JavaScript is disabled in your browser. Please enable JavaScript to view this website.
AB243860

Anti-HIF-1 alpha antibody [BL-124-3F7]

Be the first to review this product! Submit a review

|

(9 Publications)

Rabbit Recombinant Monoclonal HIF-1 alpha antibody. Suitable for IHC-P, ICC, IP, WB, ChIP-seq and reacts with Human samples. Cited in 9 publications. Immunogen corresponding to Recombinant Fragment Protein within Human HIF1A aa 400 to C-terminus.

View Alternative Names

BHLHE78, MOP1, PASD8, HIF1A, Hypoxia-inducible factor 1-alpha, HIF-1-alpha, HIF1-alpha, ARNT-interacting protein, Basic-helix-loop-helix-PAS protein MOP1, Class E basic helix-loop-helix protein 78, Member of PAS protein 1, PAS domain-containing protein 8, bHLHe78

7 Images
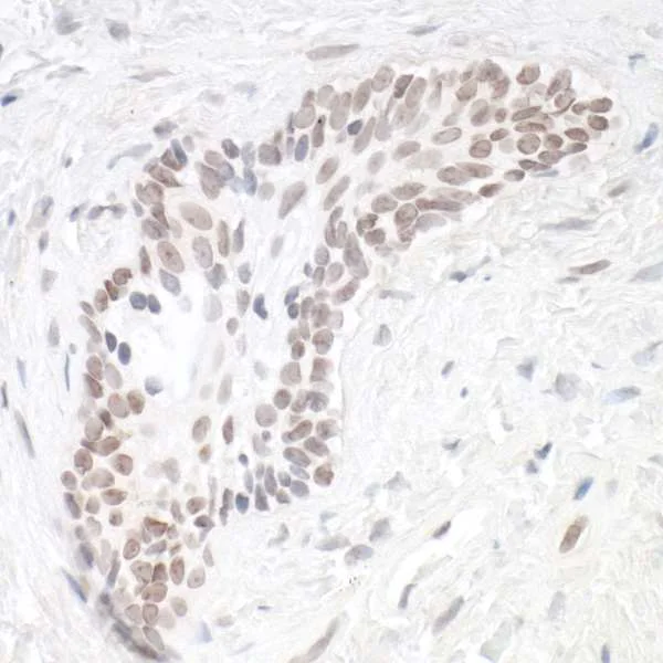
Immunohistochemistry (Formalin/PFA-fixed paraffin-embedded sections) - Anti-HIF-1 alpha antibody [BL-124-3F7] (AB243860)
  • IHC-P

Unknown

Immunohistochemistry (Formalin/PFA-fixed paraffin-embedded sections) - Anti-HIF-1 alpha antibody [BL-124-3F7] (AB243860)

Formalin-fixed, paraffin-embedded human prostate carcinoma tissue stained for HIF-1 alpha using ab243860 at 1/100 dilution in immunohistochemical analysis. A HRP-conjugated goat anti-rabbit IgG was used as the secondary. DAB staining.

Immunohistochemistry (Formalin/PFA-fixed paraffin-embedded sections) - Anti-HIF-1 alpha antibody [BL-124-3F7] (AB243860)
  • IHC-P

Unknown

Immunohistochemistry (Formalin/PFA-fixed paraffin-embedded sections) - Anti-HIF-1 alpha antibody [BL-124-3F7] (AB243860)

Formalin-fixed, paraffin-embedded human renal cell carcinoma tissue stained for HIF-1 alpha using ab243860 at 1/100 dilution in immunohistochemical analysis. A HRP-conjugated goat anti-rabbit IgG was used as the secondary. DAB staining.

Immunocytochemistry - Anti-HIF-1 alpha antibody [BL-124-3F7] (AB243860)
  • ICC

Unknown

Immunocytochemistry - Anti-HIF-1 alpha antibody [BL-124-3F7] (AB243860)

Formalin-fixed, paraffin-embedded HepG2 (human liver hepatocellular carcinoma cell line) cells labeling HIF-1 alpha using ab243860 at 1/100 dilution in ICC analysis. A HRP-conjugated goat-anti rabbit IgG was used as the secondary. DAB staining.

Immunocytochemistry - Anti-HIF-1 alpha antibody [BL-124-3F7] (AB243860)
  • ICC

Supplier Data

Immunocytochemistry - Anti-HIF-1 alpha antibody [BL-124-3F7] (AB243860)

Immunocytochemical analysis of Formalin-Fixed Paraffin-Embedded Hep-G2 cells treated with cobalt chloride labeling human Hif1-alpha with ab243860, followed by a HRP-conjugated goat anti-rabbit IgG as secondary. Substrate : DAB. Nuclear staining on Hep-G2 cells is observed. Counter stained with hematoxylin. Epitope retrieval with citrate buffer pH 6.0 for 20 minutes is recommended.

ChIP-sequencing - Anti-HIF-1 alpha antibody [BL-124-3F7] (AB243860)
  • ChIP-seq

Unknown

ChIP-sequencing - Anti-HIF-1 alpha antibody [BL-124-3F7] (AB243860)

Localization of human HIF1-alpha binding sites in immunoprecipitates from CoCl2 treated Hep-G2 lysate by ChIP-Seq using ab243860

Immunoprecipitation - Anti-HIF-1 alpha antibody [BL-124-3F7] (AB243860)
  • IP

Unknown

Immunoprecipitation - Anti-HIF-1 alpha antibody [BL-124-3F7] (AB243860)

HIF-1 alpha was immunoprecipitated from 1mg CoCl2 and mock treated HepG2 and HeLa whole cell lysates with ab243860 at 20μg/mL lysate.

All lanes:

Immunoprecipitation - Anti-HIF-1 alpha antibody [BL-124-3F7] (ab243860) at 1/1000 dilution

Lane 1:

IP using ab243860 in 200µM CoCl2 treated HepG2 cell lysate

Lane 2:

IP using ab243860 in mock treated HepG2 cell lysate

Lane 3:

IP using ab243860 in 200µM CoCl2 treated HeLa cell lysate

Lane 4:

IP using ab243860 in mock treated HeLa cell lysate

Lane 5:

IP using Control IgG in 200µM CoCl2 treated HepG2 cell lysate

Predicted band size: 92 kDa

false

Exposure time: 30s

Western blot - Anti-HIF-1 alpha antibody [BL-124-3F7] (AB243860)
  • WB

Unknown

Western blot - Anti-HIF-1 alpha antibody [BL-124-3F7] (AB243860)

All lanes:

Western blot - Anti-HIF-1 alpha antibody [BL-124-3F7] (ab243860)

Lane 1:

200M CoCl2 treated Hep-G2 cell lysate

Lane 2:

Mock treated Hep-G2 cell lysate

Lane 3:

200M CoCl2 treated HeLa cell lysate

Lane 4:

Mock treated HeLa cell lysate

Secondary

All lanes:

Western blot - Goat Anti-Rabbit IgG H&L (HRP) (<a href='/en-us/products/secondary-antibodies/goat-rabbit-igg-h-l-hrp-ab97051'>ab97051</a>) at 1/1000 dilution

Predicted band size: 92 kDa

false

Exposure time: 10s

  • Unconjugated

    Anti-HIF-1 alpha antibody [BL-124-3F7] - BSA free

Key facts

Host species

Rabbit

Clonality

Monoclonal

Clone number

BL-124-3F7

Isotype

IgG

Carrier free

No

Reacts with

Human

Applications

WB, IP, IHC-P, ICC, ChIP-seq

applications

Immunogen

Recombinant Fragment Protein within Human HIF1A aa 400 to C-terminus. The exact immunogen used to generate this antibody is proprietary information.

Q16665

Reactivity data

{ "title": "Reactivity Data", "filters": { "stats": ["", "Species", "Dilution Info", "Notes"], "tabs": { "all-applications": {"fullname" : "All Applications", "shortname": "All Applications"}, "IHCP" : {"fullname" : "Immunohistochemistry (Formalin/PFA-fixed paraffin-embedded sections)", "shortname":"IHC-P"}, "ICC" : {"fullname" : "Immunocytochemistry", "shortname":"ICC"}, "IP" : {"fullname" : "Immunoprecipitation", "shortname":"IP"}, "WB" : {"fullname" : "Western blot", "shortname":"WB"}, "ChIPseq" : {"fullname" : "ChIP-sequencing", "shortname":"ChIP-seq"} }, "product-promise": { "all": "all", "testedAndGuaranteed": "tested", "guaranteed": "expected", "predicted": "predicted", "notRecommended": "not-recommended" } }, "values": { "Human": { "IHCP-species-checked": "testedAndGuaranteed", "IHCP-species-dilution-info": "1/100 - 1/1000", "IHCP-species-notes": "<p>Antigen retrieval with citrate buffer pH 6.0 for 20 minutes using a pressure cooker is recommended.</p> Perform heat-mediated antigen retrieval via the pressure cooker method before commencing with IHC staining protocol.", "ICC-species-checked": "testedAndGuaranteed", "ICC-species-dilution-info": "1/100 - 1/1000", "ICC-species-notes": "<p></p>", "IP-species-checked": "testedAndGuaranteed", "IP-species-dilution-info": "", "IP-species-notes": "<p>Use 10μl/0.5mg lysate.</p>", "WB-species-checked": "testedAndGuaranteed", "WB-species-dilution-info": "1/1000", "WB-species-notes": "<p>Ensure cell lysis occurs quickly if removed from hypoxia. Ultrasonic lysis is recommended to enrich more nuclear lysate.</p><p>Positive Control: Hypoxic samples such as HeLa-DFO treated whole cell lysate <a href='/en-us/products/unavailable/hela-dfo-treated-05mm-24h-whole-cell-lysate-ab116322'>ab116322</a>. For a stronger signal, HeLa-DFO treated nuclear extracts are recommended <a href='/en-us/products/tissue-lysates/hela-dfo-treated-05mm-24h-nuclear-lysate-ab180880'>ab180880</a>. The cell fractionation kit can also be purchased separately <a href='/en-us/products/sample-preparation-kits/cell-fractionation-kit-standard-ab109719'>ab109719</a>. Negative Control: Most normal tissues or cells, other than kidney or heart.</p><p>The observed band size of HIF-1 alpha is not exactly as predicted due to the different forms of HIF-1 alpha below:<br>40-80 kDa - degraded; 10-130 kDa - post translationally modified; ~200 kDa - heterodimer with HIF-1 beta</p>", "ChIPseq-species-checked": "testedAndGuaranteed", "ChIPseq-species-dilution-info": "10 µL for 30 µL chromatin", "ChIPseq-species-notes": "<p></p>" } } }

Product details

REACH authorisation
Abcam has not and does not intend to apply for the REACH Authorisation of customers' uses of products that contain European Authorisation list (Annex XIV) substances.
It is the responsibility of our customers to check the necessity of application of REACH Authorisation, and any other relevant authorisations, for their intended uses.

This product is sold under License from Bethyl Laboratories, Inc.

Properties and storage information

Form
Liquid
Purification notes
Recombinant antibody was purified from cell culture supernatant.
Storage buffer
pH: 7.8 - 8.6 Preservative: 0.09% Sodium azide Constituents: 98% Borate buffered saline, 0.1% BSA
Shipped at conditions
Blue Ice
Appropriate short-term storage duration
1-2 weeks
Appropriate short-term storage conditions
+4°C
Appropriate long-term storage conditions
+4°C
Aliquoting information
Upon delivery aliquot
Storage information
Avoid freeze / thaw cycle

Supplementary information

This supplementary information is collated from multiple sources and compiled automatically.

HIF-1 alpha also known as hypoxia-inducible factor 1-alpha is a transcription factor critical in cellular response to low oxygen levels. Its molecular weight usually ranges from 93 to 120 kDa. You can find HIF-1 alpha expressed in tissues throughout the body but its expression significantly increases under hypoxic conditions. Researchers often use the HIF-1a ELISA to measure its expression levels. HIF-1 alpha forms a complex with other proteins to perform its functions effectively.
Biological function summary

HIF-1 alpha regulates gene expression in response to hypoxic conditions in cells. It forms a complex with HIF-1 beta to activate transcription of various genes involved in energy metabolism angiogenesis and erythropoiesis. HIF-1 alpha enables cells to adapt to reduced oxygen availability allowing for cellular survival and function under stress. It plays an important role in promoting the expression of genes like VEGF and EPO which are important for vascular and red blood cell development respectively.

Pathways

HIF-1 alpha plays an integral role in the hypoxia signaling pathway and the glycolytic pathway. In the hypoxia signaling pathway HIF-1 alpha partners with VHL (Von Hippel-Lindau) protein that regulates its degradation under normal oxygen conditions. When oxygen levels drop HIF-1 alpha avoids degradation stabilizes and translocates into the nucleus to initiate transcription of hypoxia-responsive genes. The glycolytic pathway involvement highlights its function in adapting energy production under hypoxic conditions through collaboration with enzymes and transporters associated with glycolysis.

HIF-1 alpha has been implicated in cancer and ischemic diseases. Its role in promoting angiogenesis and metabolic adaptation makes it a contributor to tumor growth and survival collaborating with oncogenes such as c-Myc. In ischemic diseases like stroke or myocardial infarction HIF-1 alpha's ability to induce protective responses can mitigate tissue damage through regulation of survival pathways. Understanding these interactions helps in the development of therapeutic strategies targeting HIF-1 alpha in disease contexts.

Product protocols

For this product, it's our understanding that no specific protocols are required. You can visit:

Target data

The protein expressed by the gene HIF1A functions as a master transcriptional regulator of the adaptive response to hypoxia, activating the transcription of over 40 genes under hypoxic conditions, including erythropoietin, glucose transporters, glycolytic enzymes, vascular endothelial growth factor, HILPDA, and others. These genes' protein products enhance oxygen delivery or facilitate metabolic adaptation to hypoxia. HIF1A is crucial for embryonic vascularization, tumor angiogenesis, and ischemic disease pathophysiology. Its activation requires transcriptional coactivators like CREBBP and EP300, with activity enhanced by interactions with NCOA1 and/or NCOA2. Interaction with redox regulatory protein APEX1 activates CTAD and enhances activation by NCOA1 and CREBBP. Additionally, HIF1A is involved in axonal distribution and mitochondrial transport in neurons during hypoxia. In the context of microbial infection, specifically human coronavirus SARS-CoV-2, HIF1A is necessary for glycolysis induction in monocytes, leading to a proinflammatory state, inducing expression of ACE2, cytokines, and promoting virus replication and monocyte inflammatory response. This supplementary information is collated from multiple sources and compiled automatically.
See full target information HIF1A

Publications (9)

Recent publications for all applications. Explore the full list and refine your search

Oncology reports 51: PubMed38391012

2024

Effect of hypoxia‑HIF‑1α‑periostin axis in thyroid cancer.

Applications

Unspecified application

Species

Unspecified reactive species

Ye Yang,Junyi Wu,Huiqin Zhu,Xiaoqin Shi,Jun Liu,Yang Li,Min Wang

Scientific reports 13:19611 PubMed37949939

2023

Identifying key genes related to the peritubular capillary rarefaction in renal interstitial fibrosis by bioinformatics.

Applications

Unspecified application

Species

Unspecified reactive species

Yu Zhang,Chuanbing Shi,Yiqiong Yang,Xiuxiu Hu,Haifeng Ni,Li Li,Zhengyuan Cheng,Jing Huang,Pingsheng Chen

Nature communications 14:6117 PubMed37777542

2023

IGF1R-phosphorylated PYCR1 facilitates ELK4 transcriptional activity and sustains tumor growth under hypoxia.

Applications

Unspecified application

Species

Unspecified reactive species

Ke Zheng,Nannan Sha,Guofang Hou,Zhuyun Leng,Qin Zhao,Li Zhang,Lingnan He,Meidong Xu,Yuhui Jiang,Tao Chen

Frontiers in immunology 13:941219 PubMed35911675

2022

Cold Plasma Irradiation Attenuates Atopic Dermatitis Enhancing HIF-1α-Induced MANF Transcription Expression.

Applications

Unspecified application

Species

Unspecified reactive species

Tao Sun,Xinru Zhang,Chao Hou,Shujun Yu,Yujing Zhang,Zhuo Yu,Ling Kong,Changqing Liu,Lijie Feng,Dong Wang,Guohua Ni

JCI insight 7: PubMed35801592

2022

Milademetan is a highly potent MDM2 inhibitor in Merkel cell carcinoma.

Applications

Unspecified application

Species

Unspecified reactive species

Varsha Ananthapadmanabhan,Thomas C Frost,Kara M Soroko,Aine Knott,Brianna J Magliozzi,Prafulla C Gokhale,Vijaya G Tirunagaru,Robert C Doebele,James A DeCaprio

Oncology reports 47: PubMed35029289

2022

Zinc finger protein 384 enhances colorectal cancer metastasis by upregulating MMP2.

Applications

Unspecified application

Species

Unspecified reactive species

Zaihua Yan,Yu Zhou,Yang Yang,Chongpu Zeng,Peidong Li,Hongpeng Tian,Xuegui Tang,Guangjun Zhang

Thoracic cancer 13:369-379 PubMed34951127

2021

High GNG4 expression is associated with poor prognosis in patients with lung adenocarcinoma.

Applications

Unspecified application

Species

Unspecified reactive species

Bodong Zhou,Wenbo Zhu,Shuai Yuan,Yifei Wang,Qing Zhang,Hong Zheng,Lei Zhu,Jie Xu

BioMed research international 2020:3189217 PubMed33457406

2020

Curcumin and Glu-GNPs Induce Radiosensitivity against Breast Cancer Stem-Like Cells.

Applications

Unspecified application

Species

Unspecified reactive species

Ke Yang,Zhiwei Liao,Yujian Wu,Mengjie Li,Tingting Guo,Jiayi Lin,Yanwu Li,Chenxia Hu

Cell death & disease 11:586 PubMed32719331

2020

HIF-1α regulates cellular metabolism, and Imatinib resistance by targeting phosphogluconate dehydrogenase in gastrointestinal stromal tumors.

Applications

Unspecified application

Species

Unspecified reactive species

Kangjing Xu,Zhongyuan He,Ming Chen,Nuofan Wang,Diancai Zhang,Li Yang,Zekuan Xu,Hao Xu
View all publications

Product promise

We are committed to supporting your work with high-quality reagents, and we're here for you every step of the way. In the unlikely event that one of our products does not perform as expected, you're protected by our Product Promise.
For full details, please see our Terms & Conditions

Please note: All products are 'FOR RESEARCH USE ONLY. NOT FOR USE IN DIAGNOSTIC OR THERAPEUTIC PROCEDURES'.

For licensing inquiries, please contact partnerships@abcam.com