JavaScript is disabled in your browser. Please enable JavaScript to view this website.
AB125918

Anti-hHR23b antibody

4

(1 Review)

|

(1 Publication)

Rabbit Polyclonal hHR23b antibody. Suitable for IHC-P, WB and reacts with Human samples. Cited in 1 publication. Immunogen corresponding to Recombinant Fragment Protein within Human RAD23B aa 1-300.

View Alternative Names

UV excision repair protein RAD23 homolog B, HR23B, hHR23B, XP-C repair-complementing complex 58 kDa protein, p58, RAD23B

2 Images
Immunohistochemistry (Formalin/PFA-fixed paraffin-embedded sections) - Anti-hHR23b antibody (AB125918)
  • IHC-P

Unknown

Immunohistochemistry (Formalin/PFA-fixed paraffin-embedded sections) - Anti-hHR23b antibody (AB125918)

ab125918, at 1/250, staining hHR23b in Human OVCA tissue by immunohistochemistry [Paraffin Embedded Tissues (IHC-P)].

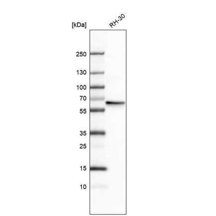
Western blot - Anti-hHR23b antibody (AB125918)
  • WB

Unknown

Western blot - Anti-hHR23b antibody (AB125918)

Gel concentration : 12%

All lanes:

Western blot - Anti-hHR23b antibody (ab125918) at 1/10000 dilution

Lane 1:

293T whole cell lysate at 30 µg

Lane 2:

A431 whole cell lysate at 30 µg

Predicted band size: 43 kDa,46 kDa,48 kDa,49 kDa,83 kDa

false

Key facts

Host species

Rabbit

Clonality

Polyclonal

Isotype

IgG

Carrier free

No

Reacts with

Human

Applications

IHC-P, WB

applications

Immunogen

Recombinant Fragment Protein within Human RAD23B aa 1-300. The exact immunogen used to generate this antibody is proprietary information.

P54727

Reactivity data

{ "title": "Reactivity Data", "filters": { "stats": ["", "Species", "Dilution Info", "Notes"], "tabs": { "all-applications": {"fullname" : "All Applications", "shortname": "All Applications"}, "IHCP" : {"fullname" : "Immunohistochemistry (Formalin/PFA-fixed paraffin-embedded sections)", "shortname":"IHC-P"}, "WB" : {"fullname" : "Western blot", "shortname":"WB"} }, "product-promise": { "all": "all", "testedAndGuaranteed": "tested", "guaranteed": "expected", "predicted": "predicted", "notRecommended": "not-recommended" } }, "values": { "Human": { "IHCP-species-checked": "testedAndGuaranteed", "IHCP-species-dilution-info": "1/100 - 1/500", "IHCP-species-notes": "<p>citrate buffe-10mM</p> Perform heat-mediated antigen retrieval with citrate buffer pH 6 before commencing with IHC staining protocol.", "WB-species-checked": "testedAndGuaranteed", "WB-species-dilution-info": "1/5000 - 1/20000", "WB-species-notes": "<p></p>" }, "Cow": { "IHCP-species-checked": "predicted", "IHCP-species-dilution-info": "", "IHCP-species-notes": "", "WB-species-checked": "predicted", "WB-species-dilution-info": "", "WB-species-notes": "" } } }

Properties and storage information

Form
Liquid
Purification technique
Affinity purification Immunogen
Storage buffer
pH: 7 Preservative: 0.01% Thimerosal (merthiolate) Constituents: 20% Glycerol (glycerin, glycerine), 1.21% Tris, 0.75% Glycine
Shipped at conditions
Blue Ice
Appropriate short-term storage conditions
+4°C
Appropriate long-term storage conditions
-20°C
Aliquoting information
Upon delivery aliquot
Storage information
Avoid freeze / thaw cycle

Supplementary information

This supplementary information is collated from multiple sources and compiled automatically.

The human Rad23 homolog B (hHR23b) also known as RAD23B is a protein involved in DNA repair mechanisms. It weighs approximately 43 kDa and is expressed in several tissues including the skin lungs and kidneys. Mechanically hHR23b is important in the process of nucleotide excision repair (NER) where it helps recognize and repair UV-induced DNA damage. hHR23b interacts with other proteins to facilitate the repair process by removing bulky DNA lesions.
Biological function summary

HHR23b plays an important role in maintaining genomic stability. It forms a complex with xeroderma pigmentosum group C (XPC) protein which is instrumental in identifying DNA damage. This complex functions as the initial damage sensor in the NER pathway. By participating in this multiprotein complex hHR23b facilitates the recruitment of other DNA repair factors ultimately ensuring the fidelity of DNA replication.

Pathways

HHR23b is instrumental in NER and proteasome degradation. In the NER pathway it functions alongside the XPC protein to initiate the repair of damaged DNA. Through its interaction with the proteasome system hHR23b is also involved in the ubiquitin-proteasome pathway which regulates protein degradation. This dual involvement in pathways links hHR23b to both DNA repair and the regulation of protein turnover.

HHR23b is associated with cancer and neurodegenerative conditions. The malfunction or altered expression of hHR23b can lead to impaired DNA repair promoting oncogenic transformations and cancer progression specifically through its association with the XPC protein. Furthermore its role in protein degradation connects hHR23b to neurodegenerative diseases like Parkinson's where protein accumulation contributes to disease progression. Understanding these connections helps in devising therapeutic strategies targeting hHR23b and its related pathways.

Product protocols

For this product, it's our understanding that no specific protocols are required. You can visit:

Target data

Multiubiquitin chain receptor involved in modulation of proteasomal degradation. Binds to polyubiquitin chains. Proposed to be capable to bind simultaneously to the 26S proteasome and to polyubiquitinated substrates and to deliver ubiquitinated proteins to the proteasome. May play a role in endoplasmic reticulum-associated degradation (ERAD) of misfolded glycoproteins by association with PNGase and delivering deglycosylated proteins to the proteasome.. Involved in global genome nucleotide excision repair (GG-NER) by acting as component of the XPC complex. Cooperatively with CETN2 appears to stabilize XPC. May protect XPC from proteasomal degradation.. The XPC complex is proposed to represent the first factor bound at the sites of DNA damage and together with other core recognition factors, XPA, RPA and the TFIIH complex, is part of the pre-incision (or initial recognition) complex. The XPC complex recognizes a wide spectrum of damaged DNA characterized by distortions of the DNA helix such as single-stranded loops, mismatched bubbles or single-stranded overhangs. The orientation of XPC complex binding appears to be crucial for inducing a productive NER. XPC complex is proposed to recognize and to interact with unpaired bases on the undamaged DNA strand which is followed by recruitment of the TFIIH complex and subsequent scanning for lesions in the opposite strand in a 5'-to-3' direction by the NER machinery. Cyclobutane pyrimidine dimers (CPDs) which are formed upon UV-induced DNA damage esacpe detection by the XPC complex due to a low degree of structural perurbation. Instead they are detected by the UV-DDB complex which in turn recruits and cooperates with the XPC complex in the respective DNA repair. In vitro, the XPC : RAD23B dimer is sufficient to initiate NER; it preferentially binds to cisplatin and UV-damaged double-stranded DNA and also binds to a variety of chemically and structurally diverse DNA adducts. XPC : RAD23B contacts DNA both 5' and 3' of a cisplatin lesion with a preference for the 5' side. XPC : RAD23B induces a bend in DNA upon binding. XPC : RAD23B stimulates the activity of DNA glycosylases TDG and SMUG1.
See full target information RAD23B

Publications (1)

Recent publications for all applications. Explore the full list and refine your search

Nature communications 12:3481 PubMed34108482

2021

TcpC inhibits neutrophil extracellular trap formation by enhancing ubiquitination mediated degradation of peptidylarginine deiminase 4.

Applications

Unspecified application

Species

Unspecified reactive species

Qian Ou,Jia-Qi Fang,Zhe-Sheng Zhang,Zhe Chi,Jie Fang,Di-Yan Xu,Kai-Zhong Lu,Meng-Qing Qian,Da-Yong Zhang,Jun-Ping Guo,Wei Gao,Na-Ru Zhang,Jian-Ping Pan
View all publications

Product promise

We are committed to supporting your work with high-quality reagents, and we're here for you every step of the way. In the unlikely event that one of our products does not perform as expected, you're protected by our Product Promise.
For full details, please see our Terms & Conditions

Please note: All products are 'FOR RESEARCH USE ONLY. NOT FOR USE IN DIAGNOSTIC OR THERAPEUTIC PROCEDURES'.

For licensing inquiries, please contact partnerships@abcam.com