JavaScript is disabled in your browser. Please enable JavaScript to view this website.
AB248354

Anti-HGD antibody [EPR7874] - BSA and Azide free

Be the first to review this product! Submit a review

|

(0 Publication)

Rabbit Recombinant Monoclonal HGD antibody. Carrier free. Suitable for IHC-P, ICC/IF, WB and reacts with Human samples.

View Alternative Names

HGO, HGD, Homogentisate oxygenase, Homogentisic acid oxidase, Homogentisicase

3 Images
Immunocytochemistry/ Immunofluorescence - Anti-HGD antibody [EPR7874] - BSA and Azide free (AB248354)
  • ICC/IF

Unknown

Immunocytochemistry/ Immunofluorescence - Anti-HGD antibody [EPR7874] - BSA and Azide free (AB248354)

This data was developed using ab131035, the same antibody clone in a different buffer formulation.Immunofluorescence analysis of HepG2 cells labelling HGD with ab131035 antibody at 1/100 dilution.

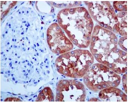
Immunohistochemistry (Formalin/PFA-fixed paraffin-embedded sections) - Anti-HGD antibody [EPR7874] - BSA and Azide free (AB248354)
  • IHC-P

Unknown

Immunohistochemistry (Formalin/PFA-fixed paraffin-embedded sections) - Anti-HGD antibody [EPR7874] - BSA and Azide free (AB248354)

This data was developed using ab131035, the same antibody clone in a different buffer formulation.

Immunohistochemical analysis of paraffin-embedded Human kidney tissue labelling HGD with ab131035 antibody at 1/100 dilution.

Perform heat mediated antigen retrieval with citrate buffer pH 6 before commencing with IHC staining protocol.

Western blot - Anti-HGD antibody [EPR7874] - BSA and Azide free (AB248354)
  • WB

Unknown

Western blot - Anti-HGD antibody [EPR7874] - BSA and Azide free (AB248354)

This data was developed using ab131035, the same antibody clone in a different buffer formulation.

All lanes:

Western blot - Anti-HGD antibody [EPR7874] (<a href='/en-us/products/primary-antibodies/hgd-antibody-epr7874-ab131035'>ab131035</a>) at 1/1000 dilution

Lane 1:

Caco-2 cell lysate at 10 µg

Lane 2:

HepG2 cell lysate at 10 µg

Lane 3:

Human fetal liver tissue lysate at 10 µg

Secondary

All lanes:

HRP labelled goat anti-rabbit at 1/2000 dilution

Predicted band size: 50 kDa

Observed band size: 50 kDa

false

Key facts

Host species

Rabbit

Clonality

Monoclonal

Clone number

EPR7874

Isotype

IgG

Carrier free

Yes

Reacts with

Human

Applications

IHC-P, WB, ICC/IF

applications

Immunogen

The exact immunogen used to generate this antibody is proprietary information.

Reactivity data

{ "title": "Reactivity Data", "filters": { "stats": ["", "Species", "Dilution Info", "Notes"], "tabs": { "all-applications": {"fullname" : "All Applications", "shortname": "All Applications"}, "IHCP" : {"fullname" : "Immunohistochemistry (Formalin/PFA-fixed paraffin-embedded sections)", "shortname":"IHC-P"}, "ICCIF" : {"fullname" : "Immunocytochemistry/ Immunofluorescence", "shortname":"ICC/IF"}, "FlowCyt" : {"fullname" : "Flow Cytometry", "shortname":"Flow Cyt"}, "WB" : {"fullname" : "Western blot", "shortname":"WB"} }, "product-promise": { "all": "all", "testedAndGuaranteed": "tested", "guaranteed": "expected", "predicted": "predicted", "notRecommended": "not-recommended" } }, "values": { "Human": { "IHCP-species-checked": "testedAndGuaranteed", "IHCP-species-dilution-info": "", "IHCP-species-notes": "<p></p>", "ICCIF-species-checked": "testedAndGuaranteed", "ICCIF-species-dilution-info": "", "ICCIF-species-notes": "<p></p>", "FlowCyt-species-checked": "notRecommended", "FlowCyt-species-dilution-info": "", "FlowCyt-species-notes": "<p></p>", "WB-species-checked": "testedAndGuaranteed", "WB-species-dilution-info": "", "WB-species-notes": "<p></p>" } } }

Product details

ab248354 is the carrier-free version of ab131035.

Species reactivity
Mouse, Rat: We have preliminary internal testing data to indicate this antibody may not react with these species.
Please contact us for more information.

Patented technology
Our RabMAb® technology is a patented hybridoma-based technology for making rabbit monoclonal antibodies. For details on our patents, please refer to RabMAb® patents.

What are the advantages of a recombinant monoclonal antibody?
This product is a recombinant monoclonal antibody, which offers several advantages including:

  • - High batch-to-batch consistency and reproducibility
  • - Improved sensitivity and specificity
  • - Long-term security of supply
  • - Animal-free batch production

For more information, read more on recombinant antibodies.

Conjugation ready
Our carrier-free antibodies are typically supplied in a PBS-only formulation, purified and free of BSA, sodium azide and glycerol. This conjugation-ready format is designed for use with fluorochromes, metal isotopes, oligonucleotides, and enzymes, which makes them ideal for antibody labelling, functional and cell-based assays, flow-based assays (e.g. mass cytometry) and Multiplex Imaging applications.

Use our conjugation kits for antibody conjugates that are ready-to-use in as little as 20 minutes with 1 minute hands-on-time and 100% antibody recovery: available for fluorescent dyes, HRP, biotin and gold.

Compatibility
This product is compatible with the Maxpar® Antibody Labeling Kit from Fluidigm, without the need for antibody preparation. Maxpar® is a trademark of Fluidigm Canada Inc.

Properties and storage information

Form
Liquid
Purification technique
Affinity purification Protein A
Storage buffer
pH: 7.2 - 7.4 Constituents: PBS
Shipped at conditions
Blue Ice
Appropriate short-term storage conditions
+4°C
Appropriate long-term storage conditions
+4°C
Storage information
Do Not Freeze

Supplementary information

This supplementary information is collated from multiple sources and compiled automatically.

HGD also known as homogentisate oxidase is an important enzyme involved in the catabolism of aromatic amino acids like tyrosine and phenylalanine. This enzyme possesses a molecular mass of roughly 50 kDa. In the human body HGD is expressed predominantly in the liver and kidney tissues. Its primary role is to catalyze the conversion of homogentisic acid into maleylacetoacetic acid a vital step in the breakdown process of these amino acids.
Biological function summary

The role of HGD is essential in maintaining proper amino acid metabolism. It does not directly form part of larger enzymatic complexes but acts as a standalone enzyme that facilitates a specific reaction in the breakdown pathway. This specific reaction aids in preventing the accumulation of intermediary metabolites that could cause cellular toxicity. By regulating the levels of homogentisic acid HGD ensures cellular homeostasis is maintained.

Pathways

The function of HGD fits into several metabolic processes related to amino acid degradation. Most notably it operates within the tyrosine degradation pathway a critical series of reactions required for energy production and detoxification in the body. HGD activity is intricately linked with enzymes like tyrosine aminotransferase which helps initiate the tyrosine breakdown and fumarylacetoacetate hydrolase which serves in the terminal steps of this pathway.

Improper functioning of HGD is directly associated with alkaptonuria a rare hereditary disorder causing the accumulation of homogentisic acid in body tissues. This condition often leads to arthritic complications and kidney stones. The dysfunction of this enzymatic pathway can also indirectly affect vitamin D metabolism highlighting the importance of HGD's efficient operation. In alkaptonuria the insufficient activity of HGD leads to an elevation of homogentisic acid affecting downstream pathways and interacting proteins critical for maintaining skeletal and renal health.

Product protocols

For this product, it's our understanding that no specific protocols are required. You can visit:

Target data

Catalyzes the conversion of homogentisate to maleylacetoacetate.
See full target information HGD

Product promise

We are committed to supporting your work with high-quality reagents, and we're here for you every step of the way. In the unlikely event that one of our products does not perform as expected, you're protected by our Product Promise.
For full details, please see our Terms & Conditions

Please note: All products are 'FOR RESEARCH USE ONLY. NOT FOR USE IN DIAGNOSTIC OR THERAPEUTIC PROCEDURES'.

For licensing inquiries, please contact partnerships@abcam.com