JavaScript is disabled in your browser. Please enable JavaScript to view this website.
AB214327

Anti-HHLA2 antibody

Be the first to review this product! Submit a review

|

(16 Publications)

Rabbit Polyclonal HHLA2 antibody. Suitable for WB, IHC-P and reacts with Human samples. Cited in 16 publications. Immunogen corresponding to Synthetic Peptide within Human HHLA2 aa 250-350 conjugated to Keyhole Limpet Haemocyanin.

View Alternative Names

HERV-H LTR-associating protein 2, Human endogenous retrovirus-H long terminal repeat-associating protein 2, HHLA2

2 Images
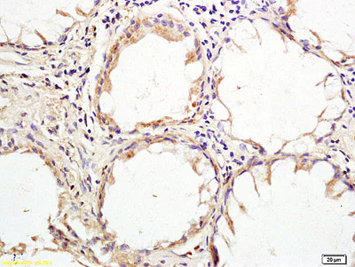
Immunohistochemistry (Formalin/PFA-fixed paraffin-embedded sections) - Anti-HHLA2 antibody (AB214327)
  • IHC-P

Supplier Data

Immunohistochemistry (Formalin/PFA-fixed paraffin-embedded sections) - Anti-HHLA2 antibody (AB214327)

Immunohistochemical analysis of formalin-fixed, paraffin-embedded human rectal carcinoma tissue labeling HHLA2 with ab214327 at 1/200 dilution followed by conjugation to the secondary antibody and DAB staining.

Western blot - Anti-HHLA2 antibody (AB214327)
  • WB

Lab

Western blot - Anti-HHLA2 antibody (AB214327)

All lanes:

Western blot - Anti-HHLA2 antibody (ab214327) at 1/500 dilution

Lane 1:

Lovo cell lysates

Lane 2:

A549 cell lysates

Secondary

All lanes:

Conjugated secondary antibody at 1/20000 dilution

Predicted band size: 46 kDa

false

Key facts

Host species

Rabbit

Clonality

Polyclonal

Isotype

IgG

Carrier free

No

Reacts with

Human

Applications

IHC-P, WB

applications

Immunogen

Synthetic Peptide within Human HHLA2 aa 250-350 conjugated to Keyhole Limpet Haemocyanin. The exact immunogen used to generate this antibody is proprietary information.

Q9UM44

Reactivity data

{ "title": "Reactivity Data", "filters": { "stats": ["", "Species", "Dilution Info", "Notes"], "tabs": { "all-applications": {"fullname" : "All Applications", "shortname": "All Applications"}, "WB" : {"fullname" : "Western blot", "shortname":"WB"}, "IHCP" : {"fullname" : "Immunohistochemistry (Formalin/PFA-fixed paraffin-embedded sections)", "shortname":"IHC-P"} }, "product-promise": { "all": "all", "testedAndGuaranteed": "tested", "guaranteed": "expected", "predicted": "predicted", "notRecommended": "not-recommended" } }, "values": { "Human": { "WB-species-checked": "testedAndGuaranteed", "WB-species-dilution-info": "1/500", "WB-species-notes": "<p></p>", "IHCP-species-checked": "testedAndGuaranteed", "IHCP-species-dilution-info": "1/100 - 1/500", "IHCP-species-notes": "<p></p>" } } }

Properties and storage information

Form
Liquid
Purification technique
Affinity purification Protein A
Storage buffer
pH: 7.4 Preservative: 0.02% Proclin 300 Constituents: 50% Glycerol (glycerin, glycerine), 48.98% TBS, 1X, 1% BSA
Shipped at conditions
Blue Ice
Appropriate short-term storage duration
1-2 weeks
Appropriate short-term storage conditions
+4°C
Appropriate long-term storage conditions
-20°C
Aliquoting information
Upon delivery aliquot
Storage information
Avoid freeze / thaw cycle

Supplementary information

This supplementary information is collated from multiple sources and compiled automatically.

The HHLA2 protein also known as Human endogenous retrovirus-H Long Terminal Repeat-Associating 2 plays a role in the immune response. This protein is part of the B7 family which are known for their involvement in immunomodulation. It has a molecular weight of approximately 30 kDa. HHLA2 is expressed in various tissues including the placenta kidneys intestines and lungs. Additionally HHLA2 is typically upregulated in some cancer tissues which suggests a potential role in tumor immunity.
Biological function summary

HHLA2 acts as a co-inhibitory molecule that modulates T cell activity functioning to suppress T cell proliferation and cytokine production. It engages in the immune checkpoint pathways which are critical for maintaining immune tolerance and preventing over-activation of the immune system. HHLA2 does not act alone but rather interacts with other B7 family proteins in these pathways. It influences CTLA-4 and PD-1 mediated pathways by modulating the immune checkpoints adjusting the immune response based on physiological needs.

Pathways

HHLA2 fits into the immune checkpoint regulation pathways. It is known to modulate the PD-1/PD-L1 pathway which is essential for T cell immune evasion in cancer cells. Through its interactions HHLA2 can impact the tumor microenvironment by influencing immune cell infiltration and activation which is a significant aspect of cancer progression and immune evasion strategies. It is also related to CTLA-4 regulatory pathways which play an important role in maintaining immune homeostasis by negatively regulating T cell activation.

HHLA2 associates with cancer particularly certain solid tumors where its expression is increased suggesting its role in immune evasion. This association points to its potential as a therapeutic target for immunotherapy. HHLA2 is connected to proteins like PD-L1 and CTLA-4 which are already known targets in cancer therapy because of their roles in bypassing immune detection by tumors. Additionally its expression is linked to autoimmune diseases where dysregulation of immune checkpoints results in excessive immune cell activity against self-tissues.

Product protocols

For this product, it's our understanding that no specific protocols are required. You can visit:

Target data

Through interaction with TMIGD2, costimulates T-cells in the context of TCR-mediated activation. Enhances T-cell proliferation and cytokine production via an AKT-dependent signaling cascade.
See full target information HHLA2

Publications (16)

Recent publications for all applications. Explore the full list and refine your search

Heliyon 10:e34031 PubMed39100467

2024

FTO promotes the progression of bladder cancer via demethylating mA modifications in PTPN6 mRNA.

Applications

Unspecified application

Species

Unspecified reactive species

Naping Wu,Yangyang Sun,Dong Xue,Xiaozhou He

Technology in cancer research & treatment 23:15330338241240683 PubMed38613340

2024

Clinical Value of Human Endogenous Retrovirus-H Long Terminal Repeat Associating 2 (HHLA2) in Small Cell Lung Cancer.

Applications

Unspecified application

Species

Unspecified reactive species

Xiuqin Zhang,Yan Qin,Xu Chen,Mengrui Xiong,Song Shu

Cellular immunology 388-389:104730 PubMed37210768

2023

Downregulation of HHLA2 inhibits ovarian cancer progression via the NF-κB signaling pathway and suppresses the expression of CA9.

Applications

Unspecified application

Species

Unspecified reactive species

Yuanyuan Fu,Panpan Zheng,Xiao Zheng,Lujun Chen,Caixia Kong,Wenzhi Liu,Shuping Li,Jingting Jiang

Frontiers in immunology 14:1150803 PubMed37056782

2023

CD226 identifies functional CD8T cells in the tumor microenvironment and predicts a better outcome for human gastric cancer.

Applications

Unspecified application

Species

Unspecified reactive species

Hao Huang,Ziyi Huang,Junwei Ge,Jiayi Yang,Junjun Chen,Bin Xu,Shaoxian Wu,Xiao Zheng,Lujun Chen,Xueguang Zhang,Jingting Jiang

World journal of surgical oncology 21:90 PubMed36899373

2023

Integrative analyses identify CD73 as a prognostic biomarker and immunotherapeutic target in intrahepatic cholangiocarcinoma.

Applications

Unspecified application

Species

Unspecified reactive species

Bao-Ye Sun,Zhang-Fu Yang,Zhu-Tao Wang,Gao Liu,Cheng Zhou,Jian Zhou,Jia Fan,Wei Gan,Yong Yi,Shuang-Jian Qiu

Frontiers in immunology 13:984172 PubMed36159808

2022

Novel immune scoring dynamic nomograms based on B7-H3, B7-H4, and HHLA2: Potential prediction in survival and immunotherapeutic efficacy for gallbladder cancer.

Applications

Unspecified application

Species

Unspecified reactive species

Chao Lv,Shukun Han,Baokang Wu,Zhiyun Liang,Yang Li,Yizhou Zhang,Qi Lang,Chongli Zhong,Lei Fu,Yang Yu,Feng Xu,Yu Tian

Journal of advanced research 47:137-150 PubMed35933091

2022

KIR3DL3-HHLA2 and TMIGD2-HHLA2 pathways: The dual role of HHLA2 in immune responses and its potential therapeutic approach for cancer immunotherapy.

Applications

Unspecified application

Species

Unspecified reactive species

Yang Li,Chao Lv,Yang Yu,Baokang Wu,Yizhou Zhang,Qi Lang,Zhiyun Liang,Chongli Zhong,Yu Shi,Shukun Han,Feng Xu,Yu Tian

International journal of oncology 61: PubMed35920182

2022

HHLA2 promotes tumor progression by long non‑coding RNA H19 in human gallbladder cancer.

Applications

Unspecified application

Species

Unspecified reactive species

Yizhou Zhang,Hanrong Li,Chao Lv,Baokang Wu,Yang Yu,Chongli Zhong,Qi Lang,Zhiyun Liang,Yang Li,Yu Shi,Jian Zhang,Feng Xu,Yu Tian

Journal of translational medicine 20:298 PubMed35794583

2022

The methyltransferase METTL3 promotes tumorigenesis via mediating HHLA2 mRNA m6A modification in human renal cell carcinoma.

Applications

Unspecified application

Species

Unspecified reactive species

Dawei Zhu,Yingting Liu,Junjun Chen,Qi Wang,Yuan Li,Yulan Zhu,Jun Feng,Jingting Jiang

Pathology, research and practice 234:153911 PubMed35489125

2022

Prognostic values of B7-H3, B7-H4, and HHLA2 expression in human pancreatic cancer tissues based on mIHC and spatial distribution analysis.

Applications

Unspecified application

Species

Unspecified reactive species

Yulan Zhu,Junjun Chen,Yingting Liu,Xiao Zheng,Jun Feng,Xuemin Chen,Tianwei Jiang,Yuan Li,Lujun Chen
View all publications

Product promise

We are committed to supporting your work with high-quality reagents, and we're here for you every step of the way. In the unlikely event that one of our products does not perform as expected, you're protected by our Product Promise.
For full details, please see our Terms & Conditions

Please note: All products are 'FOR RESEARCH USE ONLY. NOT FOR USE IN DIAGNOSTIC OR THERAPEUTIC PROCEDURES'.

For licensing inquiries, please contact partnerships@abcam.com