JavaScript is disabled in your browser. Please enable JavaScript to view this website.
AB324826

Anti-Hepatitis C Virus region NS5B antibody [1A4] - BSA and Azide free

Be the first to review this product! Submit a review

|

(0 Publication)

Mouse Recombinant Monoclonal POLG antibody. Carrier free. Suitable for WB, ICC/IF and reacts with Transfected cell lysate - Hepatitis C virus, Transfected cell line - Hepatitis C virus samples.

View Alternative Names

HCV NS5B, P68, RNA dependent RNA polymerase, RNA directed RNA polymerase

2 Images
Immunocytochemistry/ Immunofluorescence - Anti-Hepatitis C Virus region NS5B antibody [1A4] - BSA and Azide free (AB324826)
  • ICC/IF

Supplier Data

Immunocytochemistry/ Immunofluorescence - Anti-Hepatitis C Virus region NS5B antibody [1A4] - BSA and Azide free (AB324826)

This data was developed using ab322523, the same antibody clone in a different buffer formulation.

Immunofluorescent analysis of 4% Paraformaldehyde-fixed, 0.1% TritonX-100 permeabilized 293T (human embryonic kidney epithelial cell) cells labelling Hepatitis C Virus region NS5B with ab322521 at 1/2000 (0.47 ug/ml) dilution, followed by ab150117 Goat Anti-Mouse IgG H&L (Alexa Fluor® 488) preadsorbed antibody at 1/1000 (2 ug/ml) dilution (Green).

Confocal image showing positive staining in 293T cells transfected with a Hepatitis C virus genotype 2a (isolate JFH-1) (HCV) region NS5B expression vector containing a myc-His-tag®(shown in green). The counterstain was observed in magenta. Nuclear DNA was labeled with DAPI (shown in blue).
Image was taken with a confocal microscope (Leica-Microsystems, TCS SP8).

ab9106 Anti-Myc Rabbit polyclonal antibody was used to counterstain tubulin at 1/200 (2.5ug/ml) dilution, followed by ab150088 Goat Anti-Rabbit IgG H&L (Alexa Fluor® 594) preadsorbed at 1/1000 (2μg/ml) dilution (Magenta).

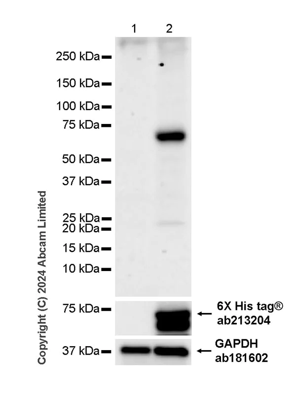
Western blot - Anti-Hepatitis C Virus region NS5B antibody [1A4] - BSA and Azide free (AB324826)
  • WB

Supplier Data

Western blot - Anti-Hepatitis C Virus region NS5B antibody [1A4] - BSA and Azide free (AB324826)

This data was developed using ab322523, the same antibody clone in a different buffer formulation.

Blocking and diluting buffer and concentration : 5% NFDM/TBST.

In Western blot, Anti-GAPDH antibody [EPR16891] - Loading Control (ab181602) staining at 1/200000 dilution.

In Western blot, Anti-6X His tag® antibody [EPR20547] - ChIP Grade (ab213204) staining at 1/5000 dilution.

All lanes:

Western blot - Anti-Hepatitis C Virus region NS5B antibody [1A4] (<a href='/en-us/products/primary-antibodies/hepatitis-c-virus-region-ns5b-antibody-1a4-ab322521'>ab322521</a>) at 1/1000 dilution

Lane 1:

293T (human embryonic kidney epithelial cell) cells transfected with an empty vector containing a myc-his tag, whole cell lysate at 20 µg

Lane 2:

293T cells transfected with a Hepatitis C virus genotype 2a (isolate JFH-1) (HCV) region NS5B expression vector containing a myc-his-tag, whole cell lysate at 20 µg

Secondary

All lanes:

Peroxidase-Conjugated Goat anti-Mouse IgG (H+L) at 1/10000 dilution

Observed band size: 65 kDa,36 kDa

false

Exposure time: 180s

Key facts

Host species

Mouse

Clonality

Monoclonal

Clone number

1A4

Isotype

IgG2a

Carrier free

Yes

Reacts with

Hepatitis C virus

Applications

WB, ICC/IF

applications

Immunogen

The exact immunogen used to generate this antibody is proprietary information.

Reactivity data

{ "title": "Reactivity Data", "filters": { "stats": ["", "Species", "Dilution Info", "Notes"], "tabs": { "all-applications": {"fullname" : "All Applications", "shortname": "All Applications"}, "WB" : {"fullname" : "Western blot", "shortname":"WB"}, "ICCIF" : {"fullname" : "Immunocytochemistry/ Immunofluorescence", "shortname":"ICC/IF"} }, "product-promise": { "all": "all", "testedAndGuaranteed": "tested", "guaranteed": "expected", "predicted": "predicted", "notRecommended": "not-recommended" } }, "values": { "Hepatitis C virus": { "WB-species-checked": "predicted", "WB-species-dilution-info": "", "WB-species-notes": "", "ICCIF-species-checked": "predicted", "ICCIF-species-dilution-info": "", "ICCIF-species-notes": "" }, "Transfected cell line - Hepatitis C virus": { "WB-species-checked": "notRecommended", "WB-species-dilution-info": "", "WB-species-notes": "", "ICCIF-species-checked": "testedAndGuaranteed", "ICCIF-species-dilution-info": "", "ICCIF-species-notes": "<p></p>" }, "Transfected cell lysate - Hepatitis C virus": { "WB-species-checked": "testedAndGuaranteed", "WB-species-dilution-info": "", "WB-species-notes": "<p></p>", "ICCIF-species-checked": "notRecommended", "ICCIF-species-dilution-info": "", "ICCIF-species-notes": "" } } }

Product details

ab324826 is the carrier-free version of ab322521.

Want a custom formulation?
This antibody clone is manufactured by Abcam. If you require a custom buffer formulation or conjugation for your experiments, please contact orders@abcam.com

What are the advantages of a recombinant monoclonal antibody?
This product is a recombinant monoclonal antibody, which offers several advantages including:

  • - High batch-to-batch consistency and reproducibility
  • - Improved sensitivity and specificity
  • - Long-term security of supply
  • - Animal-free batch production

For more information, read more on recombinant antibodies.

Conjugation ready
Our carrier-free antibodies are typically supplied in a PBS-only formulation, purified and free of BSA, sodium azide and glycerol. This conjugation-ready format is designed for use with fluorochromes, metal isotopes, oligonucleotides, and enzymes, which makes them ideal for antibody labelling, functional and cell-based assays, flow-based assays (e.g. mass cytometry) and Multiplex Imaging applications.

Use our conjugation kits for antibody conjugates that are ready-to-use in as little as 20 minutes with 1 minute hands-on-time and 100% antibody recovery: available for fluorescent dyes, HRP, biotin and gold.

Compatibility
This product is compatible with the Maxpar® Antibody Labeling Kit from Fluidigm, without the need for antibody preparation. Maxpar® is a trademark of Fluidigm Canada Inc.

Properties and storage information

Form
Liquid
Purification technique
Affinity purification Protein A
Storage buffer
pH: 7.2 - 7.4 Constituents: PBS
Shipped at conditions
Blue Ice
Appropriate short-term storage conditions
+4°C
Appropriate long-term storage conditions
+4°C

Product protocols

For this product, it's our understanding that no specific protocols are required. You can visit:

Product promise

We are committed to supporting your work with high-quality reagents, and we're here for you every step of the way. In the unlikely event that one of our products does not perform as expected, you're protected by our Product Promise.
For full details, please see our Terms & Conditions

Please note: All products are 'FOR RESEARCH USE ONLY. NOT FOR USE IN DIAGNOSTIC OR THERAPEUTIC PROCEDURES'.

For licensing inquiries, please contact partnerships@abcam.com