JavaScript is disabled in your browser. Please enable JavaScript to view this website.
AB308638

Anti-HIF-1 alpha (hydroxyl P564) antibody [EPR27307-108] - BSA and Azide free

Be the first to review this product! Submit a review

|

(0 Publication)

Knockout Tested Rabbit Recombinant Monoclonal HIF-1 alpha hydroxy P564 antibody. Carrier free. Suitable for WB, ICC/IF, Flow Cyt (Intra), Dot and reacts with Human, Transfected cell lysate - Human, Synthetic peptide - Human samples.

View Alternative Names

BHLHE78, MOP1, PASD8, HIF1A, Hypoxia-inducible factor 1-alpha, HIF-1-alpha, HIF1-alpha, ARNT-interacting protein, Basic-helix-loop-helix-PAS protein MOP1, Class E basic helix-loop-helix protein 78, Member of PAS protein 1, PAS domain-containing protein 8, bHLHe78

4 Images
Flow Cytometry (Intracellular) - Anti-HIF-1 alpha (hydroxyl P564) antibody [EPR27307-108] - BSA and Azide free (AB308638)
  • Flow Cyt (Intra)

Supplier Data

Flow Cytometry (Intracellular) - Anti-HIF-1 alpha (hydroxyl P564) antibody [EPR27307-108] - BSA and Azide free (AB308638)

This data was developed using ab308637, the same antibody clone in a different buffer formulation. Flow cytometric analysis of 4% paraformaldehyde fixed 90% methanol permeabilized HCT-116 (human colorectal carcinoma epithelial cell, Red) treated with 10µM MG-132 for 4h / Untreated HCT-116 (Green) cells labeling HIF-1 alpha (hydroxyl P564) with ab308637 at 1/50 dilution (1 ug)/Red and Green (Red) compared with a Rabbit monoclonal IgG (ab172730) (Black) isotype control and an unlabelled control (cells without incubation with primary antibody and secondary antibody) (Blue). A Goat Anti-Rabbit IgG (Alexa Fluor® 488, ab150081) at 1/5000 dilution was used as the secondary antibody.

Immunocytochemistry/ Immunofluorescence - Anti-HIF-1 alpha (hydroxyl P564) antibody [EPR27307-108] - BSA and Azide free (AB308638)
  • ICC/IF

Supplier Data

Immunocytochemistry/ Immunofluorescence - Anti-HIF-1 alpha (hydroxyl P564) antibody [EPR27307-108] - BSA and Azide free (AB308638)

This data was developed using ab308637, the same antibody clone in a different buffer formulation. Immunofluorescent analysis of 4% Paraformaldehyde-fixed, 0.1% TritonX-100 permeabilized HCT 116 (human colorectal carcinoma epithelial cell) cells labeling HIF-1 alpha (hydroxyl P564) with ab308637 at 1/50 (10.32 ug/ml) dilution, followed by ab150081 Goat Anti-Rabbit IgG H&L (Alexa Fluor® 488) preadsorbed antibody at 1/1000 2 ug/ml dilution (Green). Confocal image showing nuclear and weak cytoplasmic staining in HCT 116 cells after treatment with MG-132 (10 µM) for 4 hours and showing no staining in untreated HCT 116 cells. The image was taken with a confocal microscope(Leica-Microsystems, TCS SP8). is observed. ab195889 Anti-alpha Tubulin mouse monoclonal antibody - Microtubule Marker (Alexa Fluor® 594) was used to counterstain tubulin at 1/200 2.5ug/ml dilution (Red). The Nuclear counterstain was DAPI (Blue). Secondary antibody only control : Secondary antibody is ab150081 Goat Anti-Rabbit IgG H&L (Alexa Fluor® 488) preadsorbed at 1/1000 2 ug/ml dilution.

Dot Blot - Anti-HIF-1 alpha (hydroxyl P564) antibody [EPR27307-108] - BSA and Azide free (AB308638)
  • Dot

Supplier Data

Dot Blot - Anti-HIF-1 alpha (hydroxyl P564) antibody [EPR27307-108] - BSA and Azide free (AB308638)

This data was developed using ab308637, the same antibody clone in a different buffer formulation. Dot blot analysis of HIF-1 alpha (hydroxyl P564) using ab308637 at 1 : 1000 (0.516 ug/ml) followed by a Goat Anti-Rabbit IgG, (H+L), Peroxidase conjugated (ab97051) at 1 : 100,000 dilution. Exposure time : 15 seconds Blocking and diluting buffer and concentration : 5% NFDM/TBST

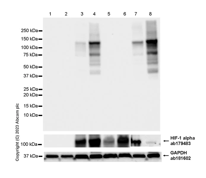
Western blot - Anti-HIF-1 alpha (hydroxyl P564) antibody [EPR27307-108] - BSA and Azide free (AB308638)
  • WB

Supplier Data

Western blot - Anti-HIF-1 alpha (hydroxyl P564) antibody [EPR27307-108] - BSA and Azide free (AB308638)

This data was developed using ab308637, the same antibody clone in a different buffer formulation. Blocking and diluting buffer and concentration : 5% NFDM/TBST This antibody does not cross-react with human HIFIA (hydroxyl P402) . In Western blot, Anti-HIF-1 alpha antibody (ab179483) as pan control staining at 1/1000 dilution. In Western blot, anti-GAPDH antibody (ab181602) loading control staining at 1/200000 dilution. Exposure time : 15 seconds

Lane 1:

293T cells transfected with an empty vector containi a His-tag whole cell lysate

Lane 2:

293T cells transfected with an empty vector containi a His-tag, treated with 10 uM MG-132 for 4 hours whole cell lysate

Lane 3:

293T cells transfected with a human HIFIA(WT) expression vector containi a His-tag whole cell lysate at 20 µg

Lane 4:

293T cells transfected with a human HIFIA(WT) expression vector containi a His-tag, treated with 10 uM MG-132 for 4 hours whole cell lysate at 20 µg

Lane 5:

293T cells transfected with a human HIFIA P564G(mutant) expression vector containi a His-tag whole cell lysate

Lane 6:

293T cells transfected with a human HIFIA P564G(mutant) expression vector containi a His-tag, treated with 10 uM MG-132 for 4 hours whole cell lysate

Lane 7:

293T cells transfected with a human HIFIA P402G(mutant) expression vector containi a His-tag whole cell lysate at 20 µg

Lane 8:

293T cells transfected with a human HIFIA P402G(mutant) expression vector containi a His-tag, treated with 10 uM MG-132 for 4 hours whole cell lysate at 20 µg

false

Exposure time: 15s

Key facts

Host species

Rabbit

Clonality

Monoclonal

Clone number

EPR27307-108

Isotype

IgG

Carrier free

Yes

Reacts with

Human

Applications

Dot, WB, ICC/IF, Flow Cyt (Intra)

applications

Immunogen

The exact immunogen used to generate this antibody is proprietary information.

Reactivity data

{ "title": "Reactivity Data", "filters": { "stats": ["", "Species", "Dilution Info", "Notes"], "tabs": { "all-applications": {"fullname" : "All Applications", "shortname": "All Applications"}, "WB" : {"fullname" : "Western blot", "shortname":"WB"}, "ICCIF" : {"fullname" : "Immunocytochemistry/ Immunofluorescence", "shortname":"ICC/IF"}, "FlowCytIntra" : {"fullname" : "Flow Cytometry (Intracellular)", "shortname":"Flow Cyt (Intra)"}, "IHCP" : {"fullname" : "Immunohistochemistry (Formalin/PFA-fixed paraffin-embedded sections)", "shortname":"IHC-P"}, "Dot" : {"fullname" : "Dot Blot", "shortname":"Dot"} }, "product-promise": { "all": "all", "testedAndGuaranteed": "tested", "guaranteed": "expected", "predicted": "predicted", "notRecommended": "not-recommended" } }, "values": { "Human": { "WB-species-checked": "testedAndGuaranteed", "WB-species-dilution-info": "", "WB-species-notes": "<p></p>", "ICCIF-species-checked": "testedAndGuaranteed", "ICCIF-species-dilution-info": "", "ICCIF-species-notes": "<p></p>", "FlowCytIntra-species-checked": "testedAndGuaranteed", "FlowCytIntra-species-dilution-info": "", "FlowCytIntra-species-notes": "<p></p>", "IHCP-species-checked": "notRecommended", "IHCP-species-dilution-info": "", "IHCP-species-notes": "<p></p>", "Dot-species-checked": "guaranteed", "Dot-species-dilution-info": "", "Dot-species-notes": "" }, "Mouse": { "WB-species-checked": "notRecommended", "WB-species-dilution-info": "", "WB-species-notes": "", "ICCIF-species-checked": "notRecommended", "ICCIF-species-dilution-info": "", "ICCIF-species-notes": "", "FlowCytIntra-species-checked": "notRecommended", "FlowCytIntra-species-dilution-info": "", "FlowCytIntra-species-notes": "", "IHCP-species-checked": "notRecommended", "IHCP-species-dilution-info": "", "IHCP-species-notes": "<p></p>", "Dot-species-checked": "notRecommended", "Dot-species-dilution-info": "", "Dot-species-notes": "" }, "Rat": { "WB-species-checked": "notRecommended", "WB-species-dilution-info": "", "WB-species-notes": "", "ICCIF-species-checked": "notRecommended", "ICCIF-species-dilution-info": "", "ICCIF-species-notes": "", "FlowCytIntra-species-checked": "notRecommended", "FlowCytIntra-species-dilution-info": "", "FlowCytIntra-species-notes": "", "IHCP-species-checked": "notRecommended", "IHCP-species-dilution-info": "", "IHCP-species-notes": "<p></p>", "Dot-species-checked": "notRecommended", "Dot-species-dilution-info": "", "Dot-species-notes": "" }, "Synthetic peptide - Human": { "WB-species-checked": "notRecommended", "WB-species-dilution-info": "", "WB-species-notes": "", "ICCIF-species-checked": "notRecommended", "ICCIF-species-dilution-info": "", "ICCIF-species-notes": "", "FlowCytIntra-species-checked": "notRecommended", "FlowCytIntra-species-dilution-info": "", "FlowCytIntra-species-notes": "", "IHCP-species-checked": "notRecommended", "IHCP-species-dilution-info": "", "IHCP-species-notes": "", "Dot-species-checked": "testedAndGuaranteed", "Dot-species-dilution-info": "", "Dot-species-notes": "<p></p>" }, "Transfected cell lysate - Human": { "WB-species-checked": "testedAndGuaranteed", "WB-species-dilution-info": "", "WB-species-notes": "<p></p>", "ICCIF-species-checked": "notRecommended", "ICCIF-species-dilution-info": "", "ICCIF-species-notes": "", "FlowCytIntra-species-checked": "notRecommended", "FlowCytIntra-species-dilution-info": "", "FlowCytIntra-species-notes": "", "IHCP-species-checked": "notRecommended", "IHCP-species-dilution-info": "", "IHCP-species-notes": "", "Dot-species-checked": "notRecommended", "Dot-species-dilution-info": "", "Dot-species-notes": "" } } }

Product details

Patented technology
Our RabMAb® technology is a patented hybridoma-based technology for making rabbit monoclonal antibodies. For details on our patents, please refer to RabMAb® patents.

What are the advantages of a recombinant monoclonal antibody?
This product is a recombinant monoclonal antibody, which offers several advantages including:

  • - High batch-to-batch consistency and reproducibility
  • - Improved sensitivity and specificity
  • - Long-term security of supply
  • - Animal-free batch production

For more information, read more on recombinant antibodies.

Conjugation ready
Our carrier-free antibodies are typically supplied in a PBS-only formulation, purified and free of BSA, sodium azide and glycerol. This conjugation-ready format is designed for use with fluorochromes, metal isotopes, oligonucleotides, and enzymes, which makes them ideal for antibody labelling, functional and cell-based assays, flow-based assays (e.g. mass cytometry) and Multiplex Imaging applications.

Use our conjugation kits for antibody conjugates that are ready-to-use in as little as 20 minutes with 1 minute hands-on-time and 100% antibody recovery: available for fluorescent dyes, HRP, biotin and gold.

Compatibility
This product is compatible with the Maxpar® Antibody Labeling Kit from Fluidigm, without the need for antibody preparation. Maxpar® is a trademark of Fluidigm Canada Inc.

Properties and storage information

Form
Liquid
Purification technique
Affinity purification Protein A
Storage buffer
pH: 7.2 - 7.4 Constituents: PBS
Shipped at conditions
Blue Ice
Appropriate short-term storage conditions
+4°C
Appropriate long-term storage conditions
+4°C

Supplementary information

This supplementary information is collated from multiple sources and compiled automatically.

HIF-1 alpha also known as hypoxia-inducible factor 1-alpha is a transcription factor critical in cellular response to low oxygen levels. Its molecular weight usually ranges from 93 to 120 kDa. You can find HIF-1 alpha expressed in tissues throughout the body but its expression significantly increases under hypoxic conditions. Researchers often use the HIF-1a ELISA to measure its expression levels. HIF-1 alpha forms a complex with other proteins to perform its functions effectively.
Biological function summary

HIF-1 alpha regulates gene expression in response to hypoxic conditions in cells. It forms a complex with HIF-1 beta to activate transcription of various genes involved in energy metabolism angiogenesis and erythropoiesis. HIF-1 alpha enables cells to adapt to reduced oxygen availability allowing for cellular survival and function under stress. It plays an important role in promoting the expression of genes like VEGF and EPO which are important for vascular and red blood cell development respectively.

Pathways

HIF-1 alpha plays an integral role in the hypoxia signaling pathway and the glycolytic pathway. In the hypoxia signaling pathway HIF-1 alpha partners with VHL (Von Hippel-Lindau) protein that regulates its degradation under normal oxygen conditions. When oxygen levels drop HIF-1 alpha avoids degradation stabilizes and translocates into the nucleus to initiate transcription of hypoxia-responsive genes. The glycolytic pathway involvement highlights its function in adapting energy production under hypoxic conditions through collaboration with enzymes and transporters associated with glycolysis.

HIF-1 alpha has been implicated in cancer and ischemic diseases. Its role in promoting angiogenesis and metabolic adaptation makes it a contributor to tumor growth and survival collaborating with oncogenes such as c-Myc. In ischemic diseases like stroke or myocardial infarction HIF-1 alpha's ability to induce protective responses can mitigate tissue damage through regulation of survival pathways. Understanding these interactions helps in the development of therapeutic strategies targeting HIF-1 alpha in disease contexts.

Product protocols

For this product, it's our understanding that no specific protocols are required. You can visit:

Target data

The protein expressed by the gene HIF1A functions as a master transcriptional regulator of the adaptive response to hypoxia, activating the transcription of over 40 genes under hypoxic conditions, including erythropoietin, glucose transporters, glycolytic enzymes, vascular endothelial growth factor, HILPDA, and others. These genes' protein products enhance oxygen delivery or facilitate metabolic adaptation to hypoxia. HIF1A is crucial for embryonic vascularization, tumor angiogenesis, and ischemic disease pathophysiology. Its activation requires transcriptional coactivators like CREBBP and EP300, with activity enhanced by interactions with NCOA1 and/or NCOA2. Interaction with redox regulatory protein APEX1 activates CTAD and enhances activation by NCOA1 and CREBBP. Additionally, HIF1A is involved in axonal distribution and mitochondrial transport in neurons during hypoxia. In the context of microbial infection, specifically human coronavirus SARS-CoV-2, HIF1A is necessary for glycolysis induction in monocytes, leading to a proinflammatory state, inducing expression of ACE2, cytokines, and promoting virus replication and monocyte inflammatory response. This supplementary information is collated from multiple sources and compiled automatically.
See full target information HIF1A hydroxy P564

Product promise

We are committed to supporting your work with high-quality reagents, and we're here for you every step of the way. In the unlikely event that one of our products does not perform as expected, you're protected by our Product Promise.
For full details, please see our Terms & Conditions

Please note: All products are 'FOR RESEARCH USE ONLY. NOT FOR USE IN DIAGNOSTIC OR THERAPEUTIC PROCEDURES'.

For licensing inquiries, please contact partnerships@abcam.com