JavaScript is disabled in your browser. Please enable JavaScript to view this website.
AB194111

Anti-HES5 antibody [EPR15578]

Be the first to review this product! Submit a review

|

(31 Publications)

Rabbit Recombinant Monoclonal HES5 antibody. Suitable for IP, WB, IHC-P and reacts with Human, Mouse, Rat samples. Cited in 31 publications.

View Alternative Names

BHLHB38, HES5, Transcription factor HES-5, Class B basic helix-loop-helix protein 38, Hairy and enhancer of split 5, bHLHb38

8 Images
Immunohistochemistry (Formalin/PFA-fixed paraffin-embedded sections) - Anti-HES5 antibody [EPR15578] (AB194111)
  • IHC-P

Supplier Data

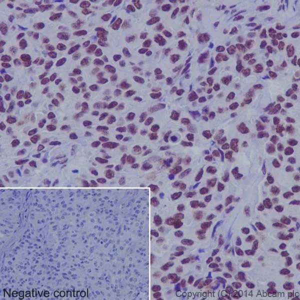
Immunohistochemistry (Formalin/PFA-fixed paraffin-embedded sections) - Anti-HES5 antibody [EPR15578] (AB194111)

Immunohistochemical analysis of paraffin-embedded human glioblastoma tissue labeling HES5 with ab194111 at 1/1000 dilution, followed by prediluted HRP Polymer for Rabbit/Mouse IgG. Counter stained with Hematoxylin.

Perform heat mediated antigen retrieval with EDTA buffer pH 9 before commencing with IHC staining protocol.

Immunohistochemistry (Formalin/PFA-fixed paraffin-embedded sections) - Anti-HES5 antibody [EPR15578] (AB194111)
  • IHC-P

Supplier Data

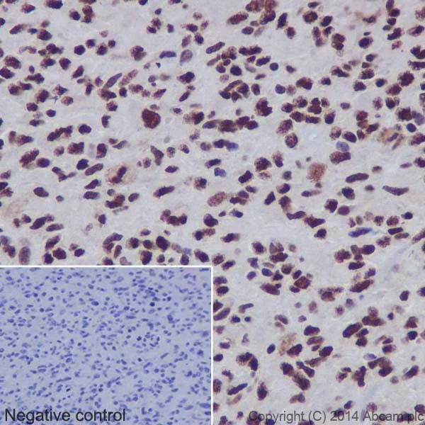
Immunohistochemistry (Formalin/PFA-fixed paraffin-embedded sections) - Anti-HES5 antibody [EPR15578] (AB194111)

Immunohistochemical analysis of paraffin-embedded Human adenocarcinoma of endometrium tissue labeling HES5 with ab194111 at 1/1000 dilution, followed by prediluted HRP Polymer for Rabbit/Mouse IgG. Counter stained with Hematoxylin.

Perform heat mediated antigen retrieval with EDTA buffer pH 9 before commencing with IHC staining protocol.

Immunohistochemistry (Formalin/PFA-fixed paraffin-embedded sections) - Anti-HES5 antibody [EPR15578] (AB194111)
  • IHC-P

Supplier Data

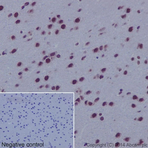
Immunohistochemistry (Formalin/PFA-fixed paraffin-embedded sections) - Anti-HES5 antibody [EPR15578] (AB194111)

Immunohistochemical analysis of paraffin-embedded Mouse cerebral cortex tissue labeling HES5 with ab194111 at 1/1000 dilution, followed by prediluted HRP Polymer for Rabbit/Mouse IgG. Counter stained with Hematoxylin.

Perform heat mediated antigen retrieval with EDTA buffer pH 9 before commencing with IHC staining protocol.

Western blot - Anti-HES5 antibody [EPR15578] (AB194111)
  • WB

Supplier Data

Western blot - Anti-HES5 antibody [EPR15578] (AB194111)

Blocking/Dilution buffer : 5% NFDM/TBST.

All lanes:

Western blot - Anti-HES5 antibody [EPR15578] (ab194111) at 1/2000 dilution

All lanes:

Human fetal brain lysate at 20 µg

Secondary

All lanes:

Anti-Rabbit IgG (HRP), specific to the non-reduced form of IgG at 1/1000 dilution

Predicted band size: 18 kDa

Observed band size: 18 kDa

false

Western blot - Anti-HES5 antibody [EPR15578] (AB194111)
  • WB

Supplier Data

Western blot - Anti-HES5 antibody [EPR15578] (AB194111)

Blocking/Dilution buffer : 5% NFDM/TBST.

All lanes:

Western blot - Anti-HES5 antibody [EPR15578] (ab194111) at 1/10000 dilution

All lanes:

Human cerebellum lysate at 10 µg

Secondary

All lanes:

Anti-Rabbit IgG (HRP), specific to the non-reduced form of IgG at 1/1000 dilution

Predicted band size: 18 kDa

Observed band size: 18 kDa

false

Immunoprecipitation - Anti-HES5 antibody [EPR15578] (AB194111)
  • IP

Supplier Data

Immunoprecipitation - Anti-HES5 antibody [EPR15578] (AB194111)

Western blot detection of HES5 in Human cerebellum cell lysate immunoprecipitated using ab194111 at 1/40 dilution.

Secondary antibody : Goat Anti-Rabbit IgG, (H+L), Peroxidase conjugated at 1/1000 dilution.

Blocking/Dilution buffer : 5% NFDM/TBST.

All lanes:

Immunoprecipitation - Anti-HES5 antibody [EPR15578] (ab194111)

Predicted band size: 18 kDa

Observed band size: 18 kDa

false

Western blot - Anti-HES5 antibody [EPR15578] (AB194111)
  • WB

Supplier Data

Western blot - Anti-HES5 antibody [EPR15578] (AB194111)

Blocking/Dilution buffer : 5% NFDM/TBST.

All lanes:

Western blot - Anti-HES5 antibody [EPR15578] (ab194111) at 1/2000 dilution

Lane 1:

Mouse brain lysate at 10 µg

Lane 2:

Mouse kidney lysate at 10 µg

Lane 3:

Mouse spleen lysate at 10 µg

Lane 4:

Rat brain lysate at 10 µg

Lane 5:

Rat kidney lysate at 10 µg

Lane 6:

Rat spleen lysate at 10 µg

Lane 7:

C6 cell lysate at 10 µg

Lane 8:

PC-12 cell lysate at 10 µg

Secondary

All lanes:

Goat anti-rabbit IgG, (H+L), peroxidase conjugated at 1/1000 dilution

Predicted band size: 18 kDa

Observed band size: 18 kDa

false

Western blot - Anti-HES5 antibody [EPR15578] (AB194111)
  • WB

Supplier Data

Western blot - Anti-HES5 antibody [EPR15578] (AB194111)

Blocking/Dilution buffer : 5% NFDM/TBST.

All lanes:

Western blot - Anti-HES5 antibody [EPR15578] (ab194111) at 1/10000 dilution

All lanes:

293 cell lysate at 10 µg

Secondary

All lanes:

Goat anti-rabbit IgG, (H+L), peroxidase conjugated at 1/1000 dilution

Predicted band size: 18 kDa

Observed band size: 18 kDa

false

  • Carrier free

    Anti-HES5 antibody [EPR15578] - BSA and Azide free

Key facts

Host species

Rabbit

Clonality

Monoclonal

Clone number

EPR15578

Isotype

IgG

Carrier free

No

Reacts with

Mouse, Rat, Human

Applications

IHC-P, IP, WB

applications

Immunogen

The exact immunogen used to generate this antibody is proprietary information.

Reactivity data

{ "title": "Reactivity Data", "filters": { "stats": ["", "Species", "Dilution Info", "Notes"], "tabs": { "all-applications": {"fullname" : "All Applications", "shortname": "All Applications"}, "IP" : {"fullname" : "Immunoprecipitation", "shortname":"IP"}, "WB" : {"fullname" : "Western blot", "shortname":"WB"}, "IHCP" : {"fullname" : "Immunohistochemistry (Formalin/PFA-fixed paraffin-embedded sections)", "shortname":"IHC-P"}, "ICC" : {"fullname" : "Immunocytochemistry", "shortname":"ICC"} }, "product-promise": { "all": "all", "testedAndGuaranteed": "tested", "guaranteed": "expected", "predicted": "predicted", "notRecommended": "not-recommended" } }, "values": { "Human": { "IP-species-checked": "testedAndGuaranteed", "IP-species-dilution-info": "1/40", "IP-species-notes": "<p></p>", "WB-species-checked": "testedAndGuaranteed", "WB-species-dilution-info": "1/1000 - 1/10000", "WB-species-notes": "<p></p>", "IHCP-species-checked": "testedAndGuaranteed", "IHCP-species-dilution-info": "1/500 - 1/1000", "IHCP-species-notes": "<p></p>", "ICC-species-checked": "notRecommended", "ICC-species-dilution-info": "", "ICC-species-notes": "<p></p>" }, "Mouse": { "IP-species-checked": "guaranteed", "IP-species-dilution-info": "", "IP-species-notes": "", "WB-species-checked": "testedAndGuaranteed", "WB-species-dilution-info": "1/1000 - 1/10000", "WB-species-notes": "<p></p>", "IHCP-species-checked": "testedAndGuaranteed", "IHCP-species-dilution-info": "1/500 - 1/1000", "IHCP-species-notes": "<p></p>", "ICC-species-checked": "notRecommended", "ICC-species-dilution-info": "", "ICC-species-notes": "<p></p>" }, "Rat": { "IP-species-checked": "guaranteed", "IP-species-dilution-info": "", "IP-species-notes": "", "WB-species-checked": "testedAndGuaranteed", "WB-species-dilution-info": "1/1000 - 1/10000", "WB-species-notes": "<p></p>", "IHCP-species-checked": "guaranteed", "IHCP-species-dilution-info": "", "IHCP-species-notes": "", "ICC-species-checked": "notRecommended", "ICC-species-dilution-info": "", "ICC-species-notes": "<p></p>" } } }

Product details

Patented technology
Our RabMAb® technology is a patented hybridoma-based technology for making rabbit monoclonal antibodies. For details on our patents, please refer to RabMAb® patents.

What are the advantages of a recombinant monoclonal antibody?
This product is a recombinant monoclonal antibody, which offers several advantages including:

  • - High batch-to-batch consistency and reproducibility
  • - Improved sensitivity and specificity
  • - Long-term security of supply
  • - Animal-free batch production

For more information, read more on recombinant antibodies.

Properties and storage information

Form
Liquid
Purification technique
Affinity purification Protein A
Storage buffer
pH: 7.2 - 7.4 Preservative: 0.01% Sodium azide Constituents: PBS, 40% Glycerol (glycerin, glycerine), 0.05% BSA
Shipped at conditions
Blue Ice
Appropriate short-term storage duration
1-2 weeks
Appropriate short-term storage conditions
+4°C
Appropriate long-term storage conditions
-20°C
Aliquoting information
Upon delivery aliquot
Storage information
Avoid freeze / thaw cycle

Supplementary information

This supplementary information is collated from multiple sources and compiled automatically.

The HES5 protein also known as Hairy and Enhancer of Split 5 represents a transcriptional repressor involved in various cellular processes. Having a molecular weight of around 30 kDa HES5 is part of the basic helix-loop-helix (bHLH) family of transcription factors. Its expression predominantly occurs in the nervous system specifically in neural progenitor cells. Additionally HES5 also shows expression in certain tissues during early developmental stages.
Biological function summary

The HES5 protein influences neurogenesis by regulating the transcription of genes involved in developmental pathways. It does not work alone but as part of a larger complex of proteins specifically within the Notch signaling pathway. When active HES5 suppresses the expression of proneural genes thereby maintaining neural progenitor cells in an undifferentiated state an important function for proper neural development. This regulatory role is essential for ensuring the balance between neural progenitor proliferation and differentiation.

Pathways

HES5 functions significantly within the Notch signaling and Wnt pathways which are critical to cellular differentiation and proliferation. The Notch signaling pathway includes interactions with related proteins like Notch receptors and ligands such as DLL1 and JAG1. These interactions modulate gene expression that governs neural stem cell maintenance and differentiation. Within the Wnt pathway HES5 indirectly influences signaling that affects cellular fate decisions showing the protein’s role in developing a cellular environment conducive to tissue repair and regeneration.

HES5 has associations with central nervous system disorders like glioblastoma and neurodegenerative diseases. In glioblastoma altered expression of HES5 contributes to the aberrant regulation of neural progenitor states influencing tumorigenesis. HES5's role in neurodegenerative diseases links to its regulatory control over neurogenesis potentially affecting conditions such as Alzheimer's disease. Connections with other proteins such as NOTCH1 in glioblastoma indicate the complex interplay of HES5 within these disease states.

Product protocols

For this product, it's our understanding that no specific protocols are required. You can visit:

Target data

Transcriptional repressor of genes that require a bHLH protein for their transcription. Plays an important role as neurogenesis negative regulator (By similarity).
See full target information HES5

Publications (31)

Recent publications for all applications. Explore the full list and refine your search

Journal of translational medicine 23:367 PubMed40128847

2025

Sodium tanshinone IIA sulfonate promotes proliferation and differentiation of endogenous neural stem cells to repair rat spinal cord injury via the Notch pathway.

Applications

Unspecified application

Species

Unspecified reactive species

Wenqing Zhong,Luchun Xu,Guozheng Jiang,Yushan Gao,Jiawei Song,Yukun Ma,Guanlong Wang,Jiaojiao Fan,Wenhao Li,Shibo Zhou,Yongdong Yang,Xing Yu

Cancer medicine 13:e70412 PubMed39629744

2024

FAM3C Regulates Glioma Cell Proliferation, Invasion, Apoptosis, and Epithelial Mesenchymal Transition via the Notch Pathway.

Applications

Unspecified application

Species

Unspecified reactive species

Xiaochao Xia,Zihao Wang,Lvmeng Song,Yinchuan Cheng,Ping Xiong,Shun Li

ACS pharmacology & translational science 7:2725-2738 PubMed39296270

2024

Empagliflozin Attenuates Pulmonary Arterial Remodeling Through Peroxisome Proliferator-Activated Receptor Gamma Activation.

Applications

Unspecified application

Species

Unspecified reactive species

Ying-Ju Lai,Yung-Hsin Yeh,Yen-Lin Huang,Celina De Almeida,Gwo-Jyh Chang,Wei-Jan Chen,Hsao-Hsun Hsu

Stem cells translational medicine 13:661-677 PubMed38709826

2024

MEK/ERK signaling drives the transdifferentiation of supporting cells into functional hair cells by modulating the Notch pathway.

Applications

Unspecified application

Species

Unspecified reactive species

Jiaoyao Ma,Mingyu Xia,Jin Guo,Wen Li,Shan Sun,Bing Chen

Journal of advanced research 68:429-444 PubMed38417575

2024

Salidroside promotes pro-angiogenesis and repair of blood brain barrier via Notch/ITGB1 signal path in CSVD Model.

Applications

Unspecified application

Species

Unspecified reactive species

Tu Zhilan,Zhang Zengyu,Jin Pengpeng,Yang Hualan,Li Chao,Xi Yan,Guo Zimin,Hou Shuangxing,Li Weiwei

Acta biochimica et biophysica Sinica 55:1571-1581 PubMed37674364

2023

Fucosyltransferase 9 promotes neuronal differentiation and functional recovery after spinal cord injury by suppressing the activation of Notch signaling.

Applications

Unspecified application

Species

Unspecified reactive species

Jiewen Chen,Xiaolin Zeng,Wenwu Zhang,Gang Li,Haoming Zhong,Chengzhong Xu,Xiang Li,Tao Lin

Cell division 18:4 PubMed36882799

2023

MiR-146b-5p/SEMA3G regulates epithelial-mesenchymal transition in clear cell renal cell carcinoma.

Applications

Unspecified application

Species

Unspecified reactive species

Mengxi Tang,Tao Xiong

Cells 12: PubMed36899896

2023

Notch Signaling Pathway in Tooth Shape Variations throughout Evolution.

Applications

Unspecified application

Species

Unspecified reactive species

Thimios A Mitsiadis,Pierfrancesco Pagella,Helder Gomes Rodrigues,Alexander Tsouknidas,Liza L Ramenzoni,Freddy Radtke,Albert Mehl,Laurent Viriot

Frontiers in oncology 12:1017745 PubMed36483041

2022

MIR4435-2HG in exosomes promotes gastric carcinogenesis by inducing M2 polarization in macrophages.

Applications

Unspecified application

Species

Unspecified reactive species

Chaofeng Li,Zhengju Chen,Jinli Gao,Tao Tang,Lei Zhou,Guochao Zhang,Dongdong Zhang,Chao Shen,Lei Guo,Tao Fu

Experimental and therapeutic medicine 24:473 PubMed35761807

2022

GRWD1 affects the proliferation, apoptosis, invasion and migration of triple negative breast cancer through the Notch signaling pathway.

Applications

Unspecified application

Species

Unspecified reactive species

Liang Yao,Fuguo Tian
View all publications

Product promise

We are committed to supporting your work with high-quality reagents, and we're here for you every step of the way. In the unlikely event that one of our products does not perform as expected, you're protected by our Product Promise.
For full details, please see our Terms & Conditions

Please note: All products are 'FOR RESEARCH USE ONLY. NOT FOR USE IN DIAGNOSTIC OR THERAPEUTIC PROCEDURES'.

For licensing inquiries, please contact partnerships@abcam.com