JavaScript is disabled in your browser. Please enable JavaScript to view this website.
AB321997

Anti-Hexokinase Type III/HK3 antibody [EPR29196-29] - BSA and Azide free

Be the first to review this product! Submit a review

|

(0 Publication)

Rabbit Recombinant Monoclonal Hexokinase Type III/HK3 antibody. Carrier free. Suitable for Dot, IHC-P, WB and reacts with Recombinant fragment - Human, Human, Mouse samples.

View Alternative Names

Hexokinase-3, Hexokinase type III, Hexokinase-C, HK III, HK3

8 Images
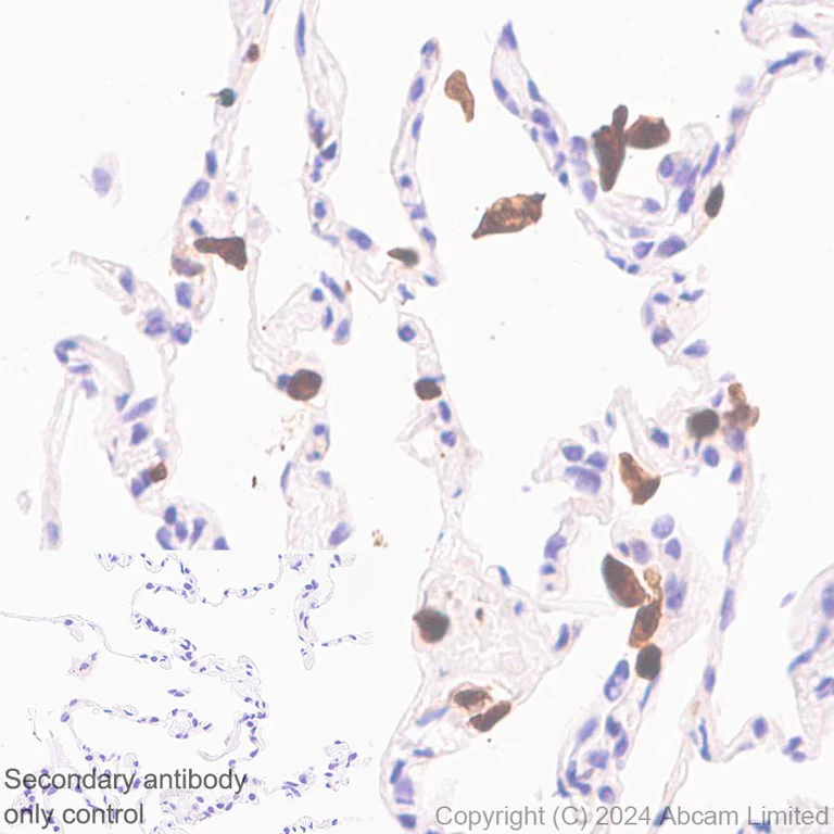
Immunohistochemistry (Formalin/PFA-fixed paraffin-embedded sections) - Anti-Hexokinase Type III/HK3 antibody [EPR29196-29] - BSA and Azide free (AB321997)
  • IHC-P

Supplier Data

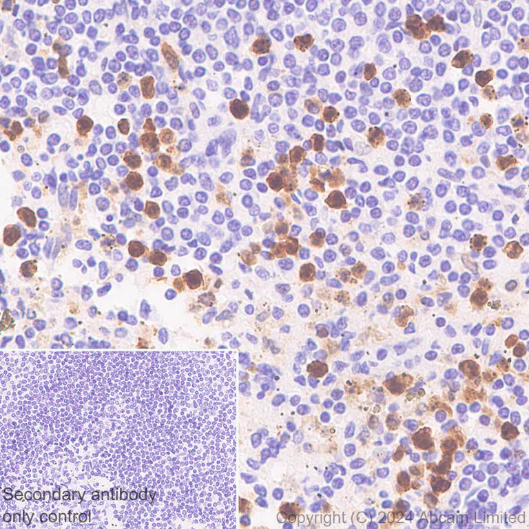
Immunohistochemistry (Formalin/PFA-fixed paraffin-embedded sections) - Anti-Hexokinase Type III/HK3 antibody [EPR29196-29] - BSA and Azide free (AB321997)

This data was developed using ab321996, the same antibody clone in a different buffer formulation.

Immunohistochemical analysis of paraffin-embedded Human lung tissue labeling Hexokinase Type III/HK3 with ab321996 at 1/2000 (0.263 ug/ml) dilution followed by a ready to use LeicaDS9800 (Bond™ Polymer Refine Detection).

Positive staining observed in immune cells within human lung tissue.
The section was incubated with ab321996 for 30 mins at room temperature.
The immunostaining was performed on a Leica Biosystems BOND® RX instrument

Counterstained with Hematoxylin.

Secondary antibody only control : Secondary antibody is a ready to use LeicaDS9800 (Bond™ Polymer Refine Detection).

Heat mediated antigen retrieval was performed with Tris-EDTA buffer (pH 9.0 Epitope Retrieval Solution2) for 20 mins

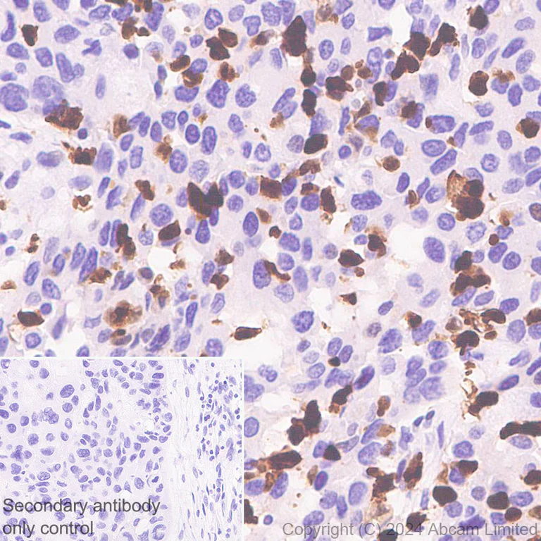
Immunohistochemistry (Formalin/PFA-fixed paraffin-embedded sections) - Anti-Hexokinase Type III/HK3 antibody [EPR29196-29] - BSA and Azide free (AB321997)
  • IHC-P

Supplier Data

Immunohistochemistry (Formalin/PFA-fixed paraffin-embedded sections) - Anti-Hexokinase Type III/HK3 antibody [EPR29196-29] - BSA and Azide free (AB321997)

This data was developed using ab321996, the same antibody clone in a different buffer formulation.

Immunohistochemical analysis of paraffin-embedded Human lung cancer tissue labeling Hexokinase Type III/HK3 with ab321996 at 1/2000 (0.263 ug/ml) dilution followed by a ready to use LeicaDS9800 (Bond™ Polymer Refine Detection).

Positive staining observed in immune cells within human lung cancer tissue.
The section was incubated with ab321996 for 30 mins at room temperature.
The immunostaining was performed on a Leica Biosystems BOND® RX instrument

Counterstained with Hematoxylin.

Secondary antibody only control : Secondary antibody is a ready to use LeicaDS9800 (Bond™ Polymer Refine Detection).

Heat mediated antigen retrieval was performed with Tris-EDTA buffer (pH 9.0 Epitope Retrieval Solution2) for 20 mins

Immunohistochemistry (Formalin/PFA-fixed paraffin-embedded sections) - Anti-Hexokinase Type III/HK3 antibody [EPR29196-29] - BSA and Azide free (AB321997)
  • IHC-P

Supplier Data

Immunohistochemistry (Formalin/PFA-fixed paraffin-embedded sections) - Anti-Hexokinase Type III/HK3 antibody [EPR29196-29] - BSA and Azide free (AB321997)

This data was developed using ab321996, the same antibody clone in a different buffer formulation.

Immunohistochemical analysis of paraffin-embedded Human skeletal muscle tissue labeling Hexokinase Type III/HK3 with ab321996 at 1/2000 (0.263 ug/ml) dilution followed by a ready to use LeicaDS9800 (Bond™ Polymer Refine Detection).

Negative control : No staining in human skeletal muscle.
The section was incubated with ab321996 for 30 mins at room temperature.
The immunostaining was performed on a Leica Biosystems BOND® RX instrument

Counterstained with Hematoxylin.

Secondary antibody only control : Secondary antibody is a ready to use LeicaDS9800 (Bond™ Polymer Refine Detection).

Heat mediated antigen retrieval was performed with Tris-EDTA buffer (pH 9.0 Epitope Retrieval Solution2) for 20 mins

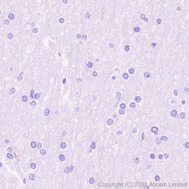
Immunohistochemistry (Formalin/PFA-fixed paraffin-embedded sections) - Anti-Hexokinase Type III/HK3 antibody [EPR29196-29] - BSA and Azide free (AB321997)
  • IHC-P

Supplier Data

Immunohistochemistry (Formalin/PFA-fixed paraffin-embedded sections) - Anti-Hexokinase Type III/HK3 antibody [EPR29196-29] - BSA and Azide free (AB321997)

This data was developed using ab321996, the same antibody clone in a different buffer formulation.

Immunohistochemical analysis of paraffin-embedded Human cerebrum tissue labeling Hexokinase Type III/HK3 with ab321996 at 1/2000 (0.263 ug/ml) dilution followed by a ready to use LeicaDS9800 (Bond™ Polymer Refine Detection).

Negative control : No staining in human cerebrum.
The section was incubated with ab321996 for 30 mins at room temperature.
The immunostaining was performed on a Leica Biosystems BOND® RX instrument

Counterstained with Hematoxylin.

Secondary antibody only control : Secondary antibody is a ready to use LeicaDS9800 (Bond™ Polymer Refine Detection).

Heat mediated antigen retrieval was performed with Tris-EDTA buffer (pH 9.0 Epitope Retrieval Solution2) for 20 mins

Immunohistochemistry (Formalin/PFA-fixed paraffin-embedded sections) - Anti-Hexokinase Type III/HK3 antibody [EPR29196-29] - BSA and Azide free (AB321997)
  • IHC-P

Supplier Data

Immunohistochemistry (Formalin/PFA-fixed paraffin-embedded sections) - Anti-Hexokinase Type III/HK3 antibody [EPR29196-29] - BSA and Azide free (AB321997)

This data was developed using ab321996, the same antibody clone in a different buffer formulation.

Immunohistochemical analysis of paraffin-embedded Human spleen tissue labeling Hexokinase Type III/HK3 with ab321996 at 1/2000 (0.263 ug/ml) dilution followed by a ready to use LeicaDS9800 (Bond™ Polymer Refine Detection).

Positive staining in human spleen.
The section was incubated with ab321996 for 30 mins at room temperature.
The immunostaining was performed on a Leica Biosystems BOND® RX instrument

Counterstained with Hematoxylin.

Secondary antibody only control : Secondary antibody is a ready to use LeicaDS9800 (Bond™ Polymer Refine Detection).

Heat mediated antigen retrieval was performed with Tris-EDTA buffer (pH 9.0 Epitope Retrieval Solution2) for 20 mins

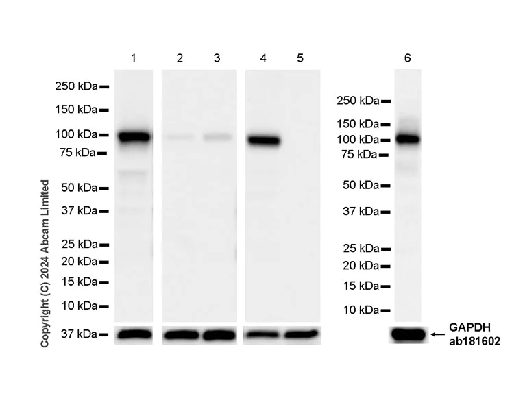
Western blot - Anti-Hexokinase Type III/HK3 antibody [EPR29196-29] - BSA and Azide free (AB321997)
  • WB

Supplier Data

Western blot - Anti-Hexokinase Type III/HK3 antibody [EPR29196-29] - BSA and Azide free (AB321997)

This data was developed using ab321996, the same antibody clone in a different buffer formulation.

Blocking and diluting buffer and concentration : 5% NFDM/TBST.

Negative control : HEK-293 (PMID : 21072205).

Low expression : cerebellum skeletal muscle (PMID : 8812439).

The bands beneath the target band (99 kDa) are likely to be degraded target fragments.

In Western blot Anti-GAPDH antibody [EPR16891] - Loading Control (ab181602) staining at 1/200000 dilution.

All lanes:

Western blot - Anti-Hexokinase Type III/HK3 antibody [EPR29196-29] (<a href='/en-us/products/primary-antibodies/hexokinase-type-iii-hk3-antibody-epr29196-29-ab321996'>ab321996</a>) at 1/1000 dilution

Lane 1:

Human lung tissue lysate at 20 µg

Lane 2:

Human cerebellum tissue lysate at 20 µg

Lane 3:

Human skeletal muscle tissue lysate at 20 µg

Lane 4:

THP-1 (human monocytic leukemia monocyte) whole cell lysate at 20 µg

Lane 5:

HEK-293 (human embryonic kidney epithelial cell) whole cell lysate at 20 µg

Lane 6:

Human colon tissue lysate at 20 µg

Secondary

All lanes:

Goat Anti-Rabbit IgG (HRP) with minimal cross-reactivity with human IgG at 1/2000 dilution

Observed band size: 99 kDa,36 kDa

false

Exposure time: 3s

Western blot - Anti-Hexokinase Type III/HK3 antibody [EPR29196-29] - BSA and Azide free (AB321997)
  • WB

Supplier Data

Western blot - Anti-Hexokinase Type III/HK3 antibody [EPR29196-29] - BSA and Azide free (AB321997)

This data was developed using ab321996, the same antibody clone in a different buffer formulation.

Blocking and diluting buffer and concentration : 5% NFDM/TBST.

Low expression : brain skeletal muscle (PMID : 8812439).

The bands beneath the target band (99 kDa) are likely to be degraded target fragments.

In Western blot Anti-GAPDH antibody [EPR16891] - Loading Control (ab181602) staining at 1/200000 dilution.

All lanes:

Western blot - Anti-Hexokinase Type III/HK3 antibody [EPR29196-29] (<a href='/en-us/products/primary-antibodies/hexokinase-type-iii-hk3-antibody-epr29196-29-ab321996'>ab321996</a>) at 1/1000 dilution

Lane 1:

Human liver cancer tissue lysate at 20 µg

Lane 2:

Mouse liver tissue lysate at 20 µg

Lane 3:

Mouse lung tissue lysate at 20 µg

Lane 4:

Mouse spleen tissue lysate at 20 µg

Lane 5:

Mouse brain tissue lysate at 20 µg

Lane 6:

Mouse skeletal muscle tissue lysate at 20 µg

Secondary

All lanes:

Goat Anti-Rabbit IgG (HRP) with minimal cross-reactivity with human IgG at 1/2000 dilution

Observed band size: 99 kDa,36 kDa

false

Exposure time: 3s

Dot Blot - Anti-Hexokinase Type III/HK3 antibody [EPR29196-29] - BSA and Azide free (AB321997)
  • Dot

Supplier Data

Dot Blot - Anti-Hexokinase Type III/HK3 antibody [EPR29196-29] - BSA and Azide free (AB321997)

This data was developed using ab321996, the same antibody clone in a different buffer formulation.

Dot blot analysis of Hexokinase Type III/HK3 using ab321996 at 1 : 1000 (0.525 ug/ml) followed by a Goat Anti-Rabbit IgG (H+L) Peroxidase conjugated (ab97051) at 1 : 100000 dilution.

Lane1 : His-tagged human HK3 fragment
Lane2 : His-tagged human HK2 fragment
Lane3 : His-tagged human HK1 fragment
Lane4 : His-tagged human HKDC1 fragment

Blocking and diluting buffer and concentration : 5% NFDM/TBST.

This antibody does not cross-react with human HK1 HK2 and HKDC1.

All lanes:

Dot Blot - Anti-Hexokinase Type III/HK3 antibody [EPR29196-29] (<a href='/en-us/products/primary-antibodies/hexokinase-type-iii-hk3-antibody-epr29196-29-ab321996'>ab321996</a>) at 1/1000 dilution

Lane 1:

His-tagged human HK3 fragment at 5 ng

Lane 2:

His-tagged human HK2 fragment at 5 ng

Lane 3:

His-tagged human HK1 fragment at 5 ng

Lane 4:

His-tagged human HKDC1 fragment at 5 ng

Secondary

All lanes:

Dot Blot - Goat Anti-Rabbit IgG H&L (HRP) (<a href='/en-us/products/secondary-antibodies/goat-rabbit-igg-h-l-hrp-ab97051'>ab97051</a>) at 1/100000 dilution

false

Exposure time: 180s

Key facts

Host species

Rabbit

Clonality

Monoclonal

Clone number

EPR29196-29

Isotype

IgG

Carrier free

Yes

Reacts with

Human, Mouse

Applications

IHC-P, WB, Dot

applications

Immunogen

The exact immunogen used to generate this antibody is proprietary information.

Specificity

Unsuitable for human ICC and Ms IHC-P.

Reactivity data

{ "title": "Reactivity Data", "filters": { "stats": ["", "Species", "Dilution Info", "Notes"], "tabs": { "all-applications": {"fullname" : "All Applications", "shortname": "All Applications"}, "Dot" : {"fullname" : "Dot Blot", "shortname":"Dot"}, "IHCP" : {"fullname" : "Immunohistochemistry (Formalin/PFA-fixed paraffin-embedded sections)", "shortname":"IHC-P"}, "WB" : {"fullname" : "Western blot", "shortname":"WB"}, "ICCIF" : {"fullname" : "Immunocytochemistry/ Immunofluorescence", "shortname":"ICC/IF"} }, "product-promise": { "all": "all", "testedAndGuaranteed": "tested", "guaranteed": "expected", "predicted": "predicted", "notRecommended": "not-recommended" } }, "values": { "Human": { "Dot-species-checked": "guaranteed", "Dot-species-dilution-info": "", "Dot-species-notes": "", "IHCP-species-checked": "testedAndGuaranteed", "IHCP-species-dilution-info": "", "IHCP-species-notes": "<p></p> Perform heat-mediated antigen retrieval with Tris/EDTA buffer pH 9.0 before commencing with IHC staining protocol.", "WB-species-checked": "testedAndGuaranteed", "WB-species-dilution-info": "", "WB-species-notes": "<p></p>", "ICCIF-species-checked": "notRecommended", "ICCIF-species-dilution-info": "", "ICCIF-species-notes": "<p></p>" }, "Mouse": { "Dot-species-checked": "guaranteed", "Dot-species-dilution-info": "", "Dot-species-notes": "", "IHCP-species-checked": "notRecommended", "IHCP-species-dilution-info": "", "IHCP-species-notes": "<p></p>", "WB-species-checked": "testedAndGuaranteed", "WB-species-dilution-info": "", "WB-species-notes": "<p></p>", "ICCIF-species-checked": "notRecommended", "ICCIF-species-dilution-info": "", "ICCIF-species-notes": "" }, "Recombinant fragment - Human": { "Dot-species-checked": "testedAndGuaranteed", "Dot-species-dilution-info": "", "Dot-species-notes": "<p></p>", "IHCP-species-checked": "notRecommended", "IHCP-species-dilution-info": "", "IHCP-species-notes": "", "WB-species-checked": "notRecommended", "WB-species-dilution-info": "", "WB-species-notes": "", "ICCIF-species-checked": "notRecommended", "ICCIF-species-dilution-info": "", "ICCIF-species-notes": "" } } }

Product details

ab321997 is the carrier-free version of ab321996.

Patented technology
Our RabMAb® technology is a patented hybridoma-based technology for making rabbit monoclonal antibodies. For details on our patents, please refer to RabMAb® patents.

What are the advantages of a recombinant monoclonal antibody?
This product is a recombinant monoclonal antibody, which offers several advantages including:

  • - High batch-to-batch consistency and reproducibility
  • - Improved sensitivity and specificity
  • - Long-term security of supply
  • - Animal-free batch production

For more information, read more on recombinant antibodies.

Conjugation ready
Our carrier-free antibodies are typically supplied in a PBS-only formulation, purified and free of BSA, sodium azide and glycerol. This conjugation-ready format is designed for use with fluorochromes, metal isotopes, oligonucleotides, and enzymes, which makes them ideal for antibody labelling, functional and cell-based assays, flow-based assays (e.g. mass cytometry) and Multiplex Imaging applications.

Use our conjugation kits for antibody conjugates that are ready-to-use in as little as 20 minutes with 1 minute hands-on-time and 100% antibody recovery: available for fluorescent dyes, HRP, biotin and gold.

Compatibility
This product is compatible with the Maxpar® Antibody Labeling Kit from Fluidigm, without the need for antibody preparation. Maxpar® is a trademark of Fluidigm Canada Inc.

Properties and storage information

Form
Liquid
Purification technique
Affinity purification Protein A
Storage buffer
pH: 7.2 - 7.4 Constituents: PBS
Shipped at conditions
Blue Ice
Appropriate short-term storage conditions
+4°C
Appropriate long-term storage conditions
+4°C

Product protocols

For this product, it's our understanding that no specific protocols are required. You can visit:

Target data

Catalyzes the phosphorylation of hexose, such as D-glucose and D-fructose, to hexose 6-phosphate (D-glucose 6-phosphate and D-fructose 6-phosphate, respectively) (PubMed : 8717435). Mediates the initial step of glycolysis by catalyzing phosphorylation of D-glucose to D-glucose 6-phosphate (PubMed : 8717435).
See full target information HK3

Product promise

We are committed to supporting your work with high-quality reagents, and we're here for you every step of the way. In the unlikely event that one of our products does not perform as expected, you're protected by our Product Promise.
For full details, please see our Terms & Conditions

Please note: All products are 'FOR RESEARCH USE ONLY. NOT FOR USE IN DIAGNOSTIC OR THERAPEUTIC PROCEDURES'.

For licensing inquiries, please contact partnerships@abcam.com