JavaScript is disabled in your browser. Please enable JavaScript to view this website.
AB240647

Anti-HEXIM1 antibody [EPR23430-12] - ChIP Grade

Be the first to review this product! Submit a review

|

(0 Publication)

Rabbit Recombinant Monoclonal HEXIM1 antibody. Suitable for IHC-P, IP, ChIP, WB, ICC/IF, Flow Cyt (Intra) and reacts with Human, Mouse, Rat samples.

View Alternative Names

CLP1, EDG1, HIS1, MAQ1, HEXIM1, Protein HEXIM1, Cardiac lineage protein 1, Estrogen down-regulated gene 1 protein, Hexamethylene bis-acetamide-inducible protein 1, Menage a quatre protein 1

10 Images
Immunohistochemistry (Formalin/PFA-fixed paraffin-embedded sections) - Anti-HEXIM1 antibody [EPR23430-12] - ChIP Grade (AB240647)
  • IHC-P

Unknown

Immunohistochemistry (Formalin/PFA-fixed paraffin-embedded sections) - Anti-HEXIM1 antibody [EPR23430-12] - ChIP Grade (AB240647)

Immunohistochemical analysis of paraffin-embedded Human cardiac muscle tissue labeling HEXIM1 with ab240647 at 1/2000 dilution dilution followed by a ready to use Rabbit specific IHC polymer detection kit HRP/DAB (ab209101). Nuclear staining on human cardiac muscle (PMID : 23300697). The section was incubated with ab240647 for 10 mins at room temperature.The immunostaining was performed on a Leica Biosystems BOND® RX instrument. Counterstained with Hematoxylin.

Secondary antibody only control : Secondary antibody is a ready to use Rabbit specific IHC polymer detection kit HRP/DAB (ab209101).

Heat mediated antigen retrieval with Citrate buffer (pH 6.0, epitope retrieval solution 1) for 20 mins.

Flow Cytometry (Intracellular) - Anti-HEXIM1 antibody [EPR23430-12] - ChIP Grade (AB240647)
  • Flow Cyt (Intra)

Unknown

Flow Cytometry (Intracellular) - Anti-HEXIM1 antibody [EPR23430-12] - ChIP Grade (AB240647)

Intracellular flow cytometric analysis of 4% paraformaldehyde fixed, 90% methanol permeabilized HeLa (Human cervix adenocarcinoma epithelial cell) cells labelling HEXIM1 with ab240647 at 1/500 dilution (0.1ug) (Red) compared with a Rabbit monoclonal IgG (ab172730) (Black) isotype control and an unlabelled control (cells without incubation with primary antibody and secondary antibody) (Blue).

A Goat anti rabbit IgG (Alexa Fluor® 488, ab150077) at 1/2000 dilution was used as the secondary antibody.

Immunocytochemistry/ Immunofluorescence - Anti-HEXIM1 antibody [EPR23430-12] - ChIP Grade (AB240647)
  • ICC/IF

Unknown

Immunocytochemistry/ Immunofluorescence - Anti-HEXIM1 antibody [EPR23430-12] - ChIP Grade (AB240647)

Immunofluorescent analysis of 100% methanol-fixed HeLa cells labelling HEXIM1 with ab240647 at 1/50 dilution, followed by ab150077 Goat Anti-Rabbit IgG H&L (Alexa Fluor® 488) antibody at 1/1000 (Green). Confocal image showing nuclear staining in HeLa cells. ab195889 Anti-alpha Tubulin antibody [DM1A] - Microtubule Marker (Alexa Fluor® 594) was used to counterstain tubulin at 1/200 dilution (Red). The Nuclear counterstain was DAPI (Blue).

Secondary antibody only control : Secondary antibody is ab150077 Goat Anti-Rabbit IgG H&L (Alexa Fluor® 488) at 1/1000 dilution.

Immunohistochemistry (Formalin/PFA-fixed paraffin-embedded sections) - Anti-HEXIM1 antibody [EPR23430-12] - ChIP Grade (AB240647)
  • IHC-P

Unknown

Immunohistochemistry (Formalin/PFA-fixed paraffin-embedded sections) - Anti-HEXIM1 antibody [EPR23430-12] - ChIP Grade (AB240647)

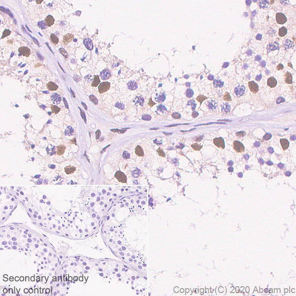
Immunohistochemical analysis of paraffin-embedded Human testis tissue labeling HEXIM1 with ab240647 at 1/2000 dilution dilution followed by a ready to use Rabbit specific IHC polymer detection kit HRP/DAB (ab209101). Positive staining on human testis (PMID : 23300697). The section was incubated with ab240647 for 10 mins at room temperature.The immunostaining was performed on a Leica Biosystems BOND® RX instrument. Counterstained with Hematoxylin.

Secondary antibody only control : Secondary antibody is a ready to use Rabbit specific IHC polymer detection kit HRP/DAB (ab209101).

Heat mediated antigen retrieval with Citrate buffer (pH 6.0, epitope retrieval solution 1) for 20 mins.

ChIP - Anti-HEXIM1 antibody [EPR23430-12] - ChIP Grade (AB240647)
  • ChIP

Supplier Data

ChIP - Anti-HEXIM1 antibody [EPR23430-12] - ChIP Grade (AB240647)

Chromatin was prepared from LNCaP cells according to the Abcam Dual-X-ChIP protocol. Cells were fixed with 1.5 mM EGS for 30mins and then formaldehyde for 10min.
The ChIP was performed with 25 μg of chromatin, 5 μg of ab240647 (red), or 5 μg of rabbit normal IgG ab172730 (gray) and 20 μl of Protein A/G sepharose beads. The immunoprecipitated DNA was quantified by real time PCR (Taqman approach for active and inactive loci, Sybr green approach for heterochromatic loci).

Immunoprecipitation - Anti-HEXIM1 antibody [EPR23430-12] - ChIP Grade (AB240647)
  • IP

Unknown

Immunoprecipitation - Anti-HEXIM1 antibody [EPR23430-12] - ChIP Grade (AB240647)

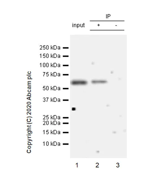
HEXIM1 was immunoprecipitated from 0.35 mg HeLa (human cervix adenocarcinoma epithelial cell) (treated with 10 μM MG-132 for 24 hours), whole cell lysate with ab240647 at 1/30 dilution (2ug in 0.35mg lysates). Western blot was performed on the immunoprecipitate using ab240647 at 1/1000 dilution. VeriBlot for IP Detection Reagent (HRP)(ab131366) was used at 1/5000 dilution.

Lane 1 : HeLa (human cervix adenocarcinoma epithelial cell) treated with 10 μM MG-132 for 24 hours, whole cell lysate 10 ug

Lane 2 : ab240647 IP in HeLa treated with 10 μM MG-132 for 24 hours whole cell lysate

Lane 3 : Rabbit monoclonal IgG (ab172730) instead of ab240647 in HeLa treated with 10 μM MG-132 for 24 hours whole cell lysate

Blocking and dilution buffer and concentration : 5% NFDM/TBST.

Exposure time : 3 minutes.

All lanes:

Immunoprecipitation - Anti-HEXIM1 antibody [EPR23430-12] - ChIP Grade (ab240647)

Predicted band size: 41 kDa

Observed band size: 60 kDa

false

Immunocytochemistry/ Immunofluorescence - Anti-HEXIM1 antibody [EPR23430-12] - ChIP Grade (AB240647)
  • ICC/IF

Unknown

Immunocytochemistry/ Immunofluorescence - Anti-HEXIM1 antibody [EPR23430-12] - ChIP Grade (AB240647)

Immunofluorescent analysis of 100% methanol-fixed MEF cells labelling HEXIM1 with ab240647 at 1/50 dilution, followed by ab150077 Goat Anti-Rabbit IgG H&L (Alexa Fluor® 488) antibody at 1/1000 (Green). Confocal image showing nuclear staining in MEFs. ab195889 Anti-alpha Tubulin antibody [DM1A] - Microtubule Marker (Alexa Fluor® 594) was used to counterstain tubulin at 1/200 (Red). The Nuclear counterstain was DAPI (Blue).

Secondary antibody only control : Secondary antibody is ab150077 Goat Anti-Rabbit IgG H&L (Alexa Fluor® 488) at 1/1000 dilution.

ChIP - Anti-HEXIM1 antibody [EPR23430-12] - ChIP Grade (AB240647)
  • ChIP

Supplier Data

ChIP - Anti-HEXIM1 antibody [EPR23430-12] - ChIP Grade (AB240647)

Chromatin was prepared from MEF cells according to the Abcam Dual-X-ChIP protocol. Cells were fixed with 1.5 mM EGS for 30mins and then formaldehyde for 10min.
The ChIP was performed with 25 μg of chromatin, 5 μg of ab 240647 (red), or 5 μg of rabbit normal IgG ab172730 (gray) and 20 μl of Protein A/G sepharose beads. The immunoprecipitated DNA was quantified by real time PCR (Taqman approach for active and inactive loci, Sybr green approach for heterochromatic loci).
Primers and probes are from paper PMCID : PMC4103662

Immunoprecipitation - Anti-HEXIM1 antibody [EPR23430-12] - ChIP Grade (AB240647)
  • IP

Unknown

Immunoprecipitation - Anti-HEXIM1 antibody [EPR23430-12] - ChIP Grade (AB240647)

HEXIM1 was immunoprecipitated from 0.35 mg MEF (mouse embryonic fibroblast (immortalized)) whole cell lysate with ab240647 at 1/30 dilution (2ug in 0.35mg lysates). Western blot was performed on the immunoprecipitate using ab240647 at 1/1000 dilution. VeriBlot for IP Detection Reagent (HRP)(ab131366) was used at 1/5000 dilution.

Lane 1 : MEF (mouse embryonic fibroblast (immortalized)) whole cell lysate 10 ug

Lane 2 : ab240647 IP in MEF whole cell lysate

Lane 3 : Rabbit monoclonal IgG (ab172730) instead of ab240647 in MEF whole cell lysate

Blocking and dilution buffer and concentration : 5% NFDM/TBST.

Exposure time : 3 minutes.

Lysate were made freshly and used in IP test immediately to minimize protein degradation. Incubation for immunoprecipitation was carried out overnight at 4°C.

All lanes:

Immunoprecipitation - Anti-HEXIM1 antibody [EPR23430-12] - ChIP Grade (ab240647)

Predicted band size: 41 kDa

Observed band size: 60 kDa

false

Western blot - Anti-HEXIM1 antibody [EPR23430-12] - ChIP Grade (AB240647)
  • WB

Lab

Western blot - Anti-HEXIM1 antibody [EPR23430-12] - ChIP Grade (AB240647)

Blocking and diluting buffer and concentration : 5% NFDM/TBST.

The molecular weight observed is consistent with what has been described in the literature (PMID : 28254838)

Lysates were made freshly and used in WB test immediately to minimize protein degradation.

Exposure time : 26 seconds.

All lanes:

Western blot - Anti-HEXIM1 antibody [EPR23430-12] - ChIP Grade (ab240647) at 1/1000 dilution

Lane 1:

LNCaP (human prostate carcinoma epithelial cell) whole cell lysate at 20 µg

Lane 2:

PC-12 (rat adrenal gland pheochromocytoma ) whole cell lysate at 20 µg

Secondary

All lanes:

Western blot - Goat Anti-Rabbit IgG H&L (HRP) (<a href='/en-us/products/secondary-antibodies/goat-rabbit-igg-h-l-hrp-ab97051'>ab97051</a>) at 1/100000 dilution

Predicted band size: 41 kDa

Observed band size: 60 kDa

false

  • Carrier free

    Anti-HEXIM1 antibody [EPR23430-12] - BSA and Azide free

Key facts

Host species

Rabbit

Clonality

Monoclonal

Clone number

EPR23430-12

Isotype

IgG

Carrier free

No

Reacts with

Mouse, Rat, Human

Applications

WB, IP, Flow Cyt (Intra), ICC/IF, IHC-P, ChIP

applications

Immunogen

The exact immunogen used to generate this antibody is proprietary information.

Reactivity data

{ "title": "Reactivity Data", "filters": { "stats": ["", "Species", "Dilution Info", "Notes"], "tabs": { "all-applications": {"fullname" : "All Applications", "shortname": "All Applications"}, "IHCP" : {"fullname" : "Immunohistochemistry (Formalin/PFA-fixed paraffin-embedded sections)", "shortname":"IHC-P"}, "IP" : {"fullname" : "Immunoprecipitation", "shortname":"IP"}, "ChIP" : {"fullname" : "ChIP", "shortname":"ChIP"}, "WB" : {"fullname" : "Western blot", "shortname":"WB"}, "ICCIF" : {"fullname" : "Immunocytochemistry/ Immunofluorescence", "shortname":"ICC/IF"}, "FlowCytIntra" : {"fullname" : "Flow Cytometry (Intracellular)", "shortname":"Flow Cyt (Intra)"} }, "product-promise": { "all": "all", "testedAndGuaranteed": "tested", "guaranteed": "expected", "predicted": "predicted", "notRecommended": "not-recommended" } }, "values": { "Human": { "IHCP-species-checked": "testedAndGuaranteed", "IHCP-species-dilution-info": "1/2000", "IHCP-species-notes": "<p></p> Perform heat-mediated antigen retrieval with citrate buffer pH 6 before commencing with IHC staining protocol.", "IP-species-checked": "testedAndGuaranteed", "IP-species-dilution-info": "1/30", "IP-species-notes": "<p></p>", "ChIP-species-checked": "testedAndGuaranteed", "ChIP-species-dilution-info": "5 µg for 25 µg chromatin", "ChIP-species-notes": "<p></p>", "WB-species-checked": "testedAndGuaranteed", "WB-species-dilution-info": "1/1000", "WB-species-notes": "<p></p>", "ICCIF-species-checked": "testedAndGuaranteed", "ICCIF-species-dilution-info": "1/50", "ICCIF-species-notes": "<p></p>", "FlowCytIntra-species-checked": "testedAndGuaranteed", "FlowCytIntra-species-dilution-info": "1/500", "FlowCytIntra-species-notes": "<p></p>" }, "Mouse": { "IHCP-species-checked": "notRecommended", "IHCP-species-dilution-info": "1/2000", "IHCP-species-notes": "<p></p> Perform heat-mediated antigen retrieval with citrate buffer pH 6 before commencing with IHC staining protocol.", "IP-species-checked": "testedAndGuaranteed", "IP-species-dilution-info": "1/30", "IP-species-notes": "<p></p>", "ChIP-species-checked": "testedAndGuaranteed", "ChIP-species-dilution-info": "5 µg for 25 µg chromatin", "ChIP-species-notes": "<p></p>", "WB-species-checked": "testedAndGuaranteed", "WB-species-dilution-info": "1/1000", "WB-species-notes": "<p></p>", "ICCIF-species-checked": "testedAndGuaranteed", "ICCIF-species-dilution-info": "1/50", "ICCIF-species-notes": "<p></p>", "FlowCytIntra-species-checked": "guaranteed", "FlowCytIntra-species-dilution-info": "", "FlowCytIntra-species-notes": "" }, "Rat": { "IHCP-species-checked": "notRecommended", "IHCP-species-dilution-info": "1/2000", "IHCP-species-notes": "<p></p> Perform heat-mediated antigen retrieval with citrate buffer pH 6 before commencing with IHC staining protocol.", "IP-species-checked": "guaranteed", "IP-species-dilution-info": "", "IP-species-notes": "", "ChIP-species-checked": "guaranteed", "ChIP-species-dilution-info": "", "ChIP-species-notes": "", "WB-species-checked": "testedAndGuaranteed", "WB-species-dilution-info": "1/1000", "WB-species-notes": "<p></p>", "ICCIF-species-checked": "guaranteed", "ICCIF-species-dilution-info": "", "ICCIF-species-notes": "", "FlowCytIntra-species-checked": "guaranteed", "FlowCytIntra-species-dilution-info": "", "FlowCytIntra-species-notes": "" } } }

Product details

Patented technology
Our RabMAb® technology is a patented hybridoma-based technology for making rabbit monoclonal antibodies. For details on our patents, please refer to RabMAb® patents.

What are the advantages of a recombinant monoclonal antibody?
This product is a recombinant monoclonal antibody, which offers several advantages including:

  • - High batch-to-batch consistency and reproducibility
  • - Improved sensitivity and specificity
  • - Long-term security of supply
  • - Animal-free batch production

For more information, read more on recombinant antibodies.

Properties and storage information

Form
Liquid
Purification technique
Affinity purification Protein A
Storage buffer
pH: 7.2 - 7.4 Preservative: 0.01% Sodium azide Constituents: PBS, 40% Glycerol (glycerin, glycerine), 0.05% BSA
Shipped at conditions
Blue Ice
Appropriate short-term storage duration
1-2 weeks
Appropriate short-term storage conditions
+4°C
Appropriate long-term storage conditions
-20°C
Aliquoting information
Upon delivery aliquot
Storage information
Avoid freeze / thaw cycle

Supplementary information

This supplementary information is collated from multiple sources and compiled automatically.

HEXIM1 also known as hexamethylene bis-acetamide inducible protein 1 is a protein with an approximate molecular mass of 49 kDa. It predominantly resides in the nucleus and is ubiquitously expressed across various tissues. This protein functions primarily in the regulation of transcription by modulating the activity of P-TEFb (Positive Transcription Elongation Factor b). HEXIM1 acts as an inhibitor by binding to the cyclin T1 and CDK9 components of P-TEFb preventing its role in promoting RNA polymerase II activity during transcription elongation.
Biological function summary

HEXIM1 serves a critical regulatory role within the transcription machinery in cells. It acts as an essential component of the HEXIM1/P-TEFb/7SK snRNP complex which helps maintain transcriptional homeostasis. This complex involves 7SK small nuclear RNA which makes the transcription process more efficient by sequestering P-TEFb in an inactive state. By doing this HEXIM1 controls the release and activation of P-TEFb ensuring accurate transcription regulation and preventing aberrant gene expression.

Pathways

HEXIM1 is an integral element in managing transcription elongation processes. It is known to be part of significant signaling pathways such as the P-TEFb dependent transcription pathway. HEXIM1 interacts with proteins like CDK9 and cyclin T1 that are fundamental to its regulatory function. By controlling these interactions HEXIM1 influences RNA polymerase II's transition into productive elongation mode essential for proper gene expression.

Scientists have associated dysregulation of HEXIM1 activity with several conditions including cancer and cardiac hypertrophy. Aberrant HEXIM1 function or expression can lead to unchecked cellular proliferation in cancer due in part to misregulated P-TEFb activity. Moreover disruptions in this protein's regulatory capability have links to cardiac disorders where related proteins like CDK9 play roles in pathological cardiac growth. Therefore HEXIM1 serves as a potential target for therapeutic interventions concerning transcriptional dysregulation-related diseases.

Product protocols

For this product, it's our understanding that no specific protocols are required. You can visit:

Target data

Transcriptional regulator which functions as a general RNA polymerase II transcription inhibitor (PubMed : 14580347, PubMed : 15201869, PubMed : 15713661). Core component of the 7SK RNP complex : in cooperation with 7SK snRNA sequesters P-TEFb in a large inactive 7SK snRNP complex preventing RNA polymerase II phosphorylation and subsequent transcriptional elongation (PubMed : 12832472, PubMed : 14580347, PubMed : 15201869, PubMed : 15713661). May also regulate NF-kappa-B, ESR1, NR3C1 and CIITA-dependent transcriptional activity (PubMed : 15940264, PubMed : 15941832, PubMed : 17088550). Plays a role in the regulation of DNA virus-mediated innate immune response by assembling into the HDP-RNP complex, a complex that serves as a platform for IRF3 phosphorylation and subsequent innate immune response activation through the cGAS-STING pathway (PubMed : 28712728).
See full target information HEXIM1

Product promise

We are committed to supporting your work with high-quality reagents, and we're here for you every step of the way. In the unlikely event that one of our products does not perform as expected, you're protected by our Product Promise.
For full details, please see our Terms & Conditions

Please note: All products are 'FOR RESEARCH USE ONLY. NOT FOR USE IN DIAGNOSTIC OR THERAPEUTIC PROCEDURES'.

For licensing inquiries, please contact partnerships@abcam.com