JavaScript is disabled in your browser. Please enable JavaScript to view this website.
AB235173

Anti-HEY1 antibody

Be the first to review this product! Submit a review

|

(3 Publications)

Rabbit Polyclonal HEY1 antibody. Suitable for IHC, WB and reacts with Human, Mouse samples. Cited in 3 publications.

View Alternative Names

BHLHB31, CHF2, HERP2, HESR1, HRT1, HEY1, Hairy/enhancer-of-split related with YRPW motif protein 1, Cardiovascular helix-loop-helix factor 2, Class B basic helix-loop-helix protein 31, HES-related repressor protein 1, Hairy and enhancer of split-related protein 1, Hairy-related transcription factor 1, CHF-2, bHLHb31, HESR-1, HRT-1, hHRT1

2 Images
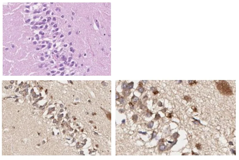
Immunohistochemistry - Anti-HEY1 antibody (AB235173)
  • IHC

Supplier Data

Immunohistochemistry - Anti-HEY1 antibody (AB235173)

Immunohistochemical analysis of human cerebellum tissue labeling Hey1 with ab235173 at 1/200 dilution (30 minutes at RT), followed by a ready to use anti-Rabbit polyclonal IgG (HRP) (8 minutes at RT). Primary staining is DAB. Counterstained with hematoxylin.

Perform heat mediated antigen retrieval using citrate buffer for 20 minutes.

Panel A : H&E staining.
Panel B : ab235173 at 20X magnification.
Panel C : ab235173 at 40X magnification.

Western blot - Anti-HEY1 antibody (AB235173)
  • WB

Supplier Data

Western blot - Anti-HEY1 antibody (AB235173)

Imaged on Chemidoc program.

All lanes:

Western blot - Anti-HEY1 antibody (ab235173) at 1/1000 dilution

Lane 1:

Hey1 variant 2 human recombinant protein, 50ng

Lane 2:

A-172 lysate at 35 µg

Lane 3:

Jurkat cell lysate at 35 µg

Lane 4:

Mouse brain tissue lysate at 35 µg

Secondary

All lanes:

Goat anti Rabbit IgG [H&L] HRP at 1/70000 dilution

Predicted band size: 33 kDa

false

Exposure time: 19s

Key facts

Host species

Rabbit

Clonality

Polyclonal

Isotype

IgG

Carrier free

No

Reacts with

Mouse, Human

Applications

WB, IHC

applications

Immunogen

The exact immunogen used to generate this antibody is proprietary information.

Reactivity data

{ "title": "Reactivity Data", "filters": { "stats": ["", "Species", "Dilution Info", "Notes"], "tabs": { "all-applications": {"fullname" : "All Applications", "shortname": "All Applications"}, "IHC" : {"fullname" : "Immunohistochemistry", "shortname":"IHC"}, "WB" : {"fullname" : "Western blot", "shortname":"WB"} }, "product-promise": { "all": "all", "testedAndGuaranteed": "tested", "guaranteed": "expected", "predicted": "predicted", "notRecommended": "not-recommended" } }, "values": { "Human": { "IHC-species-checked": "testedAndGuaranteed", "IHC-species-dilution-info": "1/100 - 1/200", "IHC-species-notes": "<p>Perform heat mediated antigen retrieval before commencing with IHC staining protocol.</p>", "WB-species-checked": "testedAndGuaranteed", "WB-species-dilution-info": "1/1000", "WB-species-notes": "<p></p>" }, "Mouse": { "IHC-species-checked": "guaranteed", "IHC-species-dilution-info": "", "IHC-species-notes": "", "WB-species-checked": "testedAndGuaranteed", "WB-species-dilution-info": "1/1000", "WB-species-notes": "<p></p>" }, "Cow": { "IHC-species-checked": "predicted", "IHC-species-dilution-info": "", "IHC-species-notes": "", "WB-species-checked": "predicted", "WB-species-dilution-info": "", "WB-species-notes": "" }, "Dog": { "IHC-species-checked": "predicted", "IHC-species-dilution-info": "", "IHC-species-notes": "", "WB-species-checked": "predicted", "WB-species-dilution-info": "", "WB-species-notes": "" } } }

Properties and storage information

Form
Liquid
Purification technique
Affinity purification
Storage buffer
Preservative: 0.01% Sodium azide Constituents: PBS
Shipped at conditions
Blue Ice
Appropriate short-term storage duration
1-2 weeks
Appropriate short-term storage conditions
+4°C
Appropriate long-term storage conditions
-20°C
Aliquoting information
Upon delivery aliquot
Storage information
Avoid freeze / thaw cycle

Supplementary information

This supplementary information is collated from multiple sources and compiled automatically.

The HEY1 protein also known as Hes-related family bHLH transcription factor with YRPW motif 1 plays a significant role as a transcriptional repressor. It weighs approximately 33 kilodaltons. HEY1 is part of the hairy and enhancer of split family of proteins. Expression of HEY1 occurs in various tissues including the heart brain and liver. Within cells HEY1 localizes to the nucleus where it modulates gene expression by binding to specific DNA sequences.
Biological function summary

HEY1 functions as an important regulator of developmental processes. It participates in the Notch signaling pathway and regulates the transcription of genes involved in cell fate decisions. HEY1 forms a part of transcriptional complexes often associating with other proteins to modulate expression patterns important for differentiation and proliferation. These complexes enable it to exert control over target gene expression influencing processes like angiogenesis and myogenesis.

Pathways

HEY1 is prominently involved in the Notch signaling and Wnt pathways. Notch signaling regulates cell communication important for cell differentiation while the Wnt pathway influences cell growth and development. In both pathways HEY1 modulates signal transduction by interacting with proteins like RBPJ in the Notch pathway. HEY1's role in these pathways reveals its importance in maintaining cellular architecture and instructive developmental cues.

HEY1 is associated with various cancers and cardiovascular diseases. Abnormal HEY1 expression correlates with tumorigenesis in cancers such as osteosarcoma where it may interact with proteins like HES1 to influence tumor growth. Additionally HEY1's involvement in cardiovascular diseases links to its role in regulating vascular remodeling and heart development where an imbalance in HEY1 expression might contribute to pathological outcomes.

Product protocols

For this product, it's our understanding that no specific protocols are required. You can visit:

Target data

Transcriptional repressor which binds preferentially to the canonical E box sequence 5'-CACGTG-3' (PubMed : 11095750). Downstream effector of Notch signaling required for cardiovascular development. Specifically required for the Notch-induced endocardial epithelial to mesenchymal transition, which is itself criticial for cardiac valve and septum development. May be required in conjunction with HEY2 to specify arterial cell fate or identity. Promotes maintenance of neuronal precursor cells and glial versus neuronal fate specification. Represses transcription by the cardiac transcriptional activators GATA4 and GATA6 and by the neuronal bHLH factors ASCL1/MASH1 and NEUROD4/MATH3 (PubMed : 15485867). Involved in the regulation of liver cancer cells self-renewal (PubMed : 25985737).
See full target information HEY1

Publications (3)

Recent publications for all applications. Explore the full list and refine your search

American journal of physiology. Cell physiology 327:C929-C945 PubMed39099421

2024

Modulating endothelial cell dynamics in fat grafting: the impact of DLL4 siRNA via adipose stem cell extracellular vesicles.

Applications

Unspecified application

Species

Unspecified reactive species

Sen-Lin Deng,Qiang Fu,Qing Liu,Fu-Jun Huang,Miao Zhang,Xun Zhou

Cellular and molecular biology (Noisy-le-Grand, France) 70:226-232 PubMed38372090

2024

Inhibition of RXRA-mediated PLA2G2A improves delirium in COPD mice by regulating endoplasmic reticulum stress pathway and inhibiting cell apoptosis.

Applications

Unspecified application

Species

Unspecified reactive species

Teng Zhang,Guodong Wang

Cold Spring Harbor molecular case studies 7: PubMed34362827

2021

Metastatic pediatric sclerosing epithelioid fibrosarcoma.

Applications

Unspecified application

Species

Unspecified reactive species

Andrew D Woods,Reshma Purohit,Laura Crocker Mitchell,John R Collier,Katherine A Collier,Melvin Lathara,Katrina Learned,Olena Vaske,Heather Geiger,Kazimierz O Wrzeszczynski,Vaidehi Jobanputra,Ganapati Srinivasa,Erin R Rudzinski,Kimberly Whelan,Elizabeth Beierle,Sheri L Spunt,Charles Keller,Aman Wadhwa
View all publications

Product promise

We are committed to supporting your work with high-quality reagents, and we're here for you every step of the way. In the unlikely event that one of our products does not perform as expected, you're protected by our Product Promise.
For full details, please see our Terms & Conditions

Please note: All products are 'FOR RESEARCH USE ONLY. NOT FOR USE IN DIAGNOSTIC OR THERAPEUTIC PROCEDURES'.

For licensing inquiries, please contact partnerships@abcam.com