JavaScript is disabled in your browser. Please enable JavaScript to view this website.
AB191200

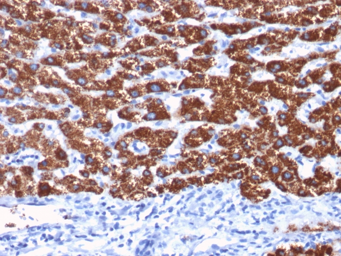
Anti-Hepatocyte Specific Antigen antibody [HSA98]

Be the first to review this product! Submit a review

|

(1 Publication)

Mouse Monoclonal Hepatocyte Specific Antigen antibody. Suitable for ICC, ICC/IF, IHC-Fr and reacts with Human samples. Cited in 1 publication. Immunogen corresponding to Cell preparation containing Hepatocyte Specific Antigen protein.

Key facts

Host species

Mouse

Clonality

Monoclonal

Clone number

HSA98

Isotype

IgG2b

Light chain type

kappa

Carrier free

No

Reacts with

Human

Applications

ICC, IHC-Fr, ICC/IF

applications

Immunogen

The exact immunogen used to generate this antibody is proprietary information.

Specificity

ab191200 binds to human hepatocytes and the majority of human hepatocellular carcinomas (HCC’s). The antibody detects a target on the Cell surface of hepatocytes.

Reactivity data

{ "title": "Reactivity Data", "filters": { "stats": ["", "Species", "Dilution Info", "Notes"], "tabs": { "all-applications": {"fullname" : "All Applications", "shortname": "All Applications"}, "ICC" : {"fullname" : "Immunocytochemistry", "shortname":"ICC"}, "ICCIF" : {"fullname" : "Immunocytochemistry/ Immunofluorescence", "shortname":"ICC/IF"}, "IHCFr" : {"fullname" : "Immunohistochemistry (Frozen sections)", "shortname":"IHC-Fr"} }, "product-promise": { "all": "all", "testedAndGuaranteed": "tested", "guaranteed": "expected", "predicted": "predicted", "notRecommended": "not-recommended" } }, "values": { "Human": { "ICC-species-checked": "guaranteed", "ICC-species-dilution-info": "", "ICC-species-notes": "<p>Use Acetone fixed cells.</p>", "ICCIF-species-checked": "guaranteed", "ICCIF-species-dilution-info": "", "ICCIF-species-notes": "<p></p>", "IHCFr-species-checked": "guaranteed", "IHCFr-species-dilution-info": "", "IHCFr-species-notes": "<p>(for 30 minutes at RT).</p>" } } }

Properties and storage information

Form
Liquid
Purification technique
Affinity purification Protein A
Storage buffer
pH: 7.2 - 7.4 Preservative: 0.05% Sodium azide Constituents: PBS, 0.05% BSA
Shipped at conditions
Blue Ice
Appropriate short-term storage duration
1-2 weeks
Appropriate short-term storage conditions
+4°C
Appropriate long-term storage conditions
-20°C
Aliquoting information
Upon delivery aliquot
Storage information
Avoid freeze / thaw cycle

Supplementary information

This supplementary information is collated from multiple sources and compiled automatically.

The Hepatocyte Specific Antigen also known as OCH1E5 functions as an important identifier of hepatocytes. This antigen with a mass around 66 kDa is expressed significantly in liver tissues. Researchers often use it as a hepatocyte marker in studies and experiments facilitating the recognition and analysis of liver cells. Its specificity makes it a useful tool in hepatocyte flow cytometry and in histological investigations where defining cell type is important.
Biological function summary

The Hepatocyte Specific Antigen participates in the maintenance and function of liver cells. It does not belong to a known complex itself but plays a role in the structural and functional characterization of hepatocytes. These cells' proper function is essential for metabolic processes detoxification and production of vital proteins. Recognizing hepatocyte markers aids in understanding liver health and disease states.

Pathways

The Hepatocyte Specific Antigen is pivotal for identifying hepatocyte involvement in metabolic pathways such as bile acid biosynthesis and glycolysis. Its presence helps delineate pathways that include proteins like Albumin and Cytochrome P450 both critically involved in liver-specific functions. These pathways highlight the liver's key roles in metabolism and detoxification informed by precise cellular identification.

Hepatocyte Specific Antigen serves as a focal point in studying liver diseases such as hepatitis and liver cirrhosis. Its role in these diseases involves connections with proteins like ALT (Alanine Transaminase) and AST (Aspartate Transaminase) which are often elevated in liver damage. Identifying hepatocyte markers allows researchers to explore disease mechanisms progression and treatment responses enhancing our understanding of liver-specific pathologies.

Product protocols

For this product, it's our understanding that no specific protocols are required. You can visit:

Publications (1)

Recent publications for all applications. Explore the full list and refine your search

Journal of cellular and molecular medicine 26:2995-3004 PubMed35445529

2022

Expression profiles of iron transport molecules along the duodenum.

Applications

Unspecified application

Species

Unspecified reactive species

Kamila Balusikova,Marketa Dostalikova-Cimburova,Ilja Tacheci,Jan Kovar
View all publications

Product promise

We are committed to supporting your work with high-quality reagents, and we're here for you every step of the way. In the unlikely event that one of our products does not perform as expected, you're protected by our Product Promise.
For full details, please see our Terms & Conditions

Please note: All products are 'FOR RESEARCH USE ONLY. NOT FOR USE IN DIAGNOSTIC OR THERAPEUTIC PROCEDURES'.

For licensing inquiries, please contact partnerships@abcam.com