JavaScript is disabled in your browser. Please enable JavaScript to view this website.
AB303485

Anti-HEXA antibody [EPR26393-80] - BSA and Azide free

Be the first to review this product! Submit a review

|

(0 Publication)

Rabbit Recombinant Monoclonal HEXA antibody. Carrier free. Suitable for WB, IHC-P and reacts with Human samples.

View Alternative Names

Beta-hexosaminidase subunit alpha, Beta-N-acetylhexosaminidase subunit alpha, N-acetyl-beta-glucosaminidase subunit alpha, Hexosaminidase subunit A, HEXA

4 Images
Immunohistochemistry (Formalin/PFA-fixed paraffin-embedded sections) - Anti-HEXA antibody [EPR26393-80] - BSA and Azide free (AB303485)
  • IHC-P

Supplier Data

Immunohistochemistry (Formalin/PFA-fixed paraffin-embedded sections) - Anti-HEXA antibody [EPR26393-80] - BSA and Azide free (AB303485)

This data was developed using ab303484, the same antibody clone in a different buffer formulation.Immunohistochemical analysis of paraffin-embedded Human cerebrum tissue labeling HEXA with ab303484 at 1/5000 (0.103 ug/ml) followed by a ready to use LeicaDS9800 (Bond™ Polymer Refine Detection) was used. Positive staining on human cerebrum. The section was incubated with ab303484 for 30 mins at room temperature.The immunostaining was performed on a Leica Biosystems BOND® RX instrument Counterstained with Hematoxylin. Secondary antibody only control : Secondary antibody is a ready to use LeicaDS9800 (Bond™ Polymer Refine Detection).Heat mediated antigen retrieval was performed with Tris-EDTA buffer (pH 9.0, Epitope Retrieval Solution2) for 20 mins

Immunohistochemistry (Formalin/PFA-fixed paraffin-embedded sections) - Anti-HEXA antibody [EPR26393-80] - BSA and Azide free (AB303485)
  • IHC-P

Supplier Data

Immunohistochemistry (Formalin/PFA-fixed paraffin-embedded sections) - Anti-HEXA antibody [EPR26393-80] - BSA and Azide free (AB303485)

This data was developed using ab303484, the same antibody clone in a different buffer formulation.Immunohistochemical analysis of paraffin-embedded Human testis tissue labeling HEXA with ab303484 at 1/5000 (0.103 ug/ml) followed by a ready to use LeicaDS9800 (Bond™ Polymer Refine Detection) was used. Positive staining on human testis. The section was incubated with ab303484 for 30 mins at room temperature.The immunostaining was performed on a Leica Biosystems BOND® RX instrument Counterstained with Hematoxylin. Secondary antibody only control : Secondary antibody is a ready to use LeicaDS9800 (Bond™ Polymer Refine Detection).Heat mediated antigen retrieval was performed with Tris-EDTA buffer (pH 9.0, Epitope Retrieval Solution2) for 20 mins

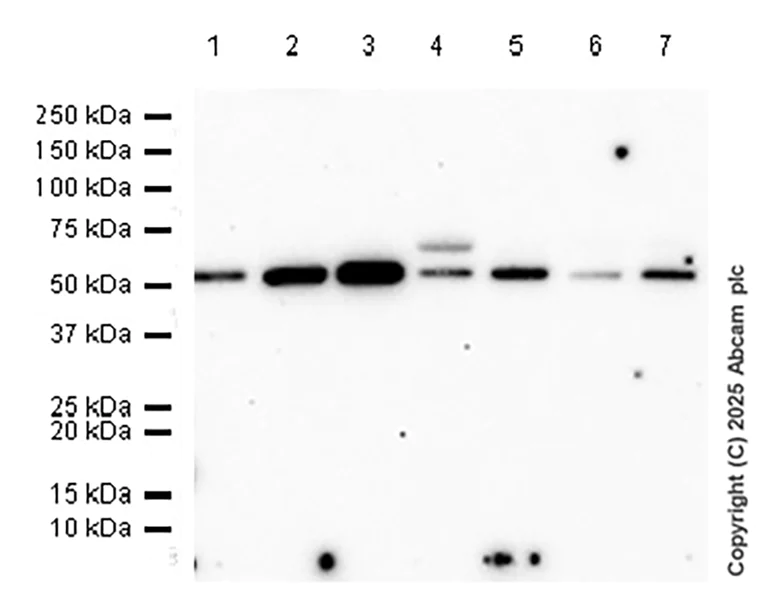
Western blot - Anti-HEXA antibody [EPR26393-80] - BSA and Azide free (AB303485)
  • WB

Lab

Western blot - Anti-HEXA antibody [EPR26393-80] - BSA and Azide free (AB303485)

This data was developed using ab303484, the same antibody clone in a different buffer formulation.

Blocking and diluting buffer and concentration : 5% NFDM/TBST.

All lanes:

Western blot - Anti-HEXA antibody [EPR26393-80] (<a href='/en-us/products/primary-antibodies/hexa-antibody-epr26393-80-ab303484'>ab303484</a>) at 1/1000 dilution

Lane 1:

HeLa (human cervix adenocarcinoma epithelial cell) whole cell lysate at 20 µg

Lane 2:

HepG2 (human hepatocellular carcinoma epithelial cell) whole cell lysate at 20 µg

Lane 3:

MCF7 (human breast adenocarcinoma epithelial cell) whole cell lysate at 20 µg

Lane 4:

Human lung tissue lysate at 20 µg

Lane 5:

Human lung cancer tissue lysate at 20 µg

Lane 6:

Human testis tissue lysate at 20 µg

Lane 7:

Human spleen tissue lysate at 20 µg

Secondary

All lanes:

Goat Anti-Rabbit IgG (HRP) with minimal cross-reactivity with human IgG at 1/2000 dilution

Observed band size: 54 kDa

false

Exposure time: 180s

Western blot - Anti-HEXA antibody [EPR26393-80] - BSA and Azide free (AB303485)
  • WB

Supplier Data

Western blot - Anti-HEXA antibody [EPR26393-80] - BSA and Azide free (AB303485)

This data was developed using ab303484, the same antibody clone in a different buffer formulation.

Blocking and dilution buffer and concentration : 5% NFDM/TBST

This blot was developed using a high sensitivity ECL substrate. The high-sensitivity ECL substrate used allows for the detection of proteins in the mid-femtogram range.

All lanes:

Western blot - Anti-HEXA antibody [EPR26393-80] (<a href='/en-us/products/primary-antibodies/hexa-antibody-epr26393-80-ab303484'>ab303484</a>) at 1/1000 dilution

Lane 1:

Hela (human cervix adenocarcinoma epithelial cell) transfected with scrambled siRNA control, whole cell lysate at 20 µg

Lane 2:

Hela transfected with siRNAs specifically targeting HEXA, whole cell lysate at 20 µg

Secondary

All lanes:

Western blot - Goat Anti-Rabbit IgG H&L (HRP) (<a href='/en-us/products/secondary-antibodies/goat-rabbit-igg-h-l-hrp-ab97051'>ab97051</a>) at 1/100000 dilution

Predicted band size: 61 kDa

Observed band size: 54 kDa

true

Exposure time: 3min

Key facts

Host species

Rabbit

Clonality

Monoclonal

Clone number

EPR26393-80

Isotype

IgG

Carrier free

Yes

Reacts with

Human

Applications

IHC-P, WB

applications

Immunogen

The exact immunogen used to generate this antibody is proprietary information.

Reactivity data

{ "title": "Reactivity Data", "filters": { "stats": ["", "Species", "Dilution Info", "Notes"], "tabs": { "all-applications": {"fullname" : "All Applications", "shortname": "All Applications"}, "WB" : {"fullname" : "Western blot", "shortname":"WB"}, "IHCP" : {"fullname" : "Immunohistochemistry (Formalin/PFA-fixed paraffin-embedded sections)", "shortname":"IHC-P"}, "ICCIF" : {"fullname" : "Immunocytochemistry/ Immunofluorescence", "shortname":"ICC/IF"}, "FlowCytIntra" : {"fullname" : "Flow Cytometry (Intracellular)", "shortname":"Flow Cyt (Intra)"}, "IP" : {"fullname" : "Immunoprecipitation", "shortname":"IP"} }, "product-promise": { "all": "all", "testedAndGuaranteed": "tested", "guaranteed": "expected", "predicted": "predicted", "notRecommended": "not-recommended" } }, "values": { "Human": { "WB-species-checked": "testedAndGuaranteed", "WB-species-dilution-info": "", "WB-species-notes": "<p></p>", "IHCP-species-checked": "testedAndGuaranteed", "IHCP-species-dilution-info": "", "IHCP-species-notes": "<p></p>", "ICCIF-species-checked": "notRecommended", "ICCIF-species-dilution-info": "", "ICCIF-species-notes": "<p></p>", "FlowCytIntra-species-checked": "notRecommended", "FlowCytIntra-species-dilution-info": "", "FlowCytIntra-species-notes": "<p></p>", "IP-species-checked": "notRecommended", "IP-species-dilution-info": "", "IP-species-notes": "<p></p>" }, "Mouse": { "WB-species-checked": "notRecommended", "WB-species-dilution-info": "", "WB-species-notes": "<p></p>", "IHCP-species-checked": "notRecommended", "IHCP-species-dilution-info": "", "IHCP-species-notes": "<p></p>", "ICCIF-species-checked": "notRecommended", "ICCIF-species-dilution-info": "", "ICCIF-species-notes": "<p></p>", "FlowCytIntra-species-checked": "notRecommended", "FlowCytIntra-species-dilution-info": "", "FlowCytIntra-species-notes": "<p></p>", "IP-species-checked": "notRecommended", "IP-species-dilution-info": "", "IP-species-notes": "<p></p>" }, "Rat": { "WB-species-checked": "notRecommended", "WB-species-dilution-info": "", "WB-species-notes": "<p></p>", "IHCP-species-checked": "notRecommended", "IHCP-species-dilution-info": "", "IHCP-species-notes": "<p></p>", "ICCIF-species-checked": "notRecommended", "ICCIF-species-dilution-info": "", "ICCIF-species-notes": "", "FlowCytIntra-species-checked": "notRecommended", "FlowCytIntra-species-dilution-info": "", "FlowCytIntra-species-notes": "", "IP-species-checked": "notRecommended", "IP-species-dilution-info": "", "IP-species-notes": "" } } }

Product details

Patented technology
Our RabMAb® technology is a patented hybridoma-based technology for making rabbit monoclonal antibodies. For details on our patents, please refer to RabMAb® patents.

What are the advantages of a recombinant monoclonal antibody?
This product is a recombinant monoclonal antibody, which offers several advantages including:

  • - High batch-to-batch consistency and reproducibility
  • - Improved sensitivity and specificity
  • - Long-term security of supply
  • - Animal-free batch production

For more information, read more on recombinant antibodies.

Conjugation ready
Our carrier-free antibodies are typically supplied in a PBS-only formulation, purified and free of BSA, sodium azide and glycerol. This conjugation-ready format is designed for use with fluorochromes, metal isotopes, oligonucleotides, and enzymes, which makes them ideal for antibody labelling, functional and cell-based assays, flow-based assays (e.g. mass cytometry) and Multiplex Imaging applications.

Use our conjugation kits for antibody conjugates that are ready-to-use in as little as 20 minutes with 1 minute hands-on-time and 100% antibody recovery: available for fluorescent dyes, HRP, biotin and gold.

Compatibility
This product is compatible with the Maxpar® Antibody Labeling Kit from Fluidigm, without the need for antibody preparation. Maxpar® is a trademark of Fluidigm Canada Inc.

Properties and storage information

Form
Liquid
Purification technique
Affinity purification Protein A
Storage buffer
pH: 7.2 - 7.4 Constituents: PBS
Shipped at conditions
Blue Ice
Appropriate short-term storage conditions
+4°C
Appropriate long-term storage conditions
+4°C
Storage information
Do Not Freeze

Supplementary information

This supplementary information is collated from multiple sources and compiled automatically.

The HEXA gene codes for the enzyme Hexosaminidase A also known as hexosaminidase alpha or HEXA subunit. This enzyme has several subunits with a molecular mass of approximately 58 kDa. HEXA expresses in various tissues but it shows high expression in the brain and other neural tissues. Mechanically Hexosaminidase A is involved in the hydrolysis of GM2 gangliosides into GM3 by removing the N-acetylgalactosamine residue which plays a role in the degradation of glycolipids within lysosomes.
Biological function summary

Hexosaminidase A functions as part of the lysosomal enzyme complex partnering with the GM2 activator protein and another related enzyme Hexosaminidase B. The complex is critical in the catabolism of GM2 gangliosides a type of lipid found in cell membranes specifically in neuronal cell membranes. Efficient function of Hexosaminidase A prevents accumulation of the lipid ensuring cellular health particularly in neurons.

Pathways

Hexosaminidase A is significant within glycolipid metabolism pathways and lysosomal degradation pathways. It cooperates closely with enzymes like Hexosaminidase B and the GM2 activator protein within these processes. These pathways are important for the breakdown of gangliosides which prevents their accumulation and maintains cellular function in neuronal tissues.

HEXA mutations have a direct link to Tay-Sachs disease a severe genetic disorder affecting nerve cells. This disorder results from HEXA mutations causing deficient enzyme activity leading to GM2 ganglioside accumulation. Additionally Sandhoff disease links through similar pathways though its relation more involves Hexosaminidase B deficiencies. Both disorders highlight the importance of a functioning Hexosaminidase A enzyme for normal neurological function.

Product protocols

For this product, it's our understanding that no specific protocols are required. You can visit:

Target data

Hydrolyzes the non-reducing end N-acetyl-D-hexosamine and/or sulfated N-acetyl-D-hexosamine of glycoconjugates, such as the oligosaccharide moieties from proteins and neutral glycolipids, or from certain mucopolysaccharides (PubMed : 11707436, PubMed : 8123671, PubMed : 8672428, PubMed : 9694901). The isozyme S is as active as the isozyme A on the anionic bis-sulfated glycans, the chondroitin-6-sulfate trisaccharide (C6S-3), and the dermatan sulfate pentasaccharide, and the sulfated glycosphingolipid SM2 (PubMed : 11707436). The isozyme B does not hydrolyze each of these substrates, however hydrolyzes efficiently neutral oligosaccharide (PubMed : 11707436). Only the isozyme A is responsible for the degradation of GM2 gangliosides in the presence of GM2A (PubMed : 8123671, PubMed : 8672428, PubMed : 9694901).
See full target information HEXA

Product promise

We are committed to supporting your work with high-quality reagents, and we're here for you every step of the way. In the unlikely event that one of our products does not perform as expected, you're protected by our Product Promise.
For full details, please see our Terms & Conditions

Please note: All products are 'FOR RESEARCH USE ONLY. NOT FOR USE IN DIAGNOSTIC OR THERAPEUTIC PROCEDURES'.

For licensing inquiries, please contact partnerships@abcam.com