse IgG H&L (IRDye® 680RD) preadsorbed (ab216776) secondary antibodies at 1 in 20000 dilution for 1 hour at room temperature before imaging.

All lanes:

Western blot - Anti-Heparanase 1 antibody [EPR22365-230] (<a href='/en-us/products/primary-antibodies/heparanase-1-antibody-epr22365-230-ab254254'>ab254254</a>) at 1/1000 dilution

Lane 1:

Wild-type HeLa cell lysate at 20 µg

Lane 2:

HPSE knockout HeLa cell lysate at 20 µg

Lane 2:

Western blot - Human HPSE (Heparanase 1) knockout HeLa cell line (<a href='/en-us/products/cell-lines/human-hpse-heparanase-1-knockout-hela-cell-line-ab265413'>ab265413</a>)

Lane 3:

Capan-1 cell lysate at 20 µg

Lane 4:

Human pancreas tissue lysate at 20 µg

Secondary

All lanes:

Western blot - Goat anti-Rabbit IgG H&L (IRDye® 800CW) preadsorbed (<a href='/en-us/products/secondary-antibodies/goat-rabbit-igg-h-l-irdye-800cw-preadsorbed-ab216773'>ab216773</a>) at 1/10000 dilution

Predicted band size: 61 kDa

Observed band size: 52 kDa,65 kDa

false

Western blot - Anti-Heparanase 1 antibody [EPR22365-230] - BSA and Azide free (AB255285)
  • WB

Supplier Data

Western blot - Anti-Heparanase 1 antibody [EPR22365-230] - BSA and Azide free (AB255285)

Blocking and dilution buffer : 5% NFDM/TBST.

This blot was developed using a higher sensitivity ECL substrate.

All lanes:

Western blot - Anti-Heparanase 1 antibody [EPR22365-230] - BSA and Azide free (ab255285) at 1/1000 dilution

All lanes:

Recombinant human active heparinase 1 protein (aa36-109 & 158-543, expressed in CHo cells), 20 ng

Secondary

All lanes:

Western blot - Goat Anti-Rabbit IgG H&L (HRP) (<a href='/en-us/products/secondary-antibodies/goat-rabbit-igg-h-l-hrp-ab97051'>ab97051</a>) at 1/100000 dilution

Predicted band size: 61 kDa

false

Key facts

Host species

Rabbit

Clonality

Monoclonal

Clone number

EPR22365-230

Isotype

IgG

Carrier free

Yes

Reacts with

Human

Applications

WB

applications

Immunogen

The exact immunogen used to generate this antibody is proprietary information.

Reactivity data

{ "title": "Reactivity Data", "filters": { "stats": ["", "Species", "Dilution Info", "Notes"], "tabs": { "all-applications": {"fullname" : "All Applications", "shortname": "All Applications"}, "IP" : {"fullname" : "Immunoprecipitation", "shortname":"IP"}, "WB" : {"fullname" : "Western blot", "shortname":"WB"}, "IHCP" : {"fullname" : "Immunohistochemistry (Formalin/PFA-fixed paraffin-embedded sections)", "shortname":"IHC-P"}, "ICCIF" : {"fullname" : "Immunocytochemistry/ Immunofluorescence", "shortname":"ICC/IF"} }, "product-promise": { "all": "all", "testedAndGuaranteed": "tested", "guaranteed": "expected", "predicted": "predicted", "notRecommended": "not-recommended" } }, "values": { "Human": { "IP-species-checked": "notRecommended", "IP-species-dilution-info": "", "IP-species-notes": "<p></p>", "WB-species-checked": "testedAndGuaranteed", "WB-species-dilution-info": "", "WB-species-notes": "<p></p>", "IHCP-species-checked": "notRecommended", "IHCP-species-dilution-info": "", "IHCP-species-notes": "<p></p>", "ICCIF-species-checked": "notRecommended", "ICCIF-species-dilution-info": "", "ICCIF-species-notes": "<p></p>" } } }

Product details

ab255285 is the carrier-free version of ab254254.

Patented technology
Our RabMAb® technology is a patented hybridoma-based technology for making rabbit monoclonal antibodies. For details on our patents, please refer to RabMAb® patents.

What are the advantages of a recombinant monoclonal antibody?
This product is a recombinant monoclonal antibody, which offers several advantages including:

  • - High batch-to-batch consistency and reproducibility
  • - Improved sensitivity and specificity
  • - Long-term security of supply
  • - Animal-free batch production

For more information, read more on recombinant antibodies.

Conjugation ready
Our carrier-free antibodies are typically supplied in a PBS-only formulation, purified and free of BSA, sodium azide and glycerol. This conjugation-ready format is designed for use with fluorochromes, metal isotopes, oligonucleotides, and enzymes, which makes them ideal for antibody labelling, functional and cell-based assays, flow-based assays (e.g. mass cytometry) and Multiplex Imaging applications.

Use our conjugation kits for antibody conjugates that are ready-to-use in as little as 20 minutes with 1 minute hands-on-time and 100% antibody recovery: available for fluorescent dyes, HRP, biotin and gold.

Compatibility
This product is compatible with the Maxpar® Antibody Labeling Kit from Fluidigm, without the need for antibody preparation. Maxpar® is a trademark of Fluidigm Canada Inc.

Properties and storage information

Form
Liquid
Purification technique
Affinity purification Protein A
Storage buffer
pH: 7.2 - 7.4 Constituents: PBS
Shipped at conditions
Blue Ice
Appropriate short-term storage conditions
+4°C
Appropriate long-term storage conditions
+4°C
Storage information
Do Not Freeze

Supplementary information

This supplementary information is collated from multiple sources and compiled automatically.

Heparanase 1 also known as HPA1 or HPSE is an endo-β-D-glucuronidase enzyme with a molecular mass of approximately 50 kDa. It functions mechanically by cleaving heparan sulfate (HS) chains which are long sugar chains found on the extracellular matrix and cell surfaces. This cleavage activity remodels the matrix and influences cell behavior. Heparanase 1 is mainly expressed in the placenta lymphoid tissues and various tumor cells where it plays a role in matrix degradation and cell migration.
Biological function summary

When heparan sulfate is cleaved by Heparanase 1 it causes the release of HS-bound growth factors and cytokines making them available to cells. This enzymatic activity facilitates cell proliferation and angiogenesis affecting processes important for tissue repair and cancer progression. Heparanase 1 does not require a complex for its function but operates as a monomeric enzyme. Its activity is investigated using assays like heparanase activity assays or ELISA for measuring the enzyme's activity in different biological contexts including mouse models.

Pathways

The activity of Heparanase 1 intersects significantly with the regulation of angiogenesis and cell signaling pathways such as the VEGF and FGF pathways. These pathways are important for new blood vessel formation making them significant in both normal development and cancer. Heparanase 1 interacts with proteins such as VEGF which is important for blood vessel growth and integrins which are involved in cell-matrix interactions and signaling.

Heparanase 1 is associated with tumor metastasis and inflammation. Its ability to degrade the extracellular matrix enables cancer cell invasion and metastasis. The enzyme also plays a role in inflammatory diseases where it modulates the immune response. Through these disease pathways it relates to other proteins such as matrix metalloproteinases (MMPs) which also participate in matrix remodeling during tumor progression and inflammation.

Product protocols

For this product, it's our understanding that no specific protocols are required. You can visit:

Target data

Endoglycosidase that cleaves heparan sulfate proteoglycans (HSPGs) into heparan sulfate side chains and core proteoglycans. Participates in extracellular matrix (ECM) degradation and remodeling. Selectively cleaves the linkage between a glucuronic acid unit and an N-sulfo glucosamine unit carrying either a 3-O-sulfo or a 6-O-sulfo group. Can also cleave the linkage between a glucuronic acid unit and an N-sulfo glucosamine unit carrying a 2-O-sulfo group, but not linkages between a glucuronic acid unit and a 2-O-sulfated iduronic acid moiety. It is essentially inactive at neutral pH but becomes active under acidic conditions such as during tumor invasion and in inflammatory processes. Facilitates cell migration associated with metastasis, wound healing and inflammation. Enhances shedding of syndecans, and increases endothelial invasion and angiogenesis in myelomas. Acts as a procoagulant by increasing the generation of activation factor X in the presence of tissue factor and activation factor VII. Increases cell adhesion to the extracellular matrix (ECM), independent of its enzymatic activity. Induces AKT1/PKB phosphorylation via lipid rafts increasing cell mobility and invasion. Heparin increases this AKT1/PKB activation. Regulates osteogenesis. Enhances angiogenesis through up-regulation of SRC-mediated activation of VEGF. Implicated in hair follicle inner root sheath differentiation and hair homeostasis.
See full target information HPSE

Publications (1)

Recent publications for all applications. Explore the full list and refine your search

Communications biology 8:514 PubMed40155473

2025

Defining gastric cancer ecology: the crucial roles of TREM2 macrophages and fibroblasts in tumor microenvironments.

Applications

Unspecified application

Species

Unspecified reactive species

Qianqian Cao,Dianshui Sun,Can Tu,Jihua Wang,Runjia Fu,Rumei Gong,Yueying Xiao,Qin Liu,Xiaomei Li
View all publications

Product promise

We are committed to supporting your work with high-quality reagents, and we're here for you every step of the way. In the unlikely event that one of our products does not perform as expected, you're protected by our Product Promise.
For full details, please see our Terms & Conditions

Please note: All products are 'FOR RESEARCH USE ONLY. NOT FOR USE IN DIAGNOSTIC OR THERAPEUTIC PROCEDURES'.

For licensing inquiries, please contact partnerships@abcam.com