JavaScript is disabled in your browser. Please enable JavaScript to view this website.
AB187524

Anti-HIF1AN/FIH-1 antibody

Be the first to review this product! Submit a review

|

(10 Publications)

Rabbit Polyclonal HIF1AN/FIH-1 antibody. Suitable for WB, IHC-P, ICC/IF and reacts with Human, Mouse samples. Cited in 10 publications. Immunogen corresponding to Recombinant Full Length Protein corresponding to Human HIF1AN.

View Alternative Names

FIH1, HIF1AN, Hypoxia-inducible factor 1-alpha inhibitor, Factor inhibiting HIF-1, Hypoxia-inducible factor asparagine hydroxylase, FIH-1

4 Images
Immunocytochemistry/ Immunofluorescence - Anti-HIF1AN/FIH-1 antibody (AB187524)
  • ICC/IF

Unknown

Immunocytochemistry/ Immunofluorescence - Anti-HIF1AN/FIH-1 antibody (AB187524)

Immunocytochemistry/Immunofluorescence analysis of U2OS cells using ab187524. Blue DAPI for nuclear staining.

Immunohistochemistry (Formalin/PFA-fixed paraffin-embedded sections) - Anti-HIF1AN/FIH-1 antibody (AB187524)
  • IHC-P

Unknown

Immunohistochemistry (Formalin/PFA-fixed paraffin-embedded sections) - Anti-HIF1AN/FIH-1 antibody (AB187524)

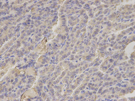
Immunohistochemistry (Formalin/PFA-fixed paraffin-embedded sections) analysis of human thyroid cancer tissue labelling HIF1AN/FIH-1 with ab187524 at 1/200. Magnification : 400x.

Immunohistochemistry (Formalin/PFA-fixed paraffin-embedded sections) - Anti-HIF1AN/FIH-1 antibody (AB187524)
  • IHC-P

Unknown

Immunohistochemistry (Formalin/PFA-fixed paraffin-embedded sections) - Anti-HIF1AN/FIH-1 antibody (AB187524)

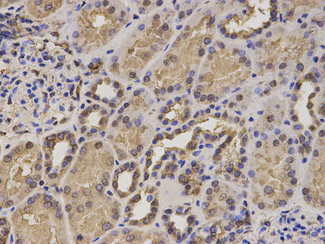
Immunohistochemistry (Formalin/PFA-fixed paraffin-embedded sections) analysis of human kidney tissue labelling HIF1AN/FIH-1 with ab187524 at 1/200. Magnification : 400x.

Western blot - Anti-HIF1AN/FIH-1 antibody (AB187524)
  • WB

Supplier Data

Western blot - Anti-HIF1AN/FIH-1 antibody (AB187524)

All lanes:

Western blot - Anti-HIF1AN/FIH-1 antibody (ab187524) at 1/500 dilution

Lane 1:

MCF7 cell lysate

Lane 2:

K562 cell lysate

Lane 3:

U937 lysate

Lane 4:

293T cell lysate

Lane 5:

Mouse heart lysate

Lane 6:

Mouse skeletal muscle lysate

Predicted band size: 40 kDa

false

Key facts

Host species

Rabbit

Clonality

Polyclonal

Isotype

IgG

Carrier free

No

Reacts with

Mouse, Human

Applications

WB, ICC/IF, IHC-P

applications

Immunogen

Recombinant Full Length Protein corresponding to Human HIF1AN.

Q9NWT6

Reactivity data

{ "title": "Reactivity Data", "filters": { "stats": ["", "Species", "Dilution Info", "Notes"], "tabs": { "all-applications": {"fullname" : "All Applications", "shortname": "All Applications"}, "WB" : {"fullname" : "Western blot", "shortname":"WB"}, "IHCP" : {"fullname" : "Immunohistochemistry (Formalin/PFA-fixed paraffin-embedded sections)", "shortname":"IHC-P"}, "ICCIF" : {"fullname" : "Immunocytochemistry/ Immunofluorescence", "shortname":"ICC/IF"} }, "product-promise": { "all": "all", "testedAndGuaranteed": "tested", "guaranteed": "expected", "predicted": "predicted", "notRecommended": "not-recommended" } }, "values": { "Human": { "WB-species-checked": "testedAndGuaranteed", "WB-species-dilution-info": "1/500 - 1/2000", "WB-species-notes": "<p></p>", "IHCP-species-checked": "testedAndGuaranteed", "IHCP-species-dilution-info": "1/50 - 1/200", "IHCP-species-notes": "<p></p>", "ICCIF-species-checked": "testedAndGuaranteed", "ICCIF-species-dilution-info": "", "ICCIF-species-notes": "<p></p>" }, "Mouse": { "WB-species-checked": "testedAndGuaranteed", "WB-species-dilution-info": "1/500 - 1/2000", "WB-species-notes": "<p></p>", "IHCP-species-checked": "guaranteed", "IHCP-species-dilution-info": "", "IHCP-species-notes": "", "ICCIF-species-checked": "guaranteed", "ICCIF-species-dilution-info": "", "ICCIF-species-notes": "" } } }

Properties and storage information

Form
Liquid
Purification technique
Affinity purification Immunogen
Storage buffer
pH: 7.3 Preservative: 0.02% Sodium azide Constituents: PBS, 50% Glycerol (glycerin, glycerine)
Shipped at conditions
Blue Ice
Appropriate short-term storage duration
1-2 weeks
Appropriate short-term storage conditions
+4°C
Appropriate long-term storage conditions
-20°C
Aliquoting information
Upon delivery aliquot
Storage information
Avoid freeze / thaw cycle

Supplementary information

This supplementary information is collated from multiple sources and compiled automatically.

HIF1AN also known as FIH-1 (Factor Inhibiting HIF-1) is an enzyme primarily engaged in the hydroxylation of asparagine residues on hypoxia-inducible factor (HIF) alpha subunits. This action negatively regulates HIF by inhibiting its transcriptional activity. It has an approximate molecular weight of 40 kDa. HIF1AN is ubiquitously expressed in various tissues reflecting its critical role in cellular oxygen homeostasis.
Biological function summary

HIF1AN acts as an important regulator under normoxic conditions by maintaining the HIF complex in its inactive state. It does not operate alone; instead it is part of a larger protein complex that includes the HIF-alpha subunits and pVHL the latter marking HIF for degradation. This regulation ensures that the cellular response to oxygen levels is tightly controlled preventing unwarranted expression of hypoxia-related genes when oxygen is sufficient.

Pathways

The role of HIF1AN is integral in the HIF signaling and cellular response to hypoxia pathways. It is particularly associated with the modulation of the HIF pathway through its interaction with proteins such as HIF-1α and VHL. This relationship ensures a controlled activation of pathways that respond to low oxygen scenarios affecting processes like angiogenesis. The interactions between HIF1AN VHL and HIF-1α demonstrate HIF1AN's pivotal role in regulating gene expression linked to oxygen levels.

HIF1AN has connections to conditions like cancer and ischemic diseases. Its regulatory effects on HIF activity mean alterations in HIF1AN expression or function can contribute to tumor growth due to its role in promoting angiogenesis and metabolic adaptation in hypoxic tumor microenvironments. HIF1AN also has indirect links to the tumor suppressor protein VHL with mutations in VHL leading to aberrations in HIF-1α regulation further implicating HIF1AN in oncogenesis.

Product protocols

For this product, it's our understanding that no specific protocols are required. You can visit:

Target data

Hydroxylates HIF-1 alpha at 'Asn-803' in the C-terminal transactivation domain (CAD). Functions as an oxygen sensor and, under normoxic conditions, the hydroxylation prevents interaction of HIF-1 with transcriptional coactivators including Cbp/p300-interacting transactivator. Involved in transcriptional repression through interaction with HIF1A, VHL and histone deacetylases. Hydroxylates specific Asn residues within ankyrin repeat domains (ARD) of NFKB1, NFKBIA, NOTCH1, ASB4, PPP1R12A and several other ARD-containing proteins. Also hydroxylates Asp and His residues within ARDs of ANK1 and TNKS2, respectively. Negatively regulates NOTCH1 activity, accelerating myogenic differentiation. Positively regulates ASB4 activity, promoting vascular differentiation.
See full target information HIF1AN

Publications (10)

Recent publications for all applications. Explore the full list and refine your search

International journal of molecular sciences 24: PubMed37628777

2023

TRIM14 Overexpression Induces Chemoresistance and Malignant Behaviors of Hepatocellular Carcinoma Cells by Activating the STAT3/HIF-1α Pathway.

Applications

Unspecified application

Species

Unspecified reactive species

Weiqi Xu,Lihong Zhuang,Hongxu Zhu,Anrong Mao,Jiamin Zhou,Lu Wang

Bioscience reports 40: PubMed32347300

2020

IL-38 restrains inflammatory response of collagen-induced arthritis in rats via SIRT1/HIF-1α signaling pathway.

Applications

Unspecified application

Species

Unspecified reactive species

Bing Pei,Keyan Chen,Shenglai Zhou,Dongyu Min,Weiguo Xiao

Molecular vision 26:311-325 PubMed32355441

2020

Effect of vitamin B supplementation on retinal lesions in diabetic rats.

Applications

Unspecified application

Species

Unspecified reactive species

S Sreenivasa Reddy,Y K Prabhakar,Ch Uday Kumar,P Yadagiri Reddy,G Bhanuprakash Reddy

Oncology letters 19:2107-2114 PubMed32194708

2020

TSP-1 as a novel biological marker of tumor vasculature normalization in colon carcinoma induced by Endostar.

Applications

Unspecified application

Species

Unspecified reactive species

Wende Yang,Wei Li,Fan Pan,Xiao-Yan Yang,Xiaoxu Zhao,Li Qin,Yunlong Pan

Journal of physiology and biochemistry 75:391-401 PubMed31321740

2019

Adipose-derived exosomes deliver miR-23a/b to regulate tumor growth in hepatocellular cancer by targeting the VHL/HIF axis.

Applications

Unspecified application

Species

Unspecified reactive species

Yang Liu,Juan Tan,Shuangyan Ou,Jun Chen,Limin Chen

Oncology reports 42:1125-1132 PubMed31322265

2019

Hypoxia‑induced mitochondrial translocation of DNM1L increases mitochondrial fission and triggers mPTP opening in HCC cells via activation of HK2.

Applications

Unspecified application

Species

Unspecified reactive species

Min Cai,Ping He,Dian-Liang Fang

Biomedicine & pharmacotherapy = Biomedecine & phar 116:109005 PubMed31136947

2019

HMGB1/RAGE pro-inflammatory axis promotes vascular endothelial cell apoptosis in limb ischemia/reperfusion injury.

Applications

Unspecified application

Species

Unspecified reactive species

Lei Mi,Ying Zhang,Yugang Xu,Xiao Zheng,Xia Zhang,Zhu Wang,Ming Xue,Xing Jin

Oncology reports 40:2287-2297 PubMed30106431

2018

α7‑nAchR agonist GTS‑21 reduces radiation‑induced lung injury.

Applications

Unspecified application

Species

Unspecified reactive species

Zijie Mei,Xiaoli Tian,Jing Chen,Yacheng Wang,Ye Yao,Xin Li,Chunxu Yang,Shimin Zhang,Conghua Xie

Cell reports 20:1641-1653 PubMed28813675

2017

CD44 Interacts with HIF-2α to Modulate the Hypoxic Phenotype of Perinecrotic and Perivascular Glioma Cells.

Applications

WB

Species

Mouse

Elinn Johansson,Elisa S Grassi,Vasiliki Pantazopoulou,Bei Tong,David Lindgren,Tracy J Berg,Elin J Pietras,Håkan Axelson,Alexander Pietras

Oncotarget 7:75763-75773 PubMed27716621

2016

Hypoxia-induced CCL28 promotes recruitment of regulatory T cells and tumor growth in liver cancer.

Applications

WB

Species

Human

Li Ren,Yang Yu,Li Wang,Zhifeng Zhu,Rong Lu,Zhi Yao
View all publications

Product promise

We are committed to supporting your work with high-quality reagents, and we're here for you every step of the way. In the unlikely event that one of our products does not perform as expected, you're protected by our Product Promise.
For full details, please see our Terms & Conditions

Please note: All products are 'FOR RESEARCH USE ONLY. NOT FOR USE IN DIAGNOSTIC OR THERAPEUTIC PROCEDURES'.

For licensing inquiries, please contact partnerships@abcam.com