JavaScript is disabled in your browser. Please enable JavaScript to view this website.
AB237544

Anti-HIF1AN/FIH-1 antibody

Be the first to review this product! Submit a review

|

(5 Publications)

Rabbit Polyclonal HIF1AN/FIH-1 antibody. Suitable for WB, IHC-P and reacts with Mouse, Human samples. Cited in 5 publications. Immunogen corresponding to Recombinant Fragment Protein within Human HIF1AN aa 1-300.

View Alternative Names

FIH1, HIF1AN, Hypoxia-inducible factor 1-alpha inhibitor, Factor inhibiting HIF-1, Hypoxia-inducible factor asparagine hydroxylase, FIH-1

2 Images
Western blot - Anti-HIF1AN/FIH-1 antibody (AB237544)
  • WB

Supplier Data

Western blot - Anti-HIF1AN/FIH-1 antibody (AB237544)

All lanes:

Western blot - Anti-HIF1AN/FIH-1 antibody (ab237544) at 1/500 dilution

Lane 1:

Mouse heart tissue lysate

Lane 2:

Mouse skeletal muscle lysate

Lane 3:

K562 (human chronic myelogenous leukemia cell line from bone marrow) whole cell lysate

Lane 4:

MCF7 (human breast adenocarcinoma cell line) whole cell lysate

Lane 5:

HL-60 (human promyelocytic leukemia cell line) whole cell lysate

Lane 6:

HEK-293T (human epithelial cell line from embryonic kidney transformed with large T antigen) whole cell lysate

Lane 7:

Jurkat (human T cell leukemia cell line from peripheral blood) whole cell lysate

Lane 8:

A-375 (human malignant melanoma cell line) whole cell lysate

Secondary

All lanes:

Goat polyclonal to rabbit IgG at 1/10000 dilution

Predicted band size: 40 kDa

false

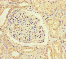
Immunohistochemistry (Formalin/PFA-fixed paraffin-embedded sections) - Anti-HIF1AN/FIH-1 antibody (AB237544)
  • IHC-P

Supplier Data

Immunohistochemistry (Formalin/PFA-fixed paraffin-embedded sections) - Anti-HIF1AN/FIH-1 antibody (AB237544)

Paraffin-embedded human kidney tissue stained for HIF1AN/FIH-1 with ab237544 at 1/100 dilution in immunohistochemical analysis.

Key facts

Host species

Rabbit

Clonality

Polyclonal

Isotype

IgG

Carrier free

No

Reacts with

Mouse, Human

Applications

IHC-P, WB

applications

Immunogen

Recombinant Fragment Protein within Human HIF1AN aa 1-300. The exact immunogen used to generate this antibody is proprietary information.

Q9NWT6

Reactivity data

{ "title": "Reactivity Data", "filters": { "stats": ["", "Species", "Dilution Info", "Notes"], "tabs": { "all-applications": {"fullname" : "All Applications", "shortname": "All Applications"}, "WB" : {"fullname" : "Western blot", "shortname":"WB"}, "IHCP" : {"fullname" : "Immunohistochemistry (Formalin/PFA-fixed paraffin-embedded sections)", "shortname":"IHC-P"} }, "product-promise": { "all": "all", "testedAndGuaranteed": "tested", "guaranteed": "expected", "predicted": "predicted", "notRecommended": "not-recommended" } }, "values": { "Human": { "WB-species-checked": "guaranteed", "WB-species-dilution-info": "1/500 - 1/5000", "WB-species-notes": "<p></p>", "IHCP-species-checked": "testedAndGuaranteed", "IHCP-species-dilution-info": "1/20 - 1/200", "IHCP-species-notes": "<p></p>" }, "Mouse": { "WB-species-checked": "testedAndGuaranteed", "WB-species-dilution-info": "1/500 - 1/5000", "WB-species-notes": "<p></p>", "IHCP-species-checked": "guaranteed", "IHCP-species-dilution-info": "", "IHCP-species-notes": "" } } }

Properties and storage information

Form
Liquid
Purification technique
Affinity purification Protein G
Purification notes
Purity >95%.
Storage buffer
pH: 7.4 Preservative: 0.03% Proclin 300 Constituents: PBS, 50% Glycerol (glycerin, glycerine)
Shipped at conditions
Blue Ice
Appropriate short-term storage duration
1-2 weeks
Appropriate short-term storage conditions
+4°C
Appropriate long-term storage conditions
-20°C
Aliquoting information
Upon delivery aliquot
Storage information
Avoid freeze / thaw cycle

Supplementary information

This supplementary information is collated from multiple sources and compiled automatically.

HIF1AN also known as FIH-1 (Factor Inhibiting HIF-1) is an enzyme primarily engaged in the hydroxylation of asparagine residues on hypoxia-inducible factor (HIF) alpha subunits. This action negatively regulates HIF by inhibiting its transcriptional activity. It has an approximate molecular weight of 40 kDa. HIF1AN is ubiquitously expressed in various tissues reflecting its critical role in cellular oxygen homeostasis.
Biological function summary

HIF1AN acts as an important regulator under normoxic conditions by maintaining the HIF complex in its inactive state. It does not operate alone; instead it is part of a larger protein complex that includes the HIF-alpha subunits and pVHL the latter marking HIF for degradation. This regulation ensures that the cellular response to oxygen levels is tightly controlled preventing unwarranted expression of hypoxia-related genes when oxygen is sufficient.

Pathways

The role of HIF1AN is integral in the HIF signaling and cellular response to hypoxia pathways. It is particularly associated with the modulation of the HIF pathway through its interaction with proteins such as HIF-1α and VHL. This relationship ensures a controlled activation of pathways that respond to low oxygen scenarios affecting processes like angiogenesis. The interactions between HIF1AN VHL and HIF-1α demonstrate HIF1AN's pivotal role in regulating gene expression linked to oxygen levels.

HIF1AN has connections to conditions like cancer and ischemic diseases. Its regulatory effects on HIF activity mean alterations in HIF1AN expression or function can contribute to tumor growth due to its role in promoting angiogenesis and metabolic adaptation in hypoxic tumor microenvironments. HIF1AN also has indirect links to the tumor suppressor protein VHL with mutations in VHL leading to aberrations in HIF-1α regulation further implicating HIF1AN in oncogenesis.

Product protocols

For this product, it's our understanding that no specific protocols are required. You can visit:

Target data

Hydroxylates HIF-1 alpha at 'Asn-803' in the C-terminal transactivation domain (CAD). Functions as an oxygen sensor and, under normoxic conditions, the hydroxylation prevents interaction of HIF-1 with transcriptional coactivators including Cbp/p300-interacting transactivator. Involved in transcriptional repression through interaction with HIF1A, VHL and histone deacetylases. Hydroxylates specific Asn residues within ankyrin repeat domains (ARD) of NFKB1, NFKBIA, NOTCH1, ASB4, PPP1R12A and several other ARD-containing proteins. Also hydroxylates Asp and His residues within ARDs of ANK1 and TNKS2, respectively. Negatively regulates NOTCH1 activity, accelerating myogenic differentiation. Positively regulates ASB4 activity, promoting vascular differentiation.
See full target information HIF1AN

Publications (5)

Recent publications for all applications. Explore the full list and refine your search

Frontiers in immunology 13:976482 PubMed36119083

2022

Ion channel Piezo1 activation promotes aerobic glycolysis in macrophages.

Applications

Unspecified application

Species

Unspecified reactive species

Shaoqiu Leng,Xiaoyu Zhang,Shuwen Wang,Jing Qin,Qiang Liu,Anli Liu,Zi Sheng,Qi Feng,Xiang Hu,Jun Peng

PeerJ 10:e13370 PubMed35529504

2022

HIF1 is dispensable for oocyte development and female fertility in mice.

Applications

Unspecified application

Species

Unspecified reactive species

Yujia Chen,Siyu Du,Zhenyue Huang,Longsen Han,Qiang Wang

Renal failure 44:293-303 PubMed35166173

2022

MicroRNA-122-5p ameliorates tubular injury in diabetic nephropathy via FIH-1/HIF-1α pathway.

Applications

Unspecified application

Species

Unspecified reactive species

Li Cheng,Xinying Qiu,Liyu He,Li Liu

Oxidative medicine and cellular longevity 2022:8548461 PubMed35069980

2022

lncRNA SNHG15 Induced by SOX12 Promotes the Tumorigenic Properties and Chemoresistance in Cervical Cancer via the miR-4735-3p/HIF1a Pathway.

Applications

Unspecified application

Species

Unspecified reactive species

Jiang Yang,Mei Yang,Huabing Lv,Min Zhou,Xiaogang Mao,Xiaomin Qin,Ying Xu,Lin Li,Hui Xing

Molecular medicine reports 23: PubMed33495813

2021

miR‑212 promotes renal interstitial fibrosis by inhibiting hypoxia‑inducible factor 1‑α inhibitor.

Applications

Unspecified application

Species

Unspecified reactive species

Yun Zhang,Guo-Xin Zhang,Li-Shuang Che,Shu-Han Shi,Yue-Ting Li
View all publications

Product promise

We are committed to supporting your work with high-quality reagents, and we're here for you every step of the way. In the unlikely event that one of our products does not perform as expected, you're protected by our Product Promise.
For full details, please see our Terms & Conditions

Please note: All products are 'FOR RESEARCH USE ONLY. NOT FOR USE IN DIAGNOSTIC OR THERAPEUTIC PROCEDURES'.

For licensing inquiries, please contact partnerships@abcam.com