JavaScript is disabled in your browser. Please enable JavaScript to view this website.
AB190775

Anti-Hepcidin + Hepcidin-2 antibody [EPR18937]

5

(2 Reviews)

|

(10 Publications)

Rabbit Recombinant Monoclonal HEPC2 antibody. Suitable for WB, IHC-Fr, IHC-P and reacts with Recombinant fragment - Mouse, Mouse samples. Cited in 10 publications.

View Alternative Names

Hepc2, Hamp2, Hepcidin-2

7 Images
Immunohistochemistry (Formalin/PFA-fixed paraffin-embedded sections) - Anti-Hepcidin + Hepcidin-2 antibody [EPR18937] (AB190775)
  • IHC-P

Supplier Data

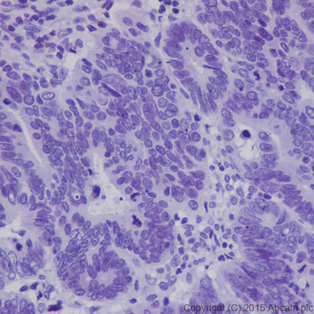
Immunohistochemistry (Formalin/PFA-fixed paraffin-embedded sections) - Anti-Hepcidin + Hepcidin-2 antibody [EPR18937] (AB190775)

Immunohistochemical analysis of paraffin-embedded Human colon tissue labeling Hepcidin + Hepcidin-2 with ab190775 at 1/100 dilution followed by Goat Anti-Rabbit IgG H&L (HRP) (ab97051) at 1/500 dilution. Negative staining on Human colon cancer. Counter stained with Hematoxylin.

Perform heat mediated antigen retrieval with Tris/EDTA buffer pH 9.0 before commencing with IHC staining protocol.

Immunohistochemistry (Frozen sections) - Anti-Hepcidin + Hepcidin-2 antibody [EPR18937] (AB190775)
  • IHC-Fr

Supplier Data

Immunohistochemistry (Frozen sections) - Anti-Hepcidin + Hepcidin-2 antibody [EPR18937] (AB190775)

Immunohistochemical analysis of 4% paraformaldehyde-fixed 0.1% Triton X-100 permeabilized frozen section of Mouse liver labeling Hepcidin + Hepcidin-2 with ab190775 at 1/100 dilution followed by Goat Anti-Rabbit IgG H&L (Alexa Fluor® 488) (ab150077)secondary antibody at 1/1000 dilution (green).

Confocal image showing cytoplasmic staining on hepatocytes of Mouse liver.

Counter stained with DAPI.

Secondary antibody only control : Used PBS instead of primary antibody secondary antibody is ab150077 at 1/1000 dilution.

Immunohistochemistry (Formalin/PFA-fixed paraffin-embedded sections) - Anti-Hepcidin + Hepcidin-2 antibody [EPR18937] (AB190775)
  • IHC-P

Supplier Data

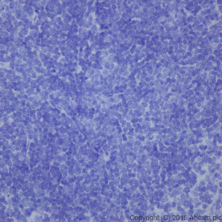
Immunohistochemistry (Formalin/PFA-fixed paraffin-embedded sections) - Anti-Hepcidin + Hepcidin-2 antibody [EPR18937] (AB190775)

Immunohistochemical analysis of paraffin-embedded Mouse spleen tissue labeling Hepcidin + Hepcidin-2 with ab190775 at 1/100 dilution followed by Goat Anti-Rabbit IgG H&L (HRP) (ab97051) at 1/500 dilution. Negative staining on Mouse spleen. Counter stained with Hematoxylin.

Perform heat mediated antigen retrieval with Tris/EDTA buffer pH 9.0 before commencing with IHC staining protocol.

Immunohistochemistry (Formalin/PFA-fixed paraffin-embedded sections) - Anti-Hepcidin + Hepcidin-2 antibody [EPR18937] (AB190775)
  • IHC-P

Supplier Data

Immunohistochemistry (Formalin/PFA-fixed paraffin-embedded sections) - Anti-Hepcidin + Hepcidin-2 antibody [EPR18937] (AB190775)

Immunohistochemical analysis of paraffin-embedded Mouse liver tissue labeling Hepcidin + Hepcidin-2 with ab190775 at 1/100 dilution followed by Goat Anti-Rabbit IgG H&L (HRP) (ab97051) at 1/500 dilution.

Cytoplasmic staining on hepatocytes of Mouse liver was observed.

Counter stained with Hematoxylin.

Secondary antibody only control : Used PBS instead of primary antibody secondary antibody is ab97051 at 1/500 dilution.

Perform heat mediated antigen retrieval with Tris/EDTA buffer pH 9.0 before commencing with IHC staining protocol.

Immunohistochemistry (Formalin/PFA-fixed paraffin-embedded sections) - Anti-Hepcidin + Hepcidin-2 antibody [EPR18937] (AB190775)
  • IHC-P

Supplier Data

Immunohistochemistry (Formalin/PFA-fixed paraffin-embedded sections) - Anti-Hepcidin + Hepcidin-2 antibody [EPR18937] (AB190775)

Immunohistochemical analysis of paraffin-embedded Mouse kidney tissue labeling Hepcidin + Hepcidin-2 with ab190775 at 1/100 dilution followed by Goat Anti-Rabbit IgG H&L (HRP) (ab97051) at 1/500 dilution. Negative staining on Mouse kidney. Counter stained with Hematoxylin.

Perform heat mediated antigen retrieval with Tris/EDTA buffer pH 9.0 before commencing with IHC staining protocol.

Western blot - Anti-Hepcidin + Hepcidin-2 antibody [EPR18937] (AB190775)
  • WB

Supplier Data

Western blot - Anti-Hepcidin + Hepcidin-2 antibody [EPR18937] (AB190775)

Blocking/Dilution buffer : 5% NFDM/TBST.

Exposure time :

Lane 1 : 1 second.
Lane 2 : 2 seconds.

The mouse recombinant fragment proteins contain aa24-83 with a GST-Tag and were made in-house.

All lanes:

Western blot - Anti-Hepcidin + Hepcidin-2 antibody [EPR18937] (ab190775) at 1/5000 dilution

Lane 1:

Mouse Hepcidin recombinant fragment protein at 0.01 µg

Lane 2:

Mouse Hepcidin-2 recombinant fragment protein at 0.01 µg

Secondary

All lanes:

Western blot - Goat Anti-Rabbit IgG H&L (HRP) (<a href='/en-us/products/secondary-antibodies/goat-rabbit-igg-h-l-hrp-ab97051'>ab97051</a>) at 1/100000 dilution

Predicted band size: 9 kDa

Observed band size: 32 kDa

false

Western blot - Anti-Hepcidin + Hepcidin-2 antibody [EPR18937] (AB190775)
  • WB

Supplier Data

Western blot - Anti-Hepcidin + Hepcidin-2 antibody [EPR18937] (AB190775)

Blocking/Dilution buffer : 5% NFDM/TBST.

Highly expressed in the liver and to a much lesser extent in the heart (PMID : 11113132 and PMID : 12729891)

All lanes:

Western blot - Anti-Hepcidin + Hepcidin-2 antibody [EPR18937] (ab190775) at 1/200 dilution

Lane 1:

Mouse liver lysate at 10 µg

Lane 2:

Mouse brain lysate at 10 µg

Lane 3:

Mouse heart lysate at 10 µg

Lane 4:

Mouse kidney lysate at 10 µg

Lane 5:

Mouse spleen lysate at 10 µg

Lane 6:

RAW 264.7 (Mouse macrophage cells transformed with Abelson murine leukemia virus) whole cell lysate at 10 µg

Lane 7:

NIH/3T3 (Mouse embyro fibroblast cells) whole cell lysate at 10 µg

Secondary

All lanes:

Western blot - Goat Anti-Rabbit IgG H&L (HRP) (<a href='/en-us/products/secondary-antibodies/goat-rabbit-igg-h-l-hrp-ab97051'>ab97051</a>) at 1/100000 dilution

Predicted band size: 9 kDa

Observed band size: 9 kDa

false

Exposure time: 20s

  • Carrier free

    Anti-Hepcidin + Hepcidin-2 antibody [EPR18937] - BSA and Azide free

  • 665 Alexa Fluor® 647

    Alexa Fluor® 647 Anti-Hepcidin + Hepcidin-2 antibody [EPR18937]

Key facts

Host species

Rabbit

Clonality

Monoclonal

Clone number

EPR18937

Isotype

IgG

Carrier free

No

Reacts with

Mouse

Applications

WB, IHC-Fr, IHC-P

applications

Immunogen

The exact immunogen used to generate this antibody is proprietary information.

Reactivity data

{ "title": "Reactivity Data", "filters": { "stats": ["", "Species", "Dilution Info", "Notes"], "tabs": { "all-applications": {"fullname" : "All Applications", "shortname": "All Applications"}, "WB" : {"fullname" : "Western blot", "shortname":"WB"}, "IHCFr" : {"fullname" : "Immunohistochemistry (Frozen sections)", "shortname":"IHC-Fr"}, "IHCP" : {"fullname" : "Immunohistochemistry (Formalin/PFA-fixed paraffin-embedded sections)", "shortname":"IHC-P"} }, "product-promise": { "all": "all", "testedAndGuaranteed": "tested", "guaranteed": "expected", "predicted": "predicted", "notRecommended": "not-recommended" } }, "values": { "Mouse": { "WB-species-checked": "testedAndGuaranteed", "WB-species-dilution-info": "1/200", "WB-species-notes": "<p></p>", "IHCFr-species-checked": "testedAndGuaranteed", "IHCFr-species-dilution-info": "1/100", "IHCFr-species-notes": "<p></p>", "IHCP-species-checked": "testedAndGuaranteed", "IHCP-species-dilution-info": "1/100", "IHCP-species-notes": "<p></p>" }, "Recombinant fragment - Mouse": { "WB-species-checked": "testedAndGuaranteed", "WB-species-dilution-info": "1/200", "WB-species-notes": "<p></p>", "IHCFr-species-checked": "notRecommended", "IHCFr-species-dilution-info": "", "IHCFr-species-notes": "", "IHCP-species-checked": "notRecommended", "IHCP-species-dilution-info": "", "IHCP-species-notes": "" } } }

Product details

Patented technology
Our RabMAb® technology is a patented hybridoma-based technology for making rabbit monoclonal antibodies. For details on our patents, please refer to RabMAb® patents.

What are the advantages of a recombinant monoclonal antibody?
This product is a recombinant monoclonal antibody, which offers several advantages including:

  • - High batch-to-batch consistency and reproducibility
  • - Improved sensitivity and specificity
  • - Long-term security of supply
  • - Animal-free batch production

For more information, read more on recombinant antibodies.

Properties and storage information

Form
Liquid
Purification technique
Affinity purification Protein A
Storage buffer
pH: 7.2 - 7.4 Preservative: 0.01% Sodium azide Constituents: PBS, 40% Glycerol (glycerin, glycerine), 0.05% BSA
Shipped at conditions
Blue Ice
Appropriate short-term storage duration
1-2 weeks
Appropriate short-term storage conditions
+4°C
Appropriate long-term storage conditions
-20°C
Aliquoting information
Upon delivery aliquot
Storage information
Avoid freeze / thaw cycle

Supplementary information

This supplementary information is collated from multiple sources and compiled automatically.

Hepcidin also known as LEAP-1 and Hepcidin-2 are small peptides with Hepcidin having a mass of approximately 2.8 kDa. These peptides synthesize in the liver and release into the circulatory system. Hepcidins regulate iron homeostasis by binding to the iron exporter ferroportin which is present on the surface of enterocytes macrophages and hepatocytes. This binding causes ferroportin internalization and degradation reducing iron release into the bloodstream.
Biological function summary

The iron-regulating proteins are key regulators of systemic iron metabolism. Hepcidin acts as a hormone controlling the distribution of iron a vital element for many physiological processes. Hepcidin-2 serves a similar role but its specific role is less defined compared to Hepcidin. Though they don't form complexes with other proteins their activity is critical for maintaining controlled levels of iron throughout the body preventing both deficiency and overload.

Pathways

Hepcidin and Hepcidin-2 are integral within the iron and hepcidin regulatory pathway which coordinates body iron levels. They play roles in the bone morphogenetic protein (BMP) signaling pathway. The pathway involves several other proteins like BMP6 and SMAD4 which influence hepcidin expression in response to iron levels and the body's erythropoietic activity.

Hepcidin regulation has implications in conditions like hereditary hemochromatosis and anemia of inflammation. Hereditary hemochromatosis results from insufficient Hepcidin activity leading to iron overload. Conversely anemia of inflammation shows increased Hepcidin levels reducing iron availability and contributing to anemia. Hepcidin dysregulation connects to other proteins such as HFE and transferrin receptor 2 which play roles in iron overload disorders.

Product protocols

For this product, it's our understanding that no specific protocols are required. You can visit:

Target data

Seems to act as a signaling molecule involved in the maintenance of iron homeostasis.
See full target information Hamp2

Additional targets

Hamp

Publications (10)

Recent publications for all applications. Explore the full list and refine your search

Antioxidants (Basel, Switzerland) 14: PubMed40867839

2025

Biomarker-Driven Optimization of Saponin Therapy in MASLD: From Mouse Models to Human Liver Organoids.

Applications

Unspecified application

Species

Unspecified reactive species

Hye Young Kim,Ju Hee Oh,Hyun Sung Kim,Dae Won Jun

Journal of nanobiotechnology 23:122 PubMed39972331

2025

Tungsten-based polyoxometalate nanoclusters as ferroptosis inhibitors modulating S100A8/A9-mediated iron metabolism pathway for managing intracerebral haemorrhage.

Applications

Unspecified application

Species

Unspecified reactive species

Yang Yang,Mingzhu Lv,Ruihong Liu,Peilu Yu,Ziyi Shen,Dazhang Bai,Peilin Zhao,Jin Yang,Xiaoping Tang,Hanfeng Yang,Yuan Yong,Guohui Jiang

Cell death & disease 15:569 PubMed39107268

2024

Hepcidin depending on astrocytic NEO1 ameliorates blood-brain barrier dysfunction after subarachnoid hemorrhage.

Applications

Unspecified application

Species

Unspecified reactive species

Boyang Wei,Wenchao Liu,Lei Jin,Yaxian Huang,Wenping Cheng,Haiyan Fan,Shixing Su,Fa Jin,Xin Zhang,Zeyu Yang,Shuyin Liang,Longxiang Li,Yu Wu,Yanchao Liu,Chuanzhi Duan,Xifeng Li

Chemistry & biodiversity 21:e202400005 PubMed38504590

2024

Active Components of Pueraria lobata through the MAPK/ERK Signaling Pathway Alleviate Iron Overload in Alcoholic Liver Disease.

Applications

Unspecified application

Species

Unspecified reactive species

Xue Li,Le Liu,Mei-Xuan Wan,Li-Min Gong,Juan Su,Li Xu

Molecular metabolism 75:101774 PubMed37429525

2023

Differences in DNA methylation of HAMP in blood cells predicts the development of type 2 diabetes.

Applications

Unspecified application

Species

Unspecified reactive species

Meriem Ouni,Fabian Eichelmann,Markus Jähnert,Christin Krause,Sophie Saussenthaler,Christiane Ott,Pascal Gottmann,Thilo Speckmann,Peter Huypens,Stefan Wolter,Oliver Mann,Martin Hrabé De Angelis,Johannes Beckers,Henriette Kirchner,Matthias B Schulze,Annette Schürmann

International journal of molecular sciences 24: PubMed37445980

2023

Induction of Hepcidin Expression in the Renal Cortex of Sickle Cell Disease Mice.

Applications

Unspecified application

Species

Unspecified reactive species

Asrar Ahmad,Namita Kumari,Nowah Afangbedji,Sergei Nekhai,Marina Jerebtsova

Clinical science (London, England : 1979) 137:251-264 PubMed36705427

2023

The tendency of anemia of inflammation in periodontal diseases.

Applications

Unspecified application

Species

Unspecified reactive species

Ye Han,Zhiqiang Luo,Zhao Guo Yue,Li Li Miao,Min Xv,Shu Chang,Yalin Zhan,Jianxia Hou

Computational intelligence and neuroscience 2022:6390812 PubMed35720932

2022

LncXIST Facilitates Iron Overload and Iron Overload-Induced Islet Beta Cell Injury in Type 2 Diabetes through miR-130a-3p/ALK2 Axis.

Applications

Unspecified application

Species

Unspecified reactive species

Weiyuan Li,Qiu Feng,Chenrong Wang,Zhao Yin,Xiaolu Li,Lei Li

Frontiers in genetics 13:771344 PubMed35646093

2022

An Integrated Systematic Analysis and the Clinical Significance of Hepcidin in Common Malignancies of the Male Genitourinary System.

Applications

Unspecified application

Species

Unspecified reactive species

Xiaogang Wang,Qianqian Shi,Pengfeng Gong,Cuixing Zhou,Yunjie Cao

Toxicology and applied pharmacology 321:1-17 PubMed28213091

2017

Convergence of hepcidin deficiency, systemic iron overloading, heme accumulation, and REV-ERBα/β activation in aryl hydrocarbon receptor-elicited hepatotoxicity.

Applications

Unspecified application

Species

Unspecified reactive species

Kelly A Fader,Rance Nault,Mathew P Kirby,Gena Markous,Jason Matthews,Timothy R Zacharewski
View all publications

Product promise

We are committed to supporting your work with high-quality reagents, and we're here for you every step of the way. In the unlikely event that one of our products does not perform as expected, you're protected by our Product Promise.
For full details, please see our Terms & Conditions

Please note: All products are 'FOR RESEARCH USE ONLY. NOT FOR USE IN DIAGNOSTIC OR THERAPEUTIC PROCEDURES'.

For licensing inquiries, please contact partnerships@abcam.com