JavaScript is disabled in your browser. Please enable JavaScript to view this website.
AB248929

Anti-HEXB antibody [EPR7978] - BSA and Azide free

Be the first to review this product! Submit a review

|

(1 Publication)

Rabbit Recombinant Monoclonal HEXB antibody. Carrier free. Suitable for WB, IHC-P and reacts with Human samples. Cited in 1 publication.

View Alternative Names

HCC7, HEXB, Beta-hexosaminidase subunit beta, Beta-N-acetylhexosaminidase subunit beta, Cervical cancer proto-oncogene 7 protein, N-acetyl-beta-glucosaminidase subunit beta, Hexosaminidase subunit B, HCC-7

5 Images
Immunohistochemistry (Formalin/PFA-fixed paraffin-embedded sections) - Anti-HEXB antibody [EPR7978] - BSA and Azide free (AB248929)
  • IHC-P

Unknown

Immunohistochemistry (Formalin/PFA-fixed paraffin-embedded sections) - Anti-HEXB antibody [EPR7978] - BSA and Azide free (AB248929)

This data was developed using ab140649, the same antibody clone in a different buffer formulation.

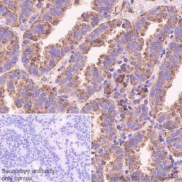
Immunohistochemistry (Formalin/PFA-fixed paraffin-embedded sections) analysis of Human lung cancer tissue sections labeling HEXB with Purified ab140649 at 1 : 500 dilution (4.84 μg/ml). Heat mediated antigen retrieval was performed using ab93684 (Tris/EDTA buffer, pH 9.0). ImmunoHistoProbe one step HRP Polymer (ready to use)was used as the secondary antibody. Negative control : PBS instead of the primary antibody. Hematoxylin was used as a counterstain.

Immunohistochemistry (Formalin/PFA-fixed paraffin-embedded sections) - Anti-HEXB antibody [EPR7978] - BSA and Azide free (AB248929)
  • IHC-P

Unknown

Immunohistochemistry (Formalin/PFA-fixed paraffin-embedded sections) - Anti-HEXB antibody [EPR7978] - BSA and Azide free (AB248929)

This data was developed using ab140649, the same antibody clone in a different buffer formulation.

Immunohistochemical analysis of paraffin embedded Human kidney tissue labelling HEXB with ab140649 at a 1/25 dilution.

This image was generated using the unpurified version of the product.

Western blot - Anti-HEXB antibody [EPR7978] - BSA and Azide free (AB248929)
  • WB

Lab

Western blot - Anti-HEXB antibody [EPR7978] - BSA and Azide free (AB248929)

This data was developed using ab140649, the same antibody clone in a different buffer formulation.

Lane 1 : Wild-type HAP1 whole cell lysate (20 μg)

Lane 2 : HEXB knockout HAP1 whole cell lysate (20 μg)

Lane 3 : Jurkat whole cell lysate (20 μg)

Lane 4 : HeLa whole cell lysate (20 μg)

Lanes 1 - 4 : Merged signal (red and green). Green - ab140649 observed at 70 kDa. Red - loading control, ab8245, observed at 37 kDa.

ab140649 was shown to specifically react with HEXB when HEXB knockout samples were used. Wild-type and HEXB knockout samples were subjected to SDS-PAGE. ab140649 and ab8245 (Mouse anti-GAPDH loading control) were incubated overnight at 4°C at 1/1000 dilution and 1/10000 dilution respectively. Blots were developed with Goat anti-Rabbit IgG H&L (IRDye® 800CW) ab216773 and 680CW Goat anti Mouse secondary antibodies at 1/10000 dilution for 1 hour at room temperature before imaging. This image was generated using the unpurified version of the product.

All lanes:

Western blot - Anti-HEXB antibody [EPR7978] (<a href='/en-us/products/primary-antibodies/hexb-antibody-epr7978-ab140649'>ab140649</a>)

Predicted band size: 63 kDa

false

Western blot - Anti-HEXB antibody [EPR7978] - BSA and Azide free (AB248929)
  • WB

Unknown

Western blot - Anti-HEXB antibody [EPR7978] - BSA and Azide free (AB248929)

This data was developed using ab140649, the same antibody clone in a different buffer formulation.

This image was generated using the unpurified version of the product.

All lanes:

Western blot - Anti-HEXB antibody [EPR7978] (<a href='/en-us/products/primary-antibodies/hexb-antibody-epr7978-ab140649'>ab140649</a>) at 1/1000 dilution

Lane 1:

Jurkat cell lysate at 10 µg

Lane 2:

HeLa cell lysate at 10 µg

Lane 3:

HepG2 cell lysate at 10 µg

Lane 4:

Caco-2 cell lysate at 10 µg

Secondary

All lanes:

HRP conjugated goat anti-rabbit at 1/2000 dilution

Predicted band size: 63 kDa

false

Western blot - Anti-HEXB antibody [EPR7978] - BSA and Azide free (AB248929)
  • WB

Lab

Western blot - Anti-HEXB antibody [EPR7978] - BSA and Azide free (AB248929)

This data was developed using ab140649, the same antibody clone in a different buffer formulation.

The double bands caused by proteolytic processing are consistent with what has been described in PMID : 2139028.

All lanes:

Western blot - Anti-HEXB antibody [EPR7978] (<a href='/en-us/products/primary-antibodies/hexb-antibody-epr7978-ab140649'>ab140649</a>) at 1/1000 dilution

Lane 1:

HeLa (Human cervix adenocarcinoma epithelial cell) whole cell lysate at 15 µg

Lane 2:

HepG2 (Human hepatocellular carcinoma epithelial cell) whole cell lysate at 15 µg

Secondary

All lanes:

Western blot - Goat Anti-Rabbit IgG H&L (HRP) (<a href='/en-us/products/secondary-antibodies/goat-rabbit-igg-h-l-hrp-ab97051'>ab97051</a>) at 1/20000 dilution

Predicted band size: 63 kDa

Observed band size: 29 kDa,63 kDa

false

Key facts

Host species

Rabbit

Clonality

Monoclonal

Clone number

EPR7978

Isotype

IgG

Carrier free

Yes

Reacts with

Human

Applications

WB, IHC-P

applications

Immunogen

The exact immunogen used to generate this antibody is proprietary information.

Reactivity data

{ "title": "Reactivity Data", "filters": { "stats": ["", "Species", "Dilution Info", "Notes"], "tabs": { "all-applications": {"fullname" : "All Applications", "shortname": "All Applications"}, "IP" : {"fullname" : "Immunoprecipitation", "shortname":"IP"}, "FlowCyt" : {"fullname" : "Flow Cytometry", "shortname":"Flow Cyt"}, "WB" : {"fullname" : "Western blot", "shortname":"WB"}, "IHCP" : {"fullname" : "Immunohistochemistry (Formalin/PFA-fixed paraffin-embedded sections)", "shortname":"IHC-P"}, "ICCIF" : {"fullname" : "Immunocytochemistry/ Immunofluorescence", "shortname":"ICC/IF"} }, "product-promise": { "all": "all", "testedAndGuaranteed": "tested", "guaranteed": "expected", "predicted": "predicted", "notRecommended": "not-recommended" } }, "values": { "Human": { "IP-species-checked": "notRecommended", "IP-species-dilution-info": "", "IP-species-notes": "<p></p>", "FlowCyt-species-checked": "notRecommended", "FlowCyt-species-dilution-info": "", "FlowCyt-species-notes": "<p></p>", "WB-species-checked": "testedAndGuaranteed", "WB-species-dilution-info": "", "WB-species-notes": "<p></p>", "IHCP-species-checked": "testedAndGuaranteed", "IHCP-species-dilution-info": "", "IHCP-species-notes": "<p>Antigen retrieval is recommended.</p>", "ICCIF-species-checked": "notRecommended", "ICCIF-species-dilution-info": "", "ICCIF-species-notes": "<p></p>" } } }

Product details

ab248929 is the carrier-free version of ab140649.

Patented technology
Our RabMAb® technology is a patented hybridoma-based technology for making rabbit monoclonal antibodies. For details on our patents, please refer to RabMAb® patents.

What are the advantages of a recombinant monoclonal antibody?
This product is a recombinant monoclonal antibody, which offers several advantages including:

  • - High batch-to-batch consistency and reproducibility
  • - Improved sensitivity and specificity
  • - Long-term security of supply
  • - Animal-free batch production

For more information, read more on recombinant antibodies.

Conjugation ready
Our carrier-free antibodies are typically supplied in a PBS-only formulation, purified and free of BSA, sodium azide and glycerol. This conjugation-ready format is designed for use with fluorochromes, metal isotopes, oligonucleotides, and enzymes, which makes them ideal for antibody labelling, functional and cell-based assays, flow-based assays (e.g. mass cytometry) and Multiplex Imaging applications.

Use our conjugation kits for antibody conjugates that are ready-to-use in as little as 20 minutes with 1 minute hands-on-time and 100% antibody recovery: available for fluorescent dyes, HRP, biotin and gold.

Compatibility
This product is compatible with the Maxpar® Antibody Labeling Kit from Fluidigm, without the need for antibody preparation. Maxpar® is a trademark of Fluidigm Canada Inc.

Properties and storage information

Form
Liquid
Purification technique
Affinity purification Protein A
Storage buffer
pH: 7.2 - 7.4 Constituents: PBS
Shipped at conditions
Blue Ice
Appropriate short-term storage conditions
+4°C
Appropriate long-term storage conditions
+4°C
Storage information
Do Not Freeze

Supplementary information

This supplementary information is collated from multiple sources and compiled automatically.

The target known as HEXB also called Hexosaminidase subunit beta consists of protein subunit that helps in the formation of the enzyme beta-hexosaminidase. This enzyme is active in lysosomes and it weighs about 63 kDa. Beta-hexosaminidase functions to break down GM2 gangliosides which are molecules in cell membranes. HEXB expresses mainly in the brain and liver tissues signaling its role in neurological and hepatic processes.
Biological function summary

The beta-hexosaminidase enzyme formed by HEXB participates in the lysosomal degradation pathway. This enzyme requires formation of a complex with its counterpart HEXA to become biologically active. Together they catalyze the hydrolysis of GM2 gangliosides into GM3 gangliosides which is an essential step for cell membrane metabolism. This process is important for maintaining cellular homeostasis and preventing accumulation of toxic substances within cells.

Pathways

The HEXB encoded enzyme participates in sphingolipid metabolism an integral component of lipid metabolic pathways. Sphingolipids are part of many cellular functions including signal transmission and cell recognition. HEXB through the lysosomal degradation of gangliosides works closely with HEXA and NEU1 which further processes GM3 gangliosides into simpler molecules. Such interactions underline HEXB’s significant role in maintaining the balance of lipid metabolism within cells.

Mutations or deficiencies in HEXB lead to serious genetic conditions such as Sandhoff disease. This disorder results from the improper breakdown of gangliosides due to the lack of functional HEXB leading to their accumulation which severely damages nerve cells and results in neurological impairments. The partnership between HEXB and HEXA emphasizes the importance of both subunits as malfunction in either can contribute to disease progression by disrupting normal ganglioside metabolism.

Product protocols

For this product, it's our understanding that no specific protocols are required. You can visit:

Target data

Hydrolyzes the non-reducing end N-acetyl-D-hexosamine and/or sulfated N-acetyl-D-hexosamine of glycoconjugates, such as the oligosaccharide moieties from proteins and neutral glycolipids, or from certain mucopolysaccharides (PubMed : 11707436, PubMed : 8123671, PubMed : 8672428, PubMed : 9694901). The isozyme B does not hydrolyze each of these substrates, however hydrolyzes efficiently neutral oligosaccharide (PubMed : 11707436). Only the isozyme A is responsible for the degradation of GM2 gangliosides in the presence of GM2A (PubMed : 8123671, PubMed : 8672428, PubMed : 9694901). During fertilization is responsible, at least in part, for the zona block to polyspermy. Present in the cortical granules of non-activated oocytes, is exocytosed during the cortical reaction in response to oocyte activation and inactivates the sperm galactosyltransferase-binding site, accounting for the block in sperm binding to the zona pellucida (By similarity).
See full target information HEXB

Publications (1)

Recent publications for all applications. Explore the full list and refine your search

Journal of personalized medicine 12: PubMed35207643

2022

Detyrosinated α-Tubulin, Vimentin and PD-L1 in Circulating Tumor Cells (CTCs) Isolated from Non-Small Cell Lung Cancer (NSCLC) Patients.

Applications

Unspecified application

Species

Unspecified reactive species

Spyridoula D Katsarou,Ippokratis Messaritakis,Anastasia Voumvouraki,Stavros Kakavogiannis,Athanasios Κotsakis,Saad Alkahtani,Christos Stournaras,Stuart S Martin,Vassilis Georgoulias,Galatea Kallergi
View all publications

Product promise

We are committed to supporting your work with high-quality reagents, and we're here for you every step of the way. In the unlikely event that one of our products does not perform as expected, you're protected by our Product Promise.
For full details, please see our Terms & Conditions

Please note: All products are 'FOR RESEARCH USE ONLY. NOT FOR USE IN DIAGNOSTIC OR THERAPEUTIC PROCEDURES'.

For licensing inquiries, please contact partnerships@abcam.com