JavaScript is disabled in your browser. Please enable JavaScript to view this website.
AB175203

Anti-HIBADH antibody [EPR12519(B)]

Be the first to review this product! Submit a review

|

(1 Publication)

Rabbit Recombinant Monoclonal HIBADH antibody. Suitable for IHC-P, IP, WB, ICC/IF, Flow Cyt (Intra) and reacts with Human samples. Cited in 1 publication.

View Alternative Names

HIBADH

7 Images
Immunohistochemistry (Formalin/PFA-fixed paraffin-embedded sections) - Anti-HIBADH antibody [EPR12519(B)] (AB175203)
  • IHC-P

Supplier Data

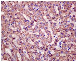
Immunohistochemistry (Formalin/PFA-fixed paraffin-embedded sections) - Anti-HIBADH antibody [EPR12519(B)] (AB175203)

Immunohistochemical analysis of paraffin embedded Human liver tissue labeling HIBADH with ab175203 at 1/50 dilution.

Perform heat mediated antigen retrieval with citrate buffer pH 6 before commencing with IHC staining protocol.

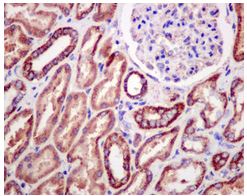
Immunohistochemistry (Formalin/PFA-fixed paraffin-embedded sections) - Anti-HIBADH antibody [EPR12519(B)] (AB175203)
  • IHC-P

Supplier Data

Immunohistochemistry (Formalin/PFA-fixed paraffin-embedded sections) - Anti-HIBADH antibody [EPR12519(B)] (AB175203)

Immunohistochemical analysis of paraffin embedded Human kidney tissue labeling HIBADH with ab175203 at 1/50 dilution.

Perform heat mediated antigen retrieval with citrate buffer pH 6 before commencing with IHC staining protocol.

Flow Cytometry (Intracellular) - Anti-HIBADH antibody [EPR12519(B)] (AB175203)
  • Flow Cyt (Intra)

Supplier Data

Flow Cytometry (Intracellular) - Anti-HIBADH antibody [EPR12519(B)] (AB175203)

Intracellular flow cytometric analysis of permeabilized HepG2 cells labeling HIBADHwith ab175203at 1/10 dilution (red) compared to a Rabbit IgG (green).

Immunocytochemistry/ Immunofluorescence - Anti-HIBADH antibody [EPR12519(B)] (AB175203)
  • ICC/IF

Supplier Data

Immunocytochemistry/ Immunofluorescence - Anti-HIBADH antibody [EPR12519(B)] (AB175203)

Immunofluorescent staining of HepG2 cells labeling HIBADH with ab175203 at 1/100 dilution (red). DAPI nuclear staining (blue).

Immunoprecipitation - Anti-HIBADH antibody [EPR12519(B)] (AB175203)
  • IP

Supplier Data

Immunoprecipitation - Anti-HIBADH antibody [EPR12519(B)] (AB175203)

Western blot analysis on immunoprecipitation pellet from HepG2 cell lysate labeling HIBADH with ab175203 at 1/10 dilution.

All lanes:

Immunoprecipitation - Anti-HIBADH antibody [EPR12519(B)] (ab175203)

Predicted band size: 35 kDa

false

Western blot - Anti-HIBADH antibody [EPR12519(B)] (AB175203)
  • WB

Lab

Western blot - Anti-HIBADH antibody [EPR12519(B)] (AB175203)

Lanes 1-3 : Merged signal (red and green). Green - ab175203 observed at 35 kDa. Red - loading control ab7291 observed at 50 kDa.

ab175203 Anti-HIBADH antibody [EPR12519(B)] was shown to specifically react with HIBADH in wild-type HeLa cells. Loss of signal was observed when knockout cell line ab265888 (knockout cell lysate ab257986) was used. Wild-type and HIBADH knockout samples were subjected to SDS-PAGE. ab175203 and Anti-alpha Tubulin antibody [DM1A] - Loading Control (ab7291) were incubated overnight at 4°C at 1 in 1000 dilution and 1 in 20000 dilution respectively. Blots were developed with Goat anti-Rabbit IgG H&L (IRDye® 800CW) preadsorbed (ab216773) and Goat anti-Mouse IgG H&L (IRDye® 680RD) preadsorbed (ab216776) secondary antibodies at 1 in 20000 dilution for 1 hour at room temperature before imaging.

All lanes:

Western blot - Anti-HIBADH antibody [EPR12519(B)] (ab175203) at 1/1000 dilution

Lane 1:

Wild-type HeLa cell lysate at 20 µg

Lane 2:

HIBADH knockout HeLa cell lysate at 20 µg

Lane 2:

Western blot - Human HIBADH knockout HeLa cell line (<a href='/en-us/products/cell-lines/human-hibadh-knockout-hela-cell-line-ab265888'>ab265888</a>)

Lane 3:

HepG2 cell lysate at 20 µg

Secondary

All lanes:

Western blot - Goat anti-Rabbit IgG H&L (IRDye® 800CW) preadsorbed (<a href='/en-us/products/secondary-antibodies/goat-rabbit-igg-h-l-irdye-800cw-preadsorbed-ab216773'>ab216773</a>) at 1/10000 dilution

Predicted band size: 35 kDa,78 kDa,80 kDa

Observed band size: 100-125 kDa,35 kDa,80 kDa

false

Western blot - Anti-HIBADH antibody [EPR12519(B)] (AB175203)
  • WB

Supplier Data

Western blot - Anti-HIBADH antibody [EPR12519(B)] (AB175203)

All lanes:

Western blot - Anti-HIBADH antibody [EPR12519(B)] (ab175203) at 1/1000 dilution

Lane 1:

Human fetal liver tissue lysate at 10 µg

Lane 2:

Human fetal heart tissue lysate at 10 µg

Lane 3:

HepG2 cell lysate at 10 µg

Lane 4:

Human fetal kidney tissue lysate at 10 µg

Predicted band size: 35 kDa

false

  • Carrier free

    Anti-HIBADH antibody [EPR12519(B)] - BSA and Azide free

Key facts

Host species

Rabbit

Clonality

Monoclonal

Clone number

EPR12519(B)

Isotype

IgG

Carrier free

No

Reacts with

Human

Applications

IHC-P, WB, IP, Flow Cyt (Intra), ICC/IF

applications

Immunogen

The exact immunogen used to generate this antibody is proprietary information.

Reactivity data

{ "title": "Reactivity Data", "filters": { "stats": ["", "Species", "Dilution Info", "Notes"], "tabs": { "all-applications": {"fullname" : "All Applications", "shortname": "All Applications"}, "IHCP" : {"fullname" : "Immunohistochemistry (Formalin/PFA-fixed paraffin-embedded sections)", "shortname":"IHC-P"}, "IP" : {"fullname" : "Immunoprecipitation", "shortname":"IP"}, "WB" : {"fullname" : "Western blot", "shortname":"WB"}, "ICCIF" : {"fullname" : "Immunocytochemistry/ Immunofluorescence", "shortname":"ICC/IF"}, "FlowCytIntra" : {"fullname" : "Flow Cytometry (Intracellular)", "shortname":"Flow Cyt (Intra)"} }, "product-promise": { "all": "all", "testedAndGuaranteed": "tested", "guaranteed": "expected", "predicted": "predicted", "notRecommended": "not-recommended" } }, "values": { "Human": { "IHCP-species-checked": "testedAndGuaranteed", "IHCP-species-dilution-info": "1/50 - 1/100", "IHCP-species-notes": "<p></p> Perform heat-mediated antigen retrieval with citrate buffer pH 6 before commencing with IHC staining protocol.", "IP-species-checked": "testedAndGuaranteed", "IP-species-dilution-info": "1/10 - 1/100", "IP-species-notes": "<p></p>", "WB-species-checked": "testedAndGuaranteed", "WB-species-dilution-info": "1/1000 - 1/10000", "WB-species-notes": "<p></p>", "ICCIF-species-checked": "testedAndGuaranteed", "ICCIF-species-dilution-info": "1/100 - 1/250", "ICCIF-species-notes": "<p></p>", "FlowCytIntra-species-checked": "testedAndGuaranteed", "FlowCytIntra-species-dilution-info": "1/10 - 1/100", "FlowCytIntra-species-notes": "<p><a href='/en-us/products/primary-antibodies/rabbit-igg-monoclonal-epr25a-isotype-control-ab172730'>ab172730</a> - Rabbit monoclonal IgG, is suitable for use as an isotype control with this antibody.</p>" }, "Mouse": { "IHCP-species-checked": "notRecommended", "IHCP-species-dilution-info": "1/50 - 1/100", "IHCP-species-notes": "<p></p> Perform heat-mediated antigen retrieval with citrate buffer pH 6 before commencing with IHC staining protocol.", "IP-species-checked": "notRecommended", "IP-species-dilution-info": "1/10 - 1/100", "IP-species-notes": "<p></p>", "WB-species-checked": "notRecommended", "WB-species-dilution-info": "1/1000 - 1/10000", "WB-species-notes": "<p></p>", "ICCIF-species-checked": "notRecommended", "ICCIF-species-dilution-info": "1/100 - 1/250", "ICCIF-species-notes": "<p></p>", "FlowCytIntra-species-checked": "notRecommended", "FlowCytIntra-species-dilution-info": "1/10 - 1/100", "FlowCytIntra-species-notes": "<p><a href='/en-us/products/primary-antibodies/rabbit-igg-monoclonal-epr25a-isotype-control-ab172730'>ab172730</a> - Rabbit monoclonal IgG, is suitable for use as an isotype control with this antibody.</p>" }, "Rat": { "IHCP-species-checked": "notRecommended", "IHCP-species-dilution-info": "1/50 - 1/100", "IHCP-species-notes": "<p></p> Perform heat-mediated antigen retrieval with citrate buffer pH 6 before commencing with IHC staining protocol.", "IP-species-checked": "notRecommended", "IP-species-dilution-info": "1/10 - 1/100", "IP-species-notes": "<p></p>", "WB-species-checked": "notRecommended", "WB-species-dilution-info": "1/1000 - 1/10000", "WB-species-notes": "<p></p>", "ICCIF-species-checked": "notRecommended", "ICCIF-species-dilution-info": "1/100 - 1/250", "ICCIF-species-notes": "<p></p>", "FlowCytIntra-species-checked": "notRecommended", "FlowCytIntra-species-dilution-info": "1/10 - 1/100", "FlowCytIntra-species-notes": "<p><a href='/en-us/products/primary-antibodies/rabbit-igg-monoclonal-epr25a-isotype-control-ab172730'>ab172730</a> - Rabbit monoclonal IgG, is suitable for use as an isotype control with this antibody.</p>" }, "Cow": { "IHCP-species-checked": "notRecommended", "IHCP-species-dilution-info": "", "IHCP-species-notes": "", "IP-species-checked": "notRecommended", "IP-species-dilution-info": "", "IP-species-notes": "", "WB-species-checked": "notRecommended", "WB-species-dilution-info": "", "WB-species-notes": "", "ICCIF-species-checked": "notRecommended", "ICCIF-species-dilution-info": "", "ICCIF-species-notes": "", "FlowCytIntra-species-checked": "notRecommended", "FlowCytIntra-species-dilution-info": "", "FlowCytIntra-species-notes": "" }, "Orangutan": { "IHCP-species-checked": "notRecommended", "IHCP-species-dilution-info": "", "IHCP-species-notes": "", "IP-species-checked": "notRecommended", "IP-species-dilution-info": "", "IP-species-notes": "", "WB-species-checked": "notRecommended", "WB-species-dilution-info": "", "WB-species-notes": "", "ICCIF-species-checked": "notRecommended", "ICCIF-species-dilution-info": "", "ICCIF-species-notes": "", "FlowCytIntra-species-checked": "notRecommended", "FlowCytIntra-species-dilution-info": "", "FlowCytIntra-species-notes": "" } } }

Product details

Patented technology
Our RabMAb® technology is a patented hybridoma-based technology for making rabbit monoclonal antibodies. For details on our patents, please refer to RabMAb® patents.

What are the advantages of a recombinant monoclonal antibody?
This product is a recombinant monoclonal antibody, which offers several advantages including:

  • - High batch-to-batch consistency and reproducibility
  • - Improved sensitivity and specificity
  • - Long-term security of supply
  • - Animal-free batch production

For more information, read more on recombinant antibodies.

Properties and storage information

Form
Liquid
Purity
Tissue culture supernatant
Storage buffer
pH: 7.2 - 7.4 Preservative: 0.01% Sodium azide Constituents: PBS, 50% Tissue culture supernatant, 40% Glycerol (glycerin, glycerine), 0.05% BSA
Shipped at conditions
Blue Ice
Appropriate short-term storage duration
1-2 weeks
Appropriate short-term storage conditions
+4°C
Appropriate long-term storage conditions
-20°C
Aliquoting information
Upon delivery aliquot
Storage information
Avoid freeze / thaw cycle

Supplementary information

This supplementary information is collated from multiple sources and compiled automatically.

HIBADH known as 3-hydroxyisobutyrate dehydrogenase plays a role in the catabolic pathway of valine. It catalyzes the oxidation of 3-hydroxyisobutyrate to 3-oxopropanoate. This enzyme weighs approximately 33 kDa. Expression of HIBADH occurs predominantly in the liver kidney and to a lesser extent the heart and skeletal muscle tissues. High expression in these organs suggests its importance in energy metabolism and intermediate metabolite processing.
Biological function summary

This enzyme facilitates the metabolism of amino acids by converting valine-derived intermediates. HIBADH contributes significantly to energy production particularly during periods of fasting. It is not typically recognized as part of a larger protein complex functioning independently within metabolic pathways. Its role in energy homeostasis indicates its essential part in maintaining cellular function during metabolic stress.

Pathways

HIBADH is integral to the valine degradation pathway and also impacts the broader branched-chain amino acid catabolism process. These pathways are critical for recycling amino acids for ATP production. HIBADH interacts with other enzymes like acyl-CoA dehydrogenases which further process breakdown products. This interaction highlights HIBADH's connection to a consistent and efficient metabolic network ensuring effective energy yield from valine.

HIBADH has relevance to maple syrup urine disease and its metabolic management. Proper function of HIBADH is essential to avoid accumulation of toxic valine metabolites linked to this condition. Additionally connection to the protein BCKDHA hints at broader implications for amino acid metabolism disorders. BCKDHA part of the branched-chain alpha-ketoacid dehydrogenase complex indicates HIBADH's involvement in a critical intersection of metabolic control and disease prevention.

Product protocols

For this product, it's our understanding that no specific protocols are required. You can visit:

Publications (1)

Recent publications for all applications. Explore the full list and refine your search

Molecular neurodegeneration 20:2 PubMed39773263

2025

VCP regulates early tau seed amplification via specific cofactors.

Applications

Unspecified application

Species

Unspecified reactive species

Sushobhna Batra,Jaime Vaquer-Alicea,Clarissa Valdez,Skyler P Taylor,Victor A Manon,Anthony R Vega,Omar M Kashmer,Sourav Kolay,Andrew Lemoff,Nigel J Cairns,Charles L White,Marc I Diamond
View all publications

Product promise

We are committed to supporting your work with high-quality reagents, and we're here for you every step of the way. In the unlikely event that one of our products does not perform as expected, you're protected by our Product Promise.
For full details, please see our Terms & Conditions

Please note: All products are 'FOR RESEARCH USE ONLY. NOT FOR USE IN DIAGNOSTIC OR THERAPEUTIC PROCEDURES'.

For licensing inquiries, please contact partnerships@abcam.com