JavaScript is disabled in your browser. Please enable JavaScript to view this website.
AB288447

Anti-Heparanase 1 antibody [EPR25303-58] - BSA and Azide free

Be the first to review this product! Submit a review

|

(0 Publication)

Rabbit Recombinant Monoclonal Heparanase 1 antibody. Carrier free. Suitable for IP, WB, IHC-P and reacts with Mouse, Human, Rat samples.

View Alternative Names

HEP, HPA, HPA1, HPR1, HPSE1, HSE1, HPSE, Heparanase, Endo-glucoronidase, Heparanase-1, Hpa1

14 Images
Immunohistochemistry (Formalin/PFA-fixed paraffin-embedded sections) - Anti-Heparanase 1 antibody [EPR25303-58] - BSA and Azide free (AB288447)
  • IHC-P

Supplier Data

Immunohistochemistry (Formalin/PFA-fixed paraffin-embedded sections) - Anti-Heparanase 1 antibody [EPR25303-58] - BSA and Azide free (AB288447)

This data was developed using ab288438, the same antibody clone in a different buffer formulation.

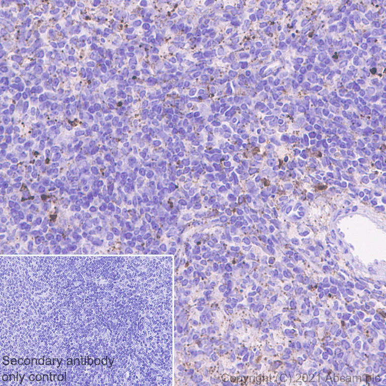
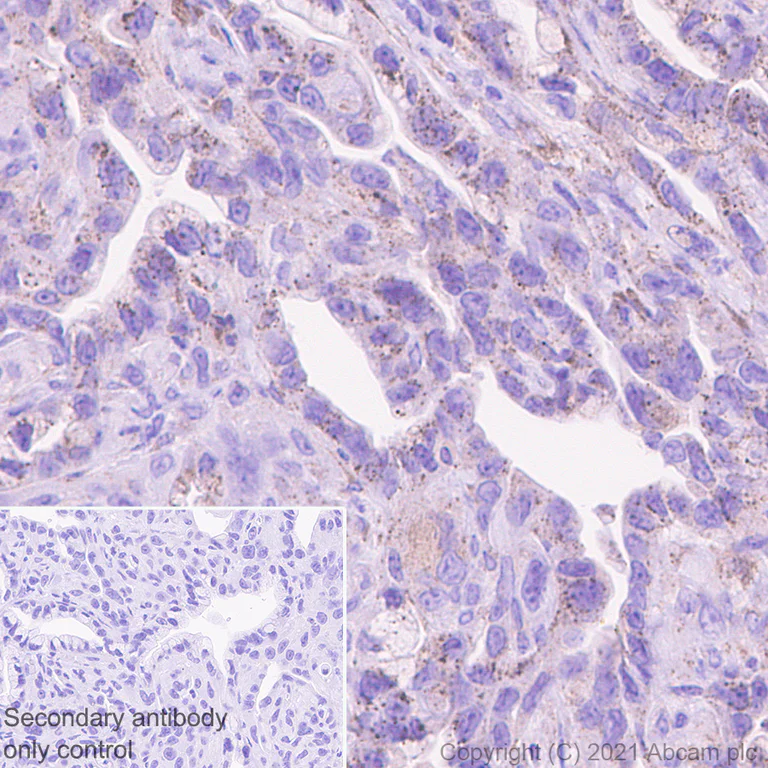
Immunohistochemical analysis of paraffin-embedded Human spleen tissue labelling Heparanase 1 with ab288438 at 1/200 (2.07 ug/ml) followed by a ready to use Goat Anti-Rabbit IgG H&L (HRP polymer). Positive staining on human spleen. The section was incubated with ab288438 at 4°C overnight. Counterstained with Hematoxylin.

Secondary antibody only control : Secondary antibody is a ready to use Goat Anti-Rabbit IgG H&L (HRP polymer).

Heat mediated antigen retrieval using ab93684 (Tris/EDTA buffer, pH 9.0)

Immunohistochemistry (Formalin/PFA-fixed paraffin-embedded sections) - Anti-Heparanase 1 antibody [EPR25303-58] - BSA and Azide free (AB288447)
  • IHC-P

Supplier Data

Immunohistochemistry (Formalin/PFA-fixed paraffin-embedded sections) - Anti-Heparanase 1 antibody [EPR25303-58] - BSA and Azide free (AB288447)

This data was developed using ab288438, the same antibody clone in a different buffer formulation.

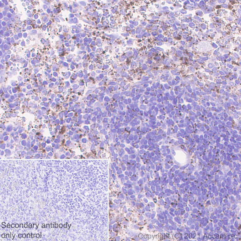
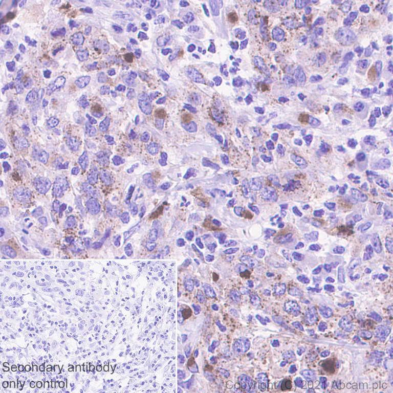
Immunohistochemical analysis of paraffin-embedded Human cervical carcinoma tissue labelling Heparanase 1 with ab288438 at 1/200 (2.07 ug/ml) followed by a ready to use Goat Anti-Rabbit IgG H&L (HRP polymer). Positive staining on human cervical carcinoma. The section was incubated with ab288438 at 4°C overnight. Counterstained with Hematoxylin.

Secondary antibody only control : Secondary antibody is a ready to use Goat Anti-Rabbit IgG H&L (HRP polymer).

Heat mediated antigen retrieval using ab93684 (Tris/EDTA buffer, pH 9.0)

Immunohistochemistry (Formalin/PFA-fixed paraffin-embedded sections) - Anti-Heparanase 1 antibody [EPR25303-58] - BSA and Azide free (AB288447)
  • IHC-P

Supplier Data

Immunohistochemistry (Formalin/PFA-fixed paraffin-embedded sections) - Anti-Heparanase 1 antibody [EPR25303-58] - BSA and Azide free (AB288447)

This data was developed using ab288438, the same antibody clone in a different buffer formulation.

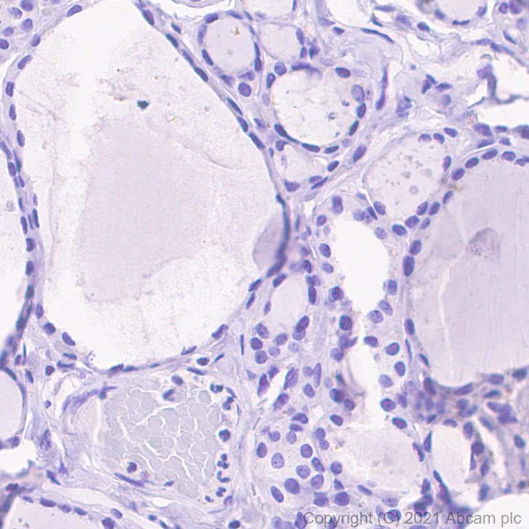
Immunohistochemical analysis of paraffin-embedded Human thyroid tissue labelling Heparanase 1 with ab288438 at 1/200 (2.07 ug/ml) followed by a ready to use Goat Anti-Rabbit IgG H&L (HRP polymer). Negative control : no staining on human thyroid. The section was incubated with ab288438 at 4°C overnight. Counterstained with Hematoxylin.

Secondary antibody only control : Secondary antibody is a ready to use Goat Anti-Rabbit IgG H&L (HRP polymer).

Heat mediated antigen retrieval using ab93684 (Tris/EDTA buffer, pH 9.0)

Immunoprecipitation - Anti-Heparanase 1 antibody [EPR25303-58] - BSA and Azide free (AB288447)
  • IP

Supplier Data

Immunoprecipitation - Anti-Heparanase 1 antibody [EPR25303-58] - BSA and Azide free (AB288447)

This data was developed using ab288438, the same antibody clone in a different buffer formulation.Heparanase 1 was immunoprecipitated from 0.35 mg Capan-1 (human pancreas adenocarcinoma epithelial cell) whole cell lysate 10 ug with ab288438 at 1/30 dilution (2ug in 0.35mg lysates). Western blot was performed on the immunoprecipitate using ab288438 at 1/1000 dilution. VeriBlot for IP secondary antibody(HRP)(ab131366) was used at 1/5000 dilution.

Lane 1 : Capan-1 (human pancreas adenocarcinoma epithelial cell) whole cell lysate 10 ug

Lane 2 : ab288438 IP in Capan-1 whole cell lysate

Lane 3 : Rabbit monoclonal IgG (ab172730) instead of ab288438 in Capan-1 whole cell lysate

Blocking and dilution buffer and concentration : 5% NFDM/TBST.

Exposure time : 3 minutes

All lanes:

Immunoprecipitation - Anti-Heparanase 1 antibody [EPR25303-58] (<a href='/en-us/products/primary-antibodies/heparanase-1-antibody-epr25303-58-ab288438'>ab288438</a>)

Predicted band size: 61 kDa

false

Immunohistochemistry (Formalin/PFA-fixed paraffin-embedded sections) - Anti-Heparanase 1 antibody [EPR25303-58] - BSA and Azide free (AB288447)
  • IHC-P

Supplier Data

Immunohistochemistry (Formalin/PFA-fixed paraffin-embedded sections) - Anti-Heparanase 1 antibody [EPR25303-58] - BSA and Azide free (AB288447)

This data was developed using ab288438, the same antibody clone in a different buffer formulation.

Immunohistochemical analysis of paraffin-embedded Mouse spleen tissue labelling Heparanase 1 with ab288438 at 1/200 (2.07 ug/ml) followed by a ready to use Goat Anti-Rabbit IgG H&L (HRP polymer). Positive staining on mouse spleen. The section was incubated with ab288438 at 4°C overnight. Counterstained with Hematoxylin.

Secondary antibody only control : Secondary antibody is a ready to use Goat Anti-Rabbit IgG H&L (HRP polymer).

Heat mediated antigen retrieval using ab93684 (Tris/EDTA buffer, pH 9.0)

Immunohistochemistry (Formalin/PFA-fixed paraffin-embedded sections) - Anti-Heparanase 1 antibody [EPR25303-58] - BSA and Azide free (AB288447)
  • IHC-P

Supplier Data

Immunohistochemistry (Formalin/PFA-fixed paraffin-embedded sections) - Anti-Heparanase 1 antibody [EPR25303-58] - BSA and Azide free (AB288447)

This data was developed using ab288438, the same antibody clone in a different buffer formulation.

Immunohistochemical analysis of paraffin-embedded Rat spleen tissue labelling Heparanase 1 with ab288438 at 1/200 (2.07 ug/ml) followed by a ready to use Goat Anti-Rabbit IgG H&L (HRP polymer). Positive staining on rat spleen. The section was incubated with ab288438 at 4°C overnight. Counterstained with Hematoxylin.

Secondary antibody only control : Secondary antibody is a ready to use Goat Anti-Rabbit IgG H&L (HRP polymer).

Heat mediated antigen retrieval using ab93684 (Tris/EDTA buffer, pH 9.0)

Immunohistochemistry (Formalin/PFA-fixed paraffin-embedded sections) - Anti-Heparanase 1 antibody [EPR25303-58] - BSA and Azide free (AB288447)
  • IHC-P

Supplier Data

Immunohistochemistry (Formalin/PFA-fixed paraffin-embedded sections) - Anti-Heparanase 1 antibody [EPR25303-58] - BSA and Azide free (AB288447)

This data was developed using ab288438, the same antibody clone in a different buffer formulation.

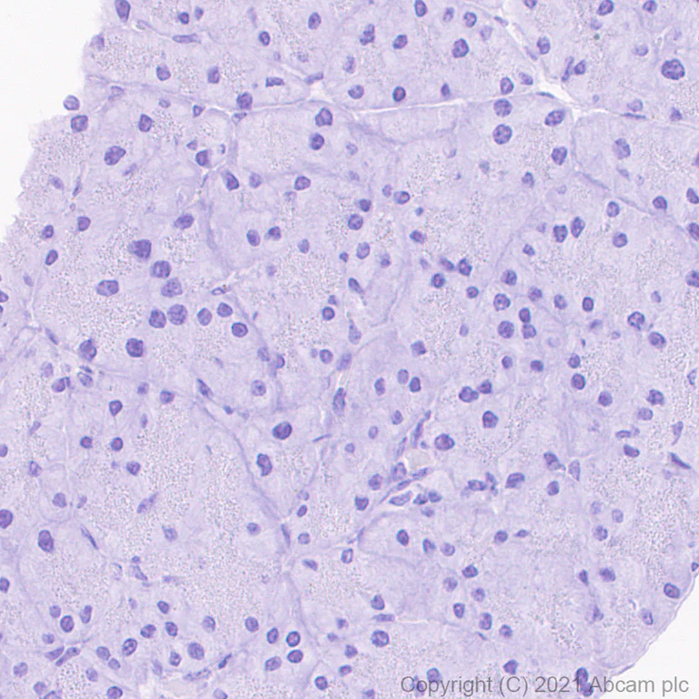
Immunohistochemical analysis of paraffin-embedded Mouse pancreas tissue labelling Heparanase 1 with ab288438 at 1/200 (2.07 ug/ml) followed by a ready to use Goat Anti-Rabbit IgG H&L (HRP polymer). Negative control : no staining on mouse pancreas. The section was incubated with ab288438 at 4°C overnight. Counterstained with Hematoxylin.

Secondary antibody only control : Secondary antibody is a ready to use Goat Anti-Rabbit IgG H&L (HRP polymer).

Heat mediated antigen retrieval using ab93684 (Tris/EDTA buffer, pH 9.0)

Immunohistochemistry (Formalin/PFA-fixed paraffin-embedded sections) - Anti-Heparanase 1 antibody [EPR25303-58] - BSA and Azide free (AB288447)
  • IHC-P

Supplier Data

Immunohistochemistry (Formalin/PFA-fixed paraffin-embedded sections) - Anti-Heparanase 1 antibody [EPR25303-58] - BSA and Azide free (AB288447)

This data was developed using ab288438, the same antibody clone in a different buffer formulation.

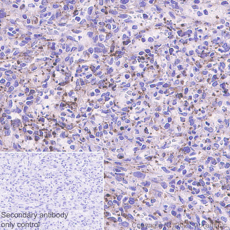
Immunohistochemical analysis of paraffin-embedded Mouse pancreatic carcinoma tissue labelling Heparanase 1 with ab288438 at 1/200 (2.07 ug/ml) followed by a ready to use Goat Anti-Rabbit IgG H&L (HRP polymer). Positive staining on mouse pancreatic carcinoma. The section was incubated with ab288438 at 4°C overnight. Counterstained with Hematoxylin.

Secondary antibody only control : Secondary antibody is a ready to use Goat Anti-Rabbit IgG H&L (HRP polymer).

Heat mediated antigen retrieval using ab93684 (Tris/EDTA buffer, pH 9.0)

Immunoprecipitation - Anti-Heparanase 1 antibody [EPR25303-58] - BSA and Azide free (AB288447)
  • IP

Supplier Data

Immunoprecipitation - Anti-Heparanase 1 antibody [EPR25303-58] - BSA and Azide free (AB288447)

This data was developed using ab288438, the same antibody clone in a different buffer formulation.Heparanase 1 was immunoprecipitated from 0.35 mg B16-F10 (Mouse skin melanoma) whole cell lysate 10 ug with ab288438 at 1/30 dilution (2ug in 0.35mg lysates). Western blot was performed on the immunoprecipitate using ab288438 at 1/1000 dilution. VeriBlot for IP secondary antibody(HRP)(ab131366) was used at 1/5000 dilution.

Lane 1 : B16-F10 (Mouse skin melanoma) whole cell lysate 10 ug

Lane 2 : ab288438 IP in B16-F10 whole cell lysate

Lane 3 : Rabbit monoclonal IgG (ab172730) instead of ab288438 in B16-F10 whole cell lysate

Blocking and dilution buffer and concentration : 5% NFDM/TBST.

Exposure time : 3 minutes

All lanes:

Immunoprecipitation - Anti-Heparanase 1 antibody [EPR25303-58] (<a href='/en-us/products/primary-antibodies/heparanase-1-antibody-epr25303-58-ab288438'>ab288438</a>)

Predicted band size: 61 kDa

false

Western blot - Anti-Heparanase 1 antibody [EPR25303-58] - BSA and Azide free (AB288447)
  • WB

Lab

Western blot - Anti-Heparanase 1 antibody [EPR25303-58] - BSA and Azide free (AB288447)

This data was developed using ab288438, the same antibody clone in a different buffer formulation.

Blocking and diluting buffer and concentration : Intercept® (TBS) Blocking Buffer diluted with an equal volume of 0.1% TBST

Performed under reducing conditions.

Lysates at 20μg per lane.

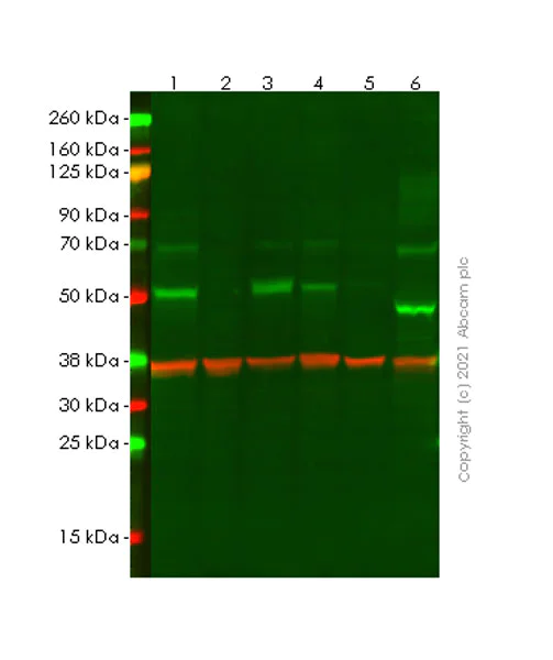
False colour image of Western blot : Anti-Heparanase 1 antibody [EPR25303-58] (ab288438) staining at 1/1000 dilution, shown in green; Mouse anti-GAPDH antibody [6C5] (ab8245) loading control staining at 1/20000 dilution, shown in red.
In Western blot, ab288438 was shown to bind specifically to Heparanase 1. Two bands were observed at 50 and 65kDa in wild-type HeLa cell lysates with no signal observed at this size in Heparanase 1 knockout cell line ab265413 (knockout cell lysate ab258456). To generate this image, wild-type and Heparanase 1 knockout HeLa cell lysates were analysed. First, samples were run on an SDS-PAGE gel then transferred onto an immobilon-FL PVDF membrane. Membranes were blocked in Intercept® (TBS) Blocking Buffer diluted with an equal volume of 0.1% TBS before incubation with primary antibodies overnight at 4 °C. Blots were washed four times in TBS-T, incubated with secondary antibodies for 1 h at room temperature, washed again four times then imaged. Secondary antibodies used were Goat anti-Rabbit IgG H&L (IRDye® 800CW) preabsorbed (ab216773) and Goat anti-Mouse IgG H&L (IRDye® 680RD) preabsorbed (ab216776) at 1/10000 dilution.
Negative control : MCF7(PMID : 10395325).

All lanes:

Western blot - Anti-Heparanase 1 antibody [EPR25303-58] (<a href='/en-us/products/primary-antibodies/heparanase-1-antibody-epr25303-58-ab288438'>ab288438</a>) at 1/1000 dilution

Lane 1:

Wild-type HeLa (human cervix adenocarcinoma epithelial cell) cell lysate at 20 µg

Lane 2:

HPSE knockout HeLa (human cervix adenocarcinoma epithelial cell) cell lysate at 20 µg

Lane 3:

Capan-1 (human pancreas adenocarcinoma epithelial cell) cell lysate at 20 µg

Lane 4:

HeLa (human cervix adenocarcinoma epithelial cell) cell lysate at 20 µg

Lane 5:

MCF7 (human breast adenocarcinoma epithelial cell) cell lysate at 20 µg

Lane 6:

B16-F10 (Mouse melanoma mixture of spindle-shaped and epithelial-like cells) cell lysate at 20 µg

Secondary

All lanes:

Goat Anti-Rabbit IgG H&L (IRDye® 800CW) (<a href='/en-us/products/secondary-antibodies/goat-rabbit-igg-h-l-irdye-800cw-preadsorbed-ab216773'>ab216773</a>) and Goat Anti-Mouse IgG H&L (IRDye® 680RD) (<a href='/en-us/products/secondary-antibodies/goat-mouse-igg-h-l-irdye-680rd-preadsorbed-ab216776'>ab216776</a>) at 1/10000 dilution

Predicted band size: 61 kDa

Observed band size: 42 kDa,50 kDa,65 kDa

false

Western blot - Anti-Heparanase 1 antibody [EPR25303-58] - BSA and Azide free (AB288447)
  • WB

Lab

Western blot - Anti-Heparanase 1 antibody [EPR25303-58] - BSA and Azide free (AB288447)

This data was developed using ab288438, the same antibody clone in a different buffer formulation. Blocking and diluting buffer and concentration : 5% NFDM/TBST Heparanase 1 is a glycosylated protein and can be deglycosylated by Protein Deglycosylation MIX II. Exposure time : 3 minutes Bands : 50, 65, 42 kDa

All lanes:

Western blot - Anti-Heparanase 1 antibody [EPR25303-58] (<a href='/en-us/products/primary-antibodies/heparanase-1-antibody-epr25303-58-ab288438'>ab288438</a>) at 1/1000 dilution

Lane 1:

Untreated Capan-1 (human pancreas adenocarcinoma epithelial cell) whole cell lysate at 15 µg

Lane 2:

Capan-1 whole cell lysate treated with Protein Deglycosylation MIX II at 15 µg

Secondary

All lanes:

Goat Anti-Rabbit IgG, (H+L), Peroxidase conjugated (<a href='/en-us/products/secondary-antibodies/goat-rabbit-igg-h-l-hrp-ab97051'>ab97051</a>) at 1/20000 dilution

Predicted band size: 61 kDa

false

Western blot - Anti-Heparanase 1 antibody [EPR25303-58] - BSA and Azide free (AB288447)
  • WB

Lab

Western blot - Anti-Heparanase 1 antibody [EPR25303-58] - BSA and Azide free (AB288447)

This data was developed using ab288438, the same antibody clone in a different buffer formulation.

Blocking and diluting buffer and concentration : The expression profile/ molecular weight observed is consistent with what has been described in the literature (PMID : 10405343, 10395326)

3 minutes

Exposure time :

All lanes:

Western blot - Anti-Heparanase 1 antibody [EPR25303-58] (<a href='/en-us/products/primary-antibodies/heparanase-1-antibody-epr25303-58-ab288438'>ab288438</a>) at 1/1000 dilution

All lanes:

Human spleen tissue lysate at 20 µg

Secondary

All lanes:

VeriBlot for IP secondary antibody(HRP)(<a href='/en-us/products/reagents/veriblot-for-ip-detection-reagent-hrp-ab131366'>ab131366</a>) at 1/1000 dilution

Predicted band size: 61 kDa

false

Western blot - Anti-Heparanase 1 antibody [EPR25303-58] - BSA and Azide free (AB288447)
  • WB

Lab

Western blot - Anti-Heparanase 1 antibody [EPR25303-58] - BSA and Azide free (AB288447)

This data was developed using ab288438, the same antibody clone in a different buffer formulation.

Blocking and diluting buffer and concentration :

Exposure time : 3 minutes

All lanes:

Western blot - Anti-Heparanase 1 antibody [EPR25303-58] (<a href='/en-us/products/primary-antibodies/heparanase-1-antibody-epr25303-58-ab288438'>ab288438</a>) at 1/1000 dilution

All lanes:

Rat spleen tissue lysate at 20 µg

Secondary

All lanes:

Goat Anti-Rabbit IgG, (H+L), Peroxidase conjugated (<a href='/en-us/products/secondary-antibodies/goat-rabbit-igg-h-l-hrp-ab97051'>ab97051</a>) at 1/20000 dilution

Predicted band size: 61 kDa

false

Western blot - Anti-Heparanase 1 antibody [EPR25303-58] - BSA and Azide free (AB288447)
  • WB

Lab

Western blot - Anti-Heparanase 1 antibody [EPR25303-58] - BSA and Azide free (AB288447)

This data was developed using ab288438, the same antibody clone in a different buffer formulation.

Blocking and diluting buffer and concentration : 5% NFDM/TBST Heparanase 1 is a glycosylated protein and can be deglycosylated by Protein Deglycosylation MIX II.

Exposure time : 3 minutes

Bands : 50, 65, 42 kDa

All lanes:

Western blot - Anti-Heparanase 1 antibody [EPR25303-58] (<a href='/en-us/products/primary-antibodies/heparanase-1-antibody-epr25303-58-ab288438'>ab288438</a>) at 1/1000 dilution

Lane 1:

Mouse spleen tissue lysate at 20 µg

Lane 2:

Mouse pancreas tissue lysate at 20 µg

Secondary

All lanes:

Goat Anti-Rabbit IgG, (H+L), Peroxidase conjugated (<a href='/en-us/products/secondary-antibodies/goat-rabbit-igg-h-l-hrp-ab97051'>ab97051</a>) at 1/20000 dilution

Predicted band size: 61 kDa

false

Key facts

Host species

Rabbit

Clonality

Monoclonal

Clone number

EPR25303-58

Isotype

IgG

Carrier free

Yes

Reacts with

Mouse, Human, Rat

Applications

WB, IP, IHC-P

applications

Immunogen

The exact immunogen used to generate this antibody is proprietary information.

Reactivity data

{ "title": "Reactivity Data", "filters": { "stats": ["", "Species", "Dilution Info", "Notes"], "tabs": { "all-applications": {"fullname" : "All Applications", "shortname": "All Applications"}, "ICCIF" : {"fullname" : "Immunocytochemistry/ Immunofluorescence", "shortname":"ICC/IF"}, "IP" : {"fullname" : "Immunoprecipitation", "shortname":"IP"}, "WB" : {"fullname" : "Western blot", "shortname":"WB"}, "IHCP" : {"fullname" : "Immunohistochemistry (Formalin/PFA-fixed paraffin-embedded sections)", "shortname":"IHC-P"}, "FlowCytIntra" : {"fullname" : "Flow Cytometry (Intracellular)", "shortname":"Flow Cyt (Intra)"} }, "product-promise": { "all": "all", "testedAndGuaranteed": "tested", "guaranteed": "expected", "predicted": "predicted", "notRecommended": "not-recommended" } }, "values": { "Human": { "ICCIF-species-checked": "notRecommended", "ICCIF-species-dilution-info": "", "ICCIF-species-notes": "<p></p>", "IP-species-checked": "testedAndGuaranteed", "IP-species-dilution-info": "", "IP-species-notes": "<p></p>", "WB-species-checked": "testedAndGuaranteed", "WB-species-dilution-info": "", "WB-species-notes": "<p></p>", "IHCP-species-checked": "testedAndGuaranteed", "IHCP-species-dilution-info": "", "IHCP-species-notes": "<p></p>", "FlowCytIntra-species-checked": "notRecommended", "FlowCytIntra-species-dilution-info": "", "FlowCytIntra-species-notes": "<p></p>" }, "Mouse": { "ICCIF-species-checked": "notRecommended", "ICCIF-species-dilution-info": "", "ICCIF-species-notes": "<p></p>", "IP-species-checked": "testedAndGuaranteed", "IP-species-dilution-info": "", "IP-species-notes": "<p></p>", "WB-species-checked": "testedAndGuaranteed", "WB-species-dilution-info": "", "WB-species-notes": "<p></p>", "IHCP-species-checked": "testedAndGuaranteed", "IHCP-species-dilution-info": "", "IHCP-species-notes": "<p></p>", "FlowCytIntra-species-checked": "notRecommended", "FlowCytIntra-species-dilution-info": "", "FlowCytIntra-species-notes": "<p></p>" }, "Rat": { "ICCIF-species-checked": "notRecommended", "ICCIF-species-dilution-info": "", "ICCIF-species-notes": "", "IP-species-checked": "guaranteed", "IP-species-dilution-info": "", "IP-species-notes": "", "WB-species-checked": "testedAndGuaranteed", "WB-species-dilution-info": "", "WB-species-notes": "<p></p>", "IHCP-species-checked": "testedAndGuaranteed", "IHCP-species-dilution-info": "", "IHCP-species-notes": "<p></p>", "FlowCytIntra-species-checked": "notRecommended", "FlowCytIntra-species-dilution-info": "", "FlowCytIntra-species-notes": "" } } }

Product details

Patented technology
Our RabMAb® technology is a patented hybridoma-based technology for making rabbit monoclonal antibodies. For details on our patents, please refer to RabMAb® patents.

What are the advantages of a recombinant monoclonal antibody?
This product is a recombinant monoclonal antibody, which offers several advantages including:

  • - High batch-to-batch consistency and reproducibility
  • - Improved sensitivity and specificity
  • - Long-term security of supply
  • - Animal-free batch production

For more information, read more on recombinant antibodies.

Conjugation ready
Our carrier-free antibodies are typically supplied in a PBS-only formulation, purified and free of BSA, sodium azide and glycerol. This conjugation-ready format is designed for use with fluorochromes, metal isotopes, oligonucleotides, and enzymes, which makes them ideal for antibody labelling, functional and cell-based assays, flow-based assays (e.g. mass cytometry) and Multiplex Imaging applications.

Use our conjugation kits for antibody conjugates that are ready-to-use in as little as 20 minutes with 1 minute hands-on-time and 100% antibody recovery: available for fluorescent dyes, HRP, biotin and gold.

Compatibility
This product is compatible with the Maxpar® Antibody Labeling Kit from Fluidigm, without the need for antibody preparation. Maxpar® is a trademark of Fluidigm Canada Inc.

Properties and storage information

Form
Liquid
Purification technique
Affinity purification Protein A
Storage buffer
pH: 7.2 - 7.4 Constituents: PBS
Shipped at conditions
Blue Ice
Appropriate short-term storage conditions
+4°C
Appropriate long-term storage conditions
+4°C

Supplementary information

This supplementary information is collated from multiple sources and compiled automatically.

Heparanase 1 also known as HPA1 or HPSE is an endo-β-D-glucuronidase enzyme with a molecular mass of approximately 50 kDa. It functions mechanically by cleaving heparan sulfate (HS) chains which are long sugar chains found on the extracellular matrix and cell surfaces. This cleavage activity remodels the matrix and influences cell behavior. Heparanase 1 is mainly expressed in the placenta lymphoid tissues and various tumor cells where it plays a role in matrix degradation and cell migration.
Biological function summary

When heparan sulfate is cleaved by Heparanase 1 it causes the release of HS-bound growth factors and cytokines making them available to cells. This enzymatic activity facilitates cell proliferation and angiogenesis affecting processes important for tissue repair and cancer progression. Heparanase 1 does not require a complex for its function but operates as a monomeric enzyme. Its activity is investigated using assays like heparanase activity assays or ELISA for measuring the enzyme's activity in different biological contexts including mouse models.

Pathways

The activity of Heparanase 1 intersects significantly with the regulation of angiogenesis and cell signaling pathways such as the VEGF and FGF pathways. These pathways are important for new blood vessel formation making them significant in both normal development and cancer. Heparanase 1 interacts with proteins such as VEGF which is important for blood vessel growth and integrins which are involved in cell-matrix interactions and signaling.

Heparanase 1 is associated with tumor metastasis and inflammation. Its ability to degrade the extracellular matrix enables cancer cell invasion and metastasis. The enzyme also plays a role in inflammatory diseases where it modulates the immune response. Through these disease pathways it relates to other proteins such as matrix metalloproteinases (MMPs) which also participate in matrix remodeling during tumor progression and inflammation.

Product protocols

For this product, it's our understanding that no specific protocols are required. You can visit:

Target data

Endoglycosidase that cleaves heparan sulfate proteoglycans (HSPGs) into heparan sulfate side chains and core proteoglycans. Participates in extracellular matrix (ECM) degradation and remodeling. Selectively cleaves the linkage between a glucuronic acid unit and an N-sulfo glucosamine unit carrying either a 3-O-sulfo or a 6-O-sulfo group. Can also cleave the linkage between a glucuronic acid unit and an N-sulfo glucosamine unit carrying a 2-O-sulfo group, but not linkages between a glucuronic acid unit and a 2-O-sulfated iduronic acid moiety. It is essentially inactive at neutral pH but becomes active under acidic conditions such as during tumor invasion and in inflammatory processes. Facilitates cell migration associated with metastasis, wound healing and inflammation. Enhances shedding of syndecans, and increases endothelial invasion and angiogenesis in myelomas. Acts as a procoagulant by increasing the generation of activation factor X in the presence of tissue factor and activation factor VII. Increases cell adhesion to the extracellular matrix (ECM), independent of its enzymatic activity. Induces AKT1/PKB phosphorylation via lipid rafts increasing cell mobility and invasion. Heparin increases this AKT1/PKB activation. Regulates osteogenesis. Enhances angiogenesis through up-regulation of SRC-mediated activation of VEGF. Implicated in hair follicle inner root sheath differentiation and hair homeostasis.
See full target information HPSE

Product promise

We are committed to supporting your work with high-quality reagents, and we're here for you every step of the way. In the unlikely event that one of our products does not perform as expected, you're protected by our Product Promise.
For full details, please see our Terms & Conditions

Please note: All products are 'FOR RESEARCH USE ONLY. NOT FOR USE IN DIAGNOSTIC OR THERAPEUTIC PROCEDURES'.

For licensing inquiries, please contact partnerships@abcam.com