JavaScript is disabled in your browser. Please enable JavaScript to view this website.
AB240204

Anti-HGF antibody [EPR12230] - BSA and Azide free

Be the first to review this product! Submit a review

|

(1 Publication)

Rabbit Recombinant Monoclonal HGF antibody. Carrier free. Suitable for IP, WB and reacts with Human samples. Cited in 1 publication.

View Alternative Names

HPTA, HGF, Hepatocyte growth factor, Hepatopoietin-A, Scatter factor, SF

1 Images
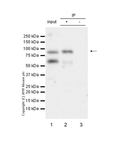
Immunoprecipitation - Anti-HGF antibody [EPR12230] - BSA and Azide free (AB240204)
  • IP

Unknown

Immunoprecipitation - Anti-HGF antibody [EPR12230] - BSA and Azide free (AB240204)

ab178395 (purified) at 1 : 30 dilution (2μg) immunoprecipitating HGF in Human placenta lysate.
Lane 1 (input) : Human placenta lysate 10μg
Lane 2 (+) : ab178395 & Human placenta lysate
Lane 3 (-) : Rabbit monoclonal IgG (ab172730) instead of ab178395 in Human placenta lysate
For western blotting, VeriBlot for IP Detection Reagent (HRP) (ab131366) was used for detection at 1 : 1000 dilution.
Blocking and diluting buffer : 5% NFDM/TBST.

All lanes:

Immunoprecipitation - Anti-HGF antibody [EPR12230] (<a href='/en-us/products/primary-antibodies/hgf-antibody-epr12230-ab178395'>ab178395</a>)

Predicted band size: 83 kDa

false

Key facts

Host species

Rabbit

Clonality

Monoclonal

Clone number

EPR12230

Isotype

IgG

Carrier free

Yes

Reacts with

Human

Applications

WB, IP

applications

Immunogen

The exact immunogen used to generate this antibody is proprietary information.

Reactivity data

{ "title": "Reactivity Data", "filters": { "stats": ["", "Species", "Dilution Info", "Notes"], "tabs": { "all-applications": {"fullname" : "All Applications", "shortname": "All Applications"}, "IP" : {"fullname" : "Immunoprecipitation", "shortname":"IP"}, "WB" : {"fullname" : "Western blot", "shortname":"WB"}, "IHCP" : {"fullname" : "Immunohistochemistry (Formalin/PFA-fixed paraffin-embedded sections)", "shortname":"IHC-P"} }, "product-promise": { "all": "all", "testedAndGuaranteed": "tested", "guaranteed": "expected", "predicted": "predicted", "notRecommended": "not-recommended" } }, "values": { "Human": { "IP-species-checked": "testedAndGuaranteed", "IP-species-dilution-info": "", "IP-species-notes": "<p></p>", "WB-species-checked": "guaranteed", "WB-species-dilution-info": "", "WB-species-notes": "<p></p>", "IHCP-species-checked": "notRecommended", "IHCP-species-dilution-info": "", "IHCP-species-notes": "<p></p>" }, "Mouse": { "IP-species-checked": "notRecommended", "IP-species-dilution-info": "", "IP-species-notes": "<p></p>", "WB-species-checked": "notRecommended", "WB-species-dilution-info": "", "WB-species-notes": "<p></p>", "IHCP-species-checked": "notRecommended", "IHCP-species-dilution-info": "", "IHCP-species-notes": "<p></p>" }, "Rat": { "IP-species-checked": "notRecommended", "IP-species-dilution-info": "", "IP-species-notes": "<p></p>", "WB-species-checked": "notRecommended", "WB-species-dilution-info": "", "WB-species-notes": "<p></p>", "IHCP-species-checked": "notRecommended", "IHCP-species-dilution-info": "", "IHCP-species-notes": "<p></p>" } } }

Product details

ab240204 is the carrier-free version of ab178395.

Patented technology
Our RabMAb® technology is a patented hybridoma-based technology for making rabbit monoclonal antibodies. For details on our patents, please refer to RabMAb® patents.

What are the advantages of a recombinant monoclonal antibody?
This product is a recombinant monoclonal antibody, which offers several advantages including:

  • - High batch-to-batch consistency and reproducibility
  • - Improved sensitivity and specificity
  • - Long-term security of supply
  • - Animal-free batch production

For more information, read more on recombinant antibodies.

Conjugation ready
Our carrier-free antibodies are typically supplied in a PBS-only formulation, purified and free of BSA, sodium azide and glycerol. This conjugation-ready format is designed for use with fluorochromes, metal isotopes, oligonucleotides, and enzymes, which makes them ideal for antibody labelling, functional and cell-based assays, flow-based assays (e.g. mass cytometry) and Multiplex Imaging applications.

Use our conjugation kits for antibody conjugates that are ready-to-use in as little as 20 minutes with 1 minute hands-on-time and 100% antibody recovery: available for fluorescent dyes, HRP, biotin and gold.

Compatibility
This product is compatible with the Maxpar® Antibody Labeling Kit from Fluidigm, without the need for antibody preparation. Maxpar® is a trademark of Fluidigm Canada Inc.

Properties and storage information

Form
Liquid
Purification technique
Affinity purification Protein A
Storage buffer
pH: 7.2 - 7.4 Constituents: PBS
Shipped at conditions
Blue Ice
Appropriate short-term storage conditions
+4°C
Appropriate long-term storage conditions
+4°C
Storage information
Do Not Freeze

Supplementary information

This supplementary information is collated from multiple sources and compiled automatically.

The hepatocyte growth factor (HGF) also known as scatter factor (SF) is a protein with a mass of approximately 83 kDa. This protein is mostly expressed in the liver but it can also be found in other organs such as the kidney and the lungs. HGF acts mechanically by binding to the c-Met receptor activating intracellular signaling mechanisms necessary for various physiological processes. Researchers often use HGF ELISA kits to measure its levels in biological samples and study its various roles.
Biological function summary

HGF plays an essential role in cellular growth regeneration and healing processes across different tissues. It is not part of a complex but functions as a single-chain polypeptide that undergoes cleavage into its active form. HGF facilitates cell proliferation and migration; this is especially important during organ regeneration and repair processes. By engaging with its receptor c-Met it induces cell survival and cytoskeletal reorganization making it important for wound healing.

Pathways

HGF is critical in the MAPK and PI3K-Akt signaling pathways which impact processes like cell division and survival. Through these pathways HGF interacts with other proteins such as ERK and Akt contributing to the regulation of cellular growth and metabolism. HGF's role in these pathways highlights its importance in developmental processes and tissue homeostasis.

HGF displays significant connections to cancer and liver cirrhosis. Its overexpression can lead to the development of various carcinomas due to its effect on cell proliferation and migration. In liver cirrhosis the altered HGF-c-Met signaling might contribute to the disease progression and hepatic dysfunction. Additionally HGF can interact with proteins such as transforming growth factor-beta (TGF-β) in these conditions influencing the pathological environment.

Product protocols

For this product, it's our understanding that no specific protocols are required. You can visit:

Target data

Potent mitogen for mature parenchymal hepatocyte cells, seems to be a hepatotrophic factor, and acts as a growth factor for a broad spectrum of tissues and cell types (PubMed : 20624990). Activating ligand for the receptor tyrosine kinase MET by binding to it and promoting its dimerization (PubMed : 15167892, PubMed : 20977675). Activates MAPK signaling following TMPRSS13 cleavage and activation (PubMed : 20977675).
See full target information HGF

Publications (1)

Recent publications for all applications. Explore the full list and refine your search

Signal transduction and targeted therapy 6:375 PubMed34728602

2021

The existence of a nonclassical TCA cycle in the nucleus that wires the metabolic-epigenetic circuitry.

Applications

Unspecified application

Species

Unspecified reactive species

Xujun Liu,Wenzhe Si,Lin He,Jianguo Yang,Yani Peng,Jie Ren,Xiaoping Liu,Tong Jin,Huajing Yu,Zihan Zhang,Xiao Cheng,Wenting Zhang,Lu Xia,Yunchao Huang,Yue Wang,Shumeng Liu,Lin Shan,Yu Zhang,Xiaohan Yang,Haixia Li,Jing Liang,Luyang Sun,Yongfeng Shang
View all publications

Product promise

We are committed to supporting your work with high-quality reagents, and we're here for you every step of the way. In the unlikely event that one of our products does not perform as expected, you're protected by our Product Promise.
For full details, please see our Terms & Conditions

Please note: All products are 'FOR RESEARCH USE ONLY. NOT FOR USE IN DIAGNOSTIC OR THERAPEUTIC PROCEDURES'.

For licensing inquiries, please contact partnerships@abcam.com