JavaScript is disabled in your browser. Please enable JavaScript to view this website.
AB325355

Anti-HIF-1 alpha antibody [SIMA343B]

Be the first to review this product! Submit a review

|

(0 Publication)

Rat Recombinant Monoclonal HIF-1 alpha antibody. Suitable for WB, ICC/IF and reacts with Transfected cell lysate - Human, Transfected cell lysate - Mouse, Human, Mouse samples.

View Alternative Names

Hypoxia-inducible factor 1-alpha, HIF-1-alpha, HIF1-alpha, ARNT-interacting protein, Hif1a

5 Images
Immunocytochemistry/ Immunofluorescence - Anti-HIF-1 alpha antibody [SIMA343B] (AB325355)
  • ICC/IF

Lab

Immunocytochemistry/ Immunofluorescence - Anti-HIF-1 alpha antibody [SIMA343B] (AB325355)

Immunofluorescent analysis of 4% Paraformaldehyde-fixed, 0.1% TritonX-100 permeabilized HeLa (human cervical adenocarcinoma epithelial cell) and HeLa treated with CoCl2 (0.5 mM) for 6 hr cells labelling HIF-1 alpha with ab325355 at 1/50 dilution, followed by ab150157 Goat Anti-Rat IgG H&L (Alexa Fluor® 488) antibody at 1/1000 dilution (Green).

Confocal image showing increased nuclear staining in HeLa cells (shown in green) treated with CoCl2 (0.5 mM) for 6 hr. The counterstain was observed in magenta. Nuclear DNA was labelled with DAPI (shown in blue). Image was taken with a confocal microscope (Leica-Microsystems, TCS SP8).

ab202272 Recombinant Alexa Fluor® 594 Anti-alpha Tubulin antibody [EP1332Y] - Microtubule Marker (ab202272) was used to counterstain tubulin(Magenta). The Nuclear counterstain was DAPI (Blue).

Immunocytochemistry/ Immunofluorescence - Anti-HIF-1 alpha antibody [SIMA343B] (AB325355)
  • ICC/IF

Lab

Immunocytochemistry/ Immunofluorescence - Anti-HIF-1 alpha antibody [SIMA343B] (AB325355)

Immunofluorescent analysis of 4% Paraformaldehyde-fixed, 0.1% TritonX-100 permeabilized NIH/3T3 (mouse embryonic fibroblast) and NIH/3T3 cells treated with DFO (0.5 mM) for 24 hr and with MG-132 (10 µM) for the last 4 hr cells labelling HIF-1 alpha with ab325355 at 1/50 dilution, followed by ab150157 Goat Anti-Rat IgG H&L (Alexa Fluor® 488) antibody at 1/1000 dilution (Green).

Confocal image showing increased nuclear staining in NIH/3T3 cells (shown in green) treated with DFO (0.5 mM) for 24 hr and with MG-132 (10 µM) for the last 4 hr. The counterstain was observed in magenta. Nuclear DNA was labelled with DAPI (shown in blue). Image was taken with a confocal microscope (Leica-Microsystems, TCS SP8).

ab202272 Recombinant Alexa Fluor® 594 Anti-alpha Tubulin antibody [EP1332Y] - Microtubule Marker (ab202272) was used to counterstain tubulin (Magenta). The Nuclear counterstain was DAPI (Blue).

Western blot - Anti-HIF-1 alpha antibody [SIMA343B] (AB325355)
  • WB

Lab

Western blot - Anti-HIF-1 alpha antibody [SIMA343B] (AB325355)

Blocking and diluting buffer and concentration : 5% NFDM/TBST.

In Western blot, ab325355 was shown to bind specifically to HIF-1 alpha. A band was observed at 110 kDa in wild-type HCT 116 cell lysates with whereas no signal observed at this size in HIF-1 alpha knockout cell line ab255394.

Lysates were freshly made and used for Western blotting immediately to minimize protein degradation.

In Western blot, Anti-GAPDH antibody [EPR16891] - Loading Control (ab181602) (1 : 200000) (36KDa).

All lanes:

Western blot - Anti-HIF-1 alpha antibody [SIMA343B] (ab325355) at 1/1000 dilution

Lane 1:

Untreated HCT 116 (human colorectal carcinoma epithelial cell) whole cell lysate at 20 µg

Lane 2:

HCT116 treated with 0.5 mM DFO for 24 hours whole cell lysate at 20 µg

Lane 3:

Untreated HIF-1 alpha knockout HCT116 whole cell lysate at 20 µg

Lane 4:

HIF-1 alpha knockout HCT116 treated with 0.5 mM DFO for 24 hours whole cell lysate at 20 µg

Secondary

All lanes:

Western blot - Goat Anti-Rat IgG H&L (HRP) (<a href='/en-us/products/secondary-antibodies/goat-rat-igg-h-l-hrp-ab205720'>ab205720</a>) at 1/10000 dilution

Observed band size: 110 kDa,36 kDa

false

Exposure time: 180s

Western blot - Anti-HIF-1 alpha antibody [SIMA343B] (AB325355)
  • WB

Lab

Western blot - Anti-HIF-1 alpha antibody [SIMA343B] (AB325355)

Blocking and diluting buffer and concentration : 5% NFDM/TBST.

In Western blot, Anti-GAPDH antibody [EPR16891] - Loading Control (ab181602) (1 : 200000) (36KDa).

All lanes:

Western blot - Anti-HIF-1 alpha antibody [SIMA343B] (ab325355) at 1/1000 dilution

Lane 1:

Untreated HeLa (human cervical adenocarcinoma epithelial cell) whole cell lysate at 20 µg

Lane 2:

HeLa treated with 0.5mM CoCl2 for 6 hours whole cell lysate at 20 µg

Lane 3:

Untreated HeLa whole cell lysate at 20 µg

Lane 4:

HeLa treated with 0.5mM DFO for 24 hours whole cell lysate at 20 µg

Lane 5:

Untreated NIH/3T3 (mouse embryonic fibroblast) whole cell lysate at 20 µg

Lane 6:

NIH/3T3 treated with 100µM CoCl2 for 4 hours whole cell lysate at 20 µg

Lane 7:

Untreated NIH/3T3 whole cell lysate at 20 µg

Lane 8:

NIH/3T3 treated with 0.5mM CoCl2 for 24 hours, 10µM MG-132 was then added for last 4 hours whole cell lysate at 20 µg

Secondary

All lanes:

Western blot - Goat Anti-Rat IgG H&L (HRP) (<a href='/en-us/products/secondary-antibodies/goat-rat-igg-h-l-hrp-ab205720'>ab205720</a>) at 1/10000 dilution

Observed band size: 110 kDa,36 kDa

false

Exposure time: 37s

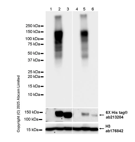
Western blot - Anti-HIF-1 alpha antibody [SIMA343B] (AB325355)
  • WB

Lab

Western blot - Anti-HIF-1 alpha antibody [SIMA343B] (AB325355)

Blocking and diluting buffer and concentration : 5% NFDM/TBST.

In Western blot, Anti-Histone H3 antibody [EPR16987] - Nuclear Marker and ChIP Grade (ab176842) (1 : 100000) (15Kda).

All lanes:

Western blot - Anti-HIF-1 alpha antibody [SIMA343B] (ab325355) at 1/1000 dilution

Lane 1:

293T (human embryonic kidney epithelial cell) cell transfected with an empty vector containing a myc-his-tag, whole cell lysate at 20 µg

Lane 2:

293T cells transfected with a human HIF-1 alpha expression vector containing a myc-his-tag, whole cell lysate at 20 µg

Lane 3:

293T cells transfected with a human EPAS1 expression vector containing a myc-his-tag, whole cell lysate at 20 µg

Lane 4:

293T cell transfected with an empty vector containing a myc-his-tag, whole cell lysate at 20 µg

Lane 5:

293T cells transfected with a mouse HIF-1 alpha expression vector containing a myc-his-tag, whole cell lysate at 20 µg

Lane 6:

293T cells transfected with a mouse EPAS1 expression vector containing a myc-his-tag, whole cell lysate at 20 µg

Secondary

All lanes:

Western blot - Goat Anti-Rat IgG H&L (HRP) (<a href='/en-us/products/secondary-antibodies/goat-rat-igg-h-l-hrp-ab205720'>ab205720</a>) at 1/10000 dilution

Observed band size: 110 kDa,15 kDa

false

Exposure time: 1s

Key facts

Host species

Rat

Clonality

Monoclonal

Clone number

SIMA343B

Isotype

IgG2a

Carrier free

No

Reacts with

Human, Mouse

Applications

ICC/IF, WB

applications

Immunogen

The exact immunogen used to generate this antibody is proprietary information.

Reactivity data

{ "title": "Reactivity Data", "filters": { "stats": ["", "Species", "Dilution Info", "Notes"], "tabs": { "all-applications": {"fullname" : "All Applications", "shortname": "All Applications"}, "WB" : {"fullname" : "Western blot", "shortname":"WB"}, "ICCIF" : {"fullname" : "Immunocytochemistry/ Immunofluorescence", "shortname":"ICC/IF"}, "IHCP" : {"fullname" : "Immunohistochemistry (Formalin/PFA-fixed paraffin-embedded sections)", "shortname":"IHC-P"} }, "product-promise": { "all": "all", "testedAndGuaranteed": "tested", "guaranteed": "expected", "predicted": "predicted", "notRecommended": "not-recommended" } }, "values": { "Human": { "WB-species-checked": "testedAndGuaranteed", "WB-species-dilution-info": "1/1000", "WB-species-notes": "<p></p>", "ICCIF-species-checked": "testedAndGuaranteed", "ICCIF-species-dilution-info": "1/50", "ICCIF-species-notes": "<p></p>", "IHCP-species-checked": "notRecommended", "IHCP-species-dilution-info": "", "IHCP-species-notes": "<p></p>" }, "Mouse": { "WB-species-checked": "testedAndGuaranteed", "WB-species-dilution-info": "1/1000", "WB-species-notes": "<p></p>", "ICCIF-species-checked": "testedAndGuaranteed", "ICCIF-species-dilution-info": "1/50", "ICCIF-species-notes": "<p></p>", "IHCP-species-checked": "notRecommended", "IHCP-species-dilution-info": "", "IHCP-species-notes": "<p></p>" }, "Rat": { "WB-species-checked": "notRecommended", "WB-species-dilution-info": "", "WB-species-notes": "", "ICCIF-species-checked": "notRecommended", "ICCIF-species-dilution-info": "", "ICCIF-species-notes": "", "IHCP-species-checked": "notRecommended", "IHCP-species-dilution-info": "", "IHCP-species-notes": "<p></p>" }, "Transfected cell lysate - Human": { "WB-species-checked": "testedAndGuaranteed", "WB-species-dilution-info": "1/1000", "WB-species-notes": "<p></p>", "ICCIF-species-checked": "notRecommended", "ICCIF-species-dilution-info": "", "ICCIF-species-notes": "", "IHCP-species-checked": "notRecommended", "IHCP-species-dilution-info": "", "IHCP-species-notes": "" }, "Transfected cell lysate - Mouse": { "WB-species-checked": "testedAndGuaranteed", "WB-species-dilution-info": "1/1000", "WB-species-notes": "<p></p>", "ICCIF-species-checked": "notRecommended", "ICCIF-species-dilution-info": "", "ICCIF-species-notes": "", "IHCP-species-checked": "notRecommended", "IHCP-species-dilution-info": "", "IHCP-species-notes": "" } } }

Product details

What are the advantages of a recombinant monoclonal antibody?
This product is a recombinant monoclonal antibody, which offers several advantages including:

  • - High batch-to-batch consistency and reproducibility
  • - Improved sensitivity and specificity
  • - Long-term security of supply
  • - Animal-free batch production

For more information, read more on recombinant antibodies.

Want a custom formulation?
This antibody clone is manufactured by Abcam. If you require a custom buffer formulation or conjugation for your experiments, please contact orders@abcam.com

Properties and storage information

Form
Liquid
Purification technique
Ion exchange chromatography
Storage buffer
pH: 7.2 - 7.4 Preservative: 0.01% Sodium azide Constituents: PBS, 40% Glycerol (glycerin, glycerine), 0.05% BSA
Shipped at conditions
Blue Ice
Appropriate short-term storage duration
1-2 weeks
Appropriate short-term storage conditions
+4°C
Appropriate long-term storage conditions
-20°C
Aliquoting information
Upon delivery aliquot
Storage information
Avoid freeze / thaw cycle

Product protocols

For this product, it's our understanding that no specific protocols are required. You can visit:

Target data

Functions as a master transcriptional regulator of the adaptive response to hypoxia (PubMed : 15225651, PubMed : 17981124, PubMed : 22009797). Under hypoxic conditions, activates the transcription of over 40 genes, including erythropoietin, glucose transporters, glycolytic enzymes, vascular endothelial growth factor, HILPDA, and other genes whose protein products increase oxygen delivery or facilitate metabolic adaptation to hypoxia (PubMed : 15225651, PubMed : 17981124, PubMed : 22009797). Plays an essential role in embryonic vascularization, tumor angiogenesis and pathophysiology of ischemic disease (PubMed : 22009797). Heterodimerizes with ARNT; heterodimer binds to core DNA sequence 5'-TACGTG-3' within the hypoxia response element (HRE) of target gene promoters (PubMed : 26245371). Activation requires recruitment of transcriptional coactivators such as CREBBP and EP300. Activity is enhanced by interaction with NCOA1 and/or NCOA2. Interaction with redox regulatory protein APEX1 seems to activate CTAD and potentiates activation by NCOA1 and CREBBP. Involved in the axonal distribution and transport of mitochondria in neurons during hypoxia (By similarity).
See full target information Hif1a

Product promise

We are committed to supporting your work with high-quality reagents, and we're here for you every step of the way. In the unlikely event that one of our products does not perform as expected, you're protected by our Product Promise.
For full details, please see our Terms & Conditions

Please note: All products are 'FOR RESEARCH USE ONLY. NOT FOR USE IN DIAGNOSTIC OR THERAPEUTIC PROCEDURES'.

For licensing inquiries, please contact partnerships@abcam.com