JavaScript is disabled in your browser. Please enable JavaScript to view this website.
AB221610

Anti-HIF-1 alpha antibody [EPR16897] - BSA and Azide free

  • RabMAb
  • Advanced Validation
  • Recombinant
  • KO Validated
  • What is this?

4

(1 Review)

|

(2 Publications)

Rabbit Recombinant Monoclonal HIF-1 alpha antibody. Carrier free. Suitable for IP, ChIC/CUT&RUN-seq, ChIP-seq, WB, ICC/IF and reacts with Human, Mouse, Rat samples. Cited in 2 publications.

View Alternative Names

BHLHE78, MOP1, PASD8, HIF1A, Hypoxia-inducible factor 1-alpha, HIF-1-alpha, HIF1-alpha, ARNT-interacting protein, Basic-helix-loop-helix-PAS protein MOP1, Class E basic helix-loop-helix protein 78, Member of PAS protein 1, PAS domain-containing protein 8, bHLHe78

10 Images
Immunocytochemistry/ Immunofluorescence - Anti-HIF-1 alpha antibody [EPR16897] - BSA and Azide free (AB221610)
  • ICC/IF

Lab

Immunocytochemistry/ Immunofluorescence - Anti-HIF-1 alpha antibody [EPR16897] - BSA and Azide free (AB221610)

Immunofluorescent analysis of 4% paraformaldehyde-fixed, 0.1% Triton X-100 permeabilized HeLa (Human epithelial cells from cervix adenocarcinoma) cells labeling HIF-1-alpha with ab179483 at 1/500 dilution, followed by Goat anti-rabbit IgG (Alexa Fluor® 488) (ab150077) secondary antibody at 1/1000 dilution (green). Confocal image showing nuclear staining in HeLa cells treated with DFO (1 mM, 24 h). The nuclear counter stain is DAPI (blue). Tubulin is detected with ab195889 (anti-alpha Tubulin mouse mAb) (Alexa Fluor® 594) at 1/200 dilution (red).

This data was developed using the same antibody clone in a different buffer formulation containing PBS, BSA, glycerol, and sodium azide (ab179483).

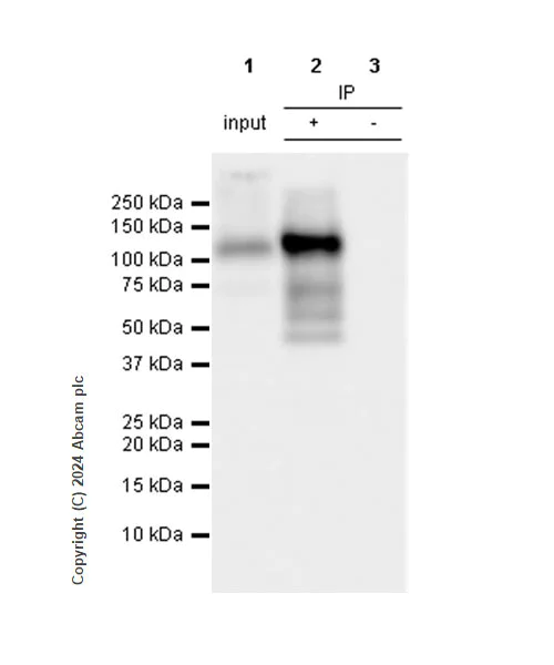
Immunoprecipitation - Anti-HIF-1 alpha antibody [EPR16897] - BSA and Azide free (AB221610)
  • IP

Lab

Immunoprecipitation - Anti-HIF-1 alpha antibody [EPR16897] - BSA and Azide free (AB221610)

ab179483 at 1/30 dilution immunoprecipitating HIF-1 alpha in HeLa (human cervix adenocarcinoma epithelial cell) treated with 500 µM CoCl2 for 24 hours whole cell lysate. Western blot was performed from the immunoprecipitate using ab179483 at 1/1000 dilution. VeriBlot for IP Detection Reagent (HRP) (ab131366), was used for detection at 1/5000 dilution. Lane 1 : HeLa (human cervix adenocarcinoma epithelial cell) treated with 500 µM CoCl2 for 24 hours whole cell lysate 10 µg Lane 2 : ab179483 IP in HeLa (human cervix adenocarcinoma epithelial cell) treated with 500 µM CoCl2 for 24 hours whole cell lysate Lane 3 : Rabbit monoclonal IgG (ab172730) instead of ab179483 in HeLa treated with 500 µM CoCl2 for 24 hours whole cell lysate Blocking/Dilution buffer : 5% NFDM/TBST. Exposure time : 8 seconds. This data was developed using the same antibody clone in a different buffer formulation containing PBS, BSA, glycerol, and sodium azide (ab179483).

Lane 2:

Immunoprecipitation - Anti-HIF-1 alpha antibody [EPR16897] (<a href='/en-us/products/primary-antibodies/hif-1-alpha-antibody-epr16897-ab179483'>ab179483</a>) at 1/30 dilution

Lane 2:

Immunoprecipitation - Anti-HIF-1 alpha antibody [EPR16897] - BSA and Azide free (ab221610)

All lanes:

HeLa (human cervix adenocarcinoma epithelial cell) treated with 500 µM CoCl2 for 24 hours whole cell lysate at 10 µg

Secondary

All lanes:

Immunoprecipitation - VeriBlot for IP Detection Reagent (HRP) (<a href='/en-us/products/reagents/veriblot-for-ip-detection-reagent-hrp-ab131366'>ab131366</a>) at 1/5000 dilution

Observed band size: 110 kDa

false

Exposure time: 8s

ChIP-sequencing - Anti-HIF-1 alpha antibody [EPR16897] - BSA and Azide free (AB221610)
  • ChIP-seq

Supplier Data

ChIP-sequencing - Anti-HIF-1 alpha antibody [EPR16897] - BSA and Azide free (AB221610)

Chromatin was prepared from HeLa cells treated with CoCl2 (350μM 20h+4h) add MG-132(10µM 4h). Cells were fixed with 1% formaldehyde for 10 minutes. ChIP was performed with 107 cells and 8 µg of ab308433 [EPR16897-145] or ab179483 [EPR16897]. ChIP DNA was sequenced on the Illumina NovaSeq 6000 to a depth of 30 million reads. The Input control is also shown. This data was developed using the same antibody clone in a different buffer formulation containing PBS, BSA, glycerol, and sodium azide (ab179483).

ChIP-sequencing - Anti-HIF-1 alpha antibody [EPR16897] - BSA and Azide free (AB221610)
  • ChIP-seq

Supplier Data

ChIP-sequencing - Anti-HIF-1 alpha antibody [EPR16897] - BSA and Azide free (AB221610)

Chromatin was prepared from HeLa cells treated with CoCl2 (350μM 20h+4h) add MG-132(10µM 4h). Cells were fixed with 1% formaldehyde for 10 minutes. ChIP was performed with 107 cells and 8 µg of ab308433 [EPR16897-145] or ab179483 [EPR16897]. ChIP DNA was sequenced on the Illumina NovaSeq 6000 to a depth of 30 million reads. The Input control is also shown. This data was developed using the same antibody clone in a different buffer formulation containing PBS, BSA, glycerol, and sodium azide (ab179483).

ChIP-sequencing - Anti-HIF-1 alpha antibody [EPR16897] - BSA and Azide free (AB221610)
  • ChIP-seq

Supplier Data

ChIP-sequencing - Anti-HIF-1 alpha antibody [EPR16897] - BSA and Azide free (AB221610)

Chromatin was prepared from HeLa cells treated with CoCl2 (350μM 20h+4h) add MG-132(10µM 4h). Cells were fixed with 1% formaldehyde for 10 minutes. ChIP was performed with 107 cells and 8 µg of ab308433 [EPR16897-145] or ab179483 [EPR16897]. ChIP DNA was sequenced on the Illumina NovaSeq 6000 to a depth of 30 million reads. The Input control is also shown.

This data was developed using the same antibody clone in a different buffer formulation containing PBS, BSA, glycerol, and sodium azide (ab179483).

Western blot - Anti-HIF-1 alpha antibody [EPR16897] - BSA and Azide free (AB221610)
  • WB

Lab

Western blot - Anti-HIF-1 alpha antibody [EPR16897] - BSA and Azide free (AB221610)

Blocking/Diluting buffer and concentration : 5% NFDM/TBST.

Lysates were freshly made and used immediately to minimise protein degradation.

This data was developed using the same antibody clone in a different buffer formulation containing PBS, BSA, glycerol, and sodium azide (ab179483).

Lanes 1 - 4:

Western blot - Anti-HIF-1 alpha antibody [EPR16897] (<a href='/en-us/products/primary-antibodies/hif-1-alpha-antibody-epr16897-ab179483'>ab179483</a>) at 1/1000 dilution

Lanes 1 - 4:

Western blot - Anti-HIF-1 alpha antibody [EPR16897] - BSA and Azide free (ab221610)

Lane 1:

Untreated HT-1080 (human fibrosarcoma epithelial cell) whole cell lysate at 20 µg

Lane 2:

HT-1080 treated with 0.5 mM DFO for 24 hours whole cell lysate at 20 µg

Lane 3:

HT-1080 treated with 0.5 mM DFO for 24 hours, then added 10uM MG-132 for 4 hours, whole cell lysate at 20 µg

Lane 4:

HT-1080 treated with 10uM MG-132 for 4 hours, whole cell lysate at 20 µg

Observed band size: 50-110 kDa

false

Exposure time: 10s

Western blot - Anti-HIF-1 alpha antibody [EPR16897] - BSA and Azide free (AB221610)
  • WB

Lab

Western blot - Anti-HIF-1 alpha antibody [EPR16897] - BSA and Azide free (AB221610)

Lanes 1 - 6 : Merged signal (red and green). Green - ab179483 observed at 105 kDa. Red - loading control, ab24834, observed at 50 kDa.

ab179483 was shown to specifically react with HIF-1 alpha in wild-type HAP1 treated DMOG (0.5mM 18hr) cells as signal was lost in HAP1 knockout treated DMOG (0.5mM 18hr) knockout cells. Wild-type and HAP1 knockout samples were subjected to SDS-PAGE. ab179483 and ab24834 (Mouse anti-Histone H3 loading control) were incubated overnight at 4°C at 1/1000 dilution and 1/10000 dilution respectively. Blots were developed with Goat anti-Rabbit IgG H&L (IRDye® 800CW) preabsorbed ab216773 and Goat anti-Mouse IgG H&L (IRDye® 680RD) preabsorbed ab216776 secondary antibodies at 1/20000 dilution for 1 hour at room temperature before imaging.

This data was developed using the same antibody clone in a different buffer formulation containing PBS, BSA, glycerol, and sodium azide (ab179483).

All lanes:

Western blot - Anti-HIF-1 alpha antibody [EPR16897] (<a href='/en-us/products/primary-antibodies/hif-1-alpha-antibody-epr16897-ab179483'>ab179483</a>) at 1/1000 dilution

Lane 1:

Wild-type HAP1 whole cell lysate at 40 µg

Lane 2:

Wild type HAP1 treated with DMOG (0.5mM 18hr) whole cell lysate at 40 µg

Lane 3:

HIF1A knockout HAP1 whole cell lysate at 40 µg

Lane 4:

HIF1A knockout HAP1 treated with DMOG (0.5mM 18hr) whole cell lysate at 40 µg

Lane 5:

HeLa whole cell lysate at 40 µg

Lane 6:

HeLa treated with DMOG (0.5mM 18hr) whole cell lysate at 40 µg

Predicted band size: 92 kDa

Observed band size: 105 kDa

false

Western blot - Anti-HIF-1 alpha antibody [EPR16897] - BSA and Azide free (AB221610)
  • WB

Lab

Western blot - Anti-HIF-1 alpha antibody [EPR16897] - BSA and Azide free (AB221610)

This data was developed using the same antibody clone in a different buffer formulation containing PBS, BSA, glycerol, and sodium azide (ab179483).

HIF-1-alpha is constantly synthesized but rapidly degraded under normoxic conditions, whereas reduced oxygen concentration results in stabilization of HIF-1-alpha. (PMID : 15104534)

Exposure time : Lanes 1-4 : 10 seconds, Lanes 5-6 : 20 seconds

All lanes:

Western blot - Anti-HIF-1 alpha antibody [EPR16897] (<a href='/en-us/products/primary-antibodies/hif-1-alpha-antibody-epr16897-ab179483'>ab179483</a>) at 1/1000 dilution

Lanes 1 and 3:

Untreated HeLa (human cervix adenocarcinoma epithelial cell) whole cell lysate at 20 µg

Lane 2:

HeLa treated with 0.5mM CoCl2 for 6h whole cell lysate at 20 µg

Lane 4:

HeLa treated with 0.5mM DFO for 24h whole cell lysate at 20 µg

Lane 5:

Untreated NIH/3T3 (Mouse embryonic fibroblast) whole cell lysate at 20 µg

Lane 6:

NIH/3T3 (Mouse embryonic fibroblast) treated with 0.1mM CoCl2 for 48h whole cell lysate at 20 µg

Secondary

All lanes:

Western blot - Goat Anti-Rabbit IgG H&L (HRP) (<a href='/en-us/products/secondary-antibodies/goat-rabbit-igg-h-l-hrp-ab97051'>ab97051</a>) at 1/20000 dilution

Observed band size: 50-110 kDa

false

ChIC/CUT&RUN sequencing - Anti-HIF-1 alpha antibody [EPR16897] - BSA and Azide free (AB221610)
  • ChIC/CUT&RUN-seq

Supplier Data

ChIC/CUT&RUN sequencing - Anti-HIF-1 alpha antibody [EPR16897] - BSA and Azide free (AB221610)

This data was developed using the same antibody clone in a different buffer formulation containing PBS, BSA, glycerol, and sodium azide (ab179483). ChIC/CUT&RUN was performed using a pAG-MNAse at a final concentration of 700 ng/mL, 2.5 x 10^5 HaCaT (Human keratinocyte cell line) cells (treated with 7ng/ml TGF-β for 1h) and 5 µg of ab40855 [EP784Y]. The resulting DNA was sequenced on the Illumina NovaSeq 6000 to a depth of 10 million reads. The negative IgG control ab172730 is also shown. Additional screenshots of mapped reads can be found in the Protocol booklet in the Product Protocol section. The University of Geneva owns patents relevant to ChIC (Chromatin Immuno-Cleavage) methods.

Western blot - Anti-HIF-1 alpha antibody [EPR16897] - BSA and Azide free (AB221610)
  • WB

Lab

Western blot - Anti-HIF-1 alpha antibody [EPR16897] - BSA and Azide free (AB221610)

This data was developed using the same antibody clone in a different buffer formulation containing PBS, BSA, glycerol, and sodium azide (ab179483).

Blocking and diluting buffer : 5% NFDM/TBST.

The expression of HIF-1 alpha is induced by CoCl2 and maintained by MG-132 (PMID : 15836611).

All lanes:

Western blot - Anti-HIF-1 alpha antibody [EPR16897] (<a href='/en-us/products/primary-antibodies/hif-1-alpha-antibody-epr16897-ab179483'>ab179483</a>) at 0.163 µg/mL

Lane 1:

Untreated C6 (rat glial tumor glial cell), whole cell lysate at 10 µg

Lane 2:

C6 treated with 400 &mu;M CoCl2 and 20 &mu;M MG-132 (<a href='/en-us/products/biochemicals/mg-132-proteasome-inhibitor-ab141003'>ab141003</a>) for 4 hours at 10 µg

Secondary

All lanes:

Western blot - Goat Anti-Rabbit IgG H&L (HRP) (<a href='/en-us/products/secondary-antibodies/goat-rabbit-igg-h-l-hrp-ab97051'>ab97051</a>) at 1/20000 dilution

Predicted band size: 92 kDa

Observed band size: 110 kDa

false

Exposure time: 26s

Key facts

Host species

Rabbit

Clonality

Monoclonal

Clone number

EPR16897

Isotype

IgG

Carrier free

Yes

Reacts with

Mouse, Rat, Human

Applications

ICC/IF, ChIP-seq, WB, ChIC/CUT&RUN-seq, IP

applications

Immunogen

The exact immunogen used to generate this antibody is proprietary information.

Specificity

HIF-1 alpha expression is absent in most normal tissues (PMID: 12128120, 24835245, 11689469, 20217131). The antibody only works in hypoxic cell and tissue lysates.

FURTHER INFORMATION ON SPECIFICITY (Chinese Version) available under the product protocols section. This file includes key technical notes of experience when using this product.

Reactivity data

{ "title": "Reactivity Data", "filters": { "stats": ["", "Species", "Dilution Info", "Notes"], "tabs": { "all-applications": {"fullname" : "All Applications", "shortname": "All Applications"}, "IP" : {"fullname" : "Immunoprecipitation", "shortname":"IP"}, "ChICCUTRUNseq" : {"fullname" : "ChIC/CUT&RUN sequencing", "shortname":"ChIC/CUT&RUN-seq"}, "ChIPseq" : {"fullname" : "ChIP-sequencing", "shortname":"ChIP-seq"}, "WB" : {"fullname" : "Western blot", "shortname":"WB"}, "ICCIF" : {"fullname" : "Immunocytochemistry/ Immunofluorescence", "shortname":"ICC/IF"} }, "product-promise": { "all": "all", "testedAndGuaranteed": "tested", "guaranteed": "expected", "predicted": "predicted", "notRecommended": "not-recommended" } }, "values": { "Human": { "IP-species-checked": "testedAndGuaranteed", "IP-species-dilution-info": "", "IP-species-notes": "<p></p>", "ChICCUTRUNseq-species-checked": "testedAndGuaranteed", "ChICCUTRUNseq-species-dilution-info": "", "ChICCUTRUNseq-species-notes": "<p></p>", "ChIPseq-species-checked": "testedAndGuaranteed", "ChIPseq-species-dilution-info": "", "ChIPseq-species-notes": "<p></p>", "WB-species-checked": "testedAndGuaranteed", "WB-species-dilution-info": "", "WB-species-notes": "<p>HIF-1 alpha expression is absent in most normal tissues (PMID: 12128120, 24835245, 11689469, 20217131). The antibody only works in hypoxic cell and tissue lysates.</p>", "ICCIF-species-checked": "testedAndGuaranteed", "ICCIF-species-dilution-info": "", "ICCIF-species-notes": "<p></p>" }, "Mouse": { "IP-species-checked": "guaranteed", "IP-species-dilution-info": "", "IP-species-notes": "", "ChICCUTRUNseq-species-checked": "guaranteed", "ChICCUTRUNseq-species-dilution-info": "", "ChICCUTRUNseq-species-notes": "", "ChIPseq-species-checked": "guaranteed", "ChIPseq-species-dilution-info": "", "ChIPseq-species-notes": "", "WB-species-checked": "testedAndGuaranteed", "WB-species-dilution-info": "", "WB-species-notes": "<p>HIF-1 alpha expression is absent in most normal tissues (PMID: 12128120, 24835245, 11689469, 20217131). The antibody only works in hypoxic cell and tissue lysates.</p>", "ICCIF-species-checked": "guaranteed", "ICCIF-species-dilution-info": "", "ICCIF-species-notes": "" }, "Rat": { "IP-species-checked": "guaranteed", "IP-species-dilution-info": "", "IP-species-notes": "", "ChICCUTRUNseq-species-checked": "guaranteed", "ChICCUTRUNseq-species-dilution-info": "", "ChICCUTRUNseq-species-notes": "", "ChIPseq-species-checked": "guaranteed", "ChIPseq-species-dilution-info": "", "ChIPseq-species-notes": "", "WB-species-checked": "testedAndGuaranteed", "WB-species-dilution-info": "", "WB-species-notes": "<p>HIF-1 alpha expression is absent in most normal tissues (PMID: 12128120, 24835245, 11689469, 20217131). The antibody only works in hypoxic cell and tissue lysates.</p>", "ICCIF-species-checked": "guaranteed", "ICCIF-species-dilution-info": "", "ICCIF-species-notes": "" }, "Cow": { "IP-species-checked": "predicted", "IP-species-dilution-info": "", "IP-species-notes": "", "ChICCUTRUNseq-species-checked": "predicted", "ChICCUTRUNseq-species-dilution-info": "", "ChICCUTRUNseq-species-notes": "", "ChIPseq-species-checked": "predicted", "ChIPseq-species-dilution-info": "", "ChIPseq-species-notes": "", "WB-species-checked": "predicted", "WB-species-dilution-info": "", "WB-species-notes": "", "ICCIF-species-checked": "predicted", "ICCIF-species-dilution-info": "", "ICCIF-species-notes": "" }, "Ferret": { "IP-species-checked": "predicted", "IP-species-dilution-info": "", "IP-species-notes": "", "ChICCUTRUNseq-species-checked": "predicted", "ChICCUTRUNseq-species-dilution-info": "", "ChICCUTRUNseq-species-notes": "", "ChIPseq-species-checked": "predicted", "ChIPseq-species-dilution-info": "", "ChIPseq-species-notes": "", "WB-species-checked": "predicted", "WB-species-dilution-info": "", "WB-species-notes": "", "ICCIF-species-checked": "predicted", "ICCIF-species-dilution-info": "", "ICCIF-species-notes": "" }, "Primates": { "IP-species-checked": "predicted", "IP-species-dilution-info": "", "IP-species-notes": "", "ChICCUTRUNseq-species-checked": "predicted", "ChICCUTRUNseq-species-dilution-info": "", "ChICCUTRUNseq-species-notes": "", "ChIPseq-species-checked": "predicted", "ChIPseq-species-dilution-info": "", "ChIPseq-species-notes": "", "WB-species-checked": "predicted", "WB-species-dilution-info": "", "WB-species-notes": "", "ICCIF-species-checked": "predicted", "ICCIF-species-dilution-info": "", "ICCIF-species-notes": "" }, "Rabbit": { "IP-species-checked": "predicted", "IP-species-dilution-info": "", "IP-species-notes": "", "ChICCUTRUNseq-species-checked": "predicted", "ChICCUTRUNseq-species-dilution-info": "", "ChICCUTRUNseq-species-notes": "", "ChIPseq-species-checked": "predicted", "ChIPseq-species-dilution-info": "", "ChIPseq-species-notes": "", "WB-species-checked": "predicted", "WB-species-dilution-info": "", "WB-species-notes": "", "ICCIF-species-checked": "predicted", "ICCIF-species-dilution-info": "", "ICCIF-species-notes": "" }, "Sheep": { "IP-species-checked": "predicted", "IP-species-dilution-info": "", "IP-species-notes": "", "ChICCUTRUNseq-species-checked": "predicted", "ChICCUTRUNseq-species-dilution-info": "", "ChICCUTRUNseq-species-notes": "", "ChIPseq-species-checked": "predicted", "ChIPseq-species-dilution-info": "", "ChIPseq-species-notes": "", "WB-species-checked": "predicted", "WB-species-dilution-info": "", "WB-species-notes": "", "ICCIF-species-checked": "predicted", "ICCIF-species-dilution-info": "", "ICCIF-species-notes": "" } } }

Product details

ab221610 is the carrier-free version of ab179483.

Patented technology
Our RabMAb® technology is a patented hybridoma-based technology for making rabbit monoclonal antibodies. For details on our patents, please refer to RabMAb® patents.

Conjugation ready
Our carrier-free antibodies are typically supplied in a PBS-only formulation, purified and free of BSA, sodium azide and glycerol. This conjugation-ready format is designed for use with fluorochromes, metal isotopes, oligonucleotides, and enzymes, which makes them ideal for antibody labelling, functional and cell-based assays, flow-based assays (e.g. mass cytometry) and Multiplex Imaging applications.

Use our conjugation kits for antibody conjugates that are ready-to-use in as little as 20 minutes with 1 minute hands-on-time and 100% antibody recovery: available for fluorescent dyes, HRP, biotin and gold.

Compatibility
This product is compatible with the Maxpar® Antibody Labeling Kit from Fluidigm, without the need for antibody preparation. Maxpar® is a trademark of Fluidigm Canada Inc.

Properties and storage information

Form
Liquid
Purification technique
Affinity purification Protein A
Storage buffer
pH: 7.2 - 7.4 Constituents: PBS
Shipped at conditions
Blue Ice
Appropriate short-term storage conditions
+4°C
Appropriate long-term storage conditions
+4°C
Storage information
Do Not Freeze

Supplementary information

This supplementary information is collated from multiple sources and compiled automatically.

HIF-1 alpha also known as hypoxia-inducible factor 1-alpha is a transcription factor critical in cellular response to low oxygen levels. Its molecular weight usually ranges from 93 to 120 kDa. You can find HIF-1 alpha expressed in tissues throughout the body but its expression significantly increases under hypoxic conditions. Researchers often use the HIF-1a ELISA to measure its expression levels. HIF-1 alpha forms a complex with other proteins to perform its functions effectively.
Biological function summary

HIF-1 alpha regulates gene expression in response to hypoxic conditions in cells. It forms a complex with HIF-1 beta to activate transcription of various genes involved in energy metabolism angiogenesis and erythropoiesis. HIF-1 alpha enables cells to adapt to reduced oxygen availability allowing for cellular survival and function under stress. It plays an important role in promoting the expression of genes like VEGF and EPO which are important for vascular and red blood cell development respectively.

Pathways

HIF-1 alpha plays an integral role in the hypoxia signaling pathway and the glycolytic pathway. In the hypoxia signaling pathway HIF-1 alpha partners with VHL (Von Hippel-Lindau) protein that regulates its degradation under normal oxygen conditions. When oxygen levels drop HIF-1 alpha avoids degradation stabilizes and translocates into the nucleus to initiate transcription of hypoxia-responsive genes. The glycolytic pathway involvement highlights its function in adapting energy production under hypoxic conditions through collaboration with enzymes and transporters associated with glycolysis.

HIF-1 alpha has been implicated in cancer and ischemic diseases. Its role in promoting angiogenesis and metabolic adaptation makes it a contributor to tumor growth and survival collaborating with oncogenes such as c-Myc. In ischemic diseases like stroke or myocardial infarction HIF-1 alpha's ability to induce protective responses can mitigate tissue damage through regulation of survival pathways. Understanding these interactions helps in the development of therapeutic strategies targeting HIF-1 alpha in disease contexts.

Product protocols

For this product, it's our understanding that no specific protocols are required. You can visit:

Target data

The protein expressed by the gene HIF1A functions as a master transcriptional regulator of the adaptive response to hypoxia, activating the transcription of over 40 genes under hypoxic conditions, including erythropoietin, glucose transporters, glycolytic enzymes, vascular endothelial growth factor, HILPDA, and others. These genes' protein products enhance oxygen delivery or facilitate metabolic adaptation to hypoxia. HIF1A is crucial for embryonic vascularization, tumor angiogenesis, and ischemic disease pathophysiology. Its activation requires transcriptional coactivators like CREBBP and EP300, with activity enhanced by interactions with NCOA1 and/or NCOA2. Interaction with redox regulatory protein APEX1 activates CTAD and enhances activation by NCOA1 and CREBBP. Additionally, HIF1A is involved in axonal distribution and mitochondrial transport in neurons during hypoxia. In the context of microbial infection, specifically human coronavirus SARS-CoV-2, HIF1A is necessary for glycolysis induction in monocytes, leading to a proinflammatory state, inducing expression of ACE2, cytokines, and promoting virus replication and monocyte inflammatory response. This supplementary information is collated from multiple sources and compiled automatically.
See full target information HIF1A

Publications (2)

Recent publications for all applications. Explore the full list and refine your search

International journal of molecular medicine 56: PubMed41041859

2025

CENPU promotes tumorigenesis and stem cell properties in triple‑negative breast cancer by suppressing lysosomal furin degradation.

Applications

Unspecified application

Species

Unspecified reactive species

Shujuan Sun,Zhenyu Hou,Ling Qiang,Dongdong Zhou

Molecular medicine reports 21:1011-1020 PubMed31922242

2020

miR‑155 inhibition represents a potential valuable regulator in mitigating myocardial hypoxia/reoxygenation injury through targeting BAG5 and MAPK/JNK signaling.

Applications

Unspecified application

Species

Unspecified reactive species

Jing Xi,Qiang-Qiang Li,Bing-Qiang Li,Ning Li
View all publications
websiteProtocolBooklet
zh

Product promise

We are committed to supporting your work with high-quality reagents, and we're here for you every step of the way. In the unlikely event that one of our products does not perform as expected, you're protected by our Product Promise.
For full details, please see our Terms & Conditions

Please note: All products are 'FOR RESEARCH USE ONLY. NOT FOR USE IN DIAGNOSTIC OR THERAPEUTIC PROCEDURES'.

For licensing inquiries, please contact partnerships@abcam.com