JavaScript is disabled in your browser. Please enable JavaScript to view this website.
AB324310

Anti-Hhip antibody [EPR29660-579]

Be the first to review this product! Submit a review

|

(0 Publication)

Rabbit Recombinant Monoclonal HHIP antibody. Suitable for WB and reacts with Human samples.

View Alternative Names

HIP, UNQ5825/PRO19644, HHIP, Hedgehog-interacting protein

2 Images
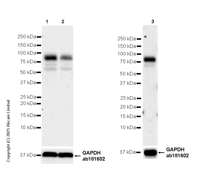
Western blot - Anti-Hhip antibody [EPR29660-579] (AB324310)
  • WB

Supplier Data

Western blot - Anti-Hhip antibody [EPR29660-579] (AB324310)

Blocking and diluting buffer and concentration : 5% NFDM/TBST.

The identity of the bands lower than 79 kDa are unknown.

To minimize protein degradation, cells (lanes 3) were lysed immediately after harvest and then applied to a gel and transfer membrane for Western blotting as soon as possible.

In Western blot, Anti-GAPDH antibody [EPR16891] - Loading Control (ab181602) staining at 1/200000 dilution.

Exposure time : Lanes 1-2 : 81 seconds; Lane 3 : 125 seconds.

All lanes:

Western blot - Anti-Hhip antibody [EPR29660-579] (ab324310) at 1/1000 dilution

Lane 1:

HUVEC (human umbilical vein endothelial cell) with scrambled siRNA control whole cell lysate at 20 µg

Lane 2:

HUVEC transfected with siRNA specifically targeting Hhip whole cell lysate at 20 µg

Lane 3:

HUVEC (human umbilical vein endothelial cell) whole cell lysate at 20 µg

Secondary

All lanes:

Western blot - Goat Anti-Rabbit IgG H&L (HRP) (<a href='/en-us/products/secondary-antibodies/goat-rabbit-igg-h-l-hrp-ab97051'>ab97051</a>) at 1/20000 dilution

Observed band size: 79 kDa,36 kDa

false

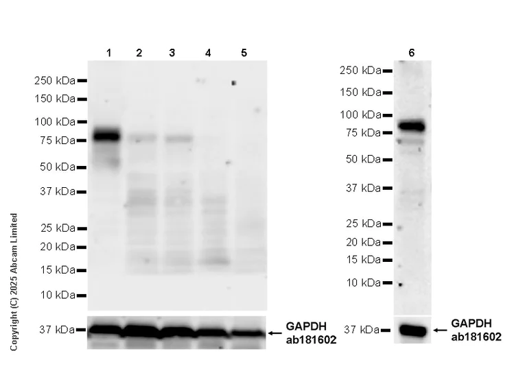
Western blot - Anti-Hhip antibody [EPR29660-579] (AB324310)
  • WB

Supplier Data

Western blot - Anti-Hhip antibody [EPR29660-579] (AB324310)

Blocking and diluting buffer and concentration : 5% NFDM/TBST.

Low expression : CCRF-CE, Jurkat.

Negative control : HT-29, HepG2 (PMID : 15294024, PMID : 17683069)

The identity of the bands lower than 79 kDa are unknown.

To minimize protein degradation, cells (lanes 6) were lysed immediately after harvest and then applied to a gel and transfer membrane for Western blotting as soon as possible.

In Western blot, Anti-GAPDH antibody [EPR16891] - Loading Control (ab181602) staining at 1/200000 dilution.

Exposure time : Lanes 1-6 : 37 seconds; Lane 7 : 180 seconds.

All lanes:

Western blot - Anti-Hhip antibody [EPR29660-579] (ab324310) at 1/1000 dilution

Lane 1:

HUVEC (human umbilical vein endothelial cell) whole cell lysate at 48 µg

Lane 2:

CCRF-CEM (human peripheral blood T lymphoblast) whole cell lysate at 48 µg

Lane 3:

Jurkat (human T cell leukemia T lymphocyte from peripheral blood) whole cell lysate at 48 µg

Lane 4:

HT-29 (human colorectal adenocarcinoma epithelial cell) whole cell lysate at 48 µg

Lane 5:

HepG2 (human hepatocellular carcinoma epithelial cell) whole cell lysate at 48 µg

Lane 6:

EA.hy926 (human somatic cell hybrid endothelial cell) whole cell lysate at 20 µg

Secondary

All lanes:

Western blot - Goat Anti-Rabbit IgG H&L (HRP) (<a href='/en-us/products/secondary-antibodies/goat-rabbit-igg-h-l-hrp-ab97051'>ab97051</a>) at 1/20000 dilution

Observed band size: 79 kDa,36 kDa

false

Key facts

Host species

Rabbit

Clonality

Monoclonal

Clone number

EPR29660-579

Isotype

IgG

Carrier free

No

Reacts with

Human

Applications

WB

applications

Immunogen

The exact immunogen used to generate this antibody is proprietary information.

Reactivity data

{ "title": "Reactivity Data", "filters": { "stats": ["", "Species", "Dilution Info", "Notes"], "tabs": { "all-applications": {"fullname" : "All Applications", "shortname": "All Applications"}, "WB" : {"fullname" : "Western blot", "shortname":"WB"}, "IHCP" : {"fullname" : "Immunohistochemistry (Formalin/PFA-fixed paraffin-embedded sections)", "shortname":"IHC-P"} }, "product-promise": { "all": "all", "testedAndGuaranteed": "tested", "guaranteed": "expected", "predicted": "predicted", "notRecommended": "not-recommended" } }, "values": { "Human": { "WB-species-checked": "testedAndGuaranteed", "WB-species-dilution-info": "1/1000", "WB-species-notes": "<p></p>", "IHCP-species-checked": "notRecommended", "IHCP-species-dilution-info": "", "IHCP-species-notes": "<p></p>" }, "Mouse": { "WB-species-checked": "notRecommended", "WB-species-dilution-info": "", "WB-species-notes": "<p></p>", "IHCP-species-checked": "notRecommended", "IHCP-species-dilution-info": "", "IHCP-species-notes": "<p></p>" } } }

Product details

Patented technology
Our RabMAb® technology is a patented hybridoma-based technology for making rabbit monoclonal antibodies. For details on our patents, please refer to RabMAb® patents.

What are the advantages of a recombinant monoclonal antibody?
This product is a recombinant monoclonal antibody, which offers several advantages including:

  • - High batch-to-batch consistency and reproducibility
  • - Improved sensitivity and specificity
  • - Long-term security of supply
  • - Animal-free batch production

For more information, read more on recombinant antibodies.

Properties and storage information

Form
Liquid
Purification technique
Affinity purification Protein A
Storage buffer
pH: 7.2 - 7.4 Preservative: 0.01% Sodium azide Constituents: PBS, 40% Glycerol (glycerin, glycerine), 0.05% BSA
Shipped at conditions
Blue Ice
Appropriate short-term storage duration
1-2 weeks
Appropriate short-term storage conditions
+4°C
Appropriate long-term storage conditions
-20°C
Aliquoting information
Upon delivery aliquot
Storage information
Avoid freeze / thaw cycle

Product protocols

For this product, it's our understanding that no specific protocols are required. You can visit:

Target data

Modulates hedgehog signaling in several cell types including brain and lung through direct interaction with members of the hedgehog family.
See full target information HHIP

Product promise

We are committed to supporting your work with high-quality reagents, and we're here for you every step of the way. In the unlikely event that one of our products does not perform as expected, you're protected by our Product Promise.
For full details, please see our Terms & Conditions

Please note: All products are 'FOR RESEARCH USE ONLY. NOT FOR USE IN DIAGNOSTIC OR THERAPEUTIC PROCEDURES'.

For licensing inquiries, please contact partnerships@abcam.com