JavaScript is disabled in your browser. Please enable JavaScript to view this website.
AB309353

Anti-Hepatitis B virus Protein X antibody [EPR27041-49] - BSA and Azide free

5

(1 Review)

|

(0 Publication)

Rabbit Recombinant Monoclonal Protein X antibody. Carrier free. Suitable for IP, Flow Cyt (Intra), ICC/IF, IHC-P, WB, I-ELISA and reacts with Transfected cell lysate - Hepatitis B virus, Transfected cell line - Hepatitis B virus, Recombinant fragment - Hepatitis B virus samples.

View Alternative Names

Protein X, HBx, Peptide X, pX, X

11 Images
Immunohistochemistry (Formalin/PFA-fixed paraffin-embedded sections) - Anti-Hepatitis B virus Protein X antibody [EPR27041-49] - BSA and Azide free (AB309353)
  • IHC-P

Supplier Data

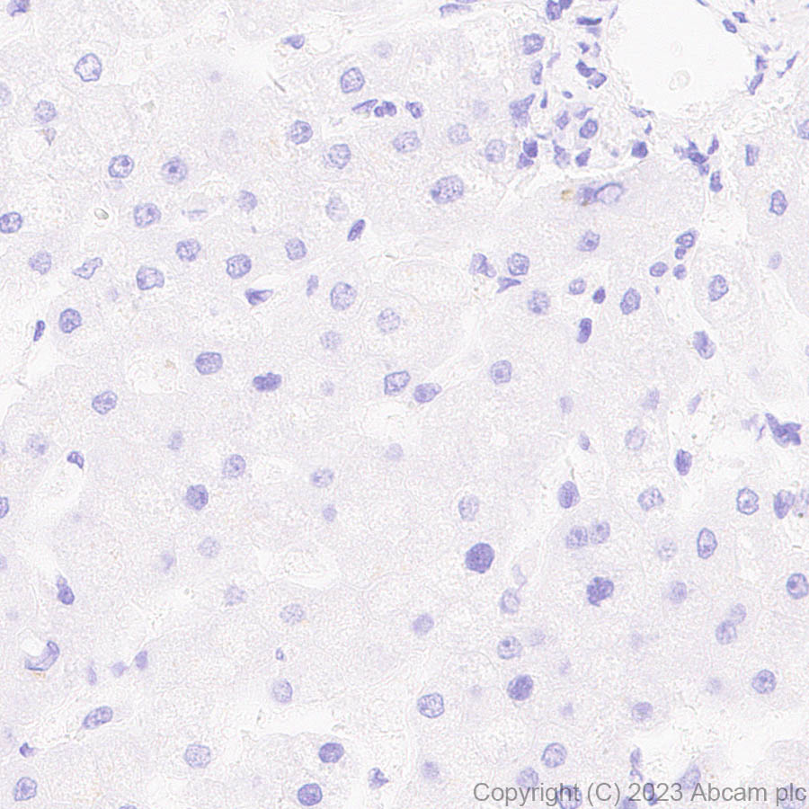
Immunohistochemistry (Formalin/PFA-fixed paraffin-embedded sections) - Anti-Hepatitis B virus Protein X antibody [EPR27041-49] - BSA and Azide free (AB309353)

This data was developed using ab309352, the same antibody clone in a different buffer formulation. Immunohistochemical analysis of paraffin-embedded Human liver tissue labeling Hepatitis B virus Protein X with ab309352 at 1/4000 (0.131 ug/ml) followed by a ready to use LeicaDS9800 (Bond™ Polymer Refine Detection). Negative control : no staining on human liver. The section was incubated with ab309352 for 30 mins at room temperature. The immunostaining was performed on a Leica Biosystems BOND® RX instrument Counterstained with Hematoxylin. Secondary antibody only control : Secondary antibody is a ready to use LeicaDS9800 (Bond™ Polymer Refine Detection). Heat mediated antigen retrieval was performed with Tris-EDTA buffer (pH 9.0, Epitope Retrieval Solution2) for 20 mins

Immunohistochemistry (Formalin/PFA-fixed paraffin-embedded sections) - Anti-Hepatitis B virus Protein X antibody [EPR27041-49] - BSA and Azide free (AB309353)
  • IHC-P

Supplier Data

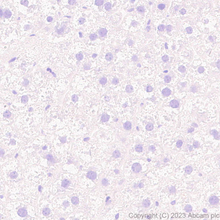
Immunohistochemistry (Formalin/PFA-fixed paraffin-embedded sections) - Anti-Hepatitis B virus Protein X antibody [EPR27041-49] - BSA and Azide free (AB309353)

This data was developed using ab309352, the same antibody clone in a different buffer formulation. Immunohistochemical analysis of paraffin-embedded Mouse liver tissue labeling Hepatitis B virus Protein X with ab309352 at 1/4000 (0.131 ug/ml) followed by a ready to use LeicaDS9800 (Bond™ Polymer Refine Detection). Negative control : no staining on mouse liver. The section was incubated with ab309352 for 30 mins at room temperature. The immunostaining was performed on a Leica Biosystems BOND® RX instrument Counterstained with Hematoxylin. Secondary antibody only control : Secondary antibody is a ready to use LeicaDS9800 (Bond™ Polymer Refine Detection). Heat mediated antigen retrieval was performed with Tris-EDTA buffer (pH 9.0, Epitope Retrieval Solution2) for 20 mins

Immunohistochemistry (Formalin/PFA-fixed paraffin-embedded sections) - Anti-Hepatitis B virus Protein X antibody [EPR27041-49] - BSA and Azide free (AB309353)
  • IHC-P

Supplier Data

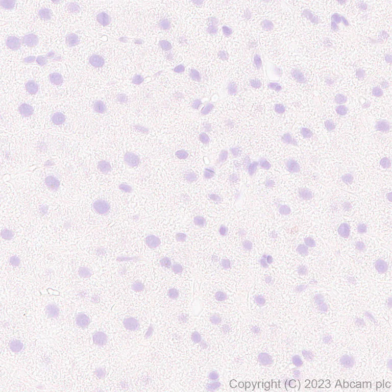
Immunohistochemistry (Formalin/PFA-fixed paraffin-embedded sections) - Anti-Hepatitis B virus Protein X antibody [EPR27041-49] - BSA and Azide free (AB309353)

This data was developed using ab309352, the same antibody clone in a different buffer formulation. Immunohistochemical analysis of paraffin-embedded Rat liver tissue labeling Hepatitis B virus Protein X with ab309352 at 1/4000 (0.131 ug/ml) followed by a ready to use LeicaDS9800 (Bond™ Polymer Refine Detection). Negative control : no staining on rat liver. The section was incubated with ab309352 for 30 mins at room temperature. The immunostaining was performed on a Leica Biosystems BOND® RX instrument Counterstained with Hematoxylin. Secondary antibody only control : Secondary antibody is a ready to use LeicaDS9800 (Bond™ Polymer Refine Detection). Heat mediated antigen retrieval was performed with Tris-EDTA buffer (pH 9.0, Epitope Retrieval Solution2) for 20 mins

Immunocytochemistry/ Immunofluorescence - Anti-Hepatitis B virus Protein X antibody [EPR27041-49] - BSA and Azide free (AB309353)
  • ICC/IF

Supplier Data

Immunocytochemistry/ Immunofluorescence - Anti-Hepatitis B virus Protein X antibody [EPR27041-49] - BSA and Azide free (AB309353)

This data was developed using ab309352, the same antibody clone in a different buffer formulation. Immunofluorescent analysis of 4% Paraformaldehyde-fixed, 0.1% TritonX-100 permeabilized 293T (human embryonic kidney epithelial cell) cells labelling Hepatitis B virus Protein X with ab309352 at 1/500 (1.046 ug/ml) dilution, followed by ab150081 Goat Anti-Rabbit IgG H&L (Alexa Fluor® 488) preadsorbed antibody at 1/1000 2 ug/ml dilution (Green). Confocal image showing positive staining both in 293T cells transfected with Hepatitis B Virus X antigen (genotype B1) expression vector containing a myc tag and in 293T cells transfected with Hepatitis B Virus X antigen (genotype C) expression vector containing a myc tag. Image was taken with a confocal microscope(Leica-Microsystems, TCS SP8). is observed. Myc-Tag Mouse mab (Alexa Fluor® 647) was used to counterstain tubulin at 1/100 0.38ug/ml dilution (Red). The Nuclear counterstain was DAPI (Blue). Secondary antibody only control : Secondary antibody is ab150081 Goat Anti-Rabbit IgG H&L (Alexa Fluor® 488) preadsorbed at 1/1000 2 ug/ml dilution.

Immunocytochemistry/ Immunofluorescence - Anti-Hepatitis B virus Protein X antibody [EPR27041-49] - BSA and Azide free (AB309353)
  • ICC/IF

Supplier Data

Immunocytochemistry/ Immunofluorescence - Anti-Hepatitis B virus Protein X antibody [EPR27041-49] - BSA and Azide free (AB309353)

This data was developed using ab309352, the same antibody clone in a different buffer formulation. Immunofluorescent analysis of 4% Paraformaldehyde-fixed, 0.1% TritonX-100 permeabilized 293T (human embryonic kidney epithelial cell) cells labelling Hepatitis B virus Protein X with ab309352 at 1/500 (1.046 ug/ml) dilution, followed by ab150081 Goat Anti-Rabbit IgG H&L (Alexa Fluor® 488) preadsorbed antibody at 1/1000 2 ug/ml dilution (Green). Confocal image showing positive staining in 293T cells transfected with Hepatitis B Virus X antigen (genotype A2) expression vector containing a myc tag and no staining in 293T cells transfected with empty vector containing a myc tag. Image was taken with a confocal microscope(Leica-Microsystems, TCS SP8). is observed. Myc-Tag Mouse mab (Alexa Fluor® 647) was used to counterstain tubulin at 1/100 0.38ug/ml dilution (Red). The Nuclear counterstain was DAPI (Blue). Secondary antibody only control : Secondary antibody is ab150081 Goat Anti-Rabbit IgG H&L (Alexa Fluor® 488) preadsorbed at 1/1000 2 ug/ml dilution.

Immunocytochemistry/ Immunofluorescence - Anti-Hepatitis B virus Protein X antibody [EPR27041-49] - BSA and Azide free (AB309353)
  • ICC/IF

Supplier Data

Immunocytochemistry/ Immunofluorescence - Anti-Hepatitis B virus Protein X antibody [EPR27041-49] - BSA and Azide free (AB309353)

This data was developed using ab309352, the same antibody clone in a different buffer formulation. Immunofluorescent analysis of 4% Paraformaldehyde-fixed, 0.1% TritonX-100 permeabilized 293T (human embryonic kidney epithelial cell) cells labelling Hepatitis B virus Protein X with ab309352 at 1/500 (1.046 ug/ml) dilution, followed by ab150081 Goat Anti-Rabbit IgG H&L (Alexa Fluor® 488) preadsorbed antibody at 1/1000 2 ug/ml dilution (Green). Confocal image showing positive staining both in 293T cells transfected with Hepatitis B Virus X antigen (genotype D) expression vector containing a myc tag and in 293T cells transfected with Hepatitis B Virus X antigen (genotype E) expression vector containing a myc tag. Image was taken with a confocal microscope(Leica-Microsystems, TCS SP8). is observed. Myc-Tag Mouse mab (Alexa Fluor® 647) was used to counterstain tubulin at 1/100 0.38ug/ml dilution (Red). The Nuclear counterstain was DAPI (Blue). Secondary antibody only control : Secondary antibody is ab150081 Goat Anti-Rabbit IgG H&L (Alexa Fluor® 488) preadsorbed at 1/1000 2 ug/ml dilution.

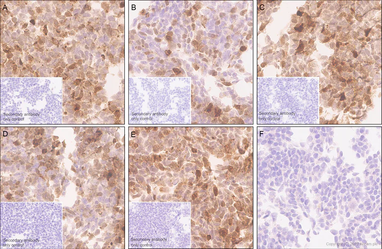
Immunohistochemistry (Formalin/PFA-fixed paraffin-embedded sections) - Anti-Hepatitis B virus Protein X antibody [EPR27041-49] - BSA and Azide free (AB309353)
  • IHC-P

Supplier Data

Immunohistochemistry (Formalin/PFA-fixed paraffin-embedded sections) - Anti-Hepatitis B virus Protein X antibody [EPR27041-49] - BSA and Azide free (AB309353)

This data was developed using ab309352, the same antibody clone in a different buffer formulation. Immunohistochemical analysis of paraffin-embedded (A) HEK-293T (human tissue labeling Hepatitis B virus Protein X with ab309352 at 1/4000 (0.131 ug/ml) followed by a ready to use LeicaDS9800 (Bond™ Polymer Refine Detection). Positive staining on (A) HEK-293T transfected with an HBxA2 expression vector containing a His tag, (B) HEK-293T transfected with an HBxB1 expression vector containing a His tag, (C) HEK-293T transfected with an HBxC expression vector containing a His tag, (D) HEK-293T transfected with an HBxD expression vector containing a His tag, and (E) HEK-293T transfected with an HBxE expression vector containing a His tag, no staining on (F) HEK-293T transfected with an empty vector containing a His tag. The section was incubated with ab309352 for 30 mins at room temperature. The immunostaining was performed on a Leica Biosystems BOND® RX instrument Counterstained with Hematoxylin. Secondary antibody only control : Secondary antibody is a ready to use LeicaDS9800 (Bond™ Polymer Refine Detection). Heat mediated antigen retrieval was performed with Tris-EDTA buffer (pH 9.0, Epitope Retrieval Solution2) for 20 mins

Flow Cytometry (Intracellular) - Anti-Hepatitis B virus Protein X antibody [EPR27041-49] - BSA and Azide free (AB309353)
  • Flow Cyt (Intra)

Supplier Data

Flow Cytometry (Intracellular) - Anti-Hepatitis B virus Protein X antibody [EPR27041-49] - BSA and Azide free (AB309353)

This data was developed using ab309352, the same antibody clone in a different buffer formulation. Flow cytometric analysis of 4% paraformaldehyde fixed 90% methanol permeabilized HEK-293T (human epithelial cell line from embryonic kidney) transfected with a empty vector / Hepatitis B virus Protein X (genotype A2)/ Hepatitis B virus Protein X (genotype B1) / Hepatitis B virus Protein X (genotype C) / Hepatitis B virus Protein X (genotype D) / Hepatitis B virus Protein X (genotype E) expression vector containing a His tag cells labelling Hepatitis B virus Protein X with ab309352 at 1/500 dilution (0.1 ug)/Right (Red) compared with a Rabbit monoclonal IgG (ab172730) (Black) isotype control and an unlabelled control (cells without incubation with primary antibody and secondary antibody) (Blue). A Goat Anti-Rabbit IgG (Alexa Fluor® 488, ab150081) at 1/5000 dilution was used as the secondary antibody.

Immunoprecipitation - Anti-Hepatitis B virus Protein X antibody [EPR27041-49] - BSA and Azide free (AB309353)
  • IP

Supplier Data

Immunoprecipitation - Anti-Hepatitis B virus Protein X antibody [EPR27041-49] - BSA and Azide free (AB309353)

This data was developed using ab309352, the same antibody clone in a different buffer formulation. Hepatitis B virus Protein X was immunoprecipitated from 0.35 mg 293T transfected with Hepatitis B Virus X antigen (genotype A2) expression vector containing a myc-His-tag® whole cell lysate with ab309352 at 1/30 dilution (2ug in 0.35mg lysates). Western blot was performed on the immunoprecipitate using ab309352 at 1/1000 dilution. VeriBlot for IP secondary antibody(HRP)(ab131366) was used at 1/5000 dilution. Lane 1 : 293T transfected with Hepatitis B Virus X antigen (genotype A2) expression vector containing a myc-His-tag® whole cell lysate Lane 2 : ab309352 IP in 293T transfected with Hepatitis B Virus X antigen (genotype A2) expression vector containing a myc-His-tag® whole cell lysate Lane 3 : Rabbit monoclonal IgG (ab172730) instead of ab309352 in 293T transfected with Hepatitis B Virus X antigen (genotype A2) expression vector containing a myc-His-tag® whole cell lysate Blocking and dilution buffer and concentration : 5% NFDM/TBST.

All lanes:

Immunoprecipitation - Anti-Hepatitis B virus Protein X antibody [EPR27041-49] (<a href='/en-us/products/primary-antibodies/hepatitis-b-virus-protein-x-antibody-epr27041-49-ab309352'>ab309352</a>) at 1/30 dilution

All lanes:

293T transfected with Hepatitis B Virus X antigen (genotype A2) expression vector containing a myc-His-tag® whole cell lysate

Secondary

All lanes:

Immunoprecipitation - VeriBlot for IP Detection Reagent (HRP) (<a href='/en-us/products/reagents/veriblot-for-ip-detection-reagent-hrp-ab131366'>ab131366</a>) at 1/5000 dilution

Observed band size: 17 kDa

false

Exposure time: 3s

Indirect ELISA - Anti-Hepatitis B virus Protein X antibody [EPR27041-49] - BSA and Azide free (AB309353)
  • I-ELISA

Supplier Data

Indirect ELISA - Anti-Hepatitis B virus Protein X antibody [EPR27041-49] - BSA and Azide free (AB309353)

This data was developed using ab309352, the same antibody clone in a different buffer formulation.

Indirect ELISA analysis of ab309352 at 1000-0 ng/ml. The Secondary antibody used was Alkaline Phosphatase-conjugated AffiniPure Goat Anti-Rabbit IgG (H+L) at 1 : 2500 dilution.

Antigen : Recombinant Hepatitis B virus protein X genotype C.

Antigen concentration : 1000 ng/ml

Western blot - Anti-Hepatitis B virus Protein X antibody [EPR27041-49] - BSA and Azide free (AB309353)
  • WB

Supplier Data

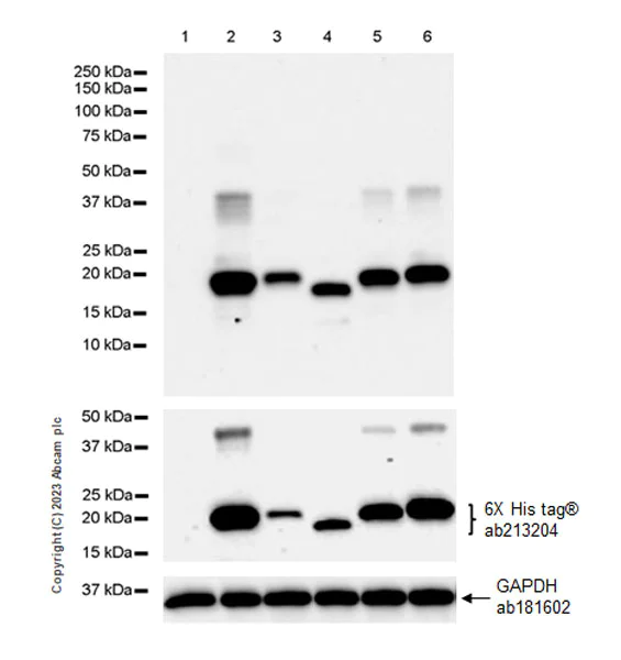
Western blot - Anti-Hepatitis B virus Protein X antibody [EPR27041-49] - BSA and Azide free (AB309353)

This data was developed using ab309352, the same antibody clone in a different buffer formulation. Blocking and diluting buffer and concentration : 5% NFDM/TBST In Western blot, anti-His antibody (ab213204) staining at 1/5000 dilution, anti-GAPDH antibody (ab181602) loading control staining at 1/200, 000 dilution.

All lanes:

Western blot - Anti-Hepatitis B virus Protein X antibody [EPR27041-49] (<a href='/en-us/products/primary-antibodies/hepatitis-b-virus-protein-x-antibody-epr27041-49-ab309352'>ab309352</a>) at 1/1000 dilution

Lane 1:

293T (human embryonic kidney epithelial cell) transfected with an empty vector containi a myc-His-tag® whole cell lysate

Lane 2:

293T transfected with Hepatitis B Virus X antigen (genotype A2) expression vector containi a myc-His-tag® whole cell lysate

Lane 3:

293T transfected with Hepatitis B Virus X antigen (genotype B1) expression vector containi a myc-His-tag® whole cell lysate

Lane 4:

293T transfected with Hepatitis B Virus X antigen (genotype C) expression vector containi a myc-His-tag® whole cell lysate

Lane 5:

293T transfected with Hepatitis B Virus X antigen (genotype D) expression vector containi a myc-His-tag® whole cell lysate

Lane 6:

293T transfected with Hepatitis B Virus X antigen (genotype E) expression vector containi a myc-His-tag® whole cell lysate

Secondary

All lanes:

Western blot - Goat Anti-Rabbit IgG H&L (HRP) (<a href='/en-us/products/secondary-antibodies/goat-rabbit-igg-h-l-hrp-ab97051'>ab97051</a>) at 1/100000 dilution

Observed band size: 15 kDa,17 kDa

false

Exposure time: 59s

  • Unconjugated

    Anti-Hepatitis B virus Protein X antibody [EPR27041-49]

Key facts

Host species

Rabbit

Clonality

Monoclonal

Clone number

EPR27041-49

Isotype

IgG

Carrier free

Yes

Reacts with

Hepatitis B virus

Applications

IHC-P, Flow Cyt (Intra), IP, WB, I-ELISA, ICC/IF

applications

Immunogen

The exact immunogen used to generate this antibody is proprietary information.

Reactivity data

{ "title": "Reactivity Data", "filters": { "stats": ["", "Species", "Dilution Info", "Notes"], "tabs": { "all-applications": {"fullname" : "All Applications", "shortname": "All Applications"}, "IP" : {"fullname" : "Immunoprecipitation", "shortname":"IP"}, "FlowCytIntra" : {"fullname" : "Flow Cytometry (Intracellular)", "shortname":"Flow Cyt (Intra)"}, "ICCIF" : {"fullname" : "Immunocytochemistry/ Immunofluorescence", "shortname":"ICC/IF"}, "IHCP" : {"fullname" : "Immunohistochemistry (Formalin/PFA-fixed paraffin-embedded sections)", "shortname":"IHC-P"}, "WB" : {"fullname" : "Western blot", "shortname":"WB"}, "IELISA" : {"fullname" : "Indirect ELISA", "shortname":"I-ELISA"} }, "product-promise": { "all": "all", "testedAndGuaranteed": "tested", "guaranteed": "expected", "predicted": "predicted", "notRecommended": "not-recommended" } }, "values": { "Hepatitis B virus": { "IP-species-checked": "predicted", "IP-species-dilution-info": "", "IP-species-notes": "", "FlowCytIntra-species-checked": "predicted", "FlowCytIntra-species-dilution-info": "", "FlowCytIntra-species-notes": "", "ICCIF-species-checked": "predicted", "ICCIF-species-dilution-info": "", "ICCIF-species-notes": "", "IHCP-species-checked": "predicted", "IHCP-species-dilution-info": "", "IHCP-species-notes": "", "WB-species-checked": "predicted", "WB-species-dilution-info": "", "WB-species-notes": "", "IELISA-species-checked": "predicted", "IELISA-species-dilution-info": "", "IELISA-species-notes": "" }, "Recombinant fragment - Hepatitis B virus": { "IP-species-checked": "notRecommended", "IP-species-dilution-info": "", "IP-species-notes": "", "FlowCytIntra-species-checked": "notRecommended", "FlowCytIntra-species-dilution-info": "", "FlowCytIntra-species-notes": "", "ICCIF-species-checked": "notRecommended", "ICCIF-species-dilution-info": "", "ICCIF-species-notes": "", "IHCP-species-checked": "notRecommended", "IHCP-species-dilution-info": "", "IHCP-species-notes": "", "WB-species-checked": "notRecommended", "WB-species-dilution-info": "", "WB-species-notes": "", "IELISA-species-checked": "testedAndGuaranteed", "IELISA-species-dilution-info": "", "IELISA-species-notes": "<p></p>" }, "Transfected cell line - Hepatitis B virus": { "IP-species-checked": "notRecommended", "IP-species-dilution-info": "", "IP-species-notes": "", "FlowCytIntra-species-checked": "testedAndGuaranteed", "FlowCytIntra-species-dilution-info": "", "FlowCytIntra-species-notes": "<p></p>", "ICCIF-species-checked": "testedAndGuaranteed", "ICCIF-species-dilution-info": "", "ICCIF-species-notes": "<p></p>", "IHCP-species-checked": "testedAndGuaranteed", "IHCP-species-dilution-info": "", "IHCP-species-notes": "<p></p>", "WB-species-checked": "notRecommended", "WB-species-dilution-info": "", "WB-species-notes": "", "IELISA-species-checked": "notRecommended", "IELISA-species-dilution-info": "", "IELISA-species-notes": "" }, "Transfected cell lysate - Hepatitis B virus": { "IP-species-checked": "testedAndGuaranteed", "IP-species-dilution-info": "", "IP-species-notes": "<p></p>", "FlowCytIntra-species-checked": "notRecommended", "FlowCytIntra-species-dilution-info": "", "FlowCytIntra-species-notes": "", "ICCIF-species-checked": "notRecommended", "ICCIF-species-dilution-info": "", "ICCIF-species-notes": "", "IHCP-species-checked": "notRecommended", "IHCP-species-dilution-info": "", "IHCP-species-notes": "", "WB-species-checked": "testedAndGuaranteed", "WB-species-dilution-info": "", "WB-species-notes": "<p></p>", "IELISA-species-checked": "notRecommended", "IELISA-species-dilution-info": "", "IELISA-species-notes": "" } } }

Product details

Patented technology
Our RabMAb® technology is a patented hybridoma-based technology for making rabbit monoclonal antibodies. For details on our patents, please refer to RabMAb® patents.

What are the advantages of a recombinant monoclonal antibody?
This product is a recombinant monoclonal antibody, which offers several advantages including:

  • - High batch-to-batch consistency and reproducibility
  • - Improved sensitivity and specificity
  • - Long-term security of supply
  • - Animal-free batch production

For more information, read more on recombinant antibodies.

Conjugation ready
Our carrier-free antibodies are typically supplied in a PBS-only formulation, purified and free of BSA, sodium azide and glycerol. This conjugation-ready format is designed for use with fluorochromes, metal isotopes, oligonucleotides, and enzymes, which makes them ideal for antibody labelling, functional and cell-based assays, flow-based assays (e.g. mass cytometry) and Multiplex Imaging applications.

Use our conjugation kits for antibody conjugates that are ready-to-use in as little as 20 minutes with 1 minute hands-on-time and 100% antibody recovery: available for fluorescent dyes, HRP, biotin and gold.

Compatibility
This product is compatible with the Maxpar® Antibody Labeling Kit from Fluidigm, without the need for antibody preparation. Maxpar® is a trademark of Fluidigm Canada Inc.

Properties and storage information

Form
Liquid
Purification technique
Affinity purification Protein A
Storage buffer
pH: 7.2 - 7.4 Constituents: PBS
Shipped at conditions
Blue Ice
Appropriate short-term storage conditions
+4°C
Appropriate long-term storage conditions
+4°C

Supplementary information

This supplementary information is collated from multiple sources and compiled automatically.

Protein X also known as HBV protein X is a multifunctional protein with a molecular mass of approximately 17 kDa. It is an integral component of Hepatitis B virus (HBV) and expressed within infected host liver cells. Protein X influences viral replication by interacting with host cellular mechanisms specifically modulating transcriptional regulation and signaling pathways that can benefit viral persistence. Due to its versatile nature researchers study Protein X's diverse roles in the context of HBV infection.
Biological function summary

The function of Protein X extends beyond viral replication. It plays a significant role in manipulating the host's immune response often suppressing antiviral activities which can allow the virus to evade the immune system. The interactions with cellular proteins may not always be direct as Protein X can be part of a larger viral replication complex. These interactions impact the host cell’s regulatory networks complicating the response to infection and facilitating chronic hepatitis conditions.

Pathways

Protein X is involved in the regulation of cellular apoptosis and the modulation of the NF-kB signaling pathway. These pathways contribute to the survival and proliferation of infected cells and Protein X often interacts with host proteins like p53 and CREB to exert its effects. By affecting these pathways Protein X ensures the survival of the virus within the host promoting pathological conditions.

Protein X's impact is most closely associated with chronic Hepatitis B and related liver diseases. The protein's involvement in hepatocarcinogenesis highlights its oncogenic potential since it can promote the development of hepatocellular carcinoma (HCC). Interactions with proteins such as p53 highlight its role in oncogenic processes disrupting cell cycle regulation and apoptosis which can lead to uncontrolled cell growth and cancer progression.

Product protocols

For this product, it's our understanding that no specific protocols are required. You can visit:

Target data

Multifunctional protein that plays a role in silencing host antiviral defenses and promoting viral transcription. Does not seem to be essential for HBV infection. May be directly involved in development of cirrhosis and liver cancer (hepatocellular carcinoma). Most of cytosolic activities involve modulation of cytosolic calcium. The effect on apoptosis is controversial depending on the cell types in which the studies have been conducted. May induce apoptosis by localizing in mitochondria and causing loss of mitochondrial membrane potential. May also modulate apoptosis by binding host CFLAR, a key regulator of the death-inducing signaling complex (DISC). Promotes viral transcription by using the host E3 ubiquitin ligase DDB1 to target the SMC5-SMC6 complex to proteasomal degradation. This host complex would otherwise bind to viral episomal DNA, and prevents its transcription. Moderately stimulates transcription of many different viral and cellular transcription elements. Promoters and enhancers stimulated by HBx contain DNA binding sites for NF-kappa-B, AP-1, AP-2, c-EBP, ATF/CREB, or the calcium-activated factor NF-AT.
See full target information Protein X

Product promise

We are committed to supporting your work with high-quality reagents, and we're here for you every step of the way. In the unlikely event that one of our products does not perform as expected, you're protected by our Product Promise.
For full details, please see our Terms & Conditions

Please note: All products are 'FOR RESEARCH USE ONLY. NOT FOR USE IN DIAGNOSTIC OR THERAPEUTIC PROCEDURES'.

For licensing inquiries, please contact partnerships@abcam.com