JavaScript is disabled in your browser. Please enable JavaScript to view this website.
AB245495

Anti-HEXIM1 antibody

Be the first to review this product! Submit a review

|

(1 Publication)

Rabbit Polyclonal HEXIM1 antibody. Suitable for IHC-P, IP, WB and reacts with Mouse, Human samples. Cited in 1 publication. Immunogen corresponding to Synthetic Peptide within Human HEXIM1 aa 300 to C-terminus.

View Alternative Names

CLP1, EDG1, HIS1, MAQ1, HEXIM1, Protein HEXIM1, Cardiac lineage protein 1, Estrogen down-regulated gene 1 protein, Hexamethylene bis-acetamide-inducible protein 1, Menage a quatre protein 1

4 Images
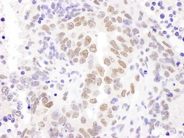
Immunohistochemistry (Formalin/PFA-fixed paraffin-embedded sections) - Anti-HEXIM1 antibody (AB245495)
  • IHC-P

Supplier Data

Immunohistochemistry (Formalin/PFA-fixed paraffin-embedded sections) - Anti-HEXIM1 antibody (AB245495)

Formalin-fixed, paraffin-embedded human lung cancer tissue stained for HEXIM1 using ab245495 at 1/1000 dilution in immunohistochemical analysis. Detection : DAB staining. Counterstained using hematoxylin (blue).

Immunoprecipitation - Anti-HEXIM1 antibody (AB245495)
  • IP

Supplier Data

Immunoprecipitation - Anti-HEXIM1 antibody (AB245495)

HEXIM1 was immunoprecipitated from HeLa (human epithelial cell line from cervix adenocarcinoma) whole cell lysate (1 mg for IP, 20% of IP loaded) with ab245495 at 6 μg/mg lysate. Western blot was performed from the immunoprecipitate using ab245495 at 1 μg/ml.

Lane 1 : ab245495 IP in HeLa whole cell lysate.
Lane 2 : Control IgG IP in HeLa whole cell lysate.

Detection : Chemiluminescence with exposure time of 3 seconds.

All lanes:

Immunoprecipitation - Anti-HEXIM1 antibody (ab245495)

Predicted band size: 41 kDa

false

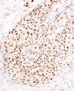
Immunohistochemistry (Formalin/PFA-fixed paraffin-embedded sections) - Anti-HEXIM1 antibody (AB245495)
  • IHC-P

Supplier Data

Immunohistochemistry (Formalin/PFA-fixed paraffin-embedded sections) - Anti-HEXIM1 antibody (AB245495)

Formalin-fixed, paraffin-embedded mouse teratoma tissue stained for HEXIM1 using ab245495 at 1/200 dilution in immunohistochemical analysis. Detection : DAB staining

Western blot - Anti-HEXIM1 antibody (AB245495)
  • WB

Unknown

Western blot - Anti-HEXIM1 antibody (AB245495)

All lanes:

Western blot - Anti-HEXIM1 antibody (ab245495) at 0.04 µg

Lane 1:

HeLa (human epithelial cell line from cervix adenocarcinoma) whole cell lysate at 50 µg

Lane 2:

HeLa whole cell lysate at 15 µg

Lane 3:

HeLa whole cell lysate at 5 µg

Predicted band size: 41 kDa

true

Exposure time: 30s

Key facts

Host species

Rabbit

Clonality

Polyclonal

Isotype

IgG

Carrier free

No

Reacts with

Mouse, Human

Applications

IHC-P, IP, WB

applications

Immunogen

Synthetic Peptide within Human HEXIM1 aa 300 to C-terminus. The exact immunogen used to generate this antibody is proprietary information.

O94992

Reactivity data

{ "title": "Reactivity Data", "filters": { "stats": ["", "Species", "Dilution Info", "Notes"], "tabs": { "all-applications": {"fullname" : "All Applications", "shortname": "All Applications"}, "IHCP" : {"fullname" : "Immunohistochemistry (Formalin/PFA-fixed paraffin-embedded sections)", "shortname":"IHC-P"}, "IP" : {"fullname" : "Immunoprecipitation", "shortname":"IP"}, "WB" : {"fullname" : "Western blot", "shortname":"WB"} }, "product-promise": { "all": "all", "testedAndGuaranteed": "tested", "guaranteed": "expected", "predicted": "predicted", "notRecommended": "not-recommended" } }, "values": { "Human": { "IHCP-species-checked": "testedAndGuaranteed", "IHCP-species-dilution-info": "1/200 - 1/1000", "IHCP-species-notes": "<p></p> Perform heat-mediated antigen retrieval with citrate buffer pH 6 before commencing with IHC staining protocol.", "IP-species-checked": "testedAndGuaranteed", "IP-species-dilution-info": "2-10 µg/mg of lysate", "IP-species-notes": "<p></p>", "WB-species-checked": "testedAndGuaranteed", "WB-species-dilution-info": "1/2000 - 1/10000", "WB-species-notes": "<p></p>" }, "Mouse": { "IHCP-species-checked": "testedAndGuaranteed", "IHCP-species-dilution-info": "1/200 - 1/1000", "IHCP-species-notes": "<p></p> Perform heat-mediated antigen retrieval with citrate buffer pH 6 before commencing with IHC staining protocol.", "IP-species-checked": "guaranteed", "IP-species-dilution-info": "", "IP-species-notes": "", "WB-species-checked": "guaranteed", "WB-species-dilution-info": "", "WB-species-notes": "" } } }

Properties and storage information

Form
Liquid
Purification technique
Affinity purification Immunogen
Purification notes
ab245495 was affinity purified using an epitope specific to HEXIM1 immobilized on solid support.
Storage buffer
pH: 6.8 - 7.4 Preservative: 0.09% Sodium azide Constituents: Tris buffered saline, 0.1% BSA
Shipped at conditions
Blue Ice
Appropriate short-term storage duration
1-2 weeks
Appropriate short-term storage conditions
+4°C
Appropriate long-term storage conditions
+4°C
Aliquoting information
Upon delivery aliquot
Storage information
Avoid freeze / thaw cycle

Supplementary information

This supplementary information is collated from multiple sources and compiled automatically.

HEXIM1 also known as hexamethylene bis-acetamide inducible protein 1 is a protein with an approximate molecular mass of 49 kDa. It predominantly resides in the nucleus and is ubiquitously expressed across various tissues. This protein functions primarily in the regulation of transcription by modulating the activity of P-TEFb (Positive Transcription Elongation Factor b). HEXIM1 acts as an inhibitor by binding to the cyclin T1 and CDK9 components of P-TEFb preventing its role in promoting RNA polymerase II activity during transcription elongation.
Biological function summary

HEXIM1 serves a critical regulatory role within the transcription machinery in cells. It acts as an essential component of the HEXIM1/P-TEFb/7SK snRNP complex which helps maintain transcriptional homeostasis. This complex involves 7SK small nuclear RNA which makes the transcription process more efficient by sequestering P-TEFb in an inactive state. By doing this HEXIM1 controls the release and activation of P-TEFb ensuring accurate transcription regulation and preventing aberrant gene expression.

Pathways

HEXIM1 is an integral element in managing transcription elongation processes. It is known to be part of significant signaling pathways such as the P-TEFb dependent transcription pathway. HEXIM1 interacts with proteins like CDK9 and cyclin T1 that are fundamental to its regulatory function. By controlling these interactions HEXIM1 influences RNA polymerase II's transition into productive elongation mode essential for proper gene expression.

Scientists have associated dysregulation of HEXIM1 activity with several conditions including cancer and cardiac hypertrophy. Aberrant HEXIM1 function or expression can lead to unchecked cellular proliferation in cancer due in part to misregulated P-TEFb activity. Moreover disruptions in this protein's regulatory capability have links to cardiac disorders where related proteins like CDK9 play roles in pathological cardiac growth. Therefore HEXIM1 serves as a potential target for therapeutic interventions concerning transcriptional dysregulation-related diseases.

Product protocols

For this product, it's our understanding that no specific protocols are required. You can visit:

Target data

Transcriptional regulator which functions as a general RNA polymerase II transcription inhibitor (PubMed : 14580347, PubMed : 15201869, PubMed : 15713661). Core component of the 7SK RNP complex : in cooperation with 7SK snRNA sequesters P-TEFb in a large inactive 7SK snRNP complex preventing RNA polymerase II phosphorylation and subsequent transcriptional elongation (PubMed : 12832472, PubMed : 14580347, PubMed : 15201869, PubMed : 15713661). May also regulate NF-kappa-B, ESR1, NR3C1 and CIITA-dependent transcriptional activity (PubMed : 15940264, PubMed : 15941832, PubMed : 17088550). Plays a role in the regulation of DNA virus-mediated innate immune response by assembling into the HDP-RNP complex, a complex that serves as a platform for IRF3 phosphorylation and subsequent innate immune response activation through the cGAS-STING pathway (PubMed : 28712728).
See full target information HEXIM1

Publications (1)

Recent publications for all applications. Explore the full list and refine your search

Journal of hepatocellular carcinoma 8:333-348 PubMed33977095

2021

LncRNA-CCDC144NL-AS1 Promotes the Development of Hepatocellular Carcinoma by Inducing WDR5 Expression via Sponging miR-940.

Applications

Unspecified application

Species

Unspecified reactive species

Yingying Zhang,Hongyu Zhang,Shuhuan Wu
View all publications

Product promise

We are committed to supporting your work with high-quality reagents, and we're here for you every step of the way. In the unlikely event that one of our products does not perform as expected, you're protected by our Product Promise.
For full details, please see our Terms & Conditions

Please note: All products are 'FOR RESEARCH USE ONLY. NOT FOR USE IN DIAGNOSTIC OR THERAPEUTIC PROCEDURES'.

For licensing inquiries, please contact partnerships@abcam.com