JavaScript is disabled in your browser. Please enable JavaScript to view this website.
AB251032

Anti-Hepcidin + Hepcidin-2 antibody [EPR18937] - BSA and Azide free

Be the first to review this product! Submit a review

|

(0 Publication)

Rabbit Recombinant Monoclonal HEPC2 antibody. Carrier free. Suitable for WB, IHC-Fr, IHC-P and reacts with Mouse samples.

View Alternative Names

Hepc2, Hamp2, Hepcidin-2

7 Images
Immunohistochemistry (Formalin/PFA-fixed paraffin-embedded sections) - Anti-Hepcidin + Hepcidin-2 antibody [EPR18937] - BSA and Azide free (AB251032)
  • IHC-P

Supplier Data

Immunohistochemistry (Formalin/PFA-fixed paraffin-embedded sections) - Anti-Hepcidin + Hepcidin-2 antibody [EPR18937] - BSA and Azide free (AB251032)

This data was developed using ab190775, the same antibody clone in a different buffer formulation.

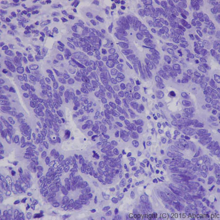
Immunohistochemical analysis of paraffin-embedded Human colon tissue labeling Hepcidin + Hepcidin-2 with ab190775 at 1/100 dilution, followed by Goat Anti-Rabbit IgG H&L (HRP) (ab97051) at 1/500 dilution. Negative staining on Human colon cancer. Counter stained with Hematoxylin.

Perform heat mediated antigen retrieval with Tris/EDTA buffer pH 9.0 before commencing with IHC staining protocol.

Immunohistochemistry (Frozen sections) - Anti-Hepcidin + Hepcidin-2 antibody [EPR18937] - BSA and Azide free (AB251032)
  • IHC-Fr

Supplier Data

Immunohistochemistry (Frozen sections) - Anti-Hepcidin + Hepcidin-2 antibody [EPR18937] - BSA and Azide free (AB251032)

This data was developed using ab190775, the same antibody clone in a different buffer formulation.

Immunohistochemical analysis of 4% paraformaldehyde-fixed, 0.1% Triton X-100 permeabilized frozen section of Mouse liver labeling Hepcidin + Hepcidin-2 with ab190775 at 1/100 dilution, followed by Goat Anti-Rabbit IgG H&L (Alexa Fluor® 488) (ab150077)secondary antibody at 1/1000 dilution (green).

Confocal image showing cytoplasmic staining on hepatocytes of Mouse liver.

Counter stained with DAPI.

Secondary antibody only control : Used PBS instead of primary antibody, secondary antibody is ab150077 at 1/1000 dilution.

Immunohistochemistry (Formalin/PFA-fixed paraffin-embedded sections) - Anti-Hepcidin + Hepcidin-2 antibody [EPR18937] - BSA and Azide free (AB251032)
  • IHC-P

Supplier Data

Immunohistochemistry (Formalin/PFA-fixed paraffin-embedded sections) - Anti-Hepcidin + Hepcidin-2 antibody [EPR18937] - BSA and Azide free (AB251032)

This data was developed using ab190775, the same antibody clone in a different buffer formulation.

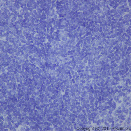
Immunohistochemical analysis of paraffin-embedded Mouse spleen tissue labeling Hepcidin + Hepcidin-2 with ab190775 at 1/100 dilution, followed by Goat Anti-Rabbit IgG H&L (HRP) (ab97051) at 1/500 dilution. Negative staining on Mouse spleen. Counter stained with Hematoxylin.

Perform heat mediated antigen retrieval with Tris/EDTA buffer pH 9.0 before commencing with IHC staining protocol.

Immunohistochemistry (Formalin/PFA-fixed paraffin-embedded sections) - Anti-Hepcidin + Hepcidin-2 antibody [EPR18937] - BSA and Azide free (AB251032)
  • IHC-P

Supplier Data

Immunohistochemistry (Formalin/PFA-fixed paraffin-embedded sections) - Anti-Hepcidin + Hepcidin-2 antibody [EPR18937] - BSA and Azide free (AB251032)

This data was developed using ab190775, the same antibody clone in a different buffer formulation.

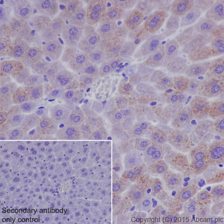
Immunohistochemical analysis of paraffin-embedded Mouse liver tissue labeling Hepcidin + Hepcidin-2 with ab190775 at 1/100 dilution, followed by Goat Anti-Rabbit IgG H&L (HRP) (ab97051) at 1/500 dilution.

Cytoplasmic staining on hepatocytes of Mouse liver was observed.

Counter stained with Hematoxylin.

Secondary antibody only control : Used PBS instead of primary antibody, secondary antibody is ab97051 at 1/500 dilution.

Perform heat mediated antigen retrieval with Tris/EDTA buffer pH 9.0 before commencing with IHC staining protocol.

Immunohistochemistry (Formalin/PFA-fixed paraffin-embedded sections) - Anti-Hepcidin + Hepcidin-2 antibody [EPR18937] - BSA and Azide free (AB251032)
  • IHC-P

Supplier Data

Immunohistochemistry (Formalin/PFA-fixed paraffin-embedded sections) - Anti-Hepcidin + Hepcidin-2 antibody [EPR18937] - BSA and Azide free (AB251032)

This data was developed using ab190775, the same antibody clone in a different buffer formulation.

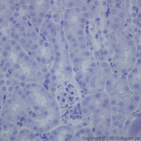
Immunohistochemical analysis of paraffin-embedded Mouse kidney tissue labeling Hepcidin + Hepcidin-2 with ab190775 at 1/100 dilution, followed by Goat Anti-Rabbit IgG H&L (HRP) (ab97051) at 1/500 dilution. Negative staining on Mouse kidney. Counter stained with Hematoxylin.

Perform heat mediated antigen retrieval with Tris/EDTA buffer pH 9.0 before commencing with IHC staining protocol.

Western blot - Anti-Hepcidin + Hepcidin-2 antibody [EPR18937] - BSA and Azide free (AB251032)
  • WB

Supplier Data

Western blot - Anti-Hepcidin + Hepcidin-2 antibody [EPR18937] - BSA and Azide free (AB251032)

This data was developed using ab190775, the same antibody clone in a different buffer formulation.

Blocking and dilution buffer : 5% NFDM/TBST.

Exposure times : Lane 1 : 1 second; Lane 2 : 2 seconds.

The mouse recombinant fragment proteins contain aa24-83 with a GST-Tag and were made in-house.

All lanes:

Western blot - Anti-Hepcidin + Hepcidin-2 antibody [EPR18937] (<a href='/en-us/products/primary-antibodies/hepcidin-hepcidin-2-antibody-epr18937-ab190775'>ab190775</a>) at 1/5000 dilution

Lane 1:

Mouse Hepcidin recombinant fragment protein at 0.01 µg

Lane 2:

Mouse Hepcidin-2 recombinant fragment protein at 0.01 µg

Secondary

All lanes:

Western blot - Goat Anti-Rabbit IgG H&L (HRP) (<a href='/en-us/products/secondary-antibodies/goat-rabbit-igg-h-l-hrp-ab97051'>ab97051</a>) at 1/100000 dilution

Predicted band size: 9 kDa

Observed band size: 32 kDa

false

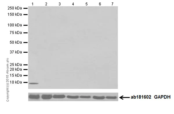
Western blot - Anti-Hepcidin + Hepcidin-2 antibody [EPR18937] - BSA and Azide free (AB251032)
  • WB

Supplier Data

Western blot - Anti-Hepcidin + Hepcidin-2 antibody [EPR18937] - BSA and Azide free (AB251032)

This data was developed using ab190775, the same antibody clone in a different buffer formulation.

Blocking and dilution buffer : 5% NFDM/TBST.

Highly expressed in the liver and to a much lesser extent in the heart (PMID : 11113132 and 12729891).

All lanes:

Western blot - Anti-Hepcidin + Hepcidin-2 antibody [EPR18937] (<a href='/en-us/products/primary-antibodies/hepcidin-hepcidin-2-antibody-epr18937-ab190775'>ab190775</a>) at 1/200 dilution

Lane 1:

Mouse liver lysate at 10 µg

Lane 2:

Mouse brain lysate at 10 µg

Lane 3:

Mouse heart lysate at 10 µg

Lane 4:

Mouse kidney lysate at 10 µg

Lane 5:

Mouse spleen lysate at 10 µg

Lane 6:

RAW 264.7 (Mouse macrophage cells transformed with Abelson murine leukemia virus) whole cell lysate at 10 µg

Lane 7:

NIH/3T3 (Mouse embyro fibroblast cells) whole cell lysate at 10 µg

Secondary

All lanes:

Western blot - Goat Anti-Rabbit IgG H&L (HRP) (<a href='/en-us/products/secondary-antibodies/goat-rabbit-igg-h-l-hrp-ab97051'>ab97051</a>) at 1/100000 dilution

Predicted band size: 9 kDa

Observed band size: 9 kDa

false

Exposure time: 20s

  • Unconjugated

    Anti-Hepcidin + Hepcidin-2 antibody [EPR18937]

  • 665 Alexa Fluor® 647

    Alexa Fluor® 647 Anti-Hepcidin + Hepcidin-2 antibody [EPR18937]

Key facts

Host species

Rabbit

Clonality

Monoclonal

Clone number

EPR18937

Isotype

IgG

Carrier free

Yes

Reacts with

Mouse

Applications

IHC-Fr, WB, IHC-P

applications

Immunogen

The exact immunogen used to generate this antibody is proprietary information.

Reactivity data

{ "title": "Reactivity Data", "filters": { "stats": ["", "Species", "Dilution Info", "Notes"], "tabs": { "all-applications": {"fullname" : "All Applications", "shortname": "All Applications"}, "WB" : {"fullname" : "Western blot", "shortname":"WB"}, "IHCFr" : {"fullname" : "Immunohistochemistry (Frozen sections)", "shortname":"IHC-Fr"}, "IHCP" : {"fullname" : "Immunohistochemistry (Formalin/PFA-fixed paraffin-embedded sections)", "shortname":"IHC-P"} }, "product-promise": { "all": "all", "testedAndGuaranteed": "tested", "guaranteed": "expected", "predicted": "predicted", "notRecommended": "not-recommended" } }, "values": { "Mouse": { "WB-species-checked": "testedAndGuaranteed", "WB-species-dilution-info": "", "WB-species-notes": "<p></p>", "IHCFr-species-checked": "testedAndGuaranteed", "IHCFr-species-dilution-info": "", "IHCFr-species-notes": "<p></p>", "IHCP-species-checked": "testedAndGuaranteed", "IHCP-species-dilution-info": "", "IHCP-species-notes": "<p></p>" } } }

Product details

ab251032 is the carrier-free version of ab190775.

Patented technology
Our RabMAb® technology is a patented hybridoma-based technology for making rabbit monoclonal antibodies. For details on our patents, please refer to RabMAb® patents.

What are the advantages of a recombinant monoclonal antibody?
This product is a recombinant monoclonal antibody, which offers several advantages including:

  • - High batch-to-batch consistency and reproducibility
  • - Improved sensitivity and specificity
  • - Long-term security of supply
  • - Animal-free batch production

For more information, read more on recombinant antibodies.

Conjugation ready
Our carrier-free antibodies are typically supplied in a PBS-only formulation, purified and free of BSA, sodium azide and glycerol. This conjugation-ready format is designed for use with fluorochromes, metal isotopes, oligonucleotides, and enzymes, which makes them ideal for antibody labelling, functional and cell-based assays, flow-based assays (e.g. mass cytometry) and Multiplex Imaging applications.

Use our conjugation kits for antibody conjugates that are ready-to-use in as little as 20 minutes with 1 minute hands-on-time and 100% antibody recovery: available for fluorescent dyes, HRP, biotin and gold.

Compatibility
This product is compatible with the Maxpar® Antibody Labeling Kit from Fluidigm, without the need for antibody preparation. Maxpar® is a trademark of Fluidigm Canada Inc.

Properties and storage information

Form
Liquid
Storage buffer
pH: 7.2 - 7.4 Constituents: PBS
Shipped at conditions
Blue Ice
Appropriate short-term storage conditions
+4°C
Appropriate long-term storage conditions
+4°C
Storage information
Do Not Freeze

Supplementary information

This supplementary information is collated from multiple sources and compiled automatically.

Hepcidin also known as LEAP-1 and Hepcidin-2 are small peptides with Hepcidin having a mass of approximately 2.8 kDa. These peptides synthesize in the liver and release into the circulatory system. Hepcidins regulate iron homeostasis by binding to the iron exporter ferroportin which is present on the surface of enterocytes macrophages and hepatocytes. This binding causes ferroportin internalization and degradation reducing iron release into the bloodstream.
Biological function summary

The iron-regulating proteins are key regulators of systemic iron metabolism. Hepcidin acts as a hormone controlling the distribution of iron a vital element for many physiological processes. Hepcidin-2 serves a similar role but its specific role is less defined compared to Hepcidin. Though they don't form complexes with other proteins their activity is critical for maintaining controlled levels of iron throughout the body preventing both deficiency and overload.

Pathways

Hepcidin and Hepcidin-2 are integral within the iron and hepcidin regulatory pathway which coordinates body iron levels. They play roles in the bone morphogenetic protein (BMP) signaling pathway. The pathway involves several other proteins like BMP6 and SMAD4 which influence hepcidin expression in response to iron levels and the body's erythropoietic activity.

Hepcidin regulation has implications in conditions like hereditary hemochromatosis and anemia of inflammation. Hereditary hemochromatosis results from insufficient Hepcidin activity leading to iron overload. Conversely anemia of inflammation shows increased Hepcidin levels reducing iron availability and contributing to anemia. Hepcidin dysregulation connects to other proteins such as HFE and transferrin receptor 2 which play roles in iron overload disorders.

Product protocols

For this product, it's our understanding that no specific protocols are required. You can visit:

Target data

Seems to act as a signaling molecule involved in the maintenance of iron homeostasis.
See full target information Hamp2

Additional targets

Hamp

Product promise

We are committed to supporting your work with high-quality reagents, and we're here for you every step of the way. In the unlikely event that one of our products does not perform as expected, you're protected by our Product Promise.
For full details, please see our Terms & Conditions

Please note: All products are 'FOR RESEARCH USE ONLY. NOT FOR USE IN DIAGNOSTIC OR THERAPEUTIC PROCEDURES'.

For licensing inquiries, please contact partnerships@abcam.com